Case Report


Papilledema and diplopia due to meningioma inside the superior sagittal sinus: A case report and review of the literature

,  

1 Department of Neurosurgery, Hospital Santa Creu i Sant Pau, Barcelona, Carrer de Sant Quintí, 89, Barcelona, Spain

Address correspondence to:

Marta Rico Pereira

MD, Department of Neurosurgery, Hospital Santa Creu i Sant Pau, Barcelona, Carrer de Sant Quintí, 89, 08041, Barcelona,

Spain

Message to Corresponding Author


Article ID: 101114Z01MP2020

doi:10.5348/101114Z01MP2020CR

Access full text article on other devices

Access PDF of article on other devices

How to cite this article

Rico Pereira M, Asencio Cortés C. Papilledema and diplopia due to meningioma inside the superior sagittal sinus: A case report and review of the literature. Int J Case Rep Images 2020;11:101114Z01MP2020.

ABSTRACT


Introduction: Small lesions involving or compressing dural sinuses are frequent but secondary intracranial hypertension is not very common, with few examples reported in the literature. This event may be explained in the setting of anatomic variants in pattern of venous sinus circulation.

Case Report: We present the case of a patient who presented with papilledema and loss of visual acuity due to a small meningioma located inside the superior sagittal sinus (SSS). The patient underwent a lumboperitoneal (LP) shunt placement with recovery of symptoms. Available literature is also reviewed.

Conclusion: Intracranial hypertension secondary to a meningioma located in the SSS is an uncommon entity. In its management, cerebrospinal fluid (CSF) shunts should be considered for symptomatic management. The definitive treatment may be targeted depending on multiple factors taking into account risk and benefit.

Keywords: Intracranial hypertension, Lumboperitoneal shunt, Meningioma, Papilledema, Superior sagittal sinus

Introduction


Intracranial hypertension due to small lesions compressing or involving venous sinuses is not a common event, despite the high frequency of meningiomas affecting dural sinuses. They may become symptomatic when there are anatomical variants or significant dominance on one side.

Meningiomas located inside venous sinuses are not common; treatment is more challenging in this case and venous sinus opening may lead to significant neurological complications [1],[2],[3].

We report the case of a patient who presented with papilledema and diplopia due to a small meningioma located in the posterior third of the superior sagittal sinus, treated with a LP shunt placement with recovery of symptoms. The role of variants in venous sinus circulation as well as treatment modalities are discussed.

Case Report


A 22-year-old female patient, otherwise healthy, presented to our emergency department with severe headache, visual impairment, and vomiting, in addition to diplopia due to paresis of the sixth cranial nerve. She was referred to our center with a suspicion of intracranial hypertension. Earlier she underwent ophthalmological examination in a private center revealing the presence of papilledema II/V and bilateral abducens nerve palsy. A brain computed tomography (CT) scan was performed with no apparent intracranial lesions.

Given the clinical suspicion of intracranial hypertension, a lumbar puncture was performed with pressure measurement, resulting in 37 mmHg and 30 mL of cerebrospinal fluid (CSF) were evacuated. After that, the patient presented significant transient clinical improvement.

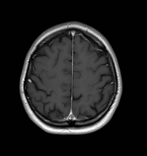
Magnetic resonance imaging (MRI, Figure 1A and Figure 1 B) revealed a small lesion in relation to the posterior third of the superior sagittal sinus, with a size of 12 × 10 × 10 mm, hyperintense in T2 and FLAIR sequences and hypointense in T1. The lesion showed homogeneous enhancement after Gadolinium administration, all suggestive of meningioma given the radiological findings. Superior sagittal sinus invasion and moderate stenosis by the meningioma were observed (Figure 2). On the other hand, no optic nerve sheath or Meckel cavum anomalies were observed. There was no suggestion for idiopathic or benign intracranial hypertension.

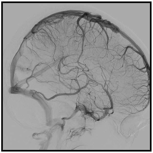
After checking the findings in the MRI, a selective angiography of both internal carotids and left vertebral arteries was performed (Figure 3). Arterial phase did not show intracranial hypervascularization or other relevant findings. Venous phase confirmed moderate and segmental stenosis of the posterior third of the superior sagittal sinus due to the meningioma, as well as slowed global intracranial cerebral venous circulation time, especially in relation to the cortical veins draining to the superior sagittal sinus. This finding was compatible with the suspicion of intracranial hypertension due to venous stasis.

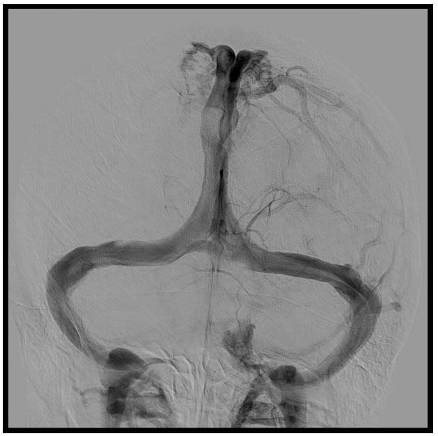
On the other hand, an anatomical variant was observed: the right Labbé vein was hypoplastic, with compensatory hypertrophy of Trolard vein. This finding could explain the intensity of the symptoms presented in the patient (Figure 4).

After evacuation of CSF through lumbar punctures, the patient experienced significant clinical improvement. Available therapeutic options to address meningioma were evaluated, including surgical resection, endovascular techniques through stent placement and radiosurgery.

Surgical removal of the lesion was totally excluded due to the high risk of damage to the posterior third of the sagittal sinus, leading to severe neurological consequences.

Endovascular techniques were discussed with the interventional radiologist, but once again the risk of stent placement in this location with possibility of occlusion in the posterior third of the sagittal sinus was very high, so this option was also excluded.

In this case we consider the best option is radiosurgery, due to its characteristics (size and risk associated with both resection and stent placement at this location).

The symptoms were related to the venous stasis and, therefore, to the intracranial hypertension. The patient was proposed to undergo surgical intervention to address this clinical status, by placing a LP shunt with programmable valves, Strata Medtronic Iberica SA (E45750), with correct postoperative evolution.

We decided to place a LP shunt instead a ventriculoperitoneal shunt due to low complication rate profile (i.e., in case of infection) with avoidance of cerebral manipulation, taking into account the results were comparable with both procedures.

Intracranial hypertension symptoms recovered. Subsequent ophthalmologic examination showed resolution of papilledema and the patient reported subjective visual improvement.

After one month an MRI was performed which showed the stability of the lesion. Currently, the patient does not have any symptoms of intracranial hypertension. Occasionally, she suffers from paresthesias in lower extremities suggesting seizures and she is under antiepileptic treatment.

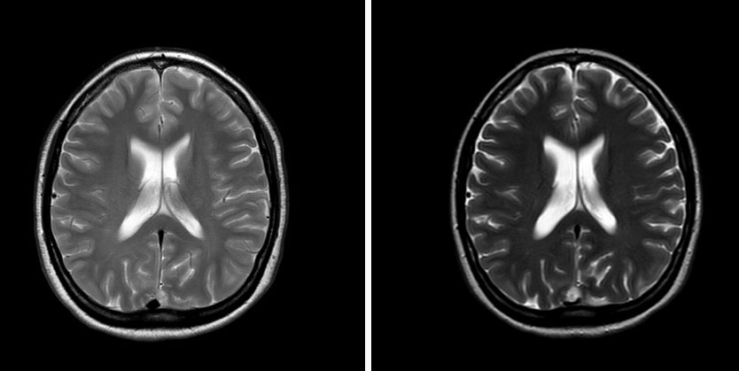
Magnetic resonance imaging after six months (Figure 5) showed stability of the meningioma with re-expansion of the superior sagittal sinus comparing with the MRI before LP shunt placement. At the present time the patient has not been treated by radiosurgery because she is doing well without symptoms and the lesion is stable.

Figure 1: (A) and (B) Brain MRI in FLAIR sequence and after administration of Gadolinium in sagittal plane, showing a lesion in relation to the posterior third of the superior sagittal sinus, with homogeneous enhancement after Gadolinium administration, all suggestive of meningioma.

Share Image:

Figure 2: Brain MRI T1 after Gadolinium in axial plane showing stenosis of the posterior third of the superior sagittal sinus due to the meningioma.

Share Image:

Figure 3: Cerebral angiography of both carotid arteries and left vertebral artery in venous phase and sagittal projection, showing moderate and segmental stenosis of the distal third of the superior sagittal sinus due to the meningioma.

Share Image:

Figure 4: Venography showing right Labbé vein hypoplastic, with compensatory hypertrophy of Trolard vein.

Share Image:

Figure 5: Gadolinium-enhanced T1 MRI in axial section. Left side corresponds with the first MRI and right side with the MRI after six months. We can observe meningioma stability with partial re-expansion of the superior sagittal sinus in the posterior third comparing both studies.

Share Image:

Discussion


Intracranial hypertension secondary to lesions invading or compressing venous sinuses is well known. Different lesions may produce this complication (metastatic tumors, epidermoid cyst, meningioma, etc.) and they become symptomatic more frequently if anatomic variants in the pattern of venous circulation are present.

Meningiomas represent the most frequent intracranial tumor. Location inside dural venous sinuses is not very common. In this situation, the possible occurrence of intracranial hypertension due to small lesions may lead to ophthalmologic symptoms [3],[4],[5],[6]. On the other hand, this location makes tumor resection more challenging with greater associated risks [7].

The pattern of venous sinus circulation may be very variable and this may explain the exceptional occurrence of intracranial hypertension despite the high frequency of invasion or compression of dural sinuses by different lesions.

In our case, the right Labbé vein was hypoplastic, with compensatory hypertrophy of Trolard vein, explaining the symptoms with the partial stenosis of the superior sagittal sinus (Figure 4).

In this case, given the location in the posterior third of the superior sagittal sinus, we decided not to proceed to the definitive treatment due to the risk associated with this location, taking into account the patient clinical stability as well as stability of the meningioma in the imaging controls.

Given the patient’s symptoms we decided to place a LP shunt with programmable valves with total recovery of symptoms [8],[9].

Conclusion


Intracranial hypertension secondary to a meningioma located in the superior sagittal sinus is an uncommon entity. In its management, CSF shunts should be considered for symptomatic management. The definitive treatment of the lesion may be managed by surgical techniques, endovascular techniques, or radiosurgery, depending on the location and size. In case of stable and small lesions in an asymptomatic patient, conservative management is a good option.

REFERENCES


1.

Kreßner M, Arlt F, Riepl W, Meixensberger J. Prognostic factors of microsurgical treatment of intracranial meningiomas – A multivariate analysis. PLoS One 2018;13(10):e0202520. [CrossRef] [Pubmed]   Back to citation no. 1  

2.

Sindou MP, Alvernia JE. Results of attempted radical tumor removal and venous repair in 100 consecutive meningiomas involving the major dural sinuses. J Neurosurg 2006;105(4):514–25. [CrossRef] [Pubmed]   Back to citation no. 1  

3.

Vachhrajani S, Jea A, Rutka JA, Blaser S, Cusimano M, Rutka JT. Meningioma with dural venous sinus invasion and jugular vein extension. J Neurosurg Pediatr 2008;2(6):391–6. [CrossRef] [Pubmed]   Back to citation no. 1  

4.

Han MS, Kim YJ, Moon KS, et al. Lessons from surgical outcome for intracranial meningioma involving major venous sinus. Medicine (Baltimore) 2016;95(35):e4705. [CrossRef] [Pubmed]   Back to citation no. 1  

5.

Ding D, Xu Z, McNeill IT, Yen CP, Sheehan JP. Radiosurgery for parasagittal and parafalcine meningiomas. J Neurosurg 2013;119(4):871–7. [CrossRef] [Pubmed]   Back to citation no. 1  

6.

Mariniello G, Giamundo A, Donzelli R, Severino R, Russo C, Elefante A, Maiuri F. Intracranial hypertension due to meningioma of the unique transverse sinus. Neuroradiol J 2013;26(2):209–12. [CrossRef] [Pubmed]   Back to citation no. 1  

7.

Kondziolka D, Mathieu D, Lunsford LD, et al. Radiosurgery as definitive management of intracranial meningiomas. Neurosurgery 2008;62(1):53–8. [CrossRef] [Pubmed]   Back to citation no. 1  

8.

Donnet A, Metellus P, Levrier O, et al. Endovascular treatment of idiopathic intracranial hypertension: Clinical and radiologic outcome of 10 consecutive patients. Neurology 2008;70(8):641–7. [CrossRef] [Pubmed]   Back to citation no. 1  

9.

Abubaker K, Ali Z, Raza K, Bolger C, Rawluk D, O'Brien D. Idiopathic intracranial hypertension: Lumboperitoneal shunts versus ventriculoperitoneal shunts – Case series and literature review. Br J Neurosurg 2011;25(1):94–9. [CrossRef] [Pubmed]   Back to citation no. 1  

SUPPORTING INFORMATION


Author Contributions

Marta Rico Pereira - Conception of the work, Design of the work, Acquisition of data, Analysis of data, Drafting the work, Revising the work critically for important intellectual content, Final approval of the version to be published, Agree to be accountable for all aspects of the work in ensuring that questions related to the accuracy or integrity of any part of the work are appropriately investigated and resolved.

Carlos Asencio Cortés - Conception of the work, Design of the work, Revising the work critically for important intellectual content, Final approval of the version to be published, Agree to be accountable for all aspects of the work in ensuring that questions related to the accuracy or integrity of any part of the work are appropriately investigated and resolved.

Guarantor of Submission

The corresponding author is the guarantor of submission.

Source of Support

None

Consent Statement

Written informed consent was obtained from the patient for publication of this article.

Data Availability

All relevant data are within the paper and its Supporting Information files.

Conflict of Interest

Authors declare no conflict of interest.

Copyright

© 2020 Marta Rico Pereira et al. This article is distributed under the terms of Creative Commons Attribution License which permits unrestricted use, distribution and reproduction in any medium provided the original author(s) and original publisher are properly credited. Please see the copyright policy on the journal website for more information.