Case Report


The evaluation, diagnosis, and treatment of malignant mixed Müllerian tumor of the cervix: A case report

,  ,  

1 MD (General Medicine), Senior Resident, Department of Medical Oncology, Institute of Obstetrics and Gynaecology, Egmore, Tamil Nadu, India

2 MSc, Clinical Oncology, Junior Resident, Department of Medical Oncology, Institute of Obstetrics and Gynaecology, Egmore, Tamil Nadu, India

3 DM (Medical Oncology), Head of the Department, Department of Medical Oncology, Institute of Obstetrics and Gynaecology, Egmore, Tamil Nadu, India

Address correspondence to:

Gayathri R Nair

Senior Resident, Department of Medical Oncology, Institute of Obstetrics and Gynaecology, Egmore, Tamil Nadu,

India

Message to Corresponding Author


Article ID: 101421Z01GN2023

doi:10.5348/101421Z01GN2023CR

Access full text article on other devices

Access PDF of article on other devices

How to cite this article

Nair GR, Jennifer V, Latha KVS. The evaluation, diagnosis, and treatment of malignant mixed Müllerian tumor of the cervix: A case report. Int J Case Rep Images 2023;14(2):110–114.

ABSTRACT


Introduction: Cervical cancer is the most common gynecologic malignancy in India, the most common histology being squamous cell carcinoma. Malignant mixed Müllerian tumor of the cervix, also referred to as carcinosarcoma of the cervix is an unusual entity. Hence, there is a dearth of literature on evaluation and management of such tumors, which is also reflected in the fact that there are no specific consensus guidelines on the same. We present the case of a 35-year-old woman who was diagnosed to have malignant mixed Müllerian tumor of the cervix.

Case Report: Carcinosarcoma cervix is a rare entity, with postmenopausal women being more commonly affected. This makes our case a very unique one, as our patient is a premenopausal, 35-year-old young woman who presented with abnormal uterine bleeding and was subsequently diagnosed to have carcinosarcoma of the cervix. The clinical presentation and management of the case have been discussed.

Conclusion: Malignant mixed Müllerian tumor is an aggressive and rare tumor which can affect the uterus, ovaries, or the cervix. A negative biopsy may not help to rule out the diagnosis of the same. Multimodality treatment including surgical intervention, chemotherapy with paclitaxel and carboplatin, and radiotherapy could benefit this subset of patients.

Keywords: Carcinosarcoma, Cervical cancer, Gynecologic malignancies, Malignant mixed Müllerian tumor

Introduction


Cervical cancer is the most common gynecologic malignancy in India, the most common histology being squamous cell carcinoma. Malignant mixed Müllerian tumor (MMMT) of the cervix, otherwise termed as carcinosarcoma of the cervix, is an unusual entity, which accounts for only 0.005% of cervical neoplasms [1]. There are less than 100 cases of cervical carcinosarcoma (CCS) being reported so far [2]. The most common symptom of MMMT is abnormal vaginal bleeding [3]. Postmenopausal women are more commonly affected [3]. The histological examination of the cervical tumor often reveals that the tumors are comprised of a mixture of malignant mesenchymal and epithelial components [2].

Malignant mixed Müllerian tumor of the cervix is staged similar to staging of carcinoma cervix. In early-stage CCS, aggressive treatment, such as surgery followed by adjuvant radiotherapy with chemotherapy is widely practiced [4]. Locally advanced MMMT cervix is treated with radical radiotherapy with or without chemotherapy [3]. In cases where metastasis has occurred, palliative chemotherapy and palliative radiotherapy are advisable [5].

Case Report


A 35-year-old premenopausal, multiparous woman, with a body mass index (BMI) of 22, presented with abnormal uterine bleeding for two months to an outside hospital. She was diagnosed to have epilepsy for which she was on carbamazepine. There were no other comorbidities. She attained menarche at the age of 12 years, had regular menstrual cycles lasting for 4–5 days, with cycles every 28 days. There was no history of oral contraceptive pill (OCP) use. She was married at the age of 21 years and had 3 children (full term normal vaginal delivery) with first pregnancy at the age of 23 years, second child born at the age of 26 years, and third child born at the age of 28 years. Postpartum period was uneventful for both pregnancies, and all the three children were breastfed up to one year of age.

The systemic physical examination of the patient revealed no abnormality. An irregular growth of size 3*2 cm in the cervix was detected on per-vaginal examination. Cervical biopsy showed poorly differentiated squamous cell carcinoma. The computed tomography (CT) scans of the abdomen and chest were normal. The CT scan of the pelvis revealed multiple uterine fibroids, and a bulky cervix with enhanced contrast uptake. No other abnormalities were detected on imaging. Thus, she was diagnosed to have multiple uterine fibroids and carcinoma cervix and a clinical stage of IB2 was assigned, in accordance with the International Federation of Gynecology and Obstetrics (FIGO) 2018 guidelines.

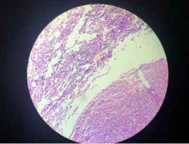
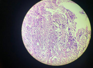
The patient underwent total abdominal hysterectomy with bilateral salpingo-oophorectomy with bilateral pelvic lymph node dissection. The post-operative histopathological examination (HPE) was reported as squamous cell carcinoma of the cervix, with a tumor size of 2.9*2*1.6 cm, with a depth of invasion of 2.1 cm. The parametrium was free of tumor. The myometrium revealed presence of multiple fibroids, largest measuring 6 cm in diameter. The endometrium, ovaries and fallopian tubes were reported normal. The patient was referred to our center for further management. At our hospital, a slide review was done of the surgical specimen. The HPE revealed malignant neoplasm of the cervix having a biphasic pattern with the malignant epithelial cells arranged in nests and sheets with moderate eosinophilic cytoplasm and pleomorphic hyperchromatic nucleus (Figure 1). In one focus, there were malignant spindle-shaped cells arranged in diffuse sheets with scant cytoplasm and high-grade nucleus (Figure 2).

There were no heterologous elements seen. The tumor cells had invaded more than two-thirds of the deeper stroma. No significant pathology was detected in the endometrial tissues. Myometrium revealed presence of fibroids. Ovaries and fallopian tubes were normal. Lymph nodes were not identified. These features were consistent with the diagnosis of MMMT of the cervix-homologous type (Figure 3). She received 6 cycles of adjuvant chemotherapy with injection (Paclitaxel 175 mg/m2 and injection, Carboplatin AUC-5, once in 3 weeks). This was followed by adjuvant radiotherapy of 50.4 Gy delivered in 28 fractions. As the margin status was unclear, following external beam radiotherapy (EBRT), she received 2 fractions of vault brachytherapy, 6 Gy per fraction, with a total dose of 12 Gy. She was thereafter kept on surveillance.

Figure 1: Malignant epithelial cells arranged in nests and sheets—Carcinomatous component of MMMT cervix (Magnification: 40×).

Share Image:

Figure 2: Malignant spindle-shaped cells arranged in sheets-sarcomatous component of MMMT cervix (Magnification: 40×).

Share Image:

Figure 3: MMMT cervix, a biphasic neoplasm comprised of both malignant mesenchymal and malignant epithelial cells (Magnification: 10×).

Share Image:

Discussion


Carcinosarcomas are tumors with both malignant epithelial and malignant mesenchymal components [2]. It is seen more commonly in the uterine corpus, with primary cervical carcinosarcoma being a rare occurrence [2]. The exact cell of origin and pathogenesis of carcinosarcoma is unclear, with four theories being hypothesized—the collision theory, the combination theory, the composition theory, and the metaplastic theory. The collision theory postulates that the neoplasm arises from two different but synchronous neoplastic cell populations [6],[7]. The combination theory suggests that both neoplastic cell populations originate from a common stem cell. The composition theory infers that paracrine factors generated from the carcinomatous structure induce proliferative response of mesenchymal components. However, this theory has been widely questioned as the sarcomatous component shows the histological features of malignancy [8]. The metaplastic carcinoma theory is favored presently, and it sustains that CCS may stem from the carcinomatous elements and then differentiate into sarcoma components [9],[10],[11],[12],[13],[14].

Most women diagnosed with MMMT cervix are between the ages of 12 and 94 years [3], with mid-60s being the average and with most of patients being postmenopausal [15],[16],[17]. The patients usually presented with vaginal bleeding as the initial symptom. The most common finding noted on clinical examination was the presence of a cervical mass [3]. The size of the cervical tumor usually ranges from 1.1 to 10 cm in diameter. The cervical tumors often form fungiform, papillary, fungating, polypoid, or pedunculated soft or firm masses. The epithelial component may be an adenocarcinoma, squamous cell carcinoma, adenosquamous carcinoma, basaloid squamous cell carcinoma, adenoid basal carcinoma, adenoid cystic carcinoma, or undifferentiated carcinoma or combination of these subtypes [18]. As per Kimyon et al. [3], the most common epithelial component identified in carcinosarcoma cervix was adenocarcinoma. However, Iida et al. reported same frequency for both squamous cell carcinoma and adenocarcinoma [19].

The sarcomatous components may be homologous to the uterus such as in the case of fibrosarcoma or endometrial stromal sarcoma or heterologous in nature such as when it is foreign to the uterus as in the case of rhabdomyosarcoma or chondrosarcoma. The immunohistochemical analysis may show the presence of epithelial components (positive for CK5, p16, p63, and CK6) as well as sarcomatous components (positive for desmin, smooth muscle actin, and vimentin) [18].

Only 56% of the women with MMMT of the cervix had a preoperative tissue diagnosis being accurately reported as carcinosarcoma [3]. This can probably be attributed to various reasons, including small size of biopsy specimens, experience of pathologists in accurate identification of the sarcomatous component as it may be easily overlooked with usual histology in cervical cancer being squamous cell carcinoma or adenocarcinoma.

The most common stage at presentation was IB [3]. Malignant mixed Müllerian tumor is often associated with resistance to therapies, and high risk of recurrence [3]. As MMMT is an aggressive disease compared to its epithelial and mesenchymal counterparts, the treatment also needs to be equally aggressive.

Surgery has been recommended as the mainstay of treatment for CCS limited to the cervix [20],[21],[22]. Radical hysterectomy and bilateral salpingo-oophorectomy with pelvic lymphadenectomy are the primary surgical modalities [23]. In early-stage CCS, aggressive treatment, such as surgery followed by adjuvant radiotherapy with chemotherapy, was associated with significantly better disease free survival (DFS) than surgery alone. The chemotherapy regimen is usually a platinum based one [4].

In women with locally advanced MMMT, radical radiotherapy with or without chemotherapy is often recommended [3]. Yet, there were several case reports in whom patients with advanced-stage disease underwent primary surgery with adjuvant therapy [19],[24].

In cases where metastasis has occurred, palliative chemotherapy and palliative radiotherapy are advisable [5]. Cisplatin, doxorubicin, ifosfamide, and cyclophosphamide are commonly recommended for metastatic patients with CCS [5]. Stage is the only independent factor for both DFS and overall survival (OS) [3].

Conclusion


Malignant mixed Müllerian tumor is a rare tumor which can affect the uterus, ovaries, or the cervix. It is very important to be aware of this entity, so as to not miss it during routine histopathological examination. In a biopsy specimen, the sarcomatous component may easily be missed, which would in turn lead to the wrong diagnosis of carcinoma cervix, thus emphasizing the need for a careful examination of the slides. In doubtful cases, immunohistochemistry may be used to aid in the diagnosis of carcinosarcoma cervix. The highly aggressive nature of carcinosarcoma, in comparison to carcinoma cervix, mandates the need for an intensive approach to therapy. Various studies have reported better outcomes in patients with early-stage disease who were treated with adjuvant chemotherapy and radiotherapy as compared to surgery alone. A better understanding of the disease pathogenesis, and multimodality treatment including surgical intervention, chemotherapy with paclitaxel and carboplatin, and radiotherapy could benefit this subset of patients.

REFERENCES


1.

Wright JD, Rosenblum K, Huettner PC, et al. Cervical sarcomas: An analysis of incidence and outcome. Gynecol Oncol 2005;99(2):348–51. [CrossRef] [Pubmed]   Back to citation no. 1  

2.

Perunovic B. Carcinosarcoma. PathologyOutlines.com website. [Available at: https://www.pathologyoutlines.com/topic/cervixMMMT.html]   Back to citation no. 1  

3.

Kimyon Comert G, Turkmen O, Karalok A, Basaran D, Bulbul D, Turan T. Therapy modalities, prognostic factors, and outcome of the primary cervical carcinosarcoma: Meta-analysis of extremely rare tumor of cervix. Int J Gynecol Cancer 2017;27(9):1957–69. [CrossRef] [Pubmed]   Back to citation no. 1  

4.

Shu X, Zhou Y, Wei G, Chen X, Qiu M. Cervical carcinosarcoma: Current understanding on pathogenesis, diagnosis, management and future perspectives. Clin Med Insights Oncol 2021;15:11795549211056273. [CrossRef] [Pubmed]   Back to citation no. 1  

5.

Maheshwari A, Gupta S, Shet T, Wuntkal R, Tongaonkar HB. Diagnostic dilemma in a case of malignant mixed mullerian tumor of the cervix. World J Surg Oncol 2006;4:36. [CrossRef] [Pubmed]   Back to citation no. 1  

6.

Krishnan E, Coleman RE. Malignant mixed mullerian tumours of gynaecological origin: Chemosensitive but aggressive tumours. Clin Oncol (R Coll Radiol) 1998;10(4):246–9. [CrossRef] [Pubmed]   Back to citation no. 1  

7.

Silverberg SG. Mixed müllerian tumors. Curr Top Pathol 1992;85:35–56. [CrossRef] [Pubmed]   Back to citation no. 1  

8.

Kounelis S, Jones MW, Papadaki H, Bakker A, Swalsky P, Finkelstein SD. Carcinosarcomas (malignant mixed mullerian tumors) of the female genital tract: Comparative molecular analysis of epithelial and mesenchymal components. Hum Pathol 1998;29(1):82–7. [CrossRef] [Pubmed]   Back to citation no. 1  

9.

Masuda A, Takeda A, Fukami H, Yamada C, Matsuyama M. Characteristics of cell lines established from a mixed mesodermal tumor of the human ovary. Carcinomatous cells are changeable to sarcomatous cells. Cancer 1987;60(11):2696–703. [CrossRef] [Pubmed]   Back to citation no. 1  

10.

Kernochan LE, Garcia RL. Carcinosarcomas (malignant mixed Müllerian tumor) of the uterus: Advances in elucidation of biologic and clinical characteristics. J Natl Compr Canc Netw 2009;7(5):550–6. [CrossRef] [Pubmed]   Back to citation no. 1  

11.

George E, Manivel JC, Dehner LP, Wick MR. Malignant mixed müllerian tumors: An immunohistochemical study of 47 cases, with histogenetic considerations and clinical correlation. Hum Pathol 1991;22(3):215–23. [CrossRef] [Pubmed]   Back to citation no. 1  

12.

Gourley C, Al-Nafussi A, Abdulkader M, Smyth JF, Gabra H. Malignant mixed mesodermal tumours: Biology and clinical aspects. Eur J Cancer 2002;38(11):1437–46. [CrossRef] [Pubmed]   Back to citation no. 1  

13.

McCluggage WG. Malignant biphasic uterine tumours: Carcinosarcomas or metaplastic carcinomas? J Clin Pathol 2002;55(5):321–5. [CrossRef] [Pubmed]   Back to citation no. 1  

14.

D'Angelo E, Prat J. Pathology of mixed Müllerian tumours. Best Pract Res Clin Obstet Gynaecol 2011;25(6):705–18. [CrossRef] [Pubmed]   Back to citation no. 1  

15.

Grayson W, Taylor LF, Cooper K. Carcinosarcoma of the uterine cervix: A report of eight cases with immunohistochemical analysis and evaluation of human papillomavirus status. Am J Surg Pathol 2001;25(3):338–47. [CrossRef] [Pubmed]   Back to citation no. 1  

16.

Ribeiro-Silva A, Novello-Vilar A, Cunha-Mercante AM, De Angelo Andrade LAL. Malignant mixed Mullerian tumor of the uterine cervix with neuroendocrine differentiation. Int J Gynecol Cancer 2002;12(2):223–7. [CrossRef] [Pubmed]   Back to citation no. 1  

17.

Munakata S, Iwai E, Tanaka T, Nakamura M, Kanda T. Malignant müllerian mixed tumor of the uterine cervix with a small cell neuroendocrine carcinoma component. Case Rep Pathol 2013;2013:630859. [CrossRef] [Pubmed]   Back to citation no. 1  

18.

Karthick A, Padmanaban KM. Primary malignant mixed mullerian tumour of the cervix: A rare entity. Journal of Evolution of Medical and Dental Sciences-JEMDS 2016;5(56):3882–4.   Back to citation no. 1  

19.

Iida T, Yasuda M, Kajiwara H, et al. Case of uterine cervical carcinosarcoma. J Obstet Gynaecol Res 2005;31(5):404–8. [CrossRef] [Pubmed]   Back to citation no. 1  

20.

Laterza R, Seveso A, Zefiro F, et al. Carcinosarcoma of the uterine cervix: Case report and discussion. Gynecol Oncol 2007;107(1 Suppl 1):S98–100. [CrossRef] [Pubmed]   Back to citation no. 1  

21.

Lopez-Chardi L, González-Bosquet E, Rovira Zurriaga C, Laïlla Vicens JM. Mesonephric carcinosarcoma of the uterine cervix: A case report. Eur J Gynaecol Oncol 2013;34(4):336–8. [Pubmed]   Back to citation no. 1  

22.

Khanna SB, Dash K, Arora DS. Malignant mixed mullerian tumor; case reports and review article. Apollo Med 2013;6:227–41.   Back to citation no. 1  

23.

Malignant mixed mullerian tumor of cervix: A case report. [Available at: https://www.pacificejournals.com/journal/index.php/awch/article/view/awch665/pdf_9]   Back to citation no. 1  

24.

Gan XL, Li JK, Yu TH, Zhang Y, Hu LN. High expressions of bcl-2 and surviving, and decreased apoptosis in uterine cervical carcinosarcoma compared to cervical squamous cell carcinoma. Arch Gynecol Obstet 2011;284(1):175–81. [CrossRef] [Pubmed]   Back to citation no. 1  

SUPPORTING INFORMATION


Author Contributions

Gayathri R Nair - Conception of the work, Design of the work, Acquisition of data, Analysis of data, Drafting the work, Revising the work critically for important intellectual content, Final approval of the version to be published, Agree to be accountable for all aspects of the work in ensuring that questions related to the accuracy or integrity of any part of the work are appropriately investigated and resolved.

V Jennifer - Conception of the work, Design of the work, Acquisition of data, Analysis of data, Drafting the work, Revising the work critically for important intellectual content, Final approval of the version to be published, Agree to be accountable for all aspects of the work in ensuring that questions related to the accuracy or integrity of any part of the work are appropriately investigated and resolved.

KVS Latha - Conception of the work, Design of the work, Acquisition of data, Analysis of data, Drafting the work, Revising the work critically for important intellectual content, Final approval of the version to be published, Agree to be accountable for all aspects of the work in ensuring that questions related to the accuracy or integrity of any part of the work are appropriately investigated and resolved.

Guarantor of Submission

The corresponding author is the guarantor of submission.

Source of Support

None

Consent Statement

Written informed consent was obtained from the patient for publication of this article.

Data Availability

All relevant data are within the paper and its Supporting Information files.

Conflict of Interest

Authors declare no conflict of interest.

Copyright

© 2023 Gayathri R Nair et al. This article is distributed under the terms of Creative Commons Attribution License which permits unrestricted use, distribution and reproduction in any medium provided the original author(s) and original publisher are properly credited. Please see the copyright policy on the journal website for more information.