Case Series


Van Neck–Odelberg osteochondritis versus osteoarthritis or tumoral disease: A case series

,  

1 Post-Graduate Student, Department of Radiology, Université Libre de Bruxelles (ULB), Brussels, Belgium

2 Senior Radiologist, Department of Radiology, CHU CHARLEROI, Université Libre de Bruxelles (ULB), Brussels, Belgium

Address correspondence to:

Giulia Sorce

Université Libre de Bruxelles, Route de Lennik 808, Anderlecht,

Belgium

Message to Corresponding Author


Article ID: 101494Z01GS2025

doi:10.5348/101494Z01GS2025CS

Access full text article on other devices

Access PDF of article on other devices

How to cite this article

Sorce G, Fumière E. Van Neck–Odelberg osteochondritis versus osteoarthritis or tumoral disease: A case series. Int J Case Rep Images 2025;16(1):29–32.

ABSTRACT


Introduction: Enlarged ischiopubic synchondrosis is a frequent finding in radiology. Although it is a normal growth phenomenon, its tumor-like appearance may cause diagnostic confusion.

Case Series: We report two cases of pediatric patients presenting with unilateral pelvic pain. Magnetic resonance imaging findings revealed asymmetrical ischiopubic synchondrosis enlargement, mimicking tumoral conditions. Conservative management resulted in clinical improvement.

Conclusion: Recognizing this radiological appearance is crucial to avoid unnecessary interventions and differentiate it from more severe pathologies.

Keywords: Hip pain, Ischiopubic synchondrosis, Osteochondrosis, Van Neck–Odelberg

Introduction


Ischiopubic synchondrosis (IPS) is the junction between the inferior ischial and pubic rami and is principally composed of hyaline cartilage. With skeletal maturation, like all synchondroses, it becomes thinner and then obliterates, either due to bony union or synostosis. Ischiopubic synchondrosis closure is somewhat variable and is typically completed before puberty. In early childhood, enlargement of this synchondrosis is bilateral; however, in older children, it is commonly unilateral. These radiographic changes may mimic stress fractures, neoplasm, osteomyelitis, or post-traumatic osteolysis, causing diagnostic problems.

Like the Van Neck study [1], Odelberg first described swelling and uneven mineralization in the IPS on radiographs in 1924, and Van Neck later proposed the term “osteochondritis of the pubis” for similar findings in symptomatic young girls [2].

CASE SERIES


Case 1

A 10-year-old female with left foot dominance was admitted to our hospital because of chronic pain involving the right gluteal region, increasing in intensity for one week, and accompanied by a limp for one day. There was no history of significant trauma and no biological or clinical signs of infection. She was a compulsive gymnast and swimmer (averaging 12 hours of practice per week).

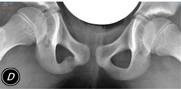
Anteroposterior radiographs of the pelvis showed an asymmetric enlarged right IPS with a focal area of osteolysis (Figure 1), raising suspicion of tumoral disease.

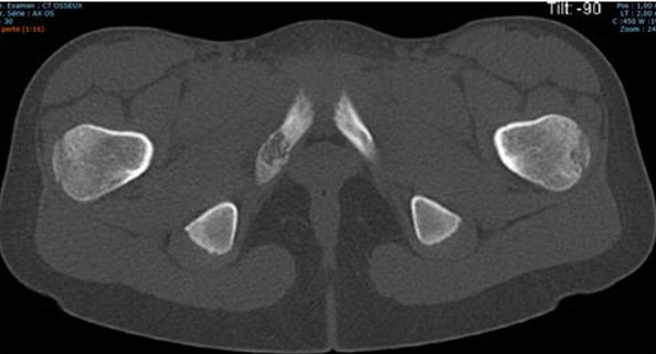
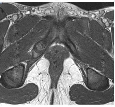
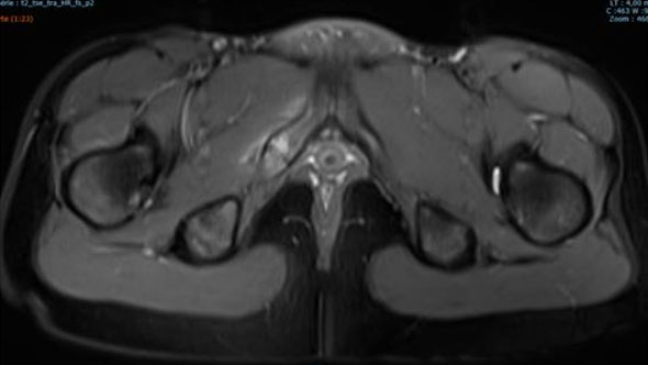
As observed in the Herneth study [3], pelvic magnetic resonance imaging (MRI) performed on a whole-body 1.5 T scanner (Avanto, Siemens Medical Systems, Erlangen, Germany) revealed hyperintense signal alteration of the bone marrow surrounding the right IPS on T2-weighted images, widening of the synchondrosis, and a hypointense band-line structure perpendicular to the pubic axis in the center of the IPS. Moderate hyperintense signals were also noted in the surrounding soft tissues (Figure 2). A computed tomography (CT) scan demonstrated focal enlargement of the right ischiopubic branch with central radiolucency and cortical thinning (Figure 3).

Improvement in symptoms was noted after one month of anti-inflammatory therapy and cessation of sports activities. A follow-up MRI after one month showed a significant decrease in perilesional edema, consistent with Macarini’s observations [4], confirming the non-tumoral nature of the condition and highlighting the importance of conservative management in such cases.

 

Case 2

A 10-year-old male was admitted to our hospital after five days of fever and progressive right hip pain, not preceded by trauma. Laboratory tests revealed elevated inflammatory markers, and blood cultures were positive for Staphylococcus aureus.

Anteroposterior radiographs of the pelvis showed symmetric enlarged IPS with a focal moderate area of demineralization of the right IPS.

As described in the Wait et al. study [5], pelvic MRI performed on a whole-body 1.5 T scanner revealed hyperintense signal alteration of the bone marrow surrounding the right IPS on T2-weighted images, symmetrical enlargement of IPS, a transverse hypersignal band-like structure perpendicular to the pubic axis, a local collection, and marked edema of the surrounding soft tissues (Figure 4). These imaging findings, combined with clinical symptoms, were suggestive of acute osteomyelitis.

Prompt initiation of antimicrobial therapy resulted in a favorable outcome, underscoring the critical role of timely and accurate diagnosis in managing pediatric patients presenting with such symptoms.

Figure 1: Anteroposterior radiograph of the pelvis demonstrating an asymmetric enlargement of the right ischiopubic synchondrosis (IPS) with a focal area of osteolysis.

Share Image:

Figure 2: Pelvic MRI performed on a whole-body 1.5 T scanner (Avanto, Siemens Medical Systems, Erlangen, Germany) shows hyperintense signal alteration of the bone marrow surrounding the right ischiopubic synchondrosis on T2-weighted images, with widening of the synchondrosis and a hypointense band-line structure perpendicular to the pubic axis at the center of the IPS. Moderate hyperintense signal of the surrounding soft tissues is also visible.

Share Image:

Figure 3: CT scan demonstrates a focal enlargement of the right ischiopubic branch with central radiolucency and cortical thinning.

Share Image:

Figure 4: Pelvic MRI performed on a whole-body 1.5 T scanner reveals hyperintense signal alteration of the bone marrow surrounding the right ischiopubic synchondrosis on T2-weighted images, with symmetrical enlargement of the IPS. Additional findings include a transversal hypersignal band-like structure perpendicular to the pubic axis at the center of the right synchondrosis, a local collection, and marked edema of the surrounding soft tissues.

Share Image:

Discussion


The temporary joint between the inferior rami of the pubis and ischium becomes ossified at the time of puberty. Growth is completed from two ossification centers: the superomedial pubic center and the posterolateral ischial center, with a bridge of cartilaginous tissue extending between these two, called ischiopubic synchondrosis. Ossification begins in early childhood and final obliteration occurs before puberty after thinning of the cartilaginous bridge followed by bony union.

Like the Duben study [6], prior to fusion, the cartilaginous junction may enlarge and appear as an osteolytic lesion on radiographs. Asymmetrical enlargement in the later stage is frequently observed and has no pathological significance. The enlarged IPS is a normal phenomenon of growth but its tumor-like appearance may be a source of confusion if it occurs unilaterally and is associated with pain.

Differentiating this condition from other pathologies is critical. For example, stress fractures typically present with a history of repetitive trauma and localized pain, and imaging often reveals cortical disruption and periosteal reaction. Neoplasms, such as Ewing’s sarcoma or osteosarcoma, exhibit aggressive radiological features, including periosteal elevation and soft tissue masses. Osteomyelitis, on the other hand, is often accompanied by systemic symptoms such as fever and elevated inflammatory markers, with MRI findings showing diffuse bone marrow edema and abscess formation.

It has been hypothesized that asymmetrical ossification is associated with over-activity of the hamstrings on the ischial tuberosity [6]. Like the Herneth study [3], asymmetrical enlargement may result from unequally distributed forces, causing delayed closure on the non-dominant side. Wait et al. [5] further emphasized the importance of MRI findings, particularly the presence of a fibrous hypointense bridge in osteochondritis compared to its hypersignal replacement in osteomyelitis.

Conclusion


The enlarged IPS is a normal phenomenon of growth; however, its tumor-like appearance may lead to diagnostic confusion if associated with pain. Knowledge of this condition and the normal appearance of the IPS on radiographs, CT, and MRI is essential to differentiate it from conditions such as stress fractures, infections, or tumors in symptomatic children.

REFERENCES


1.

Van Neck M. Osteochondritis of the pubis. Arch Franco-Belge Chir 1924;27:238–41.   Back to citation no. 1  

2.

Odelberg A. Some cases of destruction in the ischium of doubtful etiology. Acta Chir Scand 1923;56:273–84.   Back to citation no. 1  

3.

Herneth AM, Philipp MO, Pretterklieber ML, Balassy C, Winkelbauer FW, Beaulieu CF. Asymmetric closure of ischiopubic synchondrosis in pediatric patients: Correlation with foot dominance. AJR Am J Roentgenol 2004;182(2):361–5. [CrossRef] [Pubmed]   Back to citation no. 1  

4.

Macarini L, Lallo T, Milillo P, Muscarella S, Vinci R, Stoppino LP. Case report: Multimodality imaging of van Neck-Odelberg disease. Indian J Radiol Imaging 2011;21(2):107–10. [CrossRef] [Pubmed]   Back to citation no. 1  

5.

Wait A, Gaskill T, Sarwar Z, Busch M. Van neck disease: Osteochondrosis of the ischiopubic synchondrosis. J Pediatr Orthop 2011;31(5):520–4. [CrossRef] [Pubmed]   Back to citation no. 1  

6.

Duben W. Transformation zones in the infantile ischiopubic epiphysis and its significance in differential diagnosis. [Article in Undetermined language]. Chirurg 1950;21(3):148–52. [Pubmed]   Back to citation no. 1