Case Report


Actinomycosis or malignancy: A diagnostic dilemma

,  ,  

1 MBBS, Mackay Base Hospital, Mackay, Queensland, Australia

2 FRACP, Mackay Base Hospital, Mackay, Queensland, Australia

Address correspondence to:

Pranav Kumar

Mackay Base Hospital, 475 Bridge Road, Mackay, Queensland 4740,

Australia

Message to Corresponding Author


Article ID: 101055Z01SL2019

doi:10.5348/101055Z01SL2019CR

Access full text article on other devices

Access PDF of article on other devices

How to cite this article

Lee SZ, Syed MT, Kumar P. Actinomycosis or malignancy: A diagnostic dilemma. Int J Case Rep Images 2019;10:101055Z01SL2019.

ABSTRACT


Introduction: Pulmonary actinomycosis is caused by a chronic inflammatory reaction to an infection by the Actinomyces species and presents as a pulmonary infiltrate or a mass. Thoracic actinomycosis can resemble bronchogenic carcinoma in its clinical presentation and radiographic appearance.

Case Report: In this article, we report a 71-year-old man with pulmonary actinomycosis who presented with an incidental presentation of lung mass on imaging studies, following a respiratory outpatient clinic review of hemoptysis of more than six months. Nonspecific clinical and radiologic presentations make pulmonary actinomycosis difficult to be diagnose and often lead to misinterpretation as malignancy rather than an infective process.

Conclusion: This case was successfully managed with a diagnostic and curative wedge resection of his right upper and middle lung lobes and antibiotics. Penicillin remains the traditional treatment of choice.

Keywords: Lung cancer mimic, Lung nodule, Pulmonary actinomycosis, Recurrent hemoptysis

Introduction


Actinomycosis is a chronic infection caused by grampositive anaerobic bacteria which is found worldwide [1]. Common features of actinomycosis infections include abscess, granulation, fibrous tissue, and the classical cutaneous sinuses with yellow/sulfur granular discharge [2].

Pulmonary actinomycosis is a rare but an important and challenging diagnosis to make and it is difficult to diagnose because of its appearance varies from similarities with bronchogenic carcinoma to pneumonitis like presentation resembling tuberculosis [3]. Pulmonary actinomycosis occasionally presents with massive or recurrent hemoptysis [3], [4]. These nonspecific clinical and radiologic findings make pulmonary actinomycosis difficult to diagnose and often lead to misinterpretation as malignancy, rather than an infective process [2].

The appearance of an actinomycotic lesion on chest radiograph and computed tomography (CT) scan resembled a tumor. The etiology of benign pulmonary opacity includes pneumonia, foreign body, tuberculosis, fungal infection, and autoimmune causes [1]. Here, we report a case of recurrent hemoptysis caused by pulmonary actinomycosis, which could be diagnosed using CT guided lung biopsy. However, with the absence of malignant cells and the features of actinomycoses on culture, the diagnosis of pulmonary actinomycosis was made.

Case Report


A 71-year-old gentleman, who is a nonsmoker, presented to the respiratory outpatient department in our hospital with recurrent hemoptysis and constitutional symptoms. This is on a background of multiple basal cell carcinoma treated with topical agents and a positive family history of esophageal and gastric carcinoma. On examination, our patient was hemodynamically stable, afebrile, and examined well with good bilateral air entry, with no wheeze or crepitations.

Due to concerns for malignancy, imaging investigations were performed. The chest X-ray (CXR) revealed a patchy pulmonary consolidation in the basal aspect of the right upper lobe with pleural thickening at the right lung base (Figure 1). The chest CT scan showed a 45 × 25 mm spiculated lesion in the posterior segment of the right upper lobe and no associated lymphadenopathy (Figure 2). He then underwent two CT-guided core biopsy in his right upper lobe, which yielded negative for malignant cells on cytology but revealed chronic organizing inflammation with stromal fibrosis and granulation tissue suggesting an infective or inflammatory process. The histological analysis was negative for acid-fast bacilli or fungal elements.

The suspicious lung nodule was further worked up with a bronchoscopy with biopsy. There was notable distortion in the right middle lobe, however, the transbronchial brushings and right middle lobe lavage did not reveal any malignant cells or infection (Figure 3). To exclude pulmonary malignancy, a positron emission tomography (PET) scan was conducted (Figure 4). The spiculated lesion was detected in the posterior segment of the right upper lobe with an increased tracer uptake with a maximum standardized uptake value (SUVmax) of 11.71, which was highly suspicious for malignancy. A repeat CT-guided biopsy was performed in the right upper lobe and the histopathological assessment identified mixed chronic active inflammation with an aggregate of filamentous microorganisms with sulfur granules of Actinomyces and no malignant cells (Figure 5) and (Figure 6).

Our patient was then referred to a cardiothoracic clinic for further assessment. As pulmonary malignancy could not be excluded definitively, the decision for a right upper and middle lobe wedge resection was made. Once again, the histopathological assessment of the lung tissue showed bronchiectasis with multinucleate giant cells and abscess formation, with no evidence of malignancy. The operation was uneventful and he was discharged after a few days of hospital stay with no further oral antibiotics required in view of complete resection.

Figure 1: CXR. (A) Posteroanterior (PA) view and (B) lateral view of CXR showing patchy consolidation in the basal aspect of the right upper lobe with some minor pleural thickening posterolaterally.

Share Image:

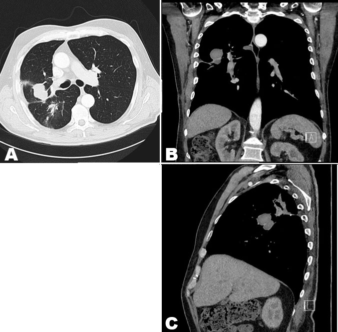
Figure 2: CT. (A) Transverse, (B) Coronal, and (C) Sagittal view of CT scan revealing a 45 × 25 mm spiculated lesion in posterior segment of the right upper lobe with no associated axillary or mediastinal lymphadenopathy. There is no consolidation or air bronchograms.

Share Image:

Figure 3: Bronchoscopy revealed some distortion in the right middle lobe.

Share Image:

Figure 4: PET scan. (A) Sagittal, (B) Coronal and transverse view of PET scan showed spiculated lesion in the posterior segment of the right upper lobe is identified. This has moderately increased tracer uptake with an SUVmax of 11.71. There is associated ground glass opacity extending to the adjacent pleura.

Share Image:

Figure 5: CT-guided biopsy 18-gauge core axial needles were inserted into the mass in the right upper lobe of lung to obtain three cores. Postprocedure biopsy site was sealed with gel foam.

Share Image:

Figure 6: Histopathology of actinomycosis: (A) Gram stain with 20× magnification: Weakly gram-positive with irregular appearance, (B) Periodic acid–Schiff (PAS) stain with 20× magnification: Positive PAS suggestive of high proportion of carbohydrate macromolecules, (C) Hematoxylin and Eosin (H&E) stain with 20× magnification of fragment 1: An aggregate of filamentous microorganisms confirming diagnosis of Actinomyces, (D) H&E stain with 20× magnification of fragment 2: Marked fibrosis with small amount of residual alveolar epithelium in the edges, (E) H&E stain with 20× magnification of fragment 3: Granulation tissue fragments suggestive of mixed chronic active inflammation with multinucleate giant cells. No granulomas or neoplastic lesion was identified.

Share Image:

Discussion


Actinomycosis is a rare, insidious, and persistent granulomatous, gram-positive microaerophilic anaerobic bacterial infection caused by Actinomyces species, which can be found as a commensal bacteria in our gastrointestinal and urogenital polymicrobial flora [3],[4]. Its virulence factor lies in its ability to produce biofilm hindering the efficacy of antibiotic therapy and further perpetuating its invasion process [5]. It commonly affects young- to middle-aged population with a male predisposition [6], [7]. It is more common in developing countries and has been associated with poor dental hygiene, alcoholism, and diabetes [8].

Thoracic actinomycosis accounts for 10–15% of actinomycosis cases and is the third most prevalent location after cervicofacial (60%) and abdominopelvic (20%) regions [5]. It can be subclassified further into pulmonary parenchymal, bronchial, and laryngeal actinomycosis [9]. Of these, pulmonary actinomycosis is the most common [10]. Bronchial actinomycosis is rare and may occur as a complication to endobronchial valve placement or foreign body aspiration [5], [11]. Laryngeal actinomycosis is also rare and is associated with a past history of laryngeal cancer and may present similarly to laryngeal cancer recurrence [12].

The clinical presentation of pulmonary actinomycosis includes: chest pain, productive cough, shortness of breath, and hemoptysis [13], [14]. Examination findings are usually nonspecific [15]. The imaging modality of choice is usually a CT scan of the chest which typically reveals a mass or peripheral consolidation and associated adjacent pleural thickening at an early stage, and may further demonstrate a transfissural extension or abscess formation at a later stage [16]. Chest roentgenology usually reveals the similar findings of a pulmonary mass [17]. Positron emission tomography scans are sometimes performed with the intention of differentiating malignant lesions from benign lesions including pulmonary actinomycosis [18].

 

Radiological features of thoracic actinomycosis

  1. Infiltrative changes suggestive of aspiration pneumonitis or consolidation.
  2. Fibronodular or cavitary parenchymal disease.
  3. An intraparenchymal mass.
  4. Pleural effusion or empyema (rare).
  5. Involvement of chest wall soft tissue and destruction of adjacent bone with formation of sinus tracts to the skin.
  6. Involvement of the mediastinum, pericardium, and myocardium.
  7. Thoracic vertebral destruction.
  8. Hypertrophic osteoarthropathy.

However, current studies reveal the standardized uptake value (SUVmax) of fluorodeoxyglucose that is arbitrarily pegged to a numerical value of 2.5 does little to distinguish malignant from benign lesions [19]. In our patient, the SUVmax was 11.71. In a case series, 10 of 11 patients were found to have a SUVmax value of more than 2.5 which further substantiates the point that clinicians should be aware that actinomycosis and other infections may present quite similarly with an increased fluorodeoxyglucose uptake like lung cancer, as this would affect our patients’ management [20].

The usefulness of bronchoscopy is usually limited to endobronchial actinomycosis, where a biopsy can provide a histopathological diagnosis [15]. A bronchoalveolar lavage can be performed and may show non-acid-fast, gram-positive, filamentous bacteria in the culture which points to actinomycosis [21].

Ultimately, the gold standard for diagnosis of pulmonary actinomyosis is histopathological assessment [4]. This can be obtained via CT-guided percutaneous biopsy or via open surgical resection [22]. The aim of both biopsy and surgical resection is to ascertain the diagnosis while preserving the remaining lung tissue [22]. On histology, the specimen should reveal inflammatory cellular infiltrates and colonies of filamentous microorganisms with sulfur granules, surrounded by necrotic tissue and inflammatory cells [15].

The management of pulmonary actinomycosis is complex and includes both medical and surgical interventions. The medication management involves the use of long-term beta-lactam antibiotics use over 3–12 months with follow-up appointments at the respiratory outpatient clinic [14], [23]. The termination of antibiotic use is patient-dependent and should only be ceased 1–2 months following both symptomatic and radiological resolution of actinomycosis [24]. The maintenance of good oral hygiene and alcohol reduction may further serve as a primary and secondary prevention of actinomycosis [7], [25]. While medical management is mostly successful, there have been previous instances when antibiotics have not been effective in the management of patients and surgical intervention is required [25]. The main indications for surgery include: failure of antibiotics therapy, management of hemoptysis, and ruling out lung malignancy [26], [27]. The patients who underwent surgical management had better clinical outcomes as opposed to patients on antibiotics regimen only [26]. The authors are agreement that in the setting of complex actinomycosis, surgical intervention should be considered at an earlier stage to mitigate the symptomatic duration, locate and manage the source of hemoptysis, as well as ensure that lung malignancy is not the cause of the presentation.

Conclusion


In conclusion, pulmonary actinomycosis is a rare with a nonspecific clinical presentation similar to lung cancer. The diagnosis of pulmonary actinomycosis requires a combination of clinical and radiologic features with microbiologic culture of specimens with identification of Actinomyces species with sulfur granules. Even with the diagnosis of actinomycosis, it is important to exclude potential coexisting lung malignancy. This can only be confirmed following symptomatic and radiological resolution with antibiotics regimen, or with clinical improvement on postoperative follow-up after surgical resection of the lung with histopathological substantiation.

REFERENCES


1.

Homrich GK, Andrade CF, Marchiori RC, Lidtke Gdos S, Martins FP, Santos JW. Prevalence of benign diseases mimicking lung cancer: Experience from a university hospital of southern Brazil. Tuberc Respir Dis (Seoul) 2015;78(2):72–7. [CrossRef] [Pubmed]   Back to citation no. 1  

2.

Wong VK, Turmezei TD, Weston VC. Actinomycosis. BMJ 2011;343:d6099. [CrossRef] [Pubmed]   Back to citation no. 1  

3.

Boo YL, How KN, Pereira DS, Chin PW, Foong KK, Lim SY. Pulmonary actinomycosis masquerading as lung cancer: A case report. Med J Malaysia 2017;72(4):246–7. [Pubmed]   Back to citation no. 1  

4.

Valour F, Sénéchal A, Dupieux C, et al. Actinomycosis: Etiology, clinical features, diagnosis, treatment, and management. Infect Drug Resist 2014;7:183–97. [CrossRef] [Pubmed]   Back to citation no. 1  

5.

Boyanova L, Kolarov R, Mateva L, Markovska R, Mitov I. Actinomycosis: A frequently forgotten disease. Future Microbiol 2015;10(4):613–28. [CrossRef] [Pubmed]   Back to citation no. 1  

6.

Chawla RK, Madan A, Chawla A, Chawla K. Hemoptysis secondary to actinomycosis: A rare presentation. Lung India 2014;31(2):168–71. [CrossRef] [Pubmed]   Back to citation no. 1  

7.

Zhang M, Zhang XY, Chen YB. Primary pulmonary actinomycosis: A retrospective analysis of 145 cases in mainland China. Int J Tuberc Lung Dis 2017;21(7):825–31. [CrossRef] [Pubmed]   Back to citation no. 1  

8.

Nakamura S, Kusunose M, Satou A, Senda K, Hasegawa Y, Nishimura K. A case of pulmonary actinomycosis diagnosed by transbronchial lung biopsy. Respir Med Case Rep 2017;21:118–20. [CrossRef] [Pubmed]   Back to citation no. 1  

9.

Han JY, Lee KN, Lee JK, et al. An overview of thoracic actinomycosis: CT features. Insights Imaging 2013;4(2):245–52. [CrossRef] [Pubmed]   Back to citation no. 1  

10.

Heo SH, Shin SS, Kim JW, et al. Imaging of actinomycosis in various organs: A comprehensive review. Radiographics 2014;34(1):19–33. [CrossRef] [Pubmed]   Back to citation no. 1  

11.

Maki K, Shinagawa N, Nasuhara Y, et al. Endobronchial actinomycosis associated with a foreign body – successful short-term treatment with antibiotics. Intern Med 2010;49(13):1293–6. [CrossRef] [Pubmed]   Back to citation no. 1  

12.

Ferry T, Buiret G, Pignat JC, Chidiac C. Laryngeal actinomycosis mimicking relapse of laryngeal carcinoma in a 67-year-old man. BMJ Case Rep 2012;2012. pii: bcr2012007084. [CrossRef] [Pubmed]   Back to citation no. 1  

13.

Kim TS, Han J, Koh WJ, et al. Thoracic actinomycosis: CT features with histopathologic correlation. AJR Am J Roentgenol 2006;186(1):225–31. [CrossRef] [Pubmed]   Back to citation no. 1  

14.

Gupta P, Dogra V, Goel N, Chowdhary A, Prasad R, Gaur SN. An unusual cause of a pulmonary mass: Actinomycosis. Indian J Chest Dis Allied Sci 2015;57(3):177–9. [Pubmed]   Back to citation no. 1  

15.

Farrokh D, Rezaitalab F, Bakhshoudeh B. Pulmonary actinomycosis with endobronchial involvement: A case report and literature review. Tanaffos 2014;13(1):52–6. [Pubmed]   Back to citation no. 1  

16.

Heo SH, Shin SS, Kim JW, et al. Imaging of actinomycosis in various organs: A comprehensive review. Radiographics 2014;34(1):19–33. [CrossRef] [Pubmed]   Back to citation no. 1  

17.

Capps J. Nwosu N, Baksi S, Khalid S. A patient with persistent consolidation and a pulmonary mass. J R Coll Physicians Edinb 2018;48(2):124–6. [CrossRef] [Pubmed]   Back to citation no. 1  

18.

Qiu L, Lan L, Feng Y, Huang Z, Chen Y. Pulmonary actinomycosis imitating lung cancer on (18)F-FDG PET/CT: A case report and literature review. Korean J Radiol 2015;16(6):1262–5. [CrossRef] [Pubmed]   Back to citation no. 1  

19.

Farid K, Poullias X, Alifano M, et al. Respiratory-gated imaging in metabolic evaluation of small solitary pulmonary nodules: 18F-FDG PET/CT and correlation with histology. Nucl Med Commun 2015;36(7):722–7. [CrossRef] [Pubmed]   Back to citation no. 1  

20.

Choi H, Lee H, Jeong SH, Um SW, Kown OJ, Kim H. Pulmonary actinomycosis mimicking lung cancer on positron emission tomography. Ann Thorac Med 2017;12(2):121–4. [CrossRef] [Pubmed]   Back to citation no. 1  

21.

Mani RK, Mishra V, Singh PK, Pradhan D. Pulmonary actinomycosis: A clinical surprise! BMJ Case Rep 2017;2017. pii: bcr2016218959. [CrossRef] [Pubmed]   Back to citation no. 1  

22.

Mabeza GF, Macfarlane J. Pulmonary actinomycosis. Eur Respir J 2003;21(3):545–51. [CrossRef] [Pubmed]   Back to citation no. 1  

23.

Grzywa-Celińska A, Emeryk-Maksymiuk J, Szmygin-Milanowska K, Czekajska-Chehab E, Milanowski J. Pulmonary actinomycosis – the great imitator. Ann Agric Environ Med 2017;25(2):211–12. [CrossRef] [Pubmed]   Back to citation no. 1  

24.

Kolditz M, Bickhardt J, Matthiessen W, Holotiuk O, Höffken G, Koschel D. Medical management of pulmonary actinomycosis: Data from 49 consecutive cases. J Antimicrob Chemother 2009;63(4):839–41. [CrossRef] [Pubmed]   Back to citation no. 1  

25.

Shreenivasa A, Vishak KA, Sindhu K, Sahu K, Chaithra GV. Massive haemoptysis due to obscure aetiology: Perils and management dilemmas. Case Rep Infect Dis 2018;2018:8159896. [CrossRef] [Pubmed]   Back to citation no. 1  

26.

Kim SR, Jung LY, Oh IJ, et al. Pulmonary actinomycosis during the first decade of 21st century: Cases of 94 patients. BMC Infect Dis 2013;13:216. [CrossRef] [Pubmed]   Back to citation no. 1  

27.

Song JU, Park HY, Jeon K, Um SW, Kwon OJ, Koh WJ. Treatment of thoracic actinomycosis: A retrospective analysis of 40 patients. Ann Thorac Med 2010;5(2):80–5. [CrossRef] [Pubmed]   Back to citation no. 1  

SUPPORTING INFORMATION


Author Contributions

Shawn Zhenhui Lee - Conception of the work, Design of the work, Drafting the work, Revising the work critically for important intellectual content, Final approval of the version to be published, Agree to be accountable for all aspects of the work in ensuring that questions related to the accuracy or integrity of any part of the work are appropriately investigated and resolved.

Mohammed Tousif Syed - Acquisition of data, Analysis of data, Drafting the work, Final approval of the version to be published, Agree to be accountable for all aspects of the work in ensuring that questions related to the accuracy or integrity of any part of the work are appropriately investigated and resolved.

Pranav Kumar - Acquisition of data, Analysis of data, Drafting the work, Final approval of the version to be published, Agree to be accountable for all aspects of the work in ensuring that questions related to the accuracy or integrity of any part of the work are appropriately investigated and resolved.

Guarantor of Submission

The corresponding author is the guarantor of submission.

Source of Support

None

Consent Statement

Written informed consent was obtained from the patient for publication of this article.

Data Availability

All relevant data are within the paper and its Supporting Information files.

Conflict of Interest

Authors declare no conflict of interest.

Copyright

© 2019 Shawn Zhenhui Lee et al. This article is distributed under the terms of Creative Commons Attribution License which permits unrestricted use, distribution and reproduction in any medium provided the original author(s) and original publisher are properly credited. Please see the copyright policy on the journal website for more information.