Case Report


Solitary fibrous tumor of liver: A case report

,  ,  ,  

1 Master in Pathology, MD Pathologist, Assistant Pathologist, Laboratory of Pathological Anatomy, Lauro Wanderley University Hospital of the Federal University of Paraíba, João Pessoa, Paraíba, Brazil

2 Master in Health Sciences, MD Pathologist, Assistant Pathologist, Laboratory of Pathological Anatomy, Lauro Wanderley University Hospital of the Federal University of Paraíba, João Pessoa, Paraíba, Brazil

3 PhD in Health Sciences, MD Pathologist, Assistant Pathologist, Laboratory of Pathological Anatomy, Alcides Carneiro University Hospital of the Federal University of Campina Grande, Campina Grande, Pa, Brazil

4 Medicine Student, Faculty of Medical Sciences, João Pessoa, Paraíba, Brazil

Address correspondence to:

Ricella Maria Souza da Silva

Street Abelardo da Silva Guimarães Barreto, 115, Altiplano, João Pessoa, Paraíba 58046110,

Brazil

Message to Corresponding Author


Article ID: 101029Z01RS2019

doi:10.5348/101029Z01RS2019CR

Access full text article on other devices

Access PDF of article on other devices

How to cite this article

Souza da Silva RM, Paz AR, Queiroga EM, Gouveia ÁRDS. Solitary fibrous tumor of liver: A case report. Int J Case Rep Images 2019;10:101029Z01RS2019.

ABSTRACT


Introduction: Solitary fibrous tumors (SFTs) are a rare type of spindle cell neoplasm, composed of cellular and collagenous components, predominantly arise from the pleura. SFTs of the liver (SFTL) are uncommon with little number of cases reported in English literature. The diagnosis is based on histological and morphological characteristics, associated with immunohistochemical markers and molecular analysis. The rarity of this tumor makes it difficult to evaluate its prognosis and natural course. Surgical resection remains the mainstay of treatment. The present study reports a new case of SFTL and has the main purpose of updating the current knowledge.

Case Report: A 42-year-old woman presented with right hypochondrial discomfort and postprandial fullness. Magnetic nuclear resonance of the upper abdomen showing nodular expansive formation with well-defined contours and limits, located in left hepatic lobe. Insidious evolution, after three years of detection by imaging examination, submitted left hepatectomy. Macroscopically, a nodular mass, white color, firm and elastic, measuring 3.2×3.0 cm. Microscopic examination evidenced fusocellular proliferation, hypocellular and hypercellular areas (mild atypia), with predominance of a sclerotic pattern. The immunohistochemical study revealed ki-67 1%, positivity for STAT6, CD34 and Bcl-2. The diagnosis was of Solitary Fibrous Tumor Hepatic.

Conclusion: The SFTL is rare, with only 85 cases reported in the English Literature including the present case. The clinical presentation is habitually indolent. SFTL due to its rarity, its clinical presentation, study, treatment, and prognosis are not well known.

Keywords: Hepatic tumors, Liver, Solitary fibrous tumor, Soft tissue neoplasms

Introduction


Solitary fibrous tumors (SFTs) are a rare type of spindle cell neoplasm, composed of cellular and collagenous components. It was first described in 1931 and originally believed to be only of pleural origin, SFTs have been reported in organs such as the meninges, orbit, thyroid, upper respiratory tract, peritoneum, retroperitoneum, kidneys, parotid glands, and soft tissues [1],[2],[3]. It may arise in the liver from the inner layer of its capsule or from the intrahepatic fibrous connective tissue [2]. Its development in the liver is considered uncommon.

Despite many reports on malignant cases, some with local recurrences and metastatic propagation, most SFTs of the liver (SFTL) are benign [4]. The site of origin is responsible for the variability in its clinical presentation [5]. The diagnosis is based on histological and morphological characteristics, associated with immunohistochemical markers and molecular analysis [1],[2],[3].

The recommended management of SFTL is surgical resection. Despite it, SFTs can recur and spread and have reported 10-year overall survival rates of 54–89% after a complete surgical resection [6].

We report a case of a SFTL with a review of the literature, using information from the English and Spanish scientific literature available in PubMed. The keywords “solitary fibrous tumor” and “hepatic” or “liver” had been used. Hepatic localization was described in 69 articles, the relevant ones were retrieved, reviewed, and analyzed (56 publications).

Case Report


A 42-year-old woman presented with right hypochondrial discomfort and postprandial fullness, 18 months ago. At the physical examination, the abdomen was semi-globose and painful to diffuse deep palpation, with more pronounced pain in right hypochondrium laboratory tests indicated: red blood cells 2.99 million/mm3; hemoglobin 8.9 g/dL; hematocrit 26%; transaminase AST/TGO: 110 U/L; transaminase ALT/ TGP: 308 U/L; alkaline phosphatase: 219.8 U/L; Gamma- GT: 86.3 U/L; C-reactive protein: 29.7 mL/L. Magnetic nuclear resonance of the upper abdomen showing nodular expansive formation with well-defined contours and limits in T1-weighted sequence, hyposignal in T1 and T2, located in the superomedial segment of the left hepatic lobe, presenting nodular contrast enhancement, opacified in phase late study, measuring approximately 3.6×3.1 cm. Insidious evolution, after three years of detection by imaging examination (according to information collected – incidental detection of hepatic nodule through abdominal ultrasound), left hepatectomy was performed. Surgical procedure without complications, with hospital discharge after six days.

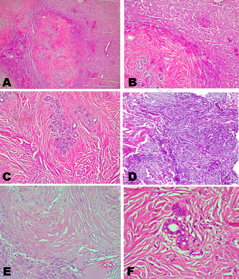
Gross examination revealed a nodular mass, white color, firm and elastic, measuring 3.2x3.0 cm. Microscopic examination evidenced fusocellular proliferation, hypocellular and hypercellular areas (mild atypia), with predominance of a sclerotic pattern, sometimes outlining angiomatoid spaces and surrounding epithelial cells of ductular arrangement (Figure 1 A–F).

The immunohistochemical study revealed ki-67 1%, positivity for STAT6, CD34, and Bcl-2 (Figure 2 A–D). The diagnosis was of solitary fibrous tumor of liver.

Figure 1: Histologic features of the lesion showed the tumor was composed of fusocellular proliferation (A–C), with hypocellular and hypercellular areas (D), predominance of a sclerotic pattern (E), sometimes outlining angiomatoid spaces and surrounding epithelial cells of ductular arrangement (F). H & E (A) 10x; (B– F) 40x.

Share Image:

Figure 2: Tumor cells showing diffuse immunohistochemical positivity for STAT6 (A, B) and CD34 (C–D).

Share Image:

Discussion


Solitary fibrous tumors is a neoplasm often reported occurring in the pleura and mediastinum, having a mesenchymal origin. Its development in the liver is considered relatively rare [7],[8]. Due to the distinct possibilities of origin of SFT of the liver (Glisson’s capsule or intrahepatic connective tissue), this neoplasm may present as a pedunculated tumor or as an intraparenchymal mass [7]. SFT is considered a benign tumor with the potential for malignant transformation [9].

There are no known predisposing factors to the SFTL, which is a form of borderline tumor [7]. Most cases of SFT have a benign behavior, with higher frequency of malignancy when they originate in the pleura [8].

Eighty five cases of SFTL have been reported in the medical literature, since 1958 to 2018, including this report. The side of the liver where the tumor presents itself does not seem to have a predisposition. The mean age of occurrence of the tumor is 56.9 (range 16–87), with predominance toward 55.9% women. 17.6% of cases showed malignant features. No cases reported in cirrhotic livers.

The clinical presentation of the symptoms is variable, related to the size of the tumor and the anatomical structures involved by it [7]. They were abdominal pain, vomiting, anorexia, abdominal distension, postprandial fullness, weight loss, and fatigue [10]. Hypoglycemia may be a finding, being part of the paraneoplastic syndrome in which there is production of insulin-like growth factor, tending to return to normal parameter after surgical treatment [11],[12]. Biochemical laboratory tests do not tend to present variation [10].

Imaging shows most lesions are single, large, wellcircumscribed, and heterogeneous, but it is not present in all patients as typical radiological features [10]. The imaging tests are no diagnostic and do not determine the behavior of the neoplasm, as in most tumors with mesenchymal line, being helpful to exclude invasion and elucidate the relationship between the tumor and neighboring structures [13]. The admixed cellular and collagenous components likely to be responsible for the heterogeneous enhancement on imaging [12]. Abdominal ultrasound mostly reveals a well-defined, hypoechogenic, or hyperechogenic mass. The hypodensity may be confirmed by the computed tomography (CT) scans, with or without irregular minimal enhancement. Magnetic resonance imaging (MRI) complements the image evaluation, showing hypointense masses on T1-weighted investigations and hyperintense areas on T2-weighted MRI images [14].

Macroscopically, most SFTs of the liver were described like as firm and elastic, white-to-gray, and well defined and delimited by a soft, thick, fibrous whitish or graywhite capsule [8],[14]. When cut, fasciculate, irregular, yellowish and whitish areas interspersed with soft areas and focal myxoid degeneration may be observed, besides areas of cystic degeneration, necrosis, or bleeding [8]. Grossly, the tumors varied in size from 1.5 to 45 cm in greatest diameter.

Within the diagnostic procedures, the percutaneous liver biopsy guided by radiation is not indicated, because it evaluates only part of the lesion, and some features of it can be missed. In addition, there is a risk of the tumor spreading through the puncture site [7].

The surgical resection is the management of choice to treat SFTL. Other approaches eventually are performed, such as radiotherapy, transhepatic arterial embolization, adjuvant chemotherapy, or conservative treatment [12]. The diagnosis is based on histological and morphological characteristics, associated with immunohistochemical markers and molecular analysis [1],[2],[3],[8].

Under microscopy, many architectural patterns can be seen. The most frequent is a “patternless” pattern of spindle cells, showing fields sometimes with hypocellularity, sometimes with hypercellularity, interposed by bands of collagenous tissue. It can be noted a relation that how higher the total collagen, lower cellularity [7],[10]. Necrosis can be frequently observed in both malignant and benign cases. Mitotic figures, atypia, nuclear pleomorphism, and prominent nucleoli are observed in malignant tumors. The absence of mitoses or inflammatory cells in the benign SFT is relevant, although in these cases there may be little atypia or cellular plemorphism [8].

The differential diagnosis leiomyoma, hepatic metastatic gastrointestinal stromal tumors (GISTs), hepatic angiomyolipoma, sarcoma hepatocellular carcinoma, inflammatory pseudotumor, inflammatory myofibroblastic tumor of the liver and hemangiopericytoma, peripheral nerve sheath tumor, with some entities one of substantial value, given their potential risk of metastasis and local dissemination [7],[12],[13].

In relation to immunohistochemistry, the monoclonal antibody CD34, which is a favorable endothelial cell marker, is considered as a differential marker between SFTL and other unusual spindle-cell neoplasms. But CD34 also stains some neoplasms, such as gastrointestinal stromal tumor, neural tumor, and some smooth muscle tumors, being necessary to associate with other antibody markers for which solitary fibrous tumor immunoreacts. Besides being positive for CD34, SFTLs are also positive to CD99, Bcl-2, epithelial membrane antigen, and smooth muscle a-actin. Benign SFTLs have a ki-67 positivity in 5% or less of their cells. It is suggested a ki-67 higher than 5% as a marker of malignancy [8],[12],[14].

It was recently identified the signal transduction and activator of transcription 6 (STAT6). The etiology of SFTL is attributed to mutations of the NAB2 and STAT6 genes located on chromosomal region 12q13 [3]. Almost 100% of SFTs harbor an NAB2-STAT6 fusion gene, which is considered specific to this tumor type as a very specific immunohistochemical marker para discern SFT from other similar entities. STAT6 nuclear expression in SFT was reported in our case. The tumors that originate from nervous, muscular, or epithelial tissue may be necessarily excluded, assisted by immunohistochemical markers including STAT6, CD34, VI, Bcl-2, NSE, CD99, SMA, CK18, and others [12],[15].

Hypercellularity, high mitotic activity, tumor necrosis, cytologic anaplasia, and/or nuclear atypia are suggestive of malignancy. The presence of metastatic lesions is indicative of malignancy too. In cases with mitotic index above 4/10 high power fields, local or distant recurrence is more frequent. Another predictor of recurrence also reported was tumor size [10].

The most important prognostic factor is resectability and the presence of tumor-free margins in order to prevent local or distant recurrence [10],[14]. No further treatment usually is required if the tumor is confined to the liver [14].

It is difficult to determine the long-term prognosis of this entity given the small number of patients and the absence of long-term follow-up. The main concern in such cases is that SFT can develop malignant transformation. The risk of malignancy is not extremely low (around 10% of reported cases), meaning that SFTL carries a real risk of malignant transformation [10],[11],[14]. Univariate analysis indicates that nuclear atypia/pleomorphism, high mitotic index, extrapleural location, p53-positive staining, and the presence of telomerase reverse transcriptase (TERT) mutation are associated with lower survival rates [12].

Conclusion


It is an uncommon neoplasm, with only 85 cases reported in the English Literature including the present case. The clinical presentation is habitually indolent. The diagnosis is based on histological and morphological characteristics, associated with immunohistochemical markers and molecular analysis. The rarity of this tumor makes it difficult to evaluate its prognosis and natural course. Surgical resection remains the mainstay of treatment and appears to be curative of most cases.

REFERENCES


1.

Debs T, Kassir R, Amor IB, Martini F, Iannelli A, Gugenheim J. Solitary fibrous tumor of the liver: Report of two cases and review of the literature. Int J Surg 2014;12(12):1291–4. [CrossRef] [Pubmed]   Back to citation no. 1  

2.

Bejarano-González N, García-Borobia FJ, Romaguera-Monzonís A, et al. Soliary fibrous tumor of the liver. Case report and review fo the literature. Rev Esp Enferm Dig 2015;107(10):633–9. [CrossRef] [Pubmed]   Back to citation no. 1  

3.

Liu Q, Liu J, Chen W, Mao S, Guo Y. Primary solitary fibrous tumors of liver: A case report and literature review. Diagn Pathol 2013;8:195. [CrossRef] [Pubmed]   Back to citation no. 1  

4.

Alonso A, Hernández-Guerra M, González Y, et al. Intraabdominal mass with difficult diagnosis: Solitary fibrous tumor. Gastroenterol Hepatol 2010;33(4):303–6. [CrossRef]   Back to citation no. 1  

5.

Changku J, Shaohua S, Zhicheng Z, Shusen Z. Solitary fibrous tumor of the liver: Retrospective study of reported cases. Cancer Invest 2006;24(2):132–5. [CrossRef] [Pubmed]   Back to citation no. 1  

6.

Feng LH, Dong H, Zhu YY, Cong WM. An update on primary hepatic solitary fibrous tumor: An examination of the clinical and pathological features of four case studies and a literature review. Pathol Res Pract 2015;211(12):911–7. [CrossRef] [Pubmed]   Back to citation no. 1  

7.

Beltrán MA. Solitary fibrous tumor of the liver: A review of the current knowledge and report of a new case. J Gastrointest Cancer 2015;46(4):333–42. [CrossRef] [Pubmed]   Back to citation no. 1  

8.

Du EH, Walshe TM, Buckley AR. Recurring rare liver tumor presenting with hypoglycemia. Gastroenterology 2015;148(2):e11–3. [CrossRef] [Pubmed]   Back to citation no. 1  

9.

Fletcher CDM, Bridge JA, Lee JC. Extrapleural solitary fibrous tumour. In: Fletcher CDM, Bridge JA, Hogendoorn PCW, Mertens F, editors. WHO Classification of Tumours of Soft Tissue and Bone. 4ed. Lyon: IARC Press; 2013. p. 74–8.   Back to citation no. 1  

10.

Makino Y, Miyazaki M, Shigekawa M, et al. Solitary fibrous tumor of the liver from development to resection. Intern Med 2015;54(7):765–70. [CrossRef] [Pubmed]   Back to citation no. 1  

11.

Kueht M, Masand P, Rana A, Cotton R, Goss J. Concurrent hepatic hemangioma and solitary fibrous tumor: Diagnosis and management. J Surg Case Rep. 2015;2015(7). pii: rgv0189. [CrossRef] [Pubmed]   Back to citation no. 1  

12.

Maccio L, Bonetti LR, Siopis E, Palmiere C. Malignant metastasizing solitary fibrous tumors of the liver: A report of three cases. Pol J Pathol 2015;66(1):72–6. [Pubmed]   Back to citation no. 1  

13.

Pitrella A, Domínguez A, Camus W, Noceti M, Boroni I. Doege-Potter syndrome. [Artícle ín Spanish]. Medicina (B Aires) 2016;76(5):315. [Pubmed]   Back to citation no. 1  

14.

Chen N, Slater K. Solitary fibrous tumour of the liver-report on metastasis and local recurrence of a malignant case and review of literature. World J Surg Oncol 2017;15(1):27. [CrossRef] [Pubmed]   Back to citation no. 1  

15.

Degnan AJ, Lee KK, Minervini MI, Borhani AA. Metastatic extrapleural malignant solitary fibrous tumor presenting with hypoglycemia (Doege-Potter syndrome). Radiol Case Rep 2017;12(1):113–9. [CrossRef] [Pubmed]   Back to citation no. 1  

SUPPORTING INFORMATION


Acknowledgments

Thanks to Unit Pathology Laboratory of the University Hospital LauroWanderley and the pathologist Emílio Marcelo Pereira by the considerations and opinions about the case.

Author Contributions

Ricella Maria Souza da Silva - Conception of the work, Design of the work, Acquisition of data, Analysis of data, Drafting the work, Revising the work critically for important intellectual content, Final approval of the version to be published, Agree to be accountable for all aspects of the work in ensuring that questions related to the accuracy or integrity of any part of the work are appropriately investigated and resolved.

Alexandre Rolim da Paz - Acquisition of data, Analysis of data, Drafting the work, Revising the work critically for important intellectual content, Final approval of the version to be published, Agree to be accountable for all aspects of the work in ensuring that questions related to the accuracy or integrity of any part of the work are appropriately investigated and resolved.

Eduardo Moreira de Queiroga - Acquisition of data, Analysis of data, Revising the work critically for important intellectual content, Final approval of the version to be published, Agree to be accountable for all aspects of the work in ensuring that questions related to the accuracy or integrity of any part of the work are appropriately investigated and resolved.

Áfia Reginada Silva Gouveia - Acquisition of data, Revising the work critically for important intellectual content, Final approval of the version to be published, Agree to be accountable for all aspects of the work in ensuring that questions related to the accuracy or integrity of any part of the work are appropriately investigated and resolved.

Source of Support

None

Consent Statement

Written informed consent was obtained from the patient for publication of this article.

Data Availability

All relevant data are within the paper and its Supporting Information files.

Conflict of Interest

Authors declare no conflict of interest.

Copyright

© 2019 Ricella Maria Souza da Silva et al. This article is distributed under the terms of Creative Commons Attribution License which permits unrestricted use, distribution and reproduction in any medium provided the original author(s) and original publisher are properly credited. Please see the copyright policy on the journal website for more information.