Case Report


A novel clinical protocol for dentin hypersensitivity management based on regenerative dental gel associated with calcium: A case study in a patient with periodontal disease

,  ,  ,  ,  ,  

1 Student, Faculty of Dentistry, Federal University of Alfenas (UNIFAL-MG), Alfenas, Minas Gerais, Brazil

2 Graduating, Faculty of Dentistry, Federal University of Alfenas (UNIFAL-MG), Alfenas, Minas Gerais, Brazil

3 Doctor, Faculty of Dentistry, Federal University of Alfenas (UNIFAL-MG), Alfenas, Minas Gerais, Brazil

Address correspondence to:

Leandro Araújo Fernandes

Universidade Federal de Alfenas – UNIFAL-MG, Rua Gabriel Monteiro da Silva, 700, Centro, CEP: 37130-001, Alfenas, MG,

Brazil

Message to Corresponding Author


Article ID: 101386Z01AR2023

doi:10.5348/101386Z01AR2023CR

Access full text article on other devices

Access PDF of article on other devices

How to cite this article

Reis ALM, dos Reis MC, Mazzola T, da Cruz Pegoraro JV, de Lima DC, Fernandes LA. A novel clinical protocol for dentin hypersensitivity management based on regenerative dental gel associated with calcium: A case study in a patient with periodontal disease. Int J Case Rep Images 2023;14(1):70–74.

ABSTRACT


Introduction: Dentin hypersensitivity (DH) is defined as pain caused by dentin exposure in response to various stimuli. Patients with periodontal disease (PD) frequently report DH due to root surface exposure or after periodontal treatment. Bioactive agents derived from calcium and/or silicon-based systems, such as REFIX technology, have been used to promote tooth regeneration, with focus on tooth sensitivity treatment.

Case Report: Based on this, the efficacy of REFIX gel combined with calcium on the treatment of a DH was evaluated in a PD 45-year-old male patient. The patient’s right and left sides were randomly selected to use one of the prophylaxis dental protocols: REFIX dental gel/calcium (RDGCa) (experimental: 13, 14, 15 teeth) or Pumice Stone (PS) (control: 23, 24, 25 teeth). The products were applied using dental polishing brush during 10 seconds in each tooth surface. Schiff Air Index (SAI) for sensitive teeth (0–3) were performed by applying air jet to each tooth’s vestibular surface for 5 seconds after and before the prophylaxis. The patient reported pain and interruption of the stimulus before and after PS prophylaxis (SAI 3 and 3 respectively). There was a reduction in pain when RDGCa protocol was used (SAI 3—before/SAI 1—after). In this instance, the patient felt the stimulus but did not request to be interrupted. This contrasted with the outcomes of the initial stimulus as well as PS.

Conclusion: The results showed that the RDGCa strategy was successful in lowering DH in PD patients.

Keywords: Bioactive agents, Dental regeneration, Dentin hypersensitivity, Desensitizing agents, Periodontal disease

Introduction


A short-lived, sharp, localized, transitory pain caused by the exposure of the dentin is known as dentine hypersensitivity (DH) [1],[2],[3],[4],[5],[6]. A considerable section of the population is affected by DH, which causes discomfort and has an adverse effect on the oral health and quality of life [3],[4],[7]. Its prevalence in the adult population ranges from 3% to 57%, and in patients with periodontal disease, it can reach up to 98% (PD). More women than men are being affected in the majority [3],[6].

Dentine hypersensitivity is more prevalent in patients who are between the ages of 20 and 40, and the teeth with the highest incidence are the canines and premolars on either side in the cervical region. Additionally, HD is more frequently experienced in patients with PD [3],[4],[5].

The mechanism of sensitivity is caused by the direct nerve stimulation/irritation of the odontoblastic processes, and hydrodynamic flow in the open dentinal tubules [1],[3].

The treatments are based on two strategies: either preventing fluid movement by obliterating the dentinal tubules or blocking the nerve signals to the pulpal receptors, which disrupts the body’s response to painful stimuli [5],[6] . Finding a treatment that is quick, effective, and eliminates the painful sensation of hypersensibility while preventing recurrence is one of the major challenges facing dentistry today [5].

Bioactive agents derived from calcium and/or silicon-based systems, such as REFIX technology, have been used in dental gels to promote tooth remineralization/regeneration, with focus on tooth sensitivity treatment [3],[6],[8],[9],[10],[11].

REFIX Dental Technology is an acidified bioactive complex designed by the combination of salts, organic compounds, and silicon and phosphate-containing substances. During brushing, this bioactive formula binds to the tooth surface, nucleating calcium and phosphates and this action forms a silicon enriched apatite layer that can obliterate the open dentinal tubules. These ionic alterations reduce hydroxyapatite solubility, lowering dentinal fluid movement and enhancing mechanical characteristics. It prevents DH, particularly in PD patients [3],[6],[9],[10],[11].

In light of this, the purpose of the study is to describe the treatment of HD in a patient with PD using the REFIX dental gel associated with calcium.

Case Report


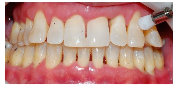
A 45-year-old male patient with no systemic illness exhibited severe DH symptoms bilaterally in canine and premolar teeth due to periodontal recessions. A clinical examination revealed the presence of biofilm, gingival recession, and periodontal pocketing on the buccal surfaces of the upper and lower premolars, as well as the superior and inferior molars (Figure 1). Schiff Air Index (SAI) was performed in the teeth 13, 14, 15,23, 24, and 25 by applying air jet to each tooth’s vestibular surface for 5 seconds after and before the prophylaxis protocol according sensitivity scale: 0 = Tooth/subject does not show sensitivity in response to air stimulation; 1 = Tooth/subject responds to air stimulus, but does not request discontinuation of stimulus; 2 = Tooth/subject responds to air stimulus, and requests discontinuation or moves from stimulus; 3 = Tooth/subject responds to stimulus, consider stimulus to be painful, and requests discontinuation of the stimulus [6].

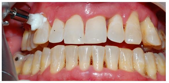
The patient’s right and left sides were randomly selected to use one of the prophylaxis dental protocols: REFIX dental gel associated with calcium (RDGCa) (experimental) or Pumice Stone (PS) (control). The vestibular faces of the teeth 13, 14, and 15 were treated with RDGCa, (Figure 2) and the vestibular faces of the teeth 23, 24, and 25 were treated with PS (Figure 3). The applications involved prophylaxis with the products using dental polishing brush duration of 10 seconds in each tooth surface.

The patient reported SAI-3 before and after the PS prophylaxis protocol, that is, he expressed pain and requested an interruption of the stimulus. Differently occurs when RDGCa prophylaxis protocol was applied. In this case, the patient reported SAI-3 at baseline and score 1 (he felt the stimulus but did not request an interruption) after the prophylaxis (Table 1).

Figure 1: The patient’s initial view from the authors’ source.

Share Image:

Figure 2: REFIX dental gel associated with calcium application from the authors’ source.

Share Image:

Figure 3: Pomes stone application from the authors’ source.

Share Image:

Table 1: Schiff scale values before and after the prophylaxis protocols

Share Image:

Discussion


The hallmark of HD is an intense toothache brought on by various stimuli to the dentinal tissue that is exposed in the oral cavity. The information provided by the patient is closely tied to the diagnosis, and it is the professional’s responsibility to certify that the region of exposed dentin or the local that may be causing this change is safe to work on [1],[2],[3],[4],[5],[6].

The development of PD can lead to gingival recessions, which is a significant factor in the development of DH. In addition, periodontal therapy exposes dentin-related tissues after crown-root abrasion (CRA), which can also lead to dentin sensitivity [6]. According to clinical examination the patient has gingival recesses as a result of PD, and this condition causes HD and difficulty with dental hygiene.

The aim of HD treatment is to prevent fluid movement by obliterating the dentin tubules or by blocking the neuronal activity of the pulp receptors [5],[6]. In the current study, the treatment for HD was based on the use of REFIX Dental Technology, with the goal of blocking open dentin tubules preventing fluid movement. The rationale for this effectiveness is based on the design and mode of action of the REFIX technology. This product comprising an acidic fluoride dentifrice associated with phosphates and silica. According to the manufacturer, this association favors the formation of a layer of fluoridated apatite containing silicon that occurs on the dental surface and deeper in the enamel tissue. This protective layer also forms within the open dentinal tubules helping to protect against HD [3],[6],[9],[10],[11].

The findings in this study showed a pain relief when REFIX dental gel associated with calcium was used in a prophylaxis dental protocol. This occurrence may provide benefits to the patient by reducing pain and discomfort during periodontal treatment and maintenance. The results are consistent with the literature, which describes a significant reduction in HD when REFIX Dental Technology was used [3],[6]. Vilhena et al. (2020) conducted a clinical trial in 53 volunteers to assess the efficacy of a toothpaste incorporating the REFIX technology against HD. The baseline data revealed a mean Visual Analogic Scale (VAS) (100–0) pain index of severe pain (VAS—65). There was an average decrease to mild pain (VAS—25) after the first brushing, with one-third of the group no longer experiencing pain. An average pain-free score (VAS—07) was found after one week of therapy [3]. Another clinical trial performed by Zangrano et al. (2021) demonstrated the benefits of REFIX and NovaMin blocking tubules dentifrices on DH reduction in 18 periodontal patients using the VAS and SAI pain scales. There were no statistically significant differences between the technologies after eight weeks of treatment. In general, there was an average reduction from severe pain (VAS—64) to mild pain (VAS—21) after using dentifrices. Similarly, SAI pain scale revealed a mean reduction in DH when the technologies were employed (SAI—2.26–0.56) [6].

Conclusion


The patient’s self-performed maintenance of appropriate daily oral hygiene is one of the crucial elements for the efficacy and stability of periodontal therapy. Thus, REFIX technology may be a viable alternative for periodontal health after basic and maintenance periodontal therapy.

REFERENCES


1.

Milleman JL, Milleman KR, Clark CE, Mongiello KA, Simonton TC, Proskin HM. NUPRO sensodyne prophylaxis paste with NovaMin for the treatment of dentin hypersensitivity: A 4-week clinical study. Am J Dent 2012;25(5):262–8. [Pubmed]   Back to citation no. 1  

2.

Sood S, Nagpal M, Gupta S, Jain A. Evaluation of dentine hypersensitivity in adult population with chronic periodontitis attending dental hospital in Chandigarh. Indian J Dent Res 2016;27(3):249–55. [CrossRef] [Pubmed]   Back to citation no. 1  

3.

Vilhena FV, Polassi MR, Paloco EA, Alonso RC, Guiraldo RD, D'Alpino PH. Effectiveness of toothpaste containing REFIX technology against dentin hypersensitivity: A randomized clinical study. J Contemp Dent Pract 2020;21(6):609–14. [Pubmed]   Back to citation no. 1  

4.

Amaechi BT, Lemke KC, Saha S, Luong MN, Gelfond J. Clinical efficacy of nanohydroxyapatite-containing toothpaste at relieving dentin hypersensitivity: An 8 weeks randomized control trial. BDJ Open 2021;7(1):23. [CrossRef] [Pubmed]   Back to citation no. 1  

5.

Griesinger LM, Szczepanski JM, McMullen ER, Skala SL. Uncommon cervical lesions: A review and discussion of the differential diagnosis. Arch Pathol Lab Med 2021;145(7):891–902. [CrossRef] [Pubmed]   Back to citation no. 1  

6.

Zangrando MSR, Silva GFF, Bigotto MLB, et al. Blocking tubules technologies for dentin hypersensitivity in periodontal patients. Research, Society, and Development 2021;10(13):1–7. [CrossRef]   Back to citation no. 1  

7.

Creeth J, Gallob J, Sufi F, et al. Randomised clinical studies investigating immediate and short-term efficacy of an occluding toothpaste in providing dentine hypersensitivity relief. BMC Oral Health 2019;19(1):98. [CrossRef] [Pubmed]   Back to citation no. 1  

8.

Philip N. State of the art enamel remineralization systems: The next frontier in caries management. Caries Res 2019;53(3):284–95. [CrossRef] [Pubmed]   Back to citation no. 1  

9.

Vilhena FV, de Oliveira SML, Matochek MHM, Tomaz PLS, Oliveira TS, D'Alpino PHP. Biomimetic mechanism of action of fluoridated toothpaste containing proprietary REFIX technology on the remineralization and repair of demineralized dental tissues: An in vitro study. Eur J Dent 2021;15(2):236–41. [CrossRef] [Pubmed]   Back to citation no. 1  

10.

Fernandes NLS, Silva JGVC, de Sousa EBG, et al. Effectiveness of fluoride-containing toothpastes associated with different technologies to remineralize enamel after pH cycling: An in vitro study. BMC Oral Health 2022;22(1):489. [CrossRef] [Pubmed]   Back to citation no. 1  

11.

Vilhena FV, Lonni AASG, D’Alpino PHP. Silicon-enriched hydroxyapatite formed induced by REFIX-based toothpaste on the enamel surface. Braz Dent Sci 2021;24(4 Suppl 1):1–7. [CrossRef]   Back to citation no. 1  

SUPPORTING INFORMATION


Acknowledgments

The authors are grateful for the support of Trials—Oral Health and Technologies for making the product used for the study available.

Author Contributions

Ana Luiza Marques Reis - Acquisition of data, Analysis of data, Drafting the work, Final approval of the version to be published, Agree to be accountable for all aspects of the work in ensuring that questions related to the accuracy or integrity of any part of the work are appropriately investigated and resolved.

Marcela de Cássia dos Reis - Acquisition of data, Analysis of data, Drafting the work, Final approval of the version to be published, Agree to be accountable for all aspects of the work in ensuring that questions related to the accuracy or integrity of any part of the work are appropriately investigated and resolved.

Thamires Mazzola - Acquisition of data, Analysis of data, Drafting the work, Final approval of the version to be published, Agree to be accountable for all aspects of the work in ensuring that questions related to the accuracy or integrity of any part of the work are appropriately investigated and resolved.

João Vitor da Cruz Pegoraro - Acquisition of data, Analysis of data, Drafting the work, Final approval of the version to be published, Agree to be accountable for all aspects of the work in ensuring that questions related to the accuracy or integrity of any part of the work are appropriately investigated and resolved.

Daniela Coelho de Lima - Acquisition of data, Analysis of data, Drafting the work, Final approval of the version to be published, Agree to be accountable for all aspects of the work in ensuring that questions related to the accuracy or integrity of any part of the work are appropriately investigated and resolved.

Leandro Araújo Fernandes - Conception of the work, Design of the work, Acquisition of data, Analysis of data, Drafting the work, Revising the work critically for important intellectual content, Final approval of the version to be published, Agree to be accountable for all aspects of the work in ensuring that questions related to the accuracy or integrity of any part of the work are appropriately investigated and resolved.

Guarantor of Submission

The corresponding author is the guarantor of submission.

Source of Support

None

Consent Statement

Written informed consent was obtained from the patient for publication of this article.

Data Availability

All relevant data are within the paper and its Supporting Information files.

Conflict of Interest

Authors declare no conflict of interest.

Copyright

© 2023 Ana Luiza Marques Reis et al. This article is distributed under the terms of Creative Commons Attribution License which permits unrestricted use, distribution and reproduction in any medium provided the original author(s) and original publisher are properly credited. Please see the copyright policy on the journal website for more information.