Case Report


Tuberculosis as a risk factor for brain and spinal injuries

,  ,  ,  ,  ,  

1 Medical Sciences Course, Health Sciences School, Faculdade Ceres (FACERES), São José do Rio Preto, SP, Brazil

2 Neurosurgeon, Member of the Brazilian Society of Neurosurgery, Santa Mônica Hospital, Goiânia, GO, Brazil

3 Neurosurgeon, PhD in Neurosurgery, Member of the Brazilian Society of Neurosurgery, Professor at Santa Mônica Hospital, Goiânia, GO, Brazil

Address correspondence to:

Julia Brasileiro de Faria Cavalcante

Av. Anísio Haddad, 6751, Jardim Francisco Fernandes, São José do Rio Preto, SP,

Brazil

Message to Corresponding Author


Article ID: 101164Z01JC2020

doi:10.5348/101164Z01JC2020CR

Access full text article on other devices

Access PDF of article on other devices

How to cite this article

Cavalcante JBF, Cavalcante RBF, Valente VF, Cavalcante JES, Cembraneli IN, Cembraneli PN. Tuberculosis as a risk factor for brain and spinal injuries. Int J Case Rep Images 2020;11:101164Z01JC2020.

ABSTRACT


Introduction: Intracranial tuberculomas are granulomatous lesions that can occur in approximately 1% of the patients with active tuberculosis (TB). Although it is an uncommon disease, it usually causes severe neurological deficits, including altered mental status, hydrocephalus, cranial nerve palsy, hemiparesis, and seizures. Concomitant presentation of brain and spinal involvement is a rare entity and few cases have been described in the medical literature.

Case Report: We report a case of a 38-year-old female who presented with brain and spinal cord injuries due to TB without pulmonary changes. The patient first complained about intense holocranial headache and underwent cranial computed tomography with normal result. In a 6-year period, she had several different symptoms, underwent various types of laboratory and imaging exams, followed some drug therapies, and underwent some surgical procedures. After a diagnosis of intracranial granulomas compatible with TB, she followed a rifampicin + isoniazid + pyrazinamide + ethambutol (RIPE) scheme. However, after some months, she had seizures despite the use of anticonvulsant drugs, felt dizzy, experienced loss of balance, and had severe headaches again. After a diagnosis of ventricular dilation, she started taking acetazolamide in addition to the previous prescription, but soon after she needed ventriculoperitoneal shunt implantation.

Conclusion: The history of this patient raises the hypotheses of reactivation of TB due to inefficacy of medication or because of drug resistance. The diagnosis of TB should always be taken into consideration in nodular or pseudotumoral forms in the brain, even in immunocompetent patients without a history of this disease.

Keywords: Disseminated tuberculosis, Intracranial tuberculoma

Introduction


Tuberculosis (TB), an infectious illness caused by Mycobacterium tuberculosis, is one of the oldest known human diseases, but it still has a major impact on health services in underdeveloped, developing, and even developed countries. The disease can affect several organs and systems, especially the lungs, kidneys, and brain and spinal cord in rare instances [1]. In 2018, eight countries accounted for two-thirds of the total number of TB cases: India (leading the count), China, Indonesia, the Philippines, Pakistan, Nigeria, Bangladesh, and South Africa [2].

Central nervous system (CNS) involvement represents 5–10% of extra pulmonary TB cases worldwide, with great potential lethality [3]. It can be classified in three categories: tuberculous meningitis, intracranial tuberculoma, and tuberculous spinal arachnoiditis [4]. All three categories are described in the regions of the world where TB is high [2],[5].

Tuberculous meningitis is the primary manifestation of CNS TB [5], and it is also the most severe form of TB, which disproportionately affects people in developing countries and results in significant morbidity and mortality [6]. Intracranial tuberculomas are avascular granulomatous intracranial lesions, which can be single or multiple and can develop without cerebral palsy [7], occurring in approximately 1% of the patients with active TB [8]. Tuberculous spinal arachnoiditis is a rare complication of CNS TB that can cause severe peripheral neurological deficit [9]. It may occur primarily or secondarily to intracranial or vertebral infection and often involves the spinal cord, meninges, and nerve roots, different from other types of arachnoiditis [10].

Although it is an uncommon disease, CNS TB usually causes severe neurological deficits, including altered mental status, hydrocephalus, cranial nerve palsy, hemiparesis, and seizures [11]. Brain and spinal cord involvement is rare and few cases have been reported in the medical literature. We report the case of a patient with brain and spinal cord injury due to TB without pulmonary changes.

Case Report


In May 2014, a previously healthy 38-year-old female woke up in the morning with an intense holocranial headache. She did not have any previous medication history to treat headaches or any known pathologies. She sought hospital care and reported to our team, “I have a terrible headache as I have never had before.” She was immediately treated with analgesics and underwent cranial computed tomography (CT). Since the CT result was normal, she was discharged from the hospital.

After a few weeks, although the intensity of the pain subsided, it still bothered her, and she returned to the hospital. At a new neurological examination, in addition to the headache, she complained of paresthesia in the right hemibody. Magnetic resonance imaging (MRI) showed an 8-mm hyperintense juxtacortical fluid-attenuated inversion recovery (FLAIR) lesion associated with T1 hypointensity, without gadolinium enhancement, oval, and extra-axial, at the base of the left parietal-occipital groove and isointense in T2 with tail signal, compatible with plaque meningioma (Figure 1). A lumbar puncture revealed increased protein level in the cerebrospinal fluid (664 mg/dL). As the lesion did not cause any mass effect or perilesional edema, as soon as the patient’s complaints disappeared, she was discharged from the hospital.

In October 2014, she started experiencing malaise, neck pain, progressive and very severe back pain, and decided to return to the hospital, where she stated, “I can barely hold a glass.” Magnetic resonance imaging of the entire spine revealed a rounded intradural and intramedullary lesion, measuring approximately 1 cm in diameter, at level C1 (Figure 2). A symptomatic treatment was prescribed, and our team recommended periodical follow-up imaging exams.

In July 2015, control MRI was done and, as the brain lesion increased slightly, our team decided to perform a craniotomy for excision of the lesion. During surgery, a hardened, little vascularized lesion adhered to the dura mater and to the cortex, and dural thickening anterior and posterior to the main lesion were observed. The microscopical aspect suggested a meningioma. However, the histopathological examination of the lesion showed intracranial granulomas compatible with TB (Figure 3). Chest CT was normal, with no evidence of pulmonary TB. After surgery, the patient underwent a drug treatment following a rifampicin + isoniazid + pyrazinamide + ethambutol (RIPE) scheme, associated with corticosteroid therapy, for two months, and rifampicin + isoniazid for seven months. The patient remained clinically stable, with improvement of pain and malaise. On periodical follow-up MRI, the intramedullary lesion was no longer visible and the intracranial dural thickening decreased.

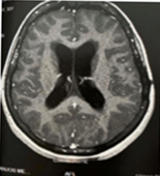
In January 2017, the patient had seizures despite the use of anticonvulsant drugs, and the doses of these medications were increased. She remained stable until May 2017, when she felt dizzy, experienced loss of balance, and had headaches. She underwent skull MRI that showed an area of cerebral ischemia of non-specific cause and slight dilation of the ventricular system (Figure 4).

In July 2017, since the headache intensified and she reported malaise again, she underwent MRI and it evidenced increased ventricular dilation. The patient started taking acetazolamide in addition to the previous prescriptions. Nonetheless, soon after, the ventricular dilation increased, and our team decided to perform a ventriculoperitoneal shunt implantation. She progressively improved and was regularly followed up by our team and an infectious disease specialist.

In July 2019, she had temporary vision loss, with no posterior decreased acuity and/or visual field loss. No significant changes were found on MRI.

The patient remained stable for eight months, but in March 2020, headaches, visual disturbance, and paresthesia in the body relapsed. Results of MRI showed two new lesions on the brain, and the MRI spectroscopy suggested that they were granulomatous lesions with reactional edema (Figure 5). A new therapeutic RIPE regimen was prescribed, with larger doses. She continues being followed up by our team.

Figure 1: Magnetic resonance imaging showing an 8-mm hyperintense juxtacortical FLAIR lesion associated with T1 hypointensity, without gadolinium enhancement, oval, and extra-axial, at the base of the left parietal-occipital groove and isointense in T2 with tail signal, compatible with plaque meningioma.

Share Image:

Figure 2: Magnetic resonance imaging showing a rounded intradural and intramedullary lesion, measuring approximately 1 cm in diameter, at level C1.

Share Image:

Figure 3: Histopathological exam showing intracranial granulomas compatible with tuberculosis.

Share Image:

Figure 4: Magnetic resonance imaging showing an area of cerebral ischemia of non-specific cause and slight dilation of the ventricular system.

Share Image:

Figure 5: (A) Magnetic resonance imaging showing two new lesions on the brain. (B) Magnetic resonance spectroscopy suggesting granulomatous lesions with reactional edema.

Share Image:

Discussion


Despite being considered one of the oldest known human diseases, TB still affects many people worldwide. Inasmuch as the most severe form of TB involves the CNS, with high mortality and morbidity rates, early diagnosis is necessary for appropriate treatment [12].

Intracranial tuberculomas, usually present as intracranial lesions located in the frontal and parietal lobes of the brain, are a serious and rare form of TB due to the hematogenous spread of M. tuberculosis [13]. Intramedullary tuberculomas are very rare entities, typically located in the dorsal spine, corresponding to 0.2–5% of all cases of CNS tuberculomas [14]. The ratio of intramedullary TB to intracranial TB is approximately 1/42 and spinal tuberculomas are commonly located in the thoracic cord [15]. The correlation of intracranial and intramedullary tuberculoma is extremely uncommon, with only a few cases reported in the literature [16]. Neurocysticercosis, cerebral toxoplasmosis, abscesses, and metastases are differential diagnoses of intracranial-spinal tuberculomas [17],[18].

The clinical picture and radiological findings of intracranial tuberculoma are often non-specific, sometimes leading to diagnostic errors [13]. The test of choice for detecting minimal brain involvement is MRI. Stereotactic biopsy may be indicated in some cases, but this procedure can promote the spread of the disease [19]. Typical tuberculomas show a granulomatous reaction consisting of epithelioid cells and giant cells mixed with mononuclear inflammatory cells (predominantly lymphocytes) that form a granuloma [11].

As a general principle in the treatment of CNS TB, drugs that penetrate the CNS are used, particularly the RIPE scheme. To the best of our knowledge, no studies have detailed the specific combination and duration of the treatment for CNS TB [20],[21]. Surgical treatment depends on the location of the brain injury and the clinical conditions of the patient [22].

Conclusion


The history of the patient of this case report raises the hypotheses of reactivation of TB due to inefficacy of the medication released by the public health system or because of drug resistance. Given that both the Pan American Health Organization and the World Health Organization are committed to eradicate TB by 2030 in all the countries of the Americas, it is necessary to employ new technologies, such as rapid molecular testing, and work with the most vulnerable populations, providing them with timely diagnosis and early treatment. Since CNS tuberculomas can mimic several other entities, the diagnosis of TB should always be taken into consideration in the presence of nodular or pseudotumoral forms in the brain, even in immunocompetent patients without a history of this disease.

REFERENCES


1.

Smith I. Mycobacterium tuberculosis pathogenesis and molecular determinants of virulence. Clin Microbiol Rev 2003;16(3):463–96. [CrossRef] [Pubmed]   Back to citation no. 1  

2.

World Health Organization. Tuberculosis. Geneva: World Health Organization; 2020. [Available at: https://www.who.int/news-room/fact-sheets/detail/tuberculosis]   Back to citation no. 1  

3.

Cherian A, Thomas SV. Central nervous system tuberculosis. Afr Health Sci 2011;11(1):116–27. [Pubmed]   Back to citation no. 1  

4.

DeLance AR, Safaee M, Oh MC, et al. Tuberculoma of the central nervous system. J Clin Neurosci 2013;20(10):1333–41. [CrossRef] [Pubmed]   Back to citation no. 1  

5.

Bourgi K, Fiske C, Sterling TR. Tuberculosis meningitis. Curr Infect Dis Rep 2017;19(11):39. [CrossRef] [Pubmed]   Back to citation no. 1  

6.

World Health Organization. Global tuberculosis report 2019. Geneva: World Health Organization; 2019. [Available at: https://www.who.int/tb/publications/global_report/en/]   Back to citation no. 1  

7.

Shah IA, Asimi RP, Kawoos Y, Wani M, Sarmast AH. Tuberculomas of the brain with and without associated meningitis: A cohort of 28 cases treated with anti-tuberculosis drugs at a tertiary care centre. International Journal of Contemporary Medical Research 2016;3(12):3484–7.   Back to citation no. 1  

8.

Nicolls DJ, King M, Holland D, Bala J, del Rio C. Intracranial tuberculomas developing while on therapy for pulmonary tuberculosis. Lancet Infect Dis 2005;5(12):795–801. [CrossRef] [Pubmed]   Back to citation no. 1  

9.

Chaudhary S, Chaurasia A, Mehrotra GK, Arora K, Patel Y. A rare case of tuberculous spinal arachnoiditis. Int J Contemp Pediatr 2018;5(3):1134–6. [CrossRef]   Back to citation no. 1  

10.

Chang KH, Han MH, Choi YW, Kim IO, Han MC, Kim CW. Tuberculous arachnoiditis of the spine: Findings on myelography, CT, and MR imaging. AJNR Am J Neuroradiol 1989;10(6):1255–62. [Pubmed]   Back to citation no. 1  

11.

Thwaites GE, van Toorn R, Schoeman J. Tuberculous meningitis: More questions, still too few answers. Lancet Neurol 2013;12(10):999–1010. [CrossRef] [Pubmed]   Back to citation no. 1  

12.

Trivedi R, Saksena S, Gupta RK. Magnetic resonance imaging in central nervous system tuberculosis. Indian J Radiol Imaging 2009;19(4):256–65. [CrossRef] [Pubmed]   Back to citation no. 1  

13.

Frioui S, Jemni S. Cerebral tuberculoma: An entity not to ignore. Pan Afr Med J 2016;24:133. [CrossRef] [Pubmed]   Back to citation no. 1  

14.

Thacker MM, Puri AI. Concurrent intra-medullary and intra-cranial tuberculomas. J Postgrad Med 2004;50(2):107–9. [Pubmed]   Back to citation no. 1  

15.

Gülşen S, Caner H. Tuberculoma in the medulla oblongata and medulla spinalis: Two case reports. Balkan Med J 2013;30(4):442–5. [CrossRef] [Pubmed]   Back to citation no. 1  

16.

Verma R, Kumar S. Concurrent intramedullary and intracranial tuberculoma: A rare association. Ann Trop Med Public Health 2015;8(4):132–4.   Back to citation no. 1  

17.

Tekin R, Kaçar E, Çevik FC, Çinar K, Çevik R. Intracranial and intramedullary tuberculoma with intravertebral abscess manifestation under anti-tuberculous treatment: A case report. Clin Neurol Neurosurg 2013;115(9):1858–60. [CrossRef] [Pubmed]   Back to citation no. 1  

18.

Yen HL, Lee RJ, Lin JW, Chen HJ. Multiple tuberculomas in the brain and spinal cord: A case report. Spine (Phila Pa 1976) 2003;28(23):E499–502. [CrossRef] [Pubmed]   Back to citation no. 1  

19.

Branco BPC, Oliveira BB, Medeiros JBG, Araújo TNS. Meningoence-falite tuberculosa: Observação de um caso incomum. Pulmão (RJ) 2000;9:77–84.   Back to citation no. 1  

20.

Rao GP. Spinal intramedullary tuberculous lesion: Medical management. Report of four cases. J Neurosurg 2000;93(1 Suppl):137–41. [CrossRef] [Pubmed]   Back to citation no. 1  

21.

Muthukumar N, Venkatesh G, Senthilbabu S, Rajbaskar R. Surgery for intramedullary tuberculoma of the spinal cord: Report of 2 cases. Surg Neurol 2006;66(1):69–74. [CrossRef] [Pubmed]   Back to citation no. 1  

22.

Moufid F, Oulali N, El Fatemi N, Gana R, Maaqili R, Bellakhdar F. The intracranial tuberculoma: Reprot of 125 cases. Article in French. Pan Afr Med J 2012;12:56. [Pubmed]   Back to citation no. 1  

SUPPORTING INFORMATION


Author Contributions

Julia Brasileiro de Faria Cavalcante - Conception of the work, Design of the work, Acquisition of data, Analysis of data, Drafting the work, Revising the work critically for important intellectual content, Final approval of the version to be published, Agree to be accountable for all aspects of the work in ensuring that questions related to the accuracy or integrity of any part of the work are appropriately investigated and resolved.

Renata Brasileiro de Faria Cavalcante - Conception of the work, Design of the work, Acquisition of data, Analysis of data, Drafting the work, Revising the work critically for important intellectual content, Final approval of the version to be published, Agree to be accountable for all aspects of the work in ensuring that questions related to the accuracy or integrity of any part of the work are appropriately investigated and resolved.

Volmer Fernandes Valente Junior - Conception of the work, Design of the work, Acquisition of data, Analysis of data, Drafting the work, Revising the work critically for important intellectual content, Final approval of the version to be published, Agree to be accountable for all aspects of the work in ensuring that questions related to the accuracy or integrity of any part of the work are appropriately investigated and resolved.

José Edison da Silva Cavalcante - Conception of the work, Design of the work, Acquisition of data, Analysis of data, Drafting the work, Revising the work critically for important intellectual content, Final approval of the version to be published, Agree to be accountable for all aspects of the work in ensuring that questions related to the accuracy or integrity of any part of the work are appropriately investigated and resolved.

Italo Nogarotto Cembraneli - Conception of the work, Design of the work, Acquisition of data, Analysis of data, Drafting the work, Revising the work critically for important intellectual content, Final approval of the version to be published, Agree to be accountable for all aspects of the work in ensuring that questions related to the accuracy or integrity of any part of the work are appropriately investigated and resolved.

Pedro Nogarotto Cembraneli - Conception of the work, Design of the work, Acquisition of data, Analysis of data, Drafting the work, Revising the work critically for important intellectual content, Final approval of the version to be published, Agree to be accountable for all aspects of the work in ensuring that questions related to the accuracy or integrity of any part of the work are appropriately investigated and resolved.

Guarantor of Submission

The corresponding author is the guarantor of submission.

Source of Support

None

Consent Statement

Written informed consent was obtained from the patient for publication of this article.

Data Availability

All relevant data are within the paper and its Supporting Information files.

Conflict of Interest

Authors declare no conflict of interest.

Copyright

© 2020 Julia Brasileiro de Faria Cavalcante et al. This article is distributed under the terms of Creative Commons Attribution License which permits unrestricted use, distribution and reproduction in any medium provided the original author(s) and original publisher are properly credited. Please see the copyright policy on the journal website for more information.


Comment on Article