Case Report


More than meets the eye: Pulmonary embolism in an HIV patient with COVID-19 infection

,  ,  ,  

1 University Hospitals of Derby and Burton NHS Foundation Trust, Queens Hospital, Belvedere Road, Burton-on-Trent, DE13 0RB, Staffordshire, United Kingdom

Address correspondence to:

Nonyelum Obiechina

Department of General Medicine and Geriatric Medicine, University Hospitals of Derby and Burton NHS Trust,

United Kingdom

Message to Corresponding Author


Article ID: 101186Z01NO2020

doi:10.5348/101186Z01NO2020CR

Access full text article on other devices

Access PDF of article on other devices

How to cite this article

Obiechina N, Fernandez A, Agha A, Nandi A. More than meets the eye: Pulmonary embolism in an HIV patient with COVID-19 infection. Int J Case Rep Images 2020;11:101186Z01NO2020.

ABSTRACT


Introduction: Since the emergence of the novel coronavirus 2019 (COVID-19) pandemic, the understanding of its pathophysiology and clinical features has continued to unfold. COVID-19 causes acute respiratory distress syndrome (ARDS) along with other coronaviruses. In contrast to other coronaviruses, COVID-19 has been found to be associated with deep vein thrombosis, pulmonary embolism, and arterial thrombosis. Although COVID-19 is thought to have worse outcomes in immunocompromised patients, its relationship with human immunodeficiency virus (HIV) remains interesting. This is because COVID-19 has been shown to be similar in frequency of occurrence in HIV patients on anti-retroviral (ART) and in whom the viral load is low as in non-HIV patients. However, its incidence is higher in non-compliant HIV patients, similar to other immunosuppressed patients. In addition, both COVID-19 and HIV increase the risk of thrombo-embolic events.

Case Report: We present the case of a gentleman with HIV who developed COVID-19 and pulmonary embolism. We explore the proposed mechanisms by which pulmonary embolism occurs in both conditions as well as their management.

Conclusion: Both HIV and COVID-19 increase the risk of thrombo-embolic events. Sudden deterioration in these patients or increase in their oxygen requirement should alert clinicians to the possibility of concomitant pulmonary embolism.

Keywords: COVID-19, Coronaviruses, HIV, Pulmonary embolism

Introduction


COVID-19 has led to an unprecedented pandemic leading to an urgent worldwide collaboration in identifying its pathophysiology and exploring its treatment options. Although it is known that immunosuppression results in an increased risk of severe COVID-19, the literature suggests that the incidence of COVID-19 in well-controlled HIV is surprisingly similar to that of non-HIV patients [1],[2]. Non-compliant HIV patients are thought to share a similar risk to other immunocompromised patients. Both HIV and COVID-19 are, each, associated with increased risk of thrombo-embolism. It stands to reason that the combination of both conditions may increase the thrombo-embolic risk even more. It is, therefore, important to identify thrombo-embolism in this group of patients as it has adverse effects on outcomes [3],[4]. The challenge lies in the fact that the symptoms of COVID-19 and opportunistic infections in HIV may mask pulmonary embolism [3],[4].

Case Report


A 72-year-old gentleman was brought in by the ambulance with central chest pain, shortness of breath, and sore throat. His symptoms had gradually worsened over the course of one week prior to admission. He described the chest pain as retrosternal, and across his chest and radiating to his neck and left shoulder. The pain lasted for approximately half an hour and was associated with nausea, light-headedness, and diaphoresis. He described himself as normally fit and well. He was known to have HIV infection which was well controlled on his highly active antiretroviral therapy (HAART) consisting of darunavir, lamivudine, and ritonavir. He had been compliant with his treatment. His past medical history included hypothyroidism treated with levothyroxine and hypercholesterolemia treated with rosuvastatin. On clinical examination, he had tachypnea and required 3 liters of oxygen delivered through a nasal cannula to maintain oxygen saturation above 92%. He also had tachycardia with a heart rate of 128 beats per minute. He was apyrexial and the rest of his examination was unremarkable.

 

Investigations

The lung fields appeared clear on chest X-ray (see Figure 1). Electrocardiogram (ECG) showed deep T wave inversion in leads III, V1 to V5 (see Figure 2). The first troponin was very elevated at 103.20 ng/L (normal reference range 0–13.9 ng/L) and the second troponin T taken after 4.5 hours was 119.20 ng/L. His C-reactive protein (CRP) was modestly elevated at 49 mg/L (normal reference range <5). His D-dimer was very elevated at 3499 ug/L (normal reference range <230 ug/L). A diagnosis of probable Non-ST Segment Elevation Myocardial Infarction (NSTEMI) with attendant acute pulmonary embolism (APE) was made.

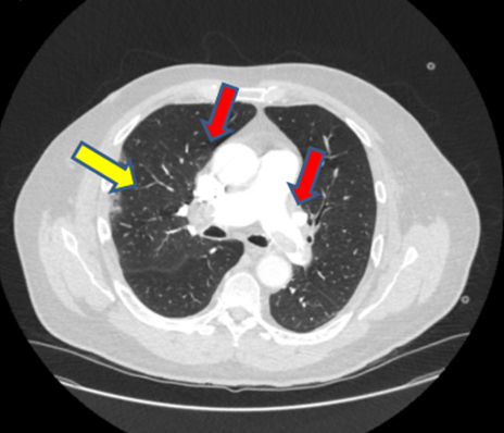
As the patient met the criteria for COVID-19, a nasopharyngeal swab was taken and a reverse transcription-polymerase chain reaction (RT-PCR) test for SARS-CoV-2 was positive. Computed tomography (CT) pulmonary angiogram (CTPA) showed significant bilateral pulmonary emboli with peripheral right-sided ground glass opacification suspicious for either COVID-19 or related to the pulmonary infarction (Figure 3). It was decided that the rise in troponin levels and ECG changes were likely to be secondary to APE rather than NSTEMI. Moreover, the right heart strain on CTPA made this more likely (Figure 4).

 

Treatment

He received therapeutic enoxaparin (1.5 mg/kg, once daily) for the treatment of APE. Hematology advice was requested regarding long-term anticoagulant therapy in the view of possible adverse interactions between darunavir and ritonavir and direct oral anticoagulants (DOACs). The suggested plan was to continue treatment with the same dose of enoxaparin for at least 3 months.

 

Outcome and follow-up

His condition improved and he was discharged after four days of admission. A CT scan of his neck, thorax, abdomen, and pelvis had excluded underlying malignancy. Arrangements were made for the patient to be followed up in clinic.

Figure 1: Plain chest X-ray showing bi-basal opacification.

Share Image:

Figure 2: 12 Lead ECG showing T-wave inversion in V1 to V3.

Share Image:

Figure 3: CT pulmonary angiogram red arrows indicate pulmonary emboli; yellow arrow shows ground-glass appearance.

Share Image:

Figure 4: CT pulmonary angiogram green arrow shows right ventricular hypertrophy.

Share Image:

Discussion


COVID-19 is one of several Severe Acute Respiratory Syndrome (SARS) caused by the beta group of coronaviruses. Two other coronaviruses in these subspecies have caused serious pandemics in the past and include the SARS-CoV and the Middle Eastern Respiratory Syndrome (MERS) but nothing on the scale of the COVID-19 pandemic [5]. Initially thought to be a primary lung disease whose most severe presentation is due to acute respiratory distress syndrome (ARDS), recent reports have shown that a lot of patients with COVID-19 develop micro-thrombi and thrombo-embolic complications [6]. These events appear to occur much more frequently than has been reported with other coronavirus pandemics and in other severe infections [6].

COVID-19 is known to occur more frequently and present more severely in immunosuppressed patients, but this effect has not been observed with HIV patients on anti-retroviral treatment (ART) and who have low viral loads and CD4 cell counts of 400 per mm3 or more [3]. HIV patients not on ARTs and whose viral loads are high and/or have CD4 counts less than 200 cells/mm3 are thought to be at increased risk of developing severe COVID-19 infection particularly if they are older and have co-morbidities, such as heart disease, chronic lung disease, and Diabetes mellitus [3]. HIV infection itself has been shown to be associated with an increased risk of thrombo-embolic events due to increased hypercoagulability [4].

 

Epidemiology

The exact incidence of pulmonary embolism in COVID-19 patients is unclear but appears to range from 17.6% to 48% depending on the cohorts studied [7],[8],[9]. In some cohorts, the incidence of pulmonary embolism was found to be 6.2 times more in COVID-19 patients than in patients without the disease [10]. What is clear is that extensive thrombi have been observed in the pulmonary vasculature of most COVID-19 autopsy specimens in some limited pathological studies [11],[12]. It is thought that these thrombi and thrombo-embolic complications are among the explanations for sudden deterioration in COVID-19 patients [9]. Obviously, more data are required to clarify these findings. Factors that make venous thrombo-embolism (VTE) more likely in COVID-19 patients include a high body mass index (BMI), being treated in the intensive care unit (ICU), prolonged immobility, and an underlying chronic lung or heart disease [9].

Venous thrombo-embolism and arterial thrombosis are also known to be increased in HIV patients [4],[13],[14],[15]. Systematic studies show an increased incidence ranging from less than 1% to as high as 20% depending on the groups and sample sizes [13]. A recent cohort study showed a 48% increase in risk of VTE in HIV patients compared to matched controls [4]. These findings were seen even after controlling for intravenous drug use [4]. Similar values have been reported by other investigators [14],[15]. Risk factors for VTE in HIV patients include anti-retroviral treatment (ART), chronic low grade inflammation, and opportunistic infections [4].

 

Pathophysiology of Thrombo-embolic events COVID-19 and HIV

The mechanisms that cause thrombo-embolic and thrombotic events in COVID-19 are incompletely understood. However, emerging evidence from autopsy results and imaging of patients with severe COVID-19, has revealed, not only evidence of ARDS, but also microvascular thrombosis in pulmonary capillary beds and interseptal pulmonary vessels [12],[16]. These microangiopathic thrombi have also been observed in other organs, such as the kidneys, skin, and heart [16]. This suggests, increasingly, that COVID-19 is not just a severe, destructive inflammatory condition of the lungs but a widespread thrombo-inflammatory condition involving multiple organs [16]. Indeed, in a recent reported case series of severe COVID-19 patients, pathology investigations showed less evidence of inflammatory changes in the lung tissue than have been observed in previous SARS virus patients [11]. Some of the patients also demonstrated extensive proximal pulmonary artery dilatation and thrombi in addition to their microangiopathic changes [11].

Proposed mechanisms by which these occur include downregulation of Angiotensin Converting Enzyme (ACE) 2 following the attachment of the glycoprotein spike of the COVID-19 virus to the ACE 2 receptors on the surface of the lungs and endothelium [17],[18]. The COVID-19 glycoprotein spike-ACE 2 complex is taken into the cell resulting in reduced numbers of available ACE 2 receptors on the cell surface [17],[18]. Downregulation of the ACE 2 receptors means that the ACE 2 enzyme is not available in sufficient quantities to covert Angiotensin 2 to Angiotensin (1–7), a molecule that helps to reduce damage to the endothelium [19],[20]. The result is that Angiotensin 2 (ANG-2) accumulates causing endothelial damage by inflammation and increased radical oxygen species (ROS) damage [19],[20] Mediators of inflammation such as neutrophils and monocytes are attracted to the site and secrete chemokines and pro-inflammatory cytokines such as interleukin-1 (IL-1), interleukin 6 (IL-6), and tumor necrosis factor alpha (TNF-alpha) [20].

Under normal conditions, the endothelium acts as a mechanical barrier to minimize interaction between immune cells and pro-coagulation molecules. In addition, it secretes anticoagulant molecules such as thrombomodulin and prostacyclin [21]. When the endothelium is damaged it expresses cell adhesion molecules (CAMs) on its surface which enables neutrophils and platelets to adhere to its surface [21]. Breaching the endothelial surface exposes the Von Willibrand Factor (VWF) which assists platelet adhesion and, as it combines with factor VIII in the blood stream, helps in platelet aggregation and activation [21]. This changes the endothelial surface from an anticoagulant to a pro-coagulant state [21]. The endothelium also increases expression of tissue factor which initiates the extrinsic coagulation pathway leading to thrombogenesis [21].

Some investigators have suggested that the endothelial damage may also be perpetuated by complement activation immune response to the COVID-19 virus, leading to a catastrophic microvascular injury syndrome [22],[23],[24]. The terminal complements C5a and C5b-9 or membrane attack complex (MAC) have been observed in some pathological studies of COVID-19 patients [22]. C5a attracts neutrophils and monocytes as well as mast cells. The MAC causes damage to the membranes of the endothelium and lung tissue [22]. They contribute to increased capillary permeability with movement of fluids and neutrophils and monocytes into the extracellular space [21],[22].

They also add to the increased expression of tissue factor on the endothelial surface [21],[22].

Excessive cytokine infiltration “cytokine storm” leading to severe inflammation has been proposed as the main underlying mechanism for immuno-thrombogenesis in COVID-19 [23]. It is thought that the excessive infiltration of the endothelium and lung tissue increases endothelial damage, propagates the coagulation cascade, and re-enforces the thrombotic process [23]. Trials with monoclonal bodies against IL-6, of which Tocilizumab is one, are currently underway to address this excessive inflammatory process [23],[24],[25],[26]. Tocilizumab is already used to treat rheumatological conditions such as rheumatoid arthritis [24],[25]. Although some anecdotal evidence and some case series are showing promising signs, the multicentre trial currently in progress may further clarify the findings [23],[24],[25],[26],[27].

Hypercoagulability states in HIV patients have been suggested as among the reasons for their increased VTE risk. Increased circulating lupus anticoagulant has been seen in 60% of HIV patients [28]. Increased levels of tissue factor and reduced levels of anti-thrombin III, activated protein C and protein S have also been observed, all of which increase hypercoagulability [28].

 

Diagnosis

Pulmonary embolism is thought to worsen outcomes in patients with COVID-19 pneumonia [29]. It is therefore important to identify and treat it early. However, this can present challenges in patients with pneumonia as the presentation in both conditions can be similar and include shortness of breath and evidence of hypoxemia [29]. Indeed in some cases, pyrexia and radiological changes may confound the diagnosis [29]. A lot of HIV patients with pulmonary embolism may initially present with features of an opportunistic infection [30]. A high index of suspicion is therefore required.

The British Thoracic Society (BTS) guidelines recommend considering pulmonary embolism in COVID-19 patients whose oxygen needs are disproportionately high compared to their symptoms and radiological changes [31]. It should also be considered in sudden worsening of hypoxemia, tachycardia, and hypotension [31]. Although some investigators have observed D-dimers as high as 2000 to 6000 in COVID-19 patients who develop pulmonary embolism compared to much lower levels in COVID-19 patients who do not, the lack of specificity makes it difficult to use as a risk stratification tool in routine clinical practice as the “cut-offs” need further clarification with prospective studies [31],[32]. D-dimers are elevated not only in thrombo-embolic conditions but also in inflammatory conditions, sepsis, malignancies [31]. However, some investigators recommend doing a CTPA in any patient who presents with COVID-19 symptoms and a very raised D-dimer [29],[31],[32],[33].

The CTPA remains the gold standard for the diagnosis of pulmonary embolism in these patients [31],[32]. Unfortunately, logistical barriers such as being on a mechanical ventilator may make access to this tool unfeasible [31]. In some cases, a compressible Doppler scan of the leg veins may provide evidence of a thrombo-embolic source, such as a deep vein thrombosis (DVT) [31]. Wherever possible, all attempts should be made to confirm the diagnosis of pulmonary embolism with a CTPA [31]. Patients presenting with shortness of breath, suspected COVID-19, and a very high D-dimer may need a CTPA to exclude concomitant pulmonary embolism [29]. However, the diagnosis may, sometimes, have to be made on a balance of probabilities and the decision to anti-coagulate will need to factor in the risk of bleeding [31].

 

Treatment

In the United Kingdom (UK) it has been acknowledged for some years that the risk of VTE is increased in acutely ill patients in hospital [31],[34]. Venous thrombo-embolism screening and prophylaxis is currently standard practice in acute admissions into hospital [34]. This is no different for COVID-19 patients [34]. Low dose low molecular weight heparin (LMWH) is used such as Enoxaparin 40 mg once daily. In patients with high BMI weight-adjusted doses are used [31].

Some of the COVID-19 patients who died from pulmonary embolism had received standard VTE prophylaxis [7],[8],[9],[10]. This has raised questions about whether higher VTE prophylaxis doses should be used in COVID-19 patients [31],[34]. There is currently no evidence that these higher doses are more effective and risk of bleeding remains a concern [31]. The BTS guidelines recognize this and have suggested that hospitals develop their own protocols in collaboration with their hospital hematologists [31].

Standard therapeutic doses of LMWH are recommended for treating established or highly likely VTEs [31],[34]. The BTS suggests that these could be given in divided doses to reduce bleeding if invasive interventions need to be done [31]. Direct oral anti-coagulants (DOACs) can then be introduced for longer durations—frequently three months—following the LMWH inpatient treatment [31],[34]. It is worth bearing in mind that DOACs do interact with antiretroviral agents as observed in this case report [34]. The patient had to be discharged home on a LMWH with plans for follow-up in the outpatient clinic. Patients with large, hemodynamically unstable pulmonary emboli should be considered for thrombolysis, or if thrombolysis is contra-indicated, extra-corporeal mechanical oxygenation (ECMO) with surgical embolectomy, or percutaneous intravascular thrombectomy [35].

At this moment, in the United Kingdom (UK), the recommended treatment of COVID-19 patients requiring oxygen are dexamethasone, a corticosteroid and immunomodulator and remdesivir, a broad spectrum antiviral agent [27],[33],[36],[37],[38]. Clinical trials on other potential treatments for COVID-19 are still ongoing and a vaccine for COVID-19 is already in phase III trials in various countries [24],[25],[26],[27]. In the UK, not only is the COVID-19 vaccine in phase III clinical trial but is just being rolled out different hospitals to certain key front line workers and to elderly patients. In immunosuppressed patients there has been a huge drive to shield them to minimize contact with potentially infected patients and self-isolation of patients with COVID-19 and their contacts. Immunosuppressed patients include patients on immunosuppressants such as cancer chemotherapy and patients on biological agents, transplant patients, and non-compliant HIV patients [27],[33]. Other measures such as frequent washing of hands, social distancing at 2 meters, and wearing masks are also recommended just as for the rest of the population. Targeting of non-compliant HIV patients by their care workers to provide them with timely information regarding reducing their risk of contracting COVID-19 and ensuring that they are supplied with enough antiretroviral treatments is recommended [27],[33]. Antiretroviral treatments such as lopinavir/ritonavir have so far not been shown to be effective in treating COVID-19 [27],[33]. HIV patients with COVID-19 are managed in a similar way to non-HIV COVID-19 patients and are advised to continue on their ART [27],[33]. If a change in regime is indicated then advice from the HIV specialists needs to be sought [27],[33].

Conclusion


In patients with HIV and COVID-19 co-infection, the increased risk of VTE should be borne in mind. These patients frequently present with respiratory infections but that should not preclude the possibility of concomitant pulmonary embolism. The pathophysiology of pulmonary embolism and pulmonary micro-thrombi is thought to be different to VTE from other causes. As the understanding of these mechanisms improves, it is hoped that more therapeutic strategies may become available to treat and prevent these complications.

LEARNING POINTS/TAKE HOME MESSAGES


  • In patients admitted with COVID-19, the presence of pulmonary embolism should be suspected, if D-dimer is elevated and radiological findings are sparse compared to the dyspnoea and oxygen requirements of the patient.
  • Even in the presence of classic radiological findings of COVID-19, if oxygen requirement is disproportionately higher than the symptoms of dyspnoea, then pulmonary embolism should be suspected.
  • It should also be considered in any patients who have sudden deterioration in symptoms and sudden increase in oxygen requirements.
  • HIV patients presenting with opportunistic infections may also have a pulmonary embolism.

REFERENCES


1.

Liu J, Zheng X, Tong Q, et al. Overlapping and discrete aspects of the pathology and pathogenesis of the emerging human pathogenic coronaviruses SARS-CoV, MERS-CoV, and 2019-nCoV. J Med Virol 2020;92(5):491–4. [CrossRef] [Pubmed]   Back to citation no. 1  

2.

Fox SE, Akmatbekov A, Harbert JL, Li G, Brown Q, Heide RSV. Pulmonary and cardiac pathology in Covid-19: The first autopsy series from New Orleans. medRxiv 2020. [CrossRef]   Back to citation no. 1  

3.

Blanco JL, Ambrosioni J, Garcia F, et al. COVID-19 in patients with HIV: Clinical case series. Lancet HIV 2020;7(5):e314–6. [CrossRef] [Pubmed]   Back to citation no. 1  

4.

Durand M, Sinyavskaya L, Jin YL, Tremblay CL, Ducruet T, Laskine M. Incidence of venous thromboembolism in patients living with HIV: A cohort study. AIDS Patient Care STDS 2019;33(11):455–8. [Pubmed]   Back to citation no. 1  

5.

Shereen MA, Khan S, Kazmi A, Bashir N, Siddique R. COVID-19 infection: Origin, transmission, and characteristics of human coronaviruses. J Adv Res 2020;24:91–98. [CrossRef] [Pubmed]   Back to citation no. 1  

6.

Rotzinger DC, Beigelman-Aubry C, von Garnier C, Qanadli SD. Pulmonary embolism in patients with COVID-19: Time to change the paradigm of computed tomography. Thromb Res 2020;190:58–9. [CrossRef] [Pubmed]   Back to citation no. 1  

7.

Middeldorp S, Coppens M, van Haaps TF, et al. Incidence of venous thromboembolism in hospitalized patients with COVID-19. Journal of Thrombosis and Haemostasis 2020. [CrossRef]   Back to citation no. 1  

8.

Klok FA, Kruip MJHA, van der Meer NJM, et al. Incidence of thrombotic complications in critically ill ICU patients with COVID-19. Thrombosis Research 2020;191:145–7. [CrossRef]   Back to citation no. 1  

9.

Cui S, Chen S, Li X, Liu S, Wang F. Prevalence of venous thromboembolism in patients with severe novel coronavirus pneumonia. J Thromb Haemost 2020;18(6):1421–4 [CrossRef] [Pubmed]   Back to citation no. 1  

10.

Helms J, Tacquard C, Severac F, et al. High risk of thrombosis in patients with severe SARS-CoV-2 infection: A multicenter prospective cohort study. Intensive Care Med 2020;46(6):1089–8. [CrossRef] [Pubmed]   Back to citation no. 1  

11.

Lax SF, Skok K, Zechner P, et al. Pulmonary arterial thrombosis in COVID-19 with fatal outcome: Results from a prospective, single-center, clinicopathologic case series. Ann Intern Med 2020;73(5):350–61. [CrossRef] [Pubmed]   Back to citation no. 1  

12.

Wichmann D, Sperhake JP, Lütgehetmann M, et al. Autopsy findings and venous thromboembolism in patients with COVID-19: A Prospective cohort study. Ann Intern Med 2020;173(4):268–77. [CrossRef] [Pubmed]   Back to citation no. 1  

13.

Klein SK, Slim EJ, de Kruif MD, et al. Is chronic HIV infection associated with venous thrombotic disease? A systematic review. Neth J Med 2005;63(4):129–36. [Pubmed]   Back to citation no. 1  

14.

Malek J, Rogers R, Kufera J, Hirshon JM. Venous thromboembolic disease in the HIV-infected patient. Am J Emerg Med 2011;29(3):278–82. [CrossRef] [Pubmed]   Back to citation no. 1  

15.

Fultz SL, McGinnis KA, Skanderson M, Ragni MV, Justice AC. Association of venous thromboembolism with human immunodeficiency virus and mortality in veterans. Am J Med 2004;116(6):420–3. [CrossRef] [Pubmed]   Back to citation no. 1  

16.

Ciceri F, Beretta L, Scandroglio AM, et al. Microvascular COVID-19 lung vessels obstructive thromboinflammatory syndrome (MicroCLOTS): An atypical acute respiratory distress syndrome working hypothesis. Crit Care Resusc 2020;22(2):95–7. [Pubmed]   Back to citation no. 1  

17.

Magrone T, Magrone M, Jirillo E. Focus on receptors for coronaviruses with special reference to angiotensin- converting enzyme 2 as a potential drug target - A perspective. Endocr Metab Immune Disord Drug Targets 2020;20(6):807–11. [CrossRef] [Pubmed]   Back to citation no. 1  

18.

Bourgonje AR, Abdulle AE, Timens W, et al. Angiotensin-converting enzyme 2 (ACE2), SARS-CoV-2 and the pathophysiology of coronavirus disease 2019 (COVID-19). J Pathol 2020;251(3):228–48. [CrossRef] [Pubmed]   Back to citation no. 1  

19.

Noris M, Benigni A, Remuzzi G. The case of complement activation in COVID-19 multiorgan impact. Kidney Int 2020;98(2):314–22. [CrossRef] [Pubmed]   Back to citation no. 1  

20.

Cheng H, Wang Y, Wang GQ. Organ-protective effect of angiotensin-converting enzyme 2 and its effect on the prognosis of COVID-19. J Med Virol. 2020;92(7):726–30. [CrossRef] [Pubmed]   Back to citation no. 1  

21.

Varga Z, Flammer AJ, Steiger P, et al. Endothelial cell infection and endotheliitis in COVID-19. Lancet 2020;395(10234):1417–8. [CrossRef] [Pubmed]   Back to citation no. 1  

22.

Magro C, Mulvey JJ, Berlin D, et al. Complement associated microvascular injury and thrombosis in the pathogenesis of severe COVID-19 infection: A report of five cases. Transl Res 2020;220:1–13. [CrossRef] [Pubmed]   Back to citation no. 1  

23.

Joly BS, Siguret V, Veyradier A. Understanding pathophysiology of hemostasis disorders in critically ill patients with COVID-19. Intensive Care Med 2020;46(8):1603–6. [CrossRef] [Pubmed]   Back to citation no. 1  

24.

Xu X, Han M, Li T, et al. Effective treatment of severe COVID-19 patients with tocilizumab. Proc Natl Acad Sci USA 2020;117(20):10970–5. [CrossRef] [Pubmed]   Back to citation no. 1  

25.

Toniati P, Piva S, Catallini M, et al. Tocilizumab for the treatment of severe COVID-19 pneumonia with hyperinflammatory syndrome and acute respiratory failure: A single center study of 100 patients in Brescia, Italy. Autoimmun Rev 2020;19(7):102568. [CrossRef] [Pubmed]   Back to citation no. 1  

26.

Guaraldi G, Meschian M, Cozzi-Lepri A, et al. Tocilizumab in patients with severe COVID-19: A retrospective cohort study. Lancet Rheumatol 2020;2(8):e474–84. [CrossRef] [Pubmed]   Back to citation no. 1  

27.

Robinson R. Everything you need to know about COVID-19 trials. The Pharmaceutical Journal 2020. [CrossRef]   Back to citation no. 1  

28.

Sule AA, Pandit N, Handa P, et al. Risk of venous thromboembolism in patients infected with HIV: A cohort study. Int J Angiol 2013;22(2):95–100. [CrossRef] [Pubmed]   Back to citation no. 1  

29.

Tal S, Spectre G, Kornowski R, Perl L. Venous thromboembolism complicated with COVID-19: What do we know so far? Acta Haematol 2020;143(5):417–24. [CrossRef] [Pubmed]   Back to citation no. 1  

30.

Rokx C, Borjas Howard JF, Smit C, et al. Risk of recurrent venous thromboembolism in patients with HIV infection: A nationwide cohort study. PLoS Med 2020;17(5):e1003101. [CrossRef] [Pubmed]   Back to citation no. 1  

31.

Condliffe R , Bunclark K, Hurdman J, et al. British Thoracic Society Pulmonary Vascular Specialist Advisory Group and invited contributors. British Thoracic Society (BTS) 2020.   Back to citation no. 1  

32.

Bompard F, Monnier H, Saab I, et al. Pulmonary embolism in patients with Covid-19 pneumonia. Eur Respir J 2020;56(1):2001365. [CrossRef] [Pubmed]   Back to citation no. 1  

33.

Monti S, Balduzzi S, Delvino P, et al. Clinical course of COVID-19 in a series of patients with chronic arthritis treated with immunosuppressive targeted therapies. Ann Rheum Dis 2020;79(5):667–8. [CrossRef] [Pubmed]   Back to citation no. 1  

34.

Bikdeli B, Madhavan MV, Jimenez D, et al. COVID-19 and thrombotic or thromboembolic disease: Implications for prevention, antithrombotic therapy, and follow-up: JACC State-of-the-Art review. J Am Coll Cardiol 2020;75(23):2950–73. [CrossRef] [Pubmed]   Back to citation no. 1  

35.

Moores LK, Tritschies T, Brosnahan S, et al. Prevention, diagnosis, and treatment of vte in patients with coronavirus disease 2019: Chest guideline and expert panel report. Chest 2020;158(3):1143–63. [CrossRef] [Pubmed]   Back to citation no. 1  

36.

RECOVRI Collaborative Group; Horby P, Lim WS, et al. Dexamethasone in hospitalized patients with Covid-19 – preliminary report. N Engl J Med 2020;NEJMoa2021436. [CrossRef] [Pubmed]   Back to citation no. 1  

37.

Robinson J. Dexamethasone is ‘first drug’ to be shown to improve survival in COVID-19. The Pharmaceutical Journal 2020;304(7938). [CrossRef]   Back to citation no. 1  

38.

Interim Clinical Commissioning Policy: Remdesivir for patients hospitalized with COVID-19 (adults and children 12 years and older) Version 2. Department of Health Social & Care Social Care. 2020. [Available at: https://www.england.nhs.uk/coronavirus/wp-content/uploads/sites/52/2020/07/C0860-clinical-commissioning-policy-remdesivir-for-people-hospitalised-with-covid-19-v2-.pdf]   Back to citation no. 1  

SUPPORTING INFORMATION


Author Contributions

Nonyelum Obiechina - Conception of the work, Design of the work, Drafting the work, Revising the work critically for important intellectual content, Final approval of the version to be published, Agree to be accountable for all aspects of the work in ensuring that questions related to the accuracy or integrity of any part of the work are appropriately investigated and resolved.

Ancy Fernandez - Acquisition of data, Drafting the work, Final approval of the version to be published, Agree to be accountable for all aspects of the work in ensuring that questions related to the accuracy or integrity of any part of the work are appropriately investigated and resolved.

Adnan Agha - Conception of the work, Design of the work, Drafting the work, Final approval of the version to be published, Agree to be accountable for all aspects of the work in ensuring that questions related to the accuracy or integrity of any part of the work are appropriately investigated and resolved.

Angela Nandi - Conception of the work, Design of the work, Drafting the work, Final approval of the version to be published, Agree to be accountable for all aspects of the work in ensuring that questions related to the accuracy or integrity of any part of the work are appropriately investigated and resolved.

Guarantor of Submission

The corresponding author is the guarantor of submission.

Source of Support

None

Consent Statement

Written informed consent was obtained from the patient for publication of this article.

Data Availability

All relevant data are within the paper and its Supporting Information files.

Conflict of Interest

Authors declare no conflict of interest.

Copyright

© 2020 Nonyelum Obiechina et al. This article is distributed under the terms of Creative Commons Attribution License which permits unrestricted use, distribution and reproduction in any medium provided the original author(s) and original publisher are properly credited. Please see the copyright policy on the journal website for more information.