Case Series


When the scope would not pass: Diaphragmatic hernias

,  

1 Junior Consultant, Department of Gastroenterology, Delta Medical College and Hospital, Dhaka, Bangladesh

2 Professor, Department of Gastroenterology, Bangabandhu Sheikh Mujib Medical University, Dhaka, Bangladesh

Address correspondence to:

Nabila Tasneem Khan

Delta Medical College and Hospital, 26/2, Principal Abul Kashem Road, Mirpur 1, Dhaka 1216,

Bangladesh

Message to Corresponding Author


Article ID: 101369Z01NK2022

doi:10.5348/101369Z01NK2022CS

Access full text article on other devices

Access PDF of article on other devices

How to cite this article

Khan NT, Ahmed DS. When the scope would not pass: Diaphragmatic hernias. Int J Case Rep Images 2022;13(2):237–242.

ABSTRACT


Introduction: A diaphragmatic hernia is a condition characterized by herniation of the abdominal content(s) via a defect in the diaphragm. It may be congenital or may be preceded by a history of trauma.

Case Series: Here we report two cases whose diaphragmatic hernias were detected on evaluation of a difficult gastroscopy. Both cases were those of young males who presented with non-specific gastrointestinal (GI) symptoms which warranted further evaluation with upper GI endoscopy and imaging. The first patient had a history of abdominal trauma during a road traffic accident. When scope negotiation proved to be difficult, they were both investigated and found to have displacement of the stomach within the mediastinum. Surgery was done followed by uneventful recovery in both patients.

Conclusion: Diaphragmatic hernias do not always present in the background of typical settings and may be asymptomatic in many cases. However when any undue resistance is faced during endoscope negotiation, a high degree of clinical suspicion should be kept for any anatomical aberration—either congenital or acquired. This may ensure early detection and prevent life-threatening acute conditions as an acute gastric volvulus.

Keywords: Anatomical aberration, Diaphragmatic hernia, Gastric volvulus

Introduction


Diaphragmatic hernias are among the conditions that need strong clinical suspicion for diagnosis. This is due to their rare incidence combined with varied and nonspecific presentation. These patients are often diagnosed with reflux disease or non-ulcer dyspepsia. Moreover, the importance of prompt diagnosis and surgical repair is strengthened by their potential of causing acute gastric volvulus [1]. We encountered two such cases which were diagnosed with diaphragmatic hernias in the context of difficult upper GI endoscopy while being evaluated for non-specific abdominal pain.

Case Series


Case 1

Our patient, a 25-year-old male presented with 15 days history of dull left-sided upper abdominal pain associated with induced vomiting upon which pain was relieved. Vomitus contained the previous day’s ingested food material. This patient gave history of a road traffic accident four months prior to this presentation. Physical examination was unremarkable.

All the blood parameters including complete blood count (CBC), liver function tests (LFT), renal function test (RFT), and blood sugar profile were within normal range. During evaluation by upper GI endoscopy, it proved very difficult to pass the scope beyond the stomach due to looping of the endoscope in the proximal stomach. This was the key behind the suspicion of a possible anatomical aberration.

Endoscopic view showed that the stomach appeared occluded and a constriction like appearance was seen just adjacent to the fundus. The scope was negotiated with difficulty beyond the apparent occlusion leading to a normal appearing distal gastric body, antrum, and pylorus.

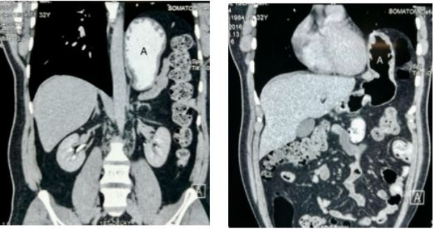
For further evaluation, contrast-enhanced computed tomography (CT) scan and an upper GI series were performed which demonstrated that almost the entire stomach occupied the left side of the mediastinal cavity above the left hemi-diaphragm (Figure 1 and Figure 2).

The stomach passed through a gap in the medial part of the left hemi-diaphragm. There was splitting of the muscle fibers of the left crus of the diaphragm near its insertion on the vertebra.

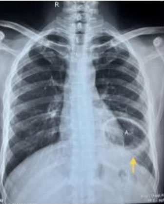
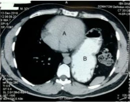
The gastroesophageal junction (GEJ) was in place but the gastro-duodenal junction was displaced supero-laterally on the left. Computed tomography films provided additional information suggestive of rotation of the stomach along its long axis, consistent with a partial gastric volvulus (Figure 1 and Figure 3). Chest X-ray (CXR) posteroanterior (P/A) view in erect posture revealed the position of the fundic gas shadow to be above the left hemi-diaphragm (Figure 4).

A diagnosis of diaphragmatic hernia with partial organo-axial gastric volvulus was made based on the clinical presentation, endoscopic appearance, and imaging evidence.

 

Treatment

The patient was referred to the surgical unit for reduction of the herniated stomach and repair of the diaphragmatic defect.

The abdomen was approached via a left subcostal incision. Per operative findings described a large (15 × 10 cm) defect at the left dome of the diaphragm near the esophageal opening. The stomach and omentum had herniated through the gap. The left lobe of the liver was mobilized and the hernial contents were reduced. The defect was repaired and the abdomen was closed in layers keeping a left subdiaphragmatic drain in situ.

 

Outcome and follow-up

The patient was discharged on third post-operative day (POD) with an uneventful post-operative period. At his two month follow-up the patient had recovered fully without any complications. Post-operative X-rays showed a repositioned stomach within the abdominal cavity (Figure 5).

 

Case 2

Our second patient is a 32-year-old male who presented with dyspepsia and upper abdominal pain for two months. He did not have history of vomiting or weight loss. His appetite and bowel movement were normal. There was no significant background history and did not recall any trauma prior to admission. Physical examination was unremarkable. He was advised an upper GI endoscopy along with other blood parameters for evaluation of his upper GI complaints.

All the blood parameters including complete blood count (CBC), liver function tests (LFT), renal function test (RFT), blood sugar profile, and pancreatic enzymes were within normal limits.

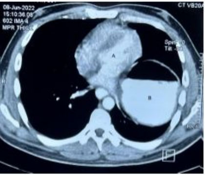
Similar to the first case mentioned above, difficulty was faced while attempting upper GI endoscopy and the scope could not be negotiated. Further evaluation with CT scan revealed displacement of the stomach into the left hemi-thorax (Figure 6 and Figure 7).

 

Management and outcome

This patient also underwent open surgical repair. Operative and post-operative period was uneventful. The chest drain was removed on the 2nd POD and he was discharged on the 4th POD after post-operative recovery. Routine follow-up revealed that the incision site had healed normally without any complications. Comparison of the pre- and post-operative X-rays showed reduction and reposition of the hernia contents from the chest cavity into the abdominal cavity (Figure 8). The patient remains well and symptom free till date.

Figure 1: Contrast CT scan of abdomen, coronal section showing most of the stomach (A) above the left dome of the diaphragm (arrow).

Share Image:

Figure 2: Upper GI series showing major portion of the stomach (A) above the left hemi-diaphragm (arrow).

Share Image:

Figure 3: CT scan of abdomen, transverse section, showing stomach (B) located in the chest cavity, adjacent to the heart (A).

Share Image:

Figure 4: CXR posteroanterior view showing the fundic gas shadow (A) above the left dome of the diaphragm (arrow).

Share Image:

Figure 5: Post-operative CXR posteroanterior view after reduction of the hernia contents and repair of the diaphragmatic defect.

Share Image:

Figure 6: Contrast CT scan, coronal view showing displacement of the stomach (A) in to the left mediastinum.

Share Image:

Figure 7: Contrast CT scan, transverse section showing the stomach (B) located within the chest cavity just beside the heart (A).

Share Image:

Figure 8: (Top) Pre-operative CXR showing displacement of the stomach (A) in the mediastinum (arrow). (Bottom) Postoperative CXR after reduction of hernia and correction of diaphragmatic defect.

Share Image:

Discussion


A diaphragmatic hernia is described as displacement of the abdominal contents into the chest cavity through any weak point in the diaphragm. Diaphragmatic hernias include hiatal hernias, para-esophageal hernias, congenital hernias, and traumatic hernias.

There are four types of hiatal hernias. Type I is also known as sliding hernia. It is the most common type (90%) and involves displacement of the GEJ above the diaphragm. Type II represents displacement of the stomach above the diaphragm. In type III hiatal hernia, both the GEJ and stomach are displaced and type IV hiatal hernia is accompanied by transposition of any organ other than the stomach [2],[3]. Type II, III, and IV are known as para-esophageal hernias and type III may rarely be associated with gastric volvulus [4].

Most patients with hiatal hernias remain asymptomatic and are diagnosed incidentally. Some may present with reflux and abdominal discomfort wherein others, a large hiatus hernia is often responsible for chronic blood loss and anemia [5]. Hiatal hernias can result from any cause that raises intra-abdominal pressure such as obesity, pregnancy, abdominal trauma, etc. There is no association with the size of the hernia and clinical symptoms [6].

Acquired diaphragmatic hernias comprise less than 50% of diaphragmatic injuries and are mostly traumatic [7]. Patients often give history of a blunt trauma or road traffic accident [8] and remain undiagnosed in up to 33% cases during the immediate post-traumatic period [9]. The reason behind this delay in diagnosis is often poor clinical suspicion along with the varied clinical presentation. This scenario is consistent with our first case study who reported a road traffic accident four months prior to his diagnosis. A simple chest X-ray (CXR) can give a clue of transposition of abdominal contents in the mediastinum. Computed tomography scan further provides diagnosis of diaphragmatic injury and herniation with a sensitivity and specificity of 71% and 100% respectively [9]. In both of our cases the strongest degree of clinical suspicion arose when upper GI endoscopic procedure proved to be troublesome without any apparent cause of difficulty. When the reason behind this was further evaluated with barium studies and CT imaging, only then was the defect identified. Our first patient had an associated partial organo-axial gastric volvulus as well.

Surgical reduction of the hernia sac and its contents along with repair of the diaphragmatic defect is the mainstay of treatment. Surgery can be done laparoscopically or via thoraco-abdominal incision. Prosthetic mesh reinforcement can be used to ensure adequate closure of the defect [4].

Conclusion


In patients with a history of abdominal trauma and upper GI symptoms, a diaphragmatic hernia is always a possibility. As specialists, whenever we encounter difficulties in negotiating a scope the probability of any anatomical distortion should be kept in mind regardless of suggestive clinical background.

REFERENCES


1.

Yang GPC, Tang CN, Siu WT, Ha JPY, Tai YP, Li MK. Diaphragmatic hernia: An uncommon cause of dyspepsia. JSLS 2005;9(3):352–5. [Pubmed]   Back to citation no. 1  

2.

Kahrilas PJ, Kim HC, Pandolfino JE. Approaches to the diagnosis and grading of hiatal hernia. Best Pract Res Clin Gastroenterol 2008;22(4):601–16. [CrossRef] [Pubmed]   Back to citation no. 1  

3.

Siu WT, Yao KK, Luk YW, Law BK, Li MK. Endoscopic reduction of a gastric volvulus associated with a paraesophageal hernia. Endoscopy 2005;37(8):787. [CrossRef] [Pubmed]   Back to citation no. 1  

4.

Maziak DE, Pearson FG. Massive (paraesophageal) hiatal hernia. In: Patterson GA, Cooper JD, Deslauriers J, et al. editors. Pearson’s Thoracic and Esophageal Surgery. 3ed. Philadelphia, PA: Churchill Livingstone; 2008. p. 233–8.   Back to citation no. 1  

5.

Carratt PW, Makar SR, Hong J, Kuppusamy MK, Koehler RP, Low DE. Iron-deficiency anemia is a common presenting issue with giant paraesophageal hernia and resolves following repair. J Gastrointest Surg 2013;17(5):858–62. [CrossRef] [Pubmed]   Back to citation no. 1  

6.

Govoni AF, Whalen JP, Kazam E. Hiatal hernia: A relook. Radiographics 1983;3:612–44.   Back to citation no. 1  

7.

Gupta S, Bali RK, Das K, Sisodia A, Dewan RK, Singla R. Rare presentation of spontaneous acquired diaphragmatic hernia. Indian J Chest Dis Allied Sci 2011;53(2):117–9. [Pubmed]   Back to citation no. 1  

8.

Holm A, Bessey PQ, Aldrete JS. Diaphragmatic rupture due to blunt trauma: Morbidity and mortality in 42 cases. South Med J 1988;81(8):956–62. [CrossRef] [Pubmed]   Back to citation no. 1  

9.

Hung YH, Chien YH, Yan SL, Chen MF. Adult Bochdalek hernia with bowel incarceration. J Chin Med Assoc 2008;71(10):528–31. [CrossRef] [Pubmed]   Back to citation no. 1  

SUPPORTING INFORMATION


Author Contributions

Nabila Tasneem Khan - Acquisition of data, Analysis of data, Drafting the work, Final approval of the version to be published, Agree to be accountable for all aspects of the work in ensuring that questions related to the accuracy or integrity of any part of the work are appropriately investigated and resolved.

Dewan Saifuddin Ahmed - Conception of the work, Design of the work, Revising the work critically for important intellectual content, Final approval of the version to be published, Agree to be accountable for all aspects of the work in ensuring that questions related to the accuracy or integrity of any part of the work are appropriately investigated and resolved.

Guarantor of Submission

The corresponding author is the guarantor of submission.

Source of Support

None

Consent Statement

Written informed consent was obtained from the patient for publication of this article.

Data Availability

All relevant data are within the paper and its Supporting Information files.

Conflict of Interest

Authors declare no conflict of interest.

Copyright

© 2022 Nabila Tasneem Khan et al. This article is distributed under the terms of Creative Commons Attribution License which permits unrestricted use, distribution and reproduction in any medium provided the original author(s) and original publisher are properly credited. Please see the copyright policy on the journal website for more information.