Clinical Image


A case of diaminodiphenyl sulfone-induced eosinophilic pneumonia

,  ,  ,  ,  

1 Department of Respiratory Medicine, Medical Corporation JR Hiroshima Hospital, Hiroshima, Japan

Address correspondence to:

Yasuyuki Taooka

MD, FCCP, FACP, FRSM, PhD, Department of Respiratory Medicine, Medical Corporation JR Hiroshima Hospital, 3-1-36 Futabano-sato, Higashi-ku, Hiroshima, Japan 732-0057,

Japan

Message to Corresponding Author


Article ID: 101056Z01YT2019

doi:10.5348/101056Z01YT2019CR

Access full text article on other devices

Access PDF of article on other devices

How to cite this article

Taooka Y, Inata J, Yoke H, Takata Y, Mino M. A case of diaminodiphenyl sulfone-induced eosinophilic pneumonia. Edorium J Pathol 2019;10:101056Z01YT2019.

ABSTRACT


No Abstract

Keywords: Diaminodiphenyl sulfone, Eosinophil, Eosinophilic pneumonia

Case Report


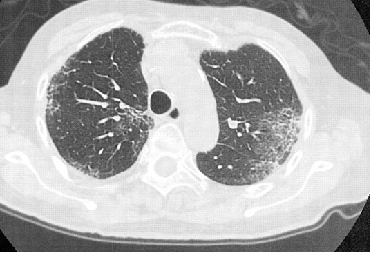
An 81-year-old woman being treated for chronic urticaria consulted our outpatient clinic with a two-week history of productive cough and fever. Six months prior to the consultation, she consulted a dermatologist and was treated with an antihistamine-1-receptor blocker against urticaria. Since her itching continued, diaminodiphenyl sulfone (DDS), 50 mg daily, was added. The chronic urticaria then gradually improved, and the DDS was continued. Two weeks prior to the consultation, she developed malaise and cough with whitish sputum. On thoracic computed tomography (CT), a bilateral upper lobe and subpleural lesion-dominant, multiple, nonsegmental, consolidative shadow was observed (Figure 1). The possibility of community-acquired pneumonia was highly suspected, and a combination of clarithromycin and ceftriaxone for one week was given at a family practice office. However, her symptoms and the infiltrative shadow on chest X-ray gradually worsened, and she consulted our outpatient clinic. On physical examination, auscultation of her chest showed early inspiratory crackles. Blood laboratory examination showed: white blood cell count 9150/μL, eosinophils 5.8% (531/μL), red blood cell count 2,800,000/μL, hemoglobin 8.8 g/dL, hematocrit 28.1%, platelet count 249,000/μL, total protein 6.8 g/dL, albumin 4.0 g/dL, AST 20 IU/mL, ALT 9 IU/mL, LDH 201 U/mL (normal range: 106–211 U/mL), Fe 76 μg/mL, ferritin 402 mg/mL, total iron-binding capacity 110 μg/mL, Na 145 mEq/L, K 4.0 mEq/L, Cl 110 mEq/L, C-reactive protein 8.3 mg/dL, CEA 1.1 ng/mL, and KL-6 197 U/mL (normal range: 0–499 U/mL). The Coombs test was negative. A bronchofiberscopic examination was also performed. Bronchoalveolar lavage (BAL) cells showed elevated eosinophils (34.1%) and total cell count (2.67 × 105/mL). The CD4/CD8-ratio of BAL cells was 3.56 (normal range: 1.0–2.0). No specific pathogen was recognized in the BAL fluid. A diagnosis of eosinophilic pneumonia was made, and the possibility of an adverse effect of DDS as the cause of eosinophilic pneumonia was suspected. Prednisolone, 25 mg daily (0.5 mg/kg/day), was then started, and DDS was discontinued immediately. Her productive cough and fever resolved, and the infiltrative shadow on chest X-ray and thoracic CT also improved gradually (Figure 2). Anemia and eosinophilia were also improved, with eosinophils of 0.2% (22/μL) and hemoglobin of 11.3 g/dL. After three months of treatment with tapering of prednisolone, the prednisolone was discontinued. Two years later, there was no recurrence of eosinophilic pneumonia.

Figure 1: Thoracic CT imaging on admission showed bilateral upper lobe and subpleural lesion-dominant, multiple, nonsegmental, consolidative shadows.

Share Image:

Figure 2: Thoracic CT imaging after treatment with corticosteroid showing improvement in infiltrative shadow.

Share Image:

Discussion


Drug-induced pneumonia is known as one of the major adverse effects of allergic disease and malignant disease [1]. Diaminodiphenyl sulfone is widely used for the treatment of chronic allergic skin diseases [2], [3]. Although drug eruptions are well known adverse effects of DDS [2], [3], there was no drug eruption in the present case. When looking retrospectively, the increased circulating eosinophil count and advanced anemia were the signs for early detection of this case. Computed tomography imaging and BAL cell findings in this case were similar to those of chronic eosinophilic pneumonia (CEP) [4]. Generally, circulating eosinophil cells are not increased in the early phase of CEP cases, but they are elevated in the delayed phase [4]. In this respect, the present case was not consistent with previous reports.

From the point of view of CT findings, both CEP and bronchiolitis obliterans with organizing pneumonia (BOOP)/cryptogenic organizing pneumonia (COP) were considered in the differential diagnosis of this case. Although transbronchial lung biopsy was not performed, the present case was compatible with the criteria for eosinophilic pneumonia showing an increased number of eosinophilic cells (more than 25.0%) and an increased CD4/CD8-ratio with BAL cells [4], [5]. The present case also did not have episodes of bronchial asthma as seen in CEP. According to the previous case reports of DDS-induced eosinophilic pneumonia, an upper lobe-dominant infiltrative shadow and nonsegmental, multiple, consolidative shadows were common [2], [3]. In this regard, the present case was compatible with previous reports. The reversed halo sign on thoracic CT imaging is also known as one of the specific findings of BOOP/COP and CEP, but it was not confirmed in the present case [6].

Although a challenge test (trying readministration of DDS) was not performed, no recurrence was seen after discontinuation of DDS. Furthermore, her anemia and eosinophilia were also improved after corticosteroid administration. Therefore, this case was diagnosed as DDS-induced eosinophilic pneumonia. The DDS-induced lymphocyte stimulation test was negative, which supported the possibility that the eosinophilic pneumonia in the present case was not mediated by a type IV allergic reaction, though it would not suggest that the present case was not DDS-induced eosinophilic pneumonia.

Conclusion


A rare case of DDS-induced eosinophilic pneumonia was reported. When finding a nonresolving pneumonia shadow on chest X-ray during treatment with DDS, the possibility of an adverse effect of DDS should be considered. An upper lobe-dominant infiltrative shadow and nonsegmental, multiple, consolidative shadows were characteristic findings in the present case. An increased circulating eosinophil count and advanced anemia were also useful for early diagnosis in this case.

REFERENCES


1.

Maeda A, Ishioka S, Taooka Y, Hiyama K, Yamakido M. Expression of transforming growth factor-beta1 and tumour necrosis factor-alpha in bronchoalveolar lavage cells in murine pulmonary fibrosis after intraperitoneal administration of bleomycin. Respirology 1999;4(4):359–63. [CrossRef] [Pubmed]   Back to citation no. 1  

2.

Higashi Y, Nakamura S, Tsuji Y, et al. Daptomycin-induced eosinophilic pneumonia and a review of the published literatuire. Intern Med 2018;57(2):253–8. [CrossRef] [Pubmed]   Back to citation no. 1  

3.

Kalogeropoulos AS, Tsiodras S, Loverdos D, Fanourgiakis P, Skoutelis A. Eosinophilic pneumonia associated with daptomycin: A case report and a review of the literature. J Med Case Rep 2011;5:13. [CrossRef] [Pubmed]   Back to citation no. 1  

4.

Sano S, Yamagami K, Yoshioka K. Chronic eosinophilic pneumonia: A case report and review of the literature. Cases J 2009;2:7735. [Pubmed]   Back to citation no. 1  

5.

Mehrian P, Doroudinia A, Rashti A, Aloosh O, Dorudinia A. High-resolution computed tomography findings in chronic eosinophilic vs. cryptogenic organising pneumonia. Int J Tuberc Lung Dis 2017;21(11):1181–6. [CrossRef] [Pubmed]   Back to citation no. 1  

6.

Godoy MC, Viswanathan C, Marchiori E, et al. The reversed halo sigh: Update and differential diagnosis. Br J Radiol 2012;85(1017):1226–35. [CrossRef] [Pubmed]   Back to citation no. 1  

SUPPORTING INFORMATION


Author Contributions

Yasuyuki Taooka - Conception of the work, Design of the work, Acquisition of data, Drafting the work, Revising the work critically for important intellectual content, Final approval of the version to be published, Agree to be accountable for all aspects of the work in ensuring that questions related to the accuracy or integrity of any part of the work are appropriately investigated and resolved.

Junya Inata - Analysis of data, Revising the work critically for important intellectual content, Final approval of the version to be published, Agree to be accountable for all aspects of the work in ensuring that questions related to the accuracy or integrity of any part of the work are appropriately investigated and resolved.

Hiroki Yoke - Analysis of data, Revising the work critically for important intellectual content, Final approval of the version to be published, Agree to be accountable for all aspects of the work in ensuring that questions related to the accuracy or integrity of any part of the work are appropriately investigated and resolved.

Yutaro Takata - Revising the work critically for important intellectual content, Final approval of the version to be published, Agree to be accountable for all aspects of the work in ensuring that questions related to the accuracy or integrity of any part of the work are appropriately investigated and resolved.

Mano Mino - Revising the work critically for important intellectual content, Final approval of the version to be published, Agree to be accountable for all aspects of the work in ensuring that questions related to the accuracy or integrity of any part of the work are appropriately investigated and resolved.

Guarantor of Submission

The corresponding author is the guarantor of submission.

Source of Support

None

Consent Statement

Written informed consent was obtained from the patient for publication of this article.

Data Availability

All relevant data are within the paper and its Supporting Information files.

Conflict of Interest

Authors declare no conflict of interest.

Copyright

© 2019 Yasuyuki Taooka et al. This article is distributed under the terms of Creative Commons Attribution License which permits unrestricted use, distribution and reproduction in any medium provided the original author(s) and original publisher are properly credited. Please see the copyright policy on the journal website for more information.