Clinical Image


When inflammatory colitis is not due to inflammation: An alternative diagnosis for inflammatory bowel disease

,  ,  

1 Doctor, Department of General Surgery, Sengkang General Hospital, Sing Health, Singapore

Address correspondence to:

Frederick H Koh

Division of Colorectal Surgery, Department of General Surgery, Sengkang General Hospital, 110 Sengkang East Way, Singapore 544886,

Singapore

Message to Corresponding Author


Article ID: 101183Z01DY2020

doi:10.5348/101183Z01DY2020CI

Access full text article on other devices

Access PDF of article on other devices

How to cite this article

Yen D, Koh FH, Foo F-J. When inflammatory colitis is not due to inflammation: An alternative diagnosis for inflammatory bowel disease. Int J Case Rep Images 2020;11:101183Z01DY2020.

ABSTRACT


No Abstract 

Keywords: Amoebiasis, Colitis, Colonoscopy, Inflammatory bowel disease

Case Report


A middle-aged gentleman presented with persistent hematochezia for two weeks. This was associated with diarrhea and colicky lower abdominal pain. He was afebrile and had no complaints of anorexia. The patient had a recent travel history to Philippines, a developing country, and also had recent contact with a family member who had similar presenting symptoms, but has spontaneously resolved. His physical examination and digital rectal examination were both unremarkable.

The patient underwent a colonoscopy (Figure 1) and biopsies were taken (Figure 2).

Colonoscopy (Figure 1) showed inflammation in the rectum and sigmoid. In addition, there is also an inflamed patch involving the cecum but the terminal ileum was normal in appearance. Macroscopic findings suggested ulcerative colitis and multiple biopsies of areas of inflammation were taken.

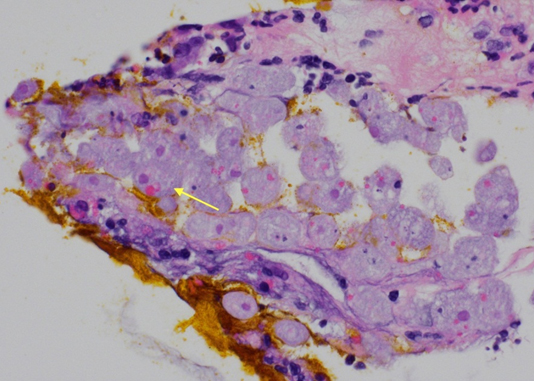
Histology was consistent with acute colitis of the rectum; however, there were also some focal necroinflammatory debris which contained detached aggregates of round-to-oval amoeba-like organism with ingested red blood cells. The diagnosis was amoebic colitis. The patient was then treated with 10 days of oral metronidazole.

Figure 1: Colonoscopy images of the terminal ileum (A), cecum (B), sigmoid (C), and rectum (D).

Share Image:

Figure 2: Biopsy specimen of cecum colitis revealing PAS positive single cell organism containing red blood cells, HE stain, magnification, 600×.

Share Image:

Discussion


Amoebic colitis is a type of intestinal protozoan disease and the second leading cause of death by parasitic infection in the world, and is more prevalent in the developing countries [1]. Endoscopic evaluation might not be readily available in these countries and endoscopic images taken in developed countries may not lead the physician to the diagnosis of amoebic colitis [2]. Amoebiasis is a great mimic of other conditions, such as inflammatory bowel disease and colon cancer [3]. With the increase in air travel, citizens from affluent societies also have an increased risk of exposure to such parasitic infection. History of travel and histological diagnosis are therefore important in the management of intestinal amoebiasis.

Conclusion


Amoebic colitis remains rare in the developed countries; however, the ability to mimic other conditions such as inflammatory colitis may alter the management of the condition which may not treat the underlying cause. Therefore, endoscopic and histological diagnosis is important in the management of inflammatory colitis for the appropriate management of the disease.

REFERENCES


1.

Ali IKM, Clark CG, Petri WA Jr. Molecular epidemiology of amebiasis. Infect Genet Evol 2008 Sep;8(5):698–707. [Pubmed]   Back to citation no. 1  

2.

Swaminathan V, O’Rourke J, Gupta R, Kiire CF. An unusual presentation of an amoebic liver abscess: The story of an unwanted souvenir. BMJ Case Rep. 2013;2013:bcr:bcr2012006964. [CrossRef] [Pubmed]   Back to citation no. 1  

3.

Deesomsak M, Sukeepaisarnjaroen W, Sawanyawisuth K. Differential diagnosis of ulcers throughout the colon. Rev Soc Bras Med Trop 2014;47(3):401. [CrossRef] [Pubmed]   Back to citation no. 1  

SUPPORTING INFORMATION


Author Contributions

Dulcena Yen - Conception of the work, Design of the work, Acquisition of data, Analysis of data, Drafting the work, Revising the work critically for important intellectual content, Final approval of the version to be published, Agree to be accountable for all aspects of the work in ensuring that questions related to the accuracy or integrity of any part of the work are appropriately investigated and resolved.

Frederick H Koh - Conception of the work, Design of the work, Acquisition of data, Analysis of data, Revising the work critically for important intellectual content, Final approval of the version to be published, Agree to be accountable for all aspects of the work in ensuring that questions related to the accuracy or integrity of any part of the work are appropriately investigated and resolved.

Fung-Joon Foo - Conception of the work, Design of the work, Acquisition of data, Analysis of data, Revising the work critically for important intellectual content, Final approval of the version to be published, Agree to be accountable for all aspects of the work in ensuring that questions related to the accuracy or integrity of any part of the work are appropriately investigated and resolved.

Guarantor of Submission

The corresponding author is the guarantor of submission.

Source of Support

None

Consent Statement

Written informed consent was obtained from the patient for publication of this article.

Data Availability

All relevant data are within the paper and its Supporting Information files.

Conflict of Interest

Authors declare no conflict of interest.

Copyright

© 2020 Dulcena Yen et al. This article is distributed under the terms of Creative Commons Attribution License which permits unrestricted use, distribution and reproduction in any medium provided the original author(s) and original publisher are properly credited. Please see the copyright policy on the journal website for more information.