Case Series


Rare urinary bladder carcinomas: Clinic’s own case series

,  ,  

1 Consultant, Urology Department, Sankt Georg Hospital, Delitzscher Str. 141, Leipzig, Sachsen 04129, Germany

2 Resident doctor, Urology Department, Sankt Georg Hospital, Delitzscher Str. 141, Leipzig, Sachsen 04129, Germany

3 Head of the Department, Urology Department, Sankt Georg Hospital, Delitzscher Str. 141, Leipzig, Sachsen 04129, Germany

Address correspondence to:

Mohamad Hatem Albarghouth

Urology Department, Sankt Georg Hospital, Delitzscher Str. 141, Leipzig, Sachsen 04129,

Germany

Message to Corresponding Author


Article ID: 101394Z01MA2023

doi:10.5348/101394Z01MA2023CS

Access full text article on other devices

Access PDF of article on other devices

How to cite this article

Albarghouth MH, Bothmann R, Hamza A. Rare urinary bladder carcinomas: Clinic’s own case series. Int J Case Rep Images 2023;14(1):113–118.

ABSTRACT


Introduction: To date, the scientific reports dealing with the rare urinary bladder carcinomas are few, and this is clear by searching the literature review in the German medical journals. These reports are fewer than required to conclude a therapeutic regime. In addition, there is a clear lack of randomized trials concerning these rare disease.

Case Series: In this case series, nine cases of rare bladder carcinomas were examined over one year. The aim is to give attention to the importance of conducting prospective, multicenter, randomized studies with long-term follow-up to define therapeutic regimens for these rare carcinomas.

Conclusion: The German guidelines lack therapy guidelines that concern with rare carcinomas of the urinary bladder. The insufficient data necessitate further investigations to be continued in order to optimize treatment options. A possible solution would be a central urological registry that is accessible for all national and international practicing urologists.

Keywords: Lymphoma in the bladder, Primary melanoma of the bladder, Rare bladder cancer, Urachus carcinoma

Introduction


Among the most frequently diagnosed cancer in men and women, urinary bladder cancer is the 7th and the 17th, respectively [1]. About 16,470 cases of invasive bladder cancer were diagnosed in 2016; and the mean death age in men and women in 2013 in Germany was 77.8 and 80.3 years, respectively [2]. Urothelial carcinoma accounts for the majority of bladder cancer cases (95%), whereas other rare entities represent only 5%. The different cancer manifestations include primary carcinoma, invasive carcinoma by continuous infiltration from the outside, or metastasis from other distant carcinomas.

There are two types of bladder adenocarcinomas: primary adenocarcinoma and urachus carcinoma. Together they account for less than 2% of all malignant bladder cancers [2],[3]. The urachal carcinoma can be etiologically distinguished from a primary adenocarcinoma of the bladder as it originates from an urachal residue. A specific staging system was established (according to Sheldon). A locally confined urachal cancer of the bladder ought to be treated via partial cystectomy with en-bloc-resection of the ligament umbilical medium and a pelvic lymphadenectomy [4]. The adenocarcinoma of the bladder may also manifest as a metastasis from a distant carcinoma or due to an infiltration from the outside. The distinction between primary bladder adenocarcinoma and prostate cancer is possible via specific immunohistochemical markers (prostate specific antigen, protein NKX3.1). The final classification takes place after imaging diagnostics [2].

The malignant lymphoma may manifest as a primary lesion in the bladder or as a part of a systemic disease. An estimated percentage of less than 1% of all bladder malignant carcinomas is attributed to lymphoma, while primary bladder and the urethra lymphomas are rare, secondary bladder lymphoma often appears within advanced stages of systemic disease [5].

The malignant melanoma is a neoplasm of melanocytes, which may affect the urinary bladder in a primary or secondary pattern. The primary malignant melanomas of the genitourinary tract are rare and are estimated to account for less than 1% of all melanomas [6]. The most common location of the primary tumor is in the distal urethra or at the meatus. The overall prognosis is bad with a mean survival rate of less than three years [6].

The small cell neuroendocrine carcinoma is a very rare malignant neuroendocrine tumor of the urothelium [7]. It is highly aggressive, thus the therapy should be extensive. A radical cystectomy with neoadjuvant or adjuvant treatment is generally recommended [7]. The neuroendocrine differentiation can be proven immunohistochemically, and its verification generally requires the presence of at least two markers exhibiting a typical neuroendocrine pattern [7].

Given the rarity of these carcinomas, there exist only few experiential reports and there are no coherent therapeutic guidelines.

Case Series


Patients

We used data from our Department of Urology at St. Georg Hospital Leipzig GmbH. These data are related to the 1550 patients who had received treatment for bladder cancer between 06/2020 and 05/2021. Only nine of these patients were diagnosed as having rare bladder carcinomas. These patients had six types of these rare conditions, which are explained in Table 1.

 

Urachal carcinoma

Clinical presentation: The patient came to the Emergency Department of the hospital complaining an abdominal pain and gross hematuria. He is a non-smoker, married, and has children. The family history of cancer is negative.

Endoscopy and histopathological findings: The initial ultrasound raised suspicion of bladder cancer with extravesical extension. We performed urethrocystoscopy, which showed a large solitary tumor of the bladder dome, and the abdomen and pelvic computed tomography (CT) scan showed a suspected urachal carcinoma (Figure 1).

Management: We performed a partial resection of the bladder and a resection of an urachal carcinoma with an intraoperative frozen section. The final histological tumor staging according Sheldon system was: IIIA, R0, L0, V1, Pn1, high grade (Figure 2).

Following surgery, the patient was treated with three cycles of chemotherapy (gemcitabine/cisplatin). The ongoing aftercare via cystoscopies and the latest CT-imaging after one year showed complete remission.

 

Metastatic tumors in the bladder

 

  • Bladder metastasis from pancreatic cancer

Clinical presentation: After cystoscopy, a mucous type of adenocarcinoma was diagnosed histologically in the bladder of an 80-year-old female complaining from hematuria.

Endoscopy and histopathological findings: The abdomen ultrasound imaging suggested a multicystic structure in the pancreas tail, differential diagnosis of intraductal papillary mucous neoplasia (IPMN) of the pancreas. The later performed staging-CT and endoscopic ultrasound confirmed the diagnosis.

Management: The patient rejected further therapy and died three months later.

 

  • Bladder metastasis from known gastric cancer

Clinical presentation: A hematuric 58-year-old man was diagnosed with an infiltrating signet ring cell carcinoma of the bladder after a transurethral resection (Figure 3). This result was consistent with the known, and already treated, gastric cancer (condition after gastric resection with adjuvant chemotherapy with FLOT).

Endoscopy and histopathological findings: The later performed diagnostic procedures (colonoscopy and CT scan) showed a singular metastasis of the rectum cancer without further distant metastases.

Management: According of the recommendation of our interdisciplinary tumor board, the patient was treated by complete exenteration of the small pelvis with cystectomy. This is followed by adjuvant chemotherapy because of R1-resection. The patient died two years later due to a myocardial infarction.

 

  • Bladder manifestation of known B-cell lymphoma

Clinical presentation and histopathological findings: A hematuric 80-year-old male was histologically diagnosed in our clinical department as having bladder B-cell lymphoma. This was done by a cystoscopy that showed a 2-cm-long solitary tumor (Figure 4). He was already diagnosed with hepatic, pulmonary, and lymphatic metastatic B-cell-lymphoma five years prior to the diagnosis of the bladder. He was already undergoing a systemic therapy with Pembrolizumab.

Management: The recommendation was to continue the systemic therapy. The performed cystoscopies one year later showed no local recurrence.

 

  • Bladder metastasis from a malignant melanoma

Clinical presentation and histopathological findings: Among our study population, we diagnosed a bladder metastasis of a malignant melanoma in a 65-year-old male having microhematuria. Performed cystoscopy showed a 1.5-cm-long solitary tumor on the posterior bladder wall. Melanoma was diagnosed five years prior to bladder manifestation, the skin lesions were excised, and the patient received 6 cycles of Pembrolizumab. During this therapy, the recurrence in the bladder was diagnosed.

Management: We changed the therapeutic regimen to Encorafenib/Binimetinib. The cystoscopies done during the following year showed no evidence for a relapse.

 

  • Small cell neuroendocrine carcinoma of the bladder

Clinical presentation and histopathological findings: Within one year, we detected three cases of neuroendocrine bladder carcinoma using cystoscopy. Microhematuria was the presenting sign in the three patients. The status of the first patient was metastatic and locally advanced. He refused the treatment and died six months after diagnosis. The second patient had a locally limited cancer, for which radical cystectomy was recommended. He declined radical surgery and received chemotherapy (Cisplatin/Etoposide) in a different hospital under which he suffered progressive disease.

The last described patient underwent a cystoscopy under photodynamic diagnostics and mapping due to recurrent urinary infections. The investigations showed a small lesion at the ileal part of her augmented bladder only. The histology showed a neuroendocrine carcinoma (Figure 5). She had undergone an ileum augmentation of the bladder due to a small capacity bladder five years ago.

Management: The last described patient underwent staging CT scan and gastro-colonoscopy, which didn’t show any metastasis. Therefore the patient underwent a resection of the ileal augmentation of the urinary bladder. At her request, she was permanently supplied with a suprapubic catheter.

 

  • Primary pigmented malignant melanoma of the bladder

Clinical presentation and histopathological findings: We report a case of a 59-year-old female. She presented herself in our emergency room due to gross hematuria. We performed a cystoscopy. The later showed a large solitary tumor of the bladder. We performed a palliative transurethral resection. The histological examination showed an infiltration of the bladder wall from a malignant melanoma. The immunohistochemical staining verified positive markers forimentin, Melan A, and HMB 45. The diagnostics showed no other primary melanoma outside of the bladder (Figure 6).

Management: We performed a radical cystectomy with urethrectomy and ileum conduit. The mutation analysis showed negative results for BRAF, NRAS, and c-KIT.A combined positive score (CPS) of >60% and inflammatory-cell-score (ICS) of 10% were observed. Due to the absence of metastases, the patient received postoperative adjuvant therapy with (Nivolumab) for one year with final positron emission tomography-computed tomography (PET-CT)-scan without evidence of local recurrence or metastases.

Table 1: The different types of rare metastases in the bladder

Share Image:

Figure 1: Clinic’s own pictures of preoperative CT-scan and macroscopic picture of an urachal carcinoma.

Share Image:

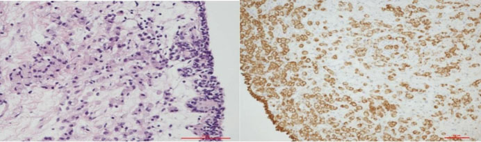
Figure 2: Clinic’s own histological pictures of a urachal cancer arisen from a urachal cyst: left, H.E. staining, right, Gieson staining.

Share Image:

Figure 3: Metastasis of an adenocarcinoma of the stomach with signet-ring-cells found in the urinary bladder (clinic’s own pictures) left: Hematoxylin-eosin-staining, right: CK staining.

Share Image:

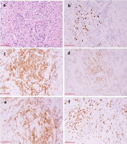
Figure 4: Clinic’s own pictures of a manifestation of a B-cell-lymphoma of the bladder with 20× magnification. (A) HE staining, (B) Ki 67, (C) positivity for CD-79a B-cell-marker, (D) positivity for CD-20 B-cell-marker, (E) positivity for CD-23 B-cell-marker, (F) positivity for CD-3 T-cell-marker.

Share Image:

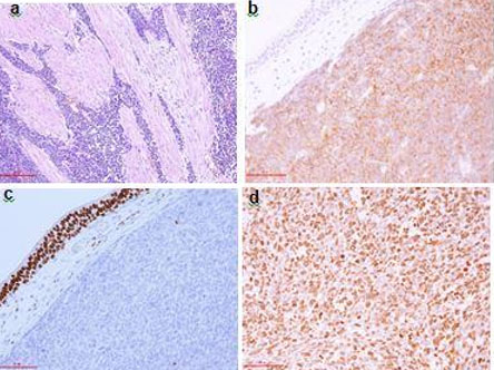
Figure 5: Clinic’s own pictures of a small cell carcinoma of the bladder. (A) HE-staining, 10× magnification proofing muscle invasive growth. Immunohistochemical staining of a (20× magnification). (B) Synaptophysin, (C) GATA3, (D) Ki67.

Share Image:

Figure 6: Clinic’s own pictures of a primary malignant melanoma of the bladder showing a positivity for Ki67.

Share Image:

Discussion


In order to do this work, we used data generated from the records of patients treated in the department of urology at St. Georg Hospital Leipzig gGmbH. The number of involved patients was 1550. All of them were managed for bladder cancer and the data were analyzed using a retrospective analysis in the time period between 06/2020 and 05/2021. The majority of these patients (1541) were suffering from primary urothelial carcinoma of the bladder. The percentage of classic urothelial carcinoma of the urinary bladder was 99.4%. This is why the etiology, pathogenesis, diagnostics, therapy, and aftercare for this histological type of tumor are well researched and established in guidelines. Histological type of tumor, the etiology, pathogenesis, diagnostics, therapy, and after-care are well researched and established in guidelines. Thus, the therapy regimens are consistent on national and international standards. For the part of the rare carcinomas of the urinary bladder, representing only 0.6% of all carcinoma of the urinary bladder in our cohort, there are no consistent therapy recommendations. For evaluation purposes merely experiential reports exist.

As stated above, bladder cancer includes different histological variants and subtypes having different prognostic indexes, and thus requiring distinct therapeutic approaches. Such variants must be histologically diagnosed and treated according to the guidelines [2]. The different subtypes are adenocarcinoma, small cell neuroendocrine carcinoma, and primary malignant melanoma. In addition, other tumor entities such as adenocarcinomas of other organs, melanomas, or lymphomas metastasize to the bladder. The fact that these carcinomas are very rare represents a big barrier against establishing a definitive statement concerning the therapy modalities. To date no objective analysis based on controlled prospective studies exist. The current therapy regimens are based on the gathered experience from dealing with small number of patient series and case reports during the past decades, and are influenced by the progress in the current therapy of the urothelial carcinoma [8]. Especially with pT2 N0-tumors the radical cystectomy proved to be invaluable. Furthermore, the different carcinomas of the bladder are increasingly resistant to adjuvant therapy strategies. Despite the indicators of benefit of selected patients with histological secured squamous cell carcinoma or adenocarcinoma receiving ionizing irradiation, there are many unsolved questions concerning the selection of patients, the modality of irradiation, the adverse effects of irradiation, and the advantage of a concurrent chemotherapy. All in all, the relevance of the adjuvant radio- or radio-chemotherapy should be further researched and evaluated in ongoing studies [4].

Analogous to small cell lung cancer the small cell carcinoma of the urinary bladder has a neuroendocrine phenotype. It is very aggressive and has a high sensitivity to (neo-) adjuvant chemotherapy. It is often diagnosed in a metastatic state. Thus, an appropriate radical therapy with neoadjuvant chemotherapy is recommended [2].

The urachal carcinoma can be etiologically distinguished from a primary adenocarcinoma of the bladder because it originates from a urachal residue while the bladder is free of carcinoma [3]. Herr et al. observed a 5-year disease-free survival rate of up to 93 % with patients whose tumors were restricted to the bladder and/or urachus at the time of the surgical resection [9]. In comparison patients with an infiltration of the peritoneum, positive resection margins and/or lymph node metastasis have a worse long-term outcome. For these patients the rate for local recurrence based on retrospective data analysis is stated with 15–18% [9].

Quite often lymphomas manifest in the genitourinary tract. Histological confirmation as well as medical imaging is vital for differential diagnosis and identifying the disease spread. Chemotherapy is the method of choice, and an interdisciplinary care of the patient is important [5].

Malignant melanoma is a malignant melanocytic neoplasia and may manifest in the urinary bladder as a primary and, more commonly, secondary lesion. The primary malignant melanoma of the urinary tract is a rare entity with less than 50 cases reported worldwide. Currently there exists no consistent classification or staging system for the different subtypes of the mucosal melanoma [10].

As with malignant melanoma of the cutis, complete surgical resection of mucosal carcinoma is of the utmost importance [10]. The resection for the mucosal malignant melanoma should always be R0. Because of insufficient data regarding the therapy of the primary malignant melanoma of the bladder there are no specific therapy guidelines. The radical cystectomy followed by a pelvic lymphadenectomy seems to be a good therapeutic choice for treating primary malignant melanoma of the urinary bladder [10]. If complete resection of the primary tumor is not possible, an adjuvant radiotherapy can be conducted in order to control the local tumor [10]. For patients in a metastatic or inoperable state, a systemic treatment with chemotherapy can be neglected because of lacking efficacy. Instead, the medical indication for the use of targeted therapies via signal transduction inhibitors (BRAF- and MEK-inhibitors) or immune checkpoint inhibitors should be evaluated [10]. For the use of BRAF-inhibitors, the molecular evidence of BRAF-mutations in the tumor is needed [6]. At present the final data for the best possible therapy-sequence of both therapies is pending [10].

Conclusion


The German guidelines lack specific therapy guidelines regarding rare carcinomas of the urinary bladder. Because of insufficient data, further investigations to optimize treatment options should be continued. A possible solution would be a central urological registry that is accessible for all national and international practicing urologists. This registry would gather all the data of urologic patients regarding diagnosis, histology, recommendation of therapy, and after-care.

REFERENCES


1.

Albarghouth MH, Hamza A. The impact of using intraoperative photodynamic diagnosis on the prognosis of bladder cancer. [Article in German]. Aktuelle Urol 2022;53(6):552–8. [CrossRef] [Pubmed]   Back to citation no. 1  

2.

Bertz S, Hartmann A, Knüchel-Clarke R, Gaisa NT. Specific types of bladder cancer. [Article in German]. Pathologe 2016;37(1):40–51. [CrossRef] [Pubmed]   Back to citation no. 1  

3.

Cheng L, Lopez-Beltran A, MacLennan GT, Montironi R, Bostwick DG. Neoplasms of the urinary bladder. In: Bostwick DG, Cheng L, editors. Urological Surgical Pathology. 3ed. Philadelphia: Elsevier Saunders; 2014. p. 230–317.   Back to citation no. 1  

4.

Retz M, Gschwend JE, Maisch P. Short version of the German S3 guideline for bladder cancer. [Article in German]. Urologe A 2016;55(9):1173–87. [CrossRef] [Pubmed]   Back to citation no. 1  

5.

Kempton CL, Kurtin PJ, Inwards DJ, Wollan P, Bostwick DG. Malignant lymphoma of the bladder: Evidence from 36 cases that low-grade lymphoma of the MALT-type is the most common primary bladder lymphoma. Am J Surg Pathol 1997;21(11):1324–33. [CrossRef] [Pubmed]   Back to citation no. 1  

6.

Gore MR, Zanation AM. Survival in sinonasal melanoma: A meta-analysis. J Neurol Surg B Skull Base 2012;73(3):157–62. [CrossRef] [Pubmed]   Back to citation no. 1  

7.

Cox R, Epstein JI. Large nested variant of urothelial carcinoma: 23 cases mimicking von Brunn nests and inverted growth pattern of noninvasive papillary urothelial carcinoma. Am J Surg Pathol 2011;35(9):1337–42. [CrossRef] [Pubmed]   Back to citation no. 1  

8.

Rausch S, Von Knobloch R. Natürlicher Verlauf des Marburger Patientenguts an operierten Plattenepithelkarzinomen des Harntrakts [Dissertation], Philipps-Universität Marburg; 2008.   Back to citation no. 1  

9.

Herr HW, Bochner BH, Sharp D, Dalbagni G, Reuter VE. Urachal carcinoma: Contemporary surgical outcomes. J Urol 2007;178(1):74–8. [CrossRef] [Pubmed]   Back to citation no. 1  

10.

Pflugfelder A, Kochs C, Blum A, et al. Malignant melanoma S3-guideline “diagnosis, therapy and follow-up of melanoma”. J Dtsch Dermatol Ges 2013;11 Suppl 6:1–116, 1–126. [CrossRef] [Pubmed]   Back to citation no. 1  

SUPPORTING INFORMATION


Acknowledgments

The authors would like to give special thanks to Prof. Dr. Youssef Barakat for his efforts in reviewing and grammatical correction of this work.

Author Contributions

Mohamad Hatem Albarghouth - Conception of the work, Design of the work, Acquisition of data, Analysis of data, Revising the work critically for important intellectual content, Final approval of the version to be published, Agree to be accountable for all aspects of the work in ensuring that questions related to the accuracy or integrity of any part of the work are appropriately investigated and resolved.

Robin Bothmann - Acquisition of data, Drafting the work, Final approval of the version to be published, Agree to be accountable for all aspects of the work in ensuring that questions related to the accuracy or integrity of any part of the work are appropriately investigated and resolved.

Amir Hamza - Conception of the work, Design of the work, Drafting the work, Final approval of the version to be published, Agree to be accountable for all aspects of the work in ensuring that questions related to the accuracy or integrity of any part of the work are appropriately investigated and resolved.

Guarantor of Submission

The corresponding author is the guarantor of submission.

Source of Support

None

Consent Statement

Written informed consent was obtained from the patient for publication of this article.

Data Availability

All relevant data are within the paper and its Supporting Information files.

Conflict of Interest

Authors declare no conflict of interest.

Copyright

© 2023 Mohamad Hatem Albarghouth et al. This article is distributed under the terms of Creative Commons Attribution License which permits unrestricted use, distribution and reproduction in any medium provided the original author(s) and original publisher are properly credited. Please see the copyright policy on the journal website for more information.