Case Report


Budd–Chiari syndrome complicating hepatic sarcoidosis: A rare association

,  ,  

1 Emergency Radiology Department, Ibn Sina Hospital, CHU of Rabat, Morocco

Address correspondence to:

Saoud Aida

Secteur 15, bloc D n°19, Hay Riad, Rabat,

Morocco

Message to Corresponding Author


Article ID: 101068Z01SA2019

doi:10.5348/101068Z01SA2019CR

Access full text article on other devices

Access PDF of article on other devices

How to cite this article

Aida S, Habib B, Zahra LF. Budd–Chiari syndrome complicating hepatic sarcoidosis: A rare association. Int J Case Rep Images 2019;10:101068Z01SA2019.

ABSTRACT


Introduction: The Budd–Chiari syndrome is an obstruction of the hepatic venous drainage. It is not common as a complication of hepatic sarcoidosis but the association is possible. We report a case of Budd–Chiari syndrome complicating a hepatic sarcoidosis.

Case Report: A 32-year-old female patient with a history of mediastino-pulmonary, hepatic, and splenic sarcoidosis since her young age, that stopped her medication, was readmitted at our Emergency Department for recurrent threatening hematemesis. The oesogastroduodenal fibroscopy found esophageal varices. Biological assessment found a cytolysis and cholestasis. Hepatic Doppler ultrasound showed nodular bumpy hepatomegaly, with outflow obstruction of the hepatic veins, and a laminated aspect of the inferior vena cava that remains permeable. Abdominal computed tomography (CT) showed multinodular liver and spleen, multiple lymphadenopathies, and a lack of individualization of hepatic veins. Chest CT showed an interstitial syndrome associated with bilateral mediastinal and hilar adenopathies. Viral serologies B and C, and the search for thrombophilia were negative. Hepatic sarcoidosis was previously confirmed by liver biopsy, with a negative tuberculosis testing and a high level of angiotensin-converting enzyme. All these assessments led to the diagnosis of Budd–Chiari syndrome complicating hepatic sarcoidosis.

Conclusion: Budd–Chiari syndrome is thus an exceptional complication, but possible in case of hepatic sarcoidosis. Therefore, it is worthwhile to look for it in case of any worsening of hepatic sarcoidosis, and to suggest possible sarcoidosis in case of Budd–Chiari syndrome.

Keywords: Budd–Chiari syndrome, Hepatic sarcoidosis, Liver, Sarcoidosis

Introduction


Sarcoidosis is an inflammatory disorder categorized by the presence of noncaseating granulomas, which has the ability to affect multiple organs of the body [1],[2]. The pulmonary system is the most common site of involvement (90% of cases) [1]. The liver is the third most commonly affected organ system after the lungs and lymph nodes. It has been found that 50–65% of sarcoid patients have hepatic involvement as per liver biopsy [2].

Budd–Chiari syndrome is a heterogeneous group of clinical conditions presenting with hepatic venous outflow obstruction, which can be located at any level from the small hepatic veins to the junction of the inferior vena cava with the right atrium [3]. It is classified as being primary if flow is obstructed due to an endoluminal aberration, or secondary if the flow is obstructed by compression or invasion of a lesion outside the hepatic venous outflow track [3].

The Budd–Chiari syndrome is not common as a complication of hepatic sarcoidosis but the association is possible. A dozen cases are reported in the literature, to which we add our case of Budd–Chiari syndrome in the context of a sarcoidosis with liver injury.

Case Report


We report the case of a 32-year-old female patient with a history of mediastino-pulmonary, hepatic, and splenic sarcoidosis since her young age, under corticotherapy. The patient was lost to follow-up for two years and she willingly stopped her medication. She was readmitted at our Emergency Department for recurrent threatening high digestive bleeding. The oeso-gastroduodenal fibroscopy found esophageal varices. Biological assessment found a cytolysis and cholestasis with elevated alkaline phosphatase (289 IU/L), gamma-glutamyltransferase (GGT) (147 IU/L), total bilirubin (5.4 mg/dL) mostly conjugated, alanine aminotransferases (ALATs) (36 IU/L), and serum alanine aminotranspeptidases (ASAT) (47 IU/L).

Hepatic Doppler ultrasound showed nodular bumpy hepatomegaly, with outflow obstruction of the hepatic veins on pulse wave and color flow Doppler, and a laminated aspect of the inferior vena cava that remains permeable.

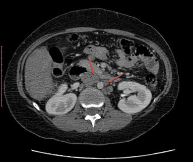
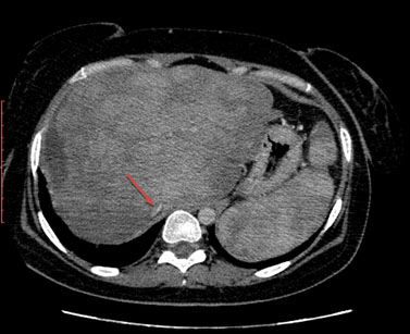
Abdominal CT showed multiple hepatic and splenic nodules enhanced after contrast injection, multiple peritoneal and retroperitoneal lymphadenopathies, and a lack of individualization of hepatic veins. The portal vein and its branches were permeable (Figure 1, Figure 2, Figure 3).

Chest CT showed an interstitial syndrome with diffuse parenchymal reticulomicronodular infiltrate associated with bilateral mediastinal and hilar adenopathies (Figure 4A and B). Viral serologies B and C were negative.

The search for thrombophilia, namely dosage of protein C, protein S, antithrombin III, nocturnal paroxysmal hemoglobinuria, antiphospholipid syndrome, Leiden’s factor V mutation, and the prothrombin gene mutation, was negative.

Hepatic sarcoidosis was previously confirmed by liver biopsy, which objectified noncaseating granulomas, with a negative tuberculosis testing (IDR, BK in sputum, and GeneXpert) and a high level of angiotensin-converting enzyme (97 UECA).

All these assessments led to the diagnosis of Budd–Chiari syndrome complicating hepatic sarcoidosis.

Figure 1: Abdominal CT with injection of contrast medium at venous time showing multinodular liver and spleen, with no visualization of the hepatic veins and a laminated inferior vena cava (red arrow).

Share Image:

Figure 2: Abdominal CT showing inter-aortico-cava and lateroaortic adenopathies (red arrows).

Share Image:

Figure 3: Abdominal enhanced CT at venous time showing heterogeneous nodular hepatomegaly with mass effect on the inferior vena cava which is laminated (red arrow).

Share Image:

Figure 4: (A) and (B): Chest CT showing reticulomicronodular pulmonary parenchymal infiltration (red circle).

Share Image:

Discussion


Cholestasis and portal hypertension represent the most common complications of hepatic sarcoidosis. Budd–Chiari syndrome is actually an exceptional complication of sarcoidosis. It has been reported in a dozen cases in literature [4],[5],[6],[7],[8],[9],[10],[11],[12],[13]. The pathophysiology is not clearly elucidated; however, two hypotheses are proposed to explain this causality. On the one hand, the extrinsic compression of the hepatic veins by the adjacent nodules, which would lead to venous stasis with endoluminal thrombus formation [13], causing a secondary Budd–Chiari syndrome [14]. On the other hand, granulomatous infiltration of the vascular wall [11] by contiguity, without formation of vascular thrombi, could lead to a primary Budd–Chiari syndrome [14].

Clinically, depending on the number of occluded veins and the speed of occlusion, Budd–Chiari syndrome may remain asymptomatic, or manifest as hepatomegaly, abdominal pain, hepatocellular insufficiency, or ascites.

The imaging will find portal hypertension signs with suprahepatic obstacle, manifested by disorders of the flow on the Doppler ultrasound and of a lack of enhancement of hepatic veins and/or inferior vena cava, with development of collateral venous circulation. We can also find a dysmorphic liver with multiple hepatic nodules (related to hepatic parenchymal involvement of sarcoidosis), perfusion disorders, or ascites.

Treatment of Budd–Chiari syndrome will be based on the management of its etiology, in this case sarcoidosis (corticosteroids, immunosuppressants, synthetic antimalarials), the prevention of venous thrombosis and the restoration of hepatic venous drainage [15] (surgical or endovascular). Liver transplantation may be considered in patients with rapidly worsening hepatocellular insufficiency, which was the case of our patient.

Conclusion


Budd–Chiari syndrome is thus an exceptional complication, but possible in case of hepatic sarcoidosis. Therefore, it is worthwhile to look for it in case of any worsening of hepatic sarcoidosis, and to suggest possible sarcoidosis in case of Budd–Chiari syndrome.

REFERENCES


1.

Syed U, Alkhawam H, Bakhit M, Companioni RA, Walfish A. Hepatic sarcoidosis: Pathogenesis, clinical context, and treatment options. Scand J Gastroenterol 2016;51(9):1025–30. [CrossRef] [Pubmed]   Back to citation no. 1  

2.

Tadros M, Forouhar F, Wu GY. Hepatic sarcoidosis. J Clin Transl Hepatol 2013;1(2):87–93. [CrossRef] [Pubmed]   Back to citation no. 1  

3.

Martens P, Nevens F. Budd-Chiari syndrome. United European Gastroenterol J 2015;3(6):489–500. [CrossRef] [Pubmed]   Back to citation no. 1  

4.

Ennaifer R, Bacha D, Romdhane H, Cheikh M, Nejma HB, BelHadj N. Budd-Chiari syndrome: An unusual presentation of multisystemic sarcoidosis. Clin Pract 2015;5(3):768. [CrossRef] [Pubmed]   Back to citation no. 1  

5.

Van Brusselen D, Janssen CE, Scott C, et al. Budd-Chiari syndrome as presenting symptom of hepatic sarcoidosis in a child, with recurrence after liver transplantation. Pediatr Transplant 2012;16(2):E58–62. [CrossRef] [Pubmed]   Back to citation no. 1  

6.

Efe C, Shorbagi A, Ozseker B, et al. Budd-Chiari syndrome as a rare complication of sarcoidosis. Rheumatol Int 2012;32(10):3319–20. [CrossRef] [Pubmed]   Back to citation no. 1  

7.

Sghier IA, Billah NM. Budd-Chiari syndrome: A rare complication of hepatic sarcoidosis (about one case). [Article in French]. Pan Afr Med J 2016;23:4. [CrossRef] [Pubmed]   Back to citation no. 1  

8.

Krishnamoorthy G, Ray G, Agarwal I, Kumar S. Unusual presentation of sarcoidosis in a child. Rheumatol Int 2012;32(5):1453–5. [CrossRef] [Pubmed]   Back to citation no. 1  

9.

Delfosse V, de Leval L, De Roover A, et al. Budd-Chiari syndrome complicating hepatic sarcoidosis: Definitive treatment by liver transplantation: A case report. Transplant Proc 2009;41(8):3432–4. [CrossRef] [Pubmed]   Back to citation no. 1  

10.

Maàmouri N, Ketari S, Habessi H, et al. Budd-Chiari syndrome in sarcoidosis. [Article in French]. Gastroenterol Clin Biol 2009;33(2):147–8. [CrossRef] [Pubmed]   Back to citation no. 1  

11.

Deniz K, Ward SC, Rosen A, Grewal P, Xu R. Budd-Chiari syndrome in sarcoidosis involving liver. Liver Int 2008;28(4):580–1. [CrossRef] [Pubmed]   Back to citation no. 1  

12.

Russi EW, Bansky G, Pfaltz M, Spinas G, Hammer B, Senning A. Budd-Chiari syndrome in sarcoidosis. Am J Gastroenterol 1986;81(1):71–5. [Pubmed]   Back to citation no. 1  

13.

Natalino MR, Goyette RE, Owensby LC, Rubin RN. The Budd-Chiari syndrome in sarcoidosis. JAMA 1978;239(25):2657–8. [CrossRef] [Pubmed]   Back to citation no. 1  

14.

Valeyne D, Soler P, Tazi A, et al. Sarcoïdose. In: Kahn MF, Paltier AP, Meyer O, Piette JC, editors. Maladies et Syndromes Systémiques. Paris: Flammarion Médecine-Science; 2000. p. 1207–36.   Back to citation no. 1  

15.

Plessier A. Budd Chiari syndrome. [Article in French]. Gastroenterol Clin Biol 2006;30(10):1162–9. [CrossRef] [Pubmed]   Back to citation no. 1  

SUPPORTING INFORMATION


Author Contributions

Saoud Aida - Conception of the work, Design of the work, Acquisition of data, Analysis of data, Drafting the work, Final approval of the version to be published, Agree to be accountable for all aspects of the work in ensuring that questions related to the accuracy or integrity of any part of the work are appropriately investigated and resolved.

Bellamlih Habib - Analysis of data, Revising the work critically for important intellectual content, Final approval of the version to be published, Agree to be accountable for all aspects of the work in ensuring that questions related to the accuracy or integrity of any part of the work are appropriately investigated and resolved.

Laamrani Fatima Zahra - Analysis of data, Revising the work critically for important intellectual content, Final approval of the version to be published, Agree to be accountable for all aspects of the work in ensuring that questions related to the accuracy or integrity of any part of the work are appropriately investigated and resolved.

Guarantor of Submission

The corresponding author is the guarantor of submission.

Source of Support

None

Consent Statement

Written informed consent was obtained from the patient for publication of this article.

Data Availability

All relevant data are within the paper and its Supporting Information files.

Conflict of Interest

Authors declare no conflict of interest.

Copyright

© 2019 Saoud Aida et al. This article is distributed under the terms of Creative Commons Attribution License which permits unrestricted use, distribution and reproduction in any medium provided the original author(s) and original publisher are properly credited. Please see the copyright policy on the journal website for more information.