Case Report


Posterior reversible encephalopathy syndrome presenting as acute blindness

,  ,  ,  ,  ,  

1 Assistant Professor, Department of Internal Medicine, Moffitt Cancer Center, 12902 USF Magnolia Drive, Tampa, Florida, USA

2 Physician Assistant, Department of Internal Medicine, Moffitt Cancer Center, 12902 USF Magnolia Drive, Tampa, Florida, USA

3 Professor, Department of Radiology, Moffitt Cancer Center, 12902 USF Magnolia Drive, Tampa, Florida, USA

4 Assistant Professor, Department of Neurology, Moffitt Cancer Center, 12902 USF Magnolia Drive, Tampa, Florida, USA

5 Chair of Medicine, Associate Professor, Department of Internal Medicine, Moffitt Cancer Center, 12902 USF Magnolia Drive, Tampa, Florida, USA

Address correspondence to:

Dinesh Keerty

MD, FACP, 12902 USF Magnolia Drive, Moffitt Cancer Center, Dept-IHM, Tampa, Florida 33612,

USA

Message to Corresponding Author


Article ID: 101130Z01DK2020

doi:10.5348/101130Z01DK2020CR

Access full text article on other devices

Access PDF of article on other devices

How to cite this article

Keerty D, Haynes E, Eaton K, Arrington J, Peguero E, Ramsakal A. Posterior reversible encephalopathy syndrome presenting as acute blindness. Int J Case Rep Images 2020;11:101130Z01DK2020.

ABSTRACT


Introduction: Diffuse large B-cell lymphoma (DLBCL) is the most common histologic subtype of non-Hodgkin lymphoma (NHL) accounting for approximately 25–30% of NHL cases. The treatment is based upon stage and extent of disease. In most cases, NHL is treated with systemic chemotherapy and sometimes also radiation. As it is well known, there are numerous side effects to chemotherapy that includes rituximab. We are here to present one rare side effect of treatment called posterior reversible encephalopathy syndrome (PRES).

Case Report: This is a 67-yearold female patient with diffuse large B-cell lymphoma with extensive neoplastic involvement of the lower thorax, abdomen, pelvis, and bilateral hydronephrosis with diffuse tumor infiltration of the left renal hilum. She was started on aggressive chemotherapy with dose adjusted etoposide, prednisone, vincristine, cyclophosphamide, doxorubicin, rituximab (DAEPOCH- R). She was also being treated with intrathecal chemotherapy with methotrexate (MTX). She presented to the emergency room with generalized weakness, confusion, and fevers. She started complaining of loss of vision in the emergency room. A quick ophthalmic examination showed that her pupils were round, regular, and reactive to light with no gross deficits. Computed tomography (CT) of the head demonstrated bilateral, symmetrical vasogenic edema in the right and left posterior frontoparietal and occipital cortices and cerebellar hemispheres. Magnetic resonance imaging (MRI) of the brain showed vasogenic edema in the cerebellum and parieto-occiptal lobes with no restricted diffusion consistent with PRES.

Conclusion: Posterior reversible encephalopathy syndrome can result from various etiologies of which hypertensive encephalopathy, thrombotic thrombocytopenic purpura, and eclampsia are common. This case serves to raise awareness among hospitalists that PRES should be a differential diagnosis in the setting of patients receiving certain chemotherapeutic agents presenting with the aforementioned clinical symptoms.

Keywords: Adverse effects, Chemotherapy, Encephalopathy, Hypertension, Lymphoma

Introduction


Diffuse large B-cell lymphoma (DLBCL) is the most common histologic subtype of non-Hodgkin lymphoma (NHL) accounting for approximately 25–30% of NHL cases. The treatment is based upon stage and extent of disease. In most cases, NHL is treated with systemic chemotherapy and sometimes also radiation. As it is well known, there are numerous side effects to chemotherapy that includes rituximab. We are here to present one rare side effect of treatment called posterior reversible encephalopathy syndrome (PRES).

Case Report


This is a 67-year-old female patient with DLBCL with extensive neoplastic involvement of the lower thorax, abdomen, pelvis, and bilateral hydronephrosis with diffuse tumor infiltration of the left renal hilum. She was started on aggressive chemotherapy with DAEPOCH- R. She was also being treated with intrathecal chemotherapy with methotrexate (MTX). She was recently discharged from the hospital three days ago after completion of her first cycle of chemotherapy. She presented to the emergency room with generalized weakness, confusion and fevers. She had a maximum temperature of 103.1 °F. She denied any nausea, vomiting, diarrhea, chest pain, or shortness of breath. She started complaining of loss of vision in the emergency room. A quick ophthalmic examination showed that her pupils were round, regular, and reactive to light with no gross deficits. Suddenly, she suffered a grand mal seizure and was unresponsive following the seizure. She was immediately intubated for airway protection. She was noted to have severe hypertension and was started on propofol. Computed tomography (CT) of the head demonstrated bilateral, symmetrical vasogenic edema in the right and left posterior frontoparietal and occipital cortex and cerebellar hemispheres (Figure 1). Magnetic resonance imaging (MRI) of the brain showed vasogenic edema in the cerebellum and parieto-occiptal lobes with no restricted diffusion consistent with PRES (Figure 2). Electroencephalogram (EEG) performed under propofol sedation, showed diffuse delta 2–3.5 Hz waves with theta activity of 4–5 HZ with a poor degree of reactivity. There was no ictal evolution or epileptiform discharges (Figure 3). Photic stimulation produced no additional response. She was started on levetiracetam 1500 mg BID and lacosamide 100 mg BID. She was monitored with routine EEGs that had occasional generalized periodic discharge (GPD). It was felt the PRES was secondary to DA-EPOCH-R with hypertension. She was monitored in the hospital for 13 days and post-discharge had significant clinical improvement. She is ambulating and performing most of her activities of daily living with some assistance from her family. She does report poor short-term memory. She remains on levetiracetam 1500 mg BID and lacosamide 100 mg BID with no seizure or seizure like activity. Her family reports her blood pressures have been under relatively good control.

Figure 1: Contrast-enhanced axial CT images obtained through the level of the cerebellum (A), occipital cortex (B), parietal cortex (C), and frontal cortex (D). The most common brain imaging finding seen with PRES is vasogenic edema symmetrically involving the white mater of the posterior cortex with the occipital and parietal lobes most frequently affected. Vasogenic edema (red arrows) is seen as decreased attenuation (dark) on the CT images. No abnormal enhancement is present.

Share Image:

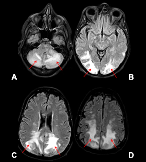
Figure 2: Corresponding axial fluid attenuated inversion recovery (FLAIR) MRI images obtained through the level of the cerebellum (A), occipital cortex (B), parietal cortex (C), and frontal cortex (D). The vasogenic edema is much better and more easily visualized than on CT. The vasogenic edema (red arrows) seen as increased signal (white) on the MRI images.

Share Image:

Figure 3: Electroencephalogram of patient showing diffuse delta 2–3.5 Hz waves with theta activity of 4–5 HZ with a poor degree of reactivity.

Share Image:

Discussion


Posterior reversible encephalopathy syndrome was first mentioned in 1996 as a clinical syndrome consisting of headache, confusion, visual changes, seizures, and associate neuroimaging findings of posterior cerebral white matter edema [1],[2],[3],[4]. There are numerous causes of PRES of which hypertensive encephalopathy, thrombotic thrombocytopenic purpura, and eclampsia are common (Table 1). It has also been noted in electrolyte imbalance and sepsis in rare occasions. Common chemotherapeutic medications that have contributed to similar findings are vincristine, rituximab, gemcitabine, etc. [5]. The pathogenesis appears to be related to cerebral autoregulation and endothelial dysfunction [6]. The failure of normal autoregulatory mechanisms in the maintenance of cerebral arteriolar pressure causes sudden hyperperfusion and extravasation of fluid leading to edema in the white matter of the brain [7]. The preferential involvement of posterior brain regions is poorly understood [8]. However, it has been hypothesized that it might be due to the presence of adrenergic nerves in greater numbers that could lead to endothelial dysfunction in the posterior white matter regions [9]. Neuroimaging consisting of CT, initially, followed by brain MRI is essential to diagnosis of PRES [10],[11]. Treatment of PRES involves symptomatic management of hypertension and seizures along with discontinuation of offending agent or condition such as pregnancy, etc. Most cases improve in few weeks after termination of offending factor and control of blood pressure, however, radiological improvement is noted much later, sometimes months [1],[12],[13],[14]

Table 1: Common causes of PRES

Share Image:

Conclusion


Posterior reversible encephalopathy syndrome can result from various etiologies of which hypertensive encephalopathy, thrombotic thrombocytopenic purpura, and eclampsia are common. In rare occasions, it also occurs in electrolyte imbalance and sepsis. Common chemotherapeutic agents such as vincristine, rituximab, and gemcitabine can cause PRES. This case serves to raise awareness among hospitalists that PRES should be a differential diagnosis in the setting of patients receiving certain chemotherapeutic agents presenting with the aforementioned clinical symptoms.

REFERENCES


1.

Hinchey J, Chaves C, Appignani B, et al. A reversible posterior leukoencephalopathy syndrome. New Engl J Med 1996;334(8):494–500. [CrossRef] [Pubmed]   Back to citation no. 1  

2.

Stott VL, Hurrell MA, Anderson TJ. Reversible posterior leukoencephalopathy syndrome: A misnomer reviewed. Intern Med J 2005;35(2):83–90. [CrossRef] [Pubmed]   Back to citation no. 1  

3.

Lysandropoulos AP, Rossetti AO. Postictal cortical visual impairment: A symptom of posterior reversible encephalopathy. Epilepsy Behav 2010;17(2):276–7. [CrossRef] [Pubmed]   Back to citation no. 1  

4.

Kastrup O, Gerwig M, Frings M, Diener HC. Posterior reversible encephalopathy syndrome (PRES): Electroencephalographic findings and seizure patterns. J Neurol 2012;259(7):1383–9. [CrossRef] [Pubmed]   Back to citation no. 1  

5.

Neill TA. Reversible posterior leukoencephalopathy syndrome. UpToDate. 2018. [Available at: https://www.uptodate.com/contents/reversible-posterior-leukoencephalopathy-syndrome]   Back to citation no. 1  

6.

Fugate JE, Rabinstein AA. Posterior reversible encephalopathy syndrome: Clinical and radiological manifestations, pathophysiology, and outstanding questions. Lancet Neurol 2015;14(9):914–25. [CrossRef] [Pubmed]   Back to citation no. 1  

7.

Strandgaard S, Paulson OB. Cerebral autoregulation. Stroke 1984;15(3):413–6. [CrossRef] [Pubmed]   Back to citation no. 1  

8.

Beausang-Linder M, Bill A. Cerebral circulation in acute arterial hypertension—protective effects of sympathetic nervous activity. Acta Physiol Scand 1981;111(2):193–9. [CrossRef] [Pubmed]   Back to citation no. 1  

9.

Edvinsson L, Owman C, Sjöberg NO. Autonomic nerves, mast cells, and amine receptors in human brain vessels. A histochemical and pharmacological study. Brain Res 1976;115(3):377–93. [CrossRef] [Pubmed]   Back to citation no. 1  

10.

Oppenheim C, Logak M, Dormont D, et al. Diagnosis of acute ischaemic stroke with fluid-attenuated inversion recovery and diffusion-weighted sequences. Neuroradiology 2000;42(8):602–7. [CrossRef] [Pubmed]   Back to citation no. 1  

11.

Schwartz RB, Jones KM, Kalina P, et al. Hypertensive encephalopathy: Findings on CT, MR imaging, and SPECT imaging in 14 cases. AJR Am J Roentgenol 1992;159(2):379–83. [CrossRef] [Pubmed]   Back to citation no. 1  

12.

Leroux G, Sellam J, Costedoat-Chalumeau N, et al. Posterior reversible encephalopathy syndrome during systemic lupus erythematosus: Four new cases and review of the literature. Lupus 2008;17(2):139–47. [CrossRef] [Pubmed]   Back to citation no. 1  

13.

Mak A, Chan BPL, Yeh IB, et al. Neuropsychiatric lupus and reversible posterior leucoencephalopathy syndrome: A challenging clinical dilemma. Rheumatology (Oxford) 2008;47(3):256–62. [CrossRef] [Pubmed]   Back to citation no. 1  

14.

Lee VH, Wijdicks EFM, Manno EM, Rabinstein AA. Clinical spectrum of reversible posterior leukoencephalopathy syndrome. Arch Neurol 2008;65(2)205–10. [CrossRef] [Pubmed]   Back to citation no. 1  

SUPPORTING INFORMATION


Author Contributions

Dinesh Keerty - Conception of the work, Design of the work, Acquisition of data, Analysis of data, Drafting the work, Revising the work critically for important intellectual content, Final approval of the version to be published, Agree to be accountable for all aspects of the work in ensuring that questions related to the accuracy or integrity of any part of the work are appropriately investigated and resolved.

Elizabeth Haynes - Analysis of data, Drafting the work, Final approval of the version to be published, Agree to be accountable for all aspects of the work in ensuring that questions related to the accuracy or integrity of any part of the work are appropriately investigated and resolved.

Kevin Eaton - Acquisition of data, Analysis of data, Drafting the work, Final approval of the version to be published, Agree to be accountable for all aspects of the work in ensuring that questions related to the accuracy or integrity of any part of the work are appropriately investigated and resolved.

John Arrington - Acquisition of data, Analysis of data, Drafting the work, Revising the work critically for important intellectual content, Final approval of the version to be published, Agree to be accountable for all aspects of the work in ensuring that questions related to the accuracy or integrity of any part of the work are appropriately investigated and resolved.

Edwin Peguero - Acquisition of data, Analysis of data, Drafting the work, Revising the work critically for important intellectual content, Final approval of the version to be published, Agree to be accountable for all aspects of the work in ensuring that questions related to the accuracy or integrity of any part of the work are appropriately investigated and resolved.

Asha Ramsakal - Analysis of data, Revising the work critically for important intellectual content, Final approval of the version to be published, Agree to be accountable for all aspects of the work in ensuring that questions related to the accuracy or integrity of any part of the work are appropriately investigated and resolved.

Guarantor of Submission

The corresponding author is the guarantor of submission.

Source of Support

None

Consent Statement

Written informed consent was obtained from the patient for publication of this article.

Data Availability

All relevant data are within the paper and its Supporting Information files.

Conflict of Interest

Authors declare no conflict of interest.

Copyright

© 2020 Dinesh Keerty et al. This article is distributed under the terms of Creative Commons Attribution License which permits unrestricted use, distribution and reproduction in any medium provided the original author(s) and original publisher are properly credited. Please see the copyright policy on the journal website for more information.


Comment on Article