Clinical Image


A mycotic cave

,  ,  ,  

1 Department of Medical Sciences and School of Emergency Medicine, Emergency Unit, St. Anna Hospital, University of Ferrara, Italy

Address correspondence to:

Matteo Guarino

MD, Department of Medical Sciences, St. Anna Hospital, Via A. Moro 8, 44124 Cona, Ferrara,

Italy

Message to Corresponding Author


Article ID: 101081Z01MG2019

doi:10.5348/101081Z01MG2019CI

Access full text article on other devices

Access PDF of article on other devices

How to cite this article

Guarino M, Alfano F, Gambuti E, De Giorgio R. A mycotic cave. Int J Case Rep Images 2019;10:101081Z01MG2019.

ABSTRACT


No Abstract

Keywords: Fungal infections, Lung injury, Mycetoma

Case Report


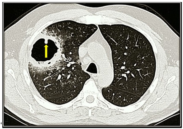
A 50-year-old man with a long history of heavy smoking presented to the Emergency Unit of the St. Anna Hospital, Ferrara, Italy, with cough and brown expectorate since about a month. The patient was afebrile. The physical examination did not disclose major findings apart from a marked reduction of vesicular murmur. Laboratory tests showed a normal white cell count, a significant increase of C-reactive protein (22.4 mg/dl; n.v.: (Figure 1) with features indicative of fungal hyphae (arrows in Figure 1). Urinary tests for pneumococcal and legionella antigens resulted negative as well as serology for Mycoplasma pneumoniae and Mycobacterium tuberculosis. Microbiological analysis on bronchoalveolar lavage fluid detected the presence of a Candida glabrata, whereas blood cultures were negative. Because of the resistance to antifungal treatments, a right superior lobectomy was needed and successfully performed. Six days after the operation the patient was discharged in good health with the recommendation of a respiratory rehabilitation for the next three months.

Figure 1: CT scan showing a huge (maximal diameter: 6.5 cm) mycetoma in the upper lobe of the right lung.

Share Image:

Discussion


Mycetomas in asymptomatic and non-immunosuppressed subjects are rare clinical condition and represent a challenge for physicians. From a radiological perspective, mycetomas are often seen in the upper lobe, typically as a mobile mass with an air crescent. Differential diagnosis includes neoplasms and hematomas. Medial management of mycetomas includes antibiotic or antifungal treatments that should be always attempted. However, as shown by this case, the efficacy of antibiotic or antifungal drugs is limited and surgery may be needed [1],[2],[3].

Conclusion


Mycetomas are conditions related to fungal infections, which can even occur in non-immunocompromised patients. So far, there are no established guidelines as to how a patient with mycetoma should be appropriately managed. As highlighted by this case, based on initial evidence of a mycetoma, physicians working in the emergency setting should promptly recommend appropriate diagnostic tests and start antifungal treatment.

REFERENCES


1.

Venkatswami S, Sankarasubramanian A, Subramayanm S. The madura foot: Looking deep. Int J Low Extrem Wounds 2012;11(1):31–42. [CrossRef] [Pubmed]   Back to citation no. 1  

2.

Rubin AH, Alroy GG. Candida albicans abscess of lung. Thorax 1977;32(3):373–6. [CrossRef] [Pubmed]   Back to citation no. 1  

3.

Shimizu J, Arano Y, Adachi I, Ikeda C, Ishikawa N, Ohtake H. Intractable lung abscess successfully treated with cavernostomy and free omental plombage using microvascular surgery. Gen Thorac Cardiovasc Surg 2009;57(11):616–21. [CrossRef] [Pubmed]   Back to citation no. 1  

SUPPORTING INFORMATION


Author Contributions

Matteo Guarino - Conception of the work, Design of the work, Drafting the work, Final approval of the version to be published, Agree to be accountable for all aspects of the work in ensuring that questions related to the accuracy or integrity of any part of the work are appropriately investigated and resolved.

Franco Alfano - Conception of the work, Design of the work, Drafting the work, Final approval of the version to be published, Agree to be accountable for all aspects of the work in ensuring that questions related to the accuracy or integrity of any part of the work are appropriately investigated and resolved.

Edoardo Gambuti - Conception of the work, Design of the work, Drafting the work, Final approval of the version to be published, Agree to be accountable for all aspects of the work in ensuring that questions related to the accuracy or integrity of any part of the work are appropriately investigated and resolved.

Roberto De Giorgio - Conception of the work, Design of the work, Revising the work critically for important intellectual content, Final approval of the version to be published, Agree to be accountable for all aspects of the work in ensuring that questions related to the accuracy or integrity of any part of the work are appropriately investigated and resolved.

Guarantor of Submission

The corresponding author is the guarantor of submission.

Source of Support

None

Consent Statement

Written informed consent was obtained from the patient for publication of this article.

Data Availability

All relevant data are within the paper and its Supporting Information files.

Conflict of Interest

Authors declare no conflict of interest.

Copyright

© 2019 Matteo Guarino et al. This article is distributed under the terms of Creative Commons Attribution License which permits unrestricted use, distribution and reproduction in any medium provided the original author(s) and original publisher are properly credited. Please see the copyright policy on the journal website for more information.