Case Report


A case report of fibromatosis resulting in small bowel obstruction

,  ,  ,  ,  ,  

1 MD, General Surgery, Central Michigan University College of Medicine, Saginaw, Michigan, United States

2 Central Michigan University College of Medicine, Saginaw, Michigan, United States

Address correspondence to:

Danielle Humphries

MD, 6826 S Lamplighter Dr., Saginaw, MI 48603,

USA

Message to Corresponding Author


Article ID: 101462Z01DH2024

doi:10.5348/101462Z01DH2024CR

Access full text article on other devices

Access PDF of article on other devices

How to cite this article

Humphries D, Fritzke T, Pacheco F, Sripathi S, Marcano D, Alashari A. A case report of fibromatosis resulting in small bowel obstruction. Int J Case Rep Images 2024;15(2):15–18.

ABSTRACT


Introduction: Fibromatosis, also known as desmoid tumors, is a benign tumor that is found in patients with a history of familial adenomatous polyposis (FAP) syndrome. Although, sporadic fibromatosis is more common than this classic association.

Case Report: This case report describes a 75-year-old woman who was healthy and had no history of familial adenomatous polyposis (FAP). She presented with acute abdominal pain caused by a small bowel obstruction. Computed tomography (CT) imaging demonstrated a solid mass measuring 5 × 5 cm in the left mid-abdomen or the pelvis causing a proximal small bowel obstruction. The patient then underwent an exploratory laparotomy, during which a 45-cm segment of the jejunum, along with associated mesentery and lymph nodes, was resected due to a large mass and extensive adhesions. A primary small bowel anastomosis was performed subsequently. Macroscopic and microscopic pathology evaluations revealed a homogenous mass consistent with fibromatosis, indicating a benign tumor originating from the mesentery. This is an uncommon presentation of small bowel obstruction in an otherwise healthy female patient without a history of FAP.

Conclusion: As this case shows, spontaneous fibromatosis can present aggressively and require emergency surgical intervention.

Keywords: Bowel obstruction, Fibromatosis, Mesenteric tumor, Tumor

Introduction


Fibromatosis, also known as desmoid tumor, is a benign neoplastic tumor caused by proliferation of fibroblastic cells which can arise from any part of the body. Sporadic tumors reportedly make up approximately 75–85% of cases, affecting 2–4 million people annually. The other 15–25% are related to familial adenomatous polyposis (FAP), a polyposis syndrome caused by mutation in the adenomatous polyposis coli (APC) tumor suppressor gene [1],[2]. The clinical presentation of sporadic desmoid tumors can be highly variable based on tumor size and location. The most common locations are the extremities, intraperitoneal, abdominal wall, and chest wall. Presenting symptoms have been noted to include painful or painless slow growing firm mass, bowel obstruction, and bowel ischemia when they occur intraperitoneal [3].

The clinical presentation of desmoid tumors is similar among both sporadic and FAP-associated disease [4]. In patients with FAP, desmoid tumors have been reported in as many as 32% of cases [1]. Radiographic studies can help with initial desmoid tumor workups; however, histological examination is required for diagnosis. Fibromatoses related to FAP tend to be larger, more commonly multiple, more often intra-abdominal and have a higher risk of recurrence (44% vs 25%). Histologically, non-involved margins are more likely to be seen in sporadic versus FAP-associated desmoids (23% vs 55%) [5]. Current treatment options for desmoid tumors include surgery, radiotherapy, medical therapy, or a combination of the above. This case report describes the presentation of a benign mesenteric mass presenting as a small bowel obstruction in a patient without a history of FAP or prior masses.

Case Report


The patient was a 75-year-old healthy female patient who presented to the emergency department with complaints of nausea, emesis, and obstipation for one day. Her vital signs were within normal limits and her only laboratory abnormality was a white blood cell count of 13.0 × 109 L. Her abdomen was distended, diffusely tender without rebound or guarding. A subcutaneous port in the left upper abdomen was palpated.

Her prior surgical history included gastric band surgery 15 years prior, cholecystectomy and hysterectomy several years ago. Her medical history was significant for hypertension and hypothyroidism. Family cancer history included an unknown brain cancer in one brother, lung cancer in another brother, esophageal cancer in her father, and a niece with a history of soft tissue sarcoma.

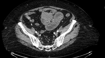
A computed tomography (CT) imaging of the abdomen and pelvis with intravenous contrast was obtained (Figure 1). The radiologist communicated concern for a solid mass measuring 5 × 5 cm in the left mid-abdomen or the pelvis causing a proximal small bowel obstruction.

The patient was admitted to the surgical floor under the acute care surgery service. The gastric band was deflated at the bedside, and the patient had immediate relief of her upper abdominal discomfort. However, this maneuver did not alleviate the lower abdominal pain. A nasogastric tube (NGT) was placed to facilitate decompression. Prior to proceeding to the operating room for exploration, a second imaging study was obtained as it was not clear if the mass originated from the bowel or the mesentery. Computed tomography enterography confirmed the presence of a small bowel obstruction related to a suspected mass; however, the radiologist referred to the area of interest as a possible internal hernia or small bowel volvulus (Figure 2).

The patient was taken to the operating room for an exploratory laparotomy. A midline incision was made, and the bowel loops were inspected carefully. A mid-jejunal mass involving the mesentery measuring approximately 5 cm × 5 cm with multiple adhesions to surrounding loops of bowel was identified. Forty-five centimeters of small bowel was resected with associated mesentery and lymph nodes (Figure 3). A small bowel primary anastomosis with GIA 60 mm purple load stapler was created and the associated mesenteric defect was closed. The colon, stomach, spleen, and liver were examined and were clear of any additional masses. A frozen section showed spindle cell neoplasm with differential including gastrointestinal stromal tumor (GIST), leiomyoma, and leiomyosarcoma.

Post-operatively, the patient had return of bowel function, tolerating a diet, and was discharged home on post-operative day 5. The macroscopic and microscopic examination revealed a homogeneous benign spindle cell tumor measuring 6.0 × 4.0 × 4.5 cm, without any areas of hemorrhage or necrosis. Immunostains were conducted on eight specimens representing the tumor for analysis. The lesion cells did not express CAM5.2, pankeratin, SMA, CD34, CD117, desmin, DOG1, S100, SOX10, CD99, CD45, ALK, BCL-2, and beta-catenin. The Ki-67 index was low. Based on the tumor morphology and the above results, the diagnosis of fibromatosis, a benign mesenteric tumor, was made.

Figure 1: CT abdomen/pelvis with IV contrast demonstrating mass-like lesion with associated bowel obstruction.

Share Image:

Figure 2: CT enterography demonstrating mass lesion.

Share Image:

Figure 3: Surgical specimen including jejunum, mesentery, and mass.

Share Image:

Discussion


Fibromatosis is often associated with FAP, although sporadic tumors are more frequently diagnosed. Single and isolated cases of fibromatosis are quite rare. Prior cases have described the aggressiveness of this benign tumor and the associated presentations of abdominal pain, weight loss, and volvulus, urinary, and intestinal obstructions [6],[7],[8]. These tumors, although benign, have the potential to be locally destructive and cause significant morbidity for patients. Surgery has fallen out of favor as the first line treatment for patients with fibromatosis in most patients due to the high recurrence rates when associated with FAP [9]. For patients with a mass causing an acute obstruction or surgical emergency, there is no alternative to surgical resection.

At the time of surgery, the tissue diagnosis is often unknown and there is concern for underlying malignancy. This was true for this patient due to the extensive involvement of surrounding tissues and acuity of the presentation. The concern for malignancy prompted a surgical resection with a great deal of detail to include involved lymph nodes and mesentery. The patient’s surgical resection was guided by desire of ensuring an adequate number of lymph nodes were evaluated to provide a proper diagnosis. In this instance, having a large surgical specimen did not impact the outcome of the procedure. The most crucial factor when discussing surgical resection for fibromatosis is ensuring negative margins as recurrence rates remain high [10],[11].

The ideal treatment strategy for fibromatosis remains controversial except in the setting of a true surgical emergency, as was seen in this patient. When compared to fibromatosis associated with FAP, sporadic fibromatosis has lower rates of recurrence [11]. Therefore, upfront surgical intervention may be the most appropriate management strategy for intra-abdominal spontaneous fibromatosis.

Conclusion


Fibromatosis, which can be associated with FAP as well as sporadic, has the potential to present with the need for emergency surgical intervention, such as in the setting of small bowel obstruction and intussusception. These tumors are rare and further investigation regarding treatment and recommended surgical intervention is still needed to better understand and care for patients with aggressive fibromatosis.

REFERENCES


1.

Fallen T, Wilson M, Morlan B, Lindor NM. Desmoid tumors – A characterization of patients seen at Mayo Clinic 1976–1999. Fam Cancer 2006;5(2):191–4. [CrossRef] [Pubmed]   Back to citation no. 1  

2.

Reitamo JJ, Häyry P, Nykyri E, Saxén E. The desmoid tumor. I. Incidence, sex-, age- and anatomical distribution in the Finnish population. Am J Clin Pathol 1982;77(6):665–73. [CrossRef] [Pubmed]   Back to citation no. 1  

3.

Townsend C, Beauchamp D, Evers M, Mattox, K. Sabiston Textbook of Surgery. 20ed. Chicago, Illinois: Elsevier - Health Sciences Division; 2016.   Back to citation no. 1  

4.

Gounder MM, Maddux L, Paty J, Atkinson TM. Prospective development of a patient-reported outcomes instrument for desmoid tumors or aggressive fibromatosis. Cancer 2020;126(3):531–9. [CrossRef] [Pubmed]   Back to citation no. 1  

5.

Koskenvuo L, Ristimäki A, Lepistö A. Comparison of sporadic and FAP-associated desmoid-type fibromatoses. J Surg Oncol 2017;116(6):716–21. [CrossRef] [Pubmed]   Back to citation no. 1  

6.

Holubar S, Dwivedi AJ, O’Connor J. Giant mesenteric fibromatosis presenting as small bowel obstruction. Am Surg 2006;72(5):427–9. [Pubmed]   Back to citation no. 1  

7.

Polat C, Aktepe F, Turel S, Yazicioglu B, Ozkececi T, Arikan Y. A giant mesenteric fibromatosis case presenting with mechanical intestinal obstruction and successfully resected with partial duodenojejunectomy and right hemicolectomy. Clinics (Sao Paulo) 2010;65(1):110–3. [CrossRef] [Pubmed]   Back to citation no. 1  

8.

Yoshida A, Uchima Y, Hosaka N, Minaga K, Kudo M. Transverse colonic volvulus due to mesenteric fibromatosis: A case report. BMC Gastroenterol 2021;21(1):11. [CrossRef] [Pubmed]   Back to citation no. 1  

9.

Gounder MM, Thomas DM, Tap WD. Locally aggressive connective tissue tumors. J Clin Oncol 2018;36(2):202–9. [CrossRef] [Pubmed]   Back to citation no. 1  

10.

Prendergast K, Kryeziu S, Crago AM. The Evolving management of desmoid fibromatosis. Surg Clin North Am 2022;102(4):667–77. [CrossRef] [Pubmed]   Back to citation no. 1  

11.

Sharon W, John G, Andrew F. Fibroblastic/Myoblastic Tumors. Enzinger and Weiss’s Soft Tissue Tumors. Philadelphia, PA. 2020;9:306–74.   Back to citation no. 1  

SUPPORTING INFORMATION


Author Contributions

Danielle Humphries - Conception of the work, Design of the work, Acquisition of data, Analysis of data, Drafting the work, Revising the work critically for important intellectual content, Final approval of the version to be published, Agree to be accountable for all aspects of the work in ensuring that questions related to the accuracy or integrity of any part of the work are appropriately investigated and resolved.

Teo Fritzke - Conception of the work, Design of the work, Acquisition of data, Analysis of data, Drafting the work, Revising the work critically for important intellectual content, Final approval of the version to be published, Agree to be accountable for all aspects of the work in ensuring that questions related to the accuracy or integrity of any part of the work are appropriately investigated and resolved.

Felipe Pacheco - Conception of the work, Design of the work, Acquisition of data, Analysis of data, Drafting the work, Revising the work critically for important intellectual content, Final approval of the version to be published, Agree to be accountable for all aspects of the work in ensuring that questions related to the accuracy or integrity of any part of the work are appropriately investigated and resolved.

Shravani Sripathi - Conception of the work, Design of the work, Acquisition of data, Analysis of data, Drafting the work, Revising the work critically for important intellectual content, Final approval of the version to be published, Agree to be accountable for all aspects of the work in ensuring that questions related to the accuracy or integrity of any part of the work are appropriately investigated and resolved.

Daniela Marcano - Conception of the work, Design of the work, Acquisition of data, Analysis of data, Drafting the work, Revising the work critically for important intellectual content, Final approval of the version to be published, Agree to be accountable for all aspects of the work in ensuring that questions related to the accuracy or integrity of any part of the work are appropriately investigated and resolved.

Akram Alashari - Conception of the work, Design of the work, Acquisition of data, Analysis of data, Drafting the work, Revising the work critically for important intellectual content, Final approval of the version to be published, Agree to be accountable for all aspects of the work in ensuring that questions related to the accuracy or integrity of any part of the work are appropriately investigated and resolved.

Guarantor of Submission

The corresponding author is the guarantor of submission.

Source of Support

None

Consent Statement

Written informed consent was obtained from the patient for publication of this article.

Data Availability

All relevant data are within the paper and its Supporting Information files.

Conflict of Interest

Authors declare no conflict of interest.

Copyright

© 2024 Danielle Humphries et al. This article is distributed under the terms of Creative Commons Attribution License which permits unrestricted use, distribution and reproduction in any medium provided the original author(s) and original publisher are properly credited. Please see the copyright policy on the journal website for more information.