Case Report
 
Inflammatory paradental cyst on the distobuccal aspect of an impacted mandibular third molar: A case report
Amitha Mohan1, T. T. Sivakumar2, Anna P. Joseph3, Varun B. R4, Vinod Mony4, Surej Kumar L. K.5
1Postgraduate student, Department of Oral and Maxillofacial Pathology, PMS College of Dental Science and Research, Trivandrum, Kerala, India
2Master of Dental Surgery, Professor and Head, Department of Oral and Maxillofacial Pathology, PMS College of Dental Science and Research, Trivandrum, Kerala, India
3Master of Dental Surgery Professor, Department of Oral and Maxillofacial Pathology, PMS College of Dental Science and Research, Trivandrum, Kerala, India
4Master of Dental Surgery Reader, Department of Oral and Maxillofacial Pathology, PMS College of Dental Science and Research, Trivandrum, Kerala, India
5Professor and HOD, Department of Oral and Maxillofacial Surgery, PMS College of Dental Science and Research, Trivandrum, Kerala, India

Article ID: Z01201709CR10828AM
doi:10.5348/ijcri-201789-CR-10828

Address correspondence to:
Amitha Mohan
Revathy, EVRA- 358, Eswarivilasom Road
Jagathy, Trivandrum, Kerala-695014
Trivandrum, Kerala
India, 695014

Access full text article on other devices

  Access PDF of article on other devices

[HTML Abstract]   [PDF Full Text] [Print This Article]
[Similar article in Pumed] [Similar article in Google Scholar]


How to cite this article
Mohan A, Sivakumar TT, Joseph AP, BR Varun, Mony V, LK Kumar S. Inflammatory paradental cyst on the distobuccal aspect of an impacted mandibular third molar: A case report. Int J Case Rep Images 2017;8(9):592–596.


ABSTRACT

Introduction: The paradental cyst is an inflammatory odontogenic cyst usually associated with distal and buccal aspect of partially impacted mandibular third molars. An associated history of pericoronitis, as a consequence of an inflammatory process in the periodontal pocket has been suggested as the route of inflammation. The pathogenesis of these cysts is most likely to be originated from the inflammatory proliferation of epithelial rests of Malassez. This cyst has been under reported due to the lack of sufficient clinical information to establish the diagnosis and many may have been misdiagnosed as dentigerous cysts, pericoronitis, lateral radicular cysts or inflamed dental follicles.
Case Report: We present a case of a 36-year-old male presented to the department of oral and maxillofacial surgery with a complaint of discomfort seen in relation to distal aspect of mandibular third molar for the last six months. The presence of swelling in the buccal and distal aspect, radiolucency seen distally of mandibular third molar with intact lamina dura and unwidened periodontal ligament space, positive response to vitality tests and classic histopathologic findings confirmed the diagnosis of paradental cyst.
Conclusion: A proper insight or knowledge into the clinicoradiographical presentation and histological findings would help us to differentiate the inflammatory paradental cyst from other odontogenic cysts.

Keywords: Epithelial rests, Odontogenic, Paradental cyst, Pericoronitis


INTRODUCTION

Hofrath, in 1930, was the first author to report on several cases of jaw cysts located distally to third mandibular molar with pericoronitis [1]. Main, in 1970, understanding the inflammatory nature of these lesions, put forward the term ‘inflammatory collateral cyst’ [1]. Based on Hofrath’s description of the clinical, radiological and histological features of these cysts, the lesions were later termed paradental cysts by Craig in 1976 [2]. He described it as a cyst of inflammatory origin, occurring on the lateral aspect of the roots of partially erupted mandibular third molars, where there was an associated history of pericoronitis, as a consequence of an inflammatory process in the periodontal pocket [3]. The term ‘inflammatory paradental cyst’ was suggested by Vedtofte and Praetorius, because of its inflammatory origin and also due to its location at the side of the tooth [4]. Stoneman and Worth, in 1983 described a lesion that was similar to paradental cyst but occurred primarily in relation to mandibular first and second molar. This entity was called mandibular infected buccal cyst to emphasis its origin in inflamed periodontal tissues of partially or fully erupted molars [5].

According to Craig, paradental cysts constituted 4.7% of 1051 odontogenic cysts [3]. Philipsen et al. reported frequencies ranging between 0.9 and 4.7% of odontogenic cysts [5]. The clinical manifestation of the paradental cyst usually presents with a history of recurrent inflammatory periodontal process or pericoronitis. Presentation of few signs and mild symptoms like discomfort, tenderness, moderate pain and in some cases, suppuration through the periodontal sulcus is seen. Paradental cysts are present commonly on buccal or distal aspects and rarely on mesial aspect of partially or fully erupted vital teeth [2][6]. These are commonly involved with mandibular third molars. According to their review of literature, Philipsen et al. reported that the mean age of occurrence for inflammatory paradental cysts, was in the third decade [5]. Craig and Philipsen recorded most lesions in males; with a male to female ratio as 1:0.4. Radiographically, the lesions are usually superimposed on buccal root surface as well demarcated radiolucencies. Corticated margin with intact lamina dura is seen around the roots along with absence of widening of periodontal ligament space [3][5].

Keeping in mind the various clinical variations, the present article aims to discuss the differential diagnosis and its various aspects by presenting a case report to illustrate the findings.


CASE REPORT

A 36-year-old male patient reported to the department of oral and maxillofacial surgery with a discomfort seen in relation to the distal aspect of impacted left mandibular third molar for the last six months. Clinically, the patient was asymptomatic, reported no paresthesia and showed no suppuration in the affected site. On extraoral examination, a hardened increase in volume could be observed in the mandibular body and ramus area by palpation. Intraoral examination revealed a partially impacted left mandibular third molar with pericoronitis distal to it. Panoramic radiographic examination revealed a radiolucent lesion on the distal aspect of impacted mandibular third molar of size approximately 2 cm in diameter (Figure 1). The periodontal ligament space and the lamina dura were intact and continuous around the root.

Based on the clinical and radiographic findings, a differential diagnosis of developmental odontogenic cyst, odontogenic keratocyst and periapical cyst were suspected. Due to the presence of radiolucency on the distal aspect of tooth 38, which appeared in the panoramic radiograph, a dentigerous cyst was suspected. Fine needle aspiration revealed blood tinged fluid. Tooth extraction along with the enucleation of the cystic lesion was performed under local anesthesia. The cystic lesion was excisioned. On grossing and macroscopic examination, tooth specimen with associated soft lesional tissue as well as the excised lesional tissue measuring 2.2x1.7x1 cm and 1.5x0.9x0.6 cm respectively was observed (Figure 2).

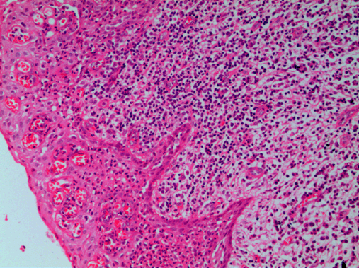
Microscopic examination revealed a hyperplastic non-keratinized stratified squamous epithelium of varying thickness (Figure 3). Epithelium exhibited proliferation in an arcading pattern. An intense inflammatory cell infiltrate was observed in the adjacent fibrovascular connective tissue capsule (Figure 4). The connective tissue was moderately collagenous with diffuse dense chronic inflammatory cells, predominantly lymphocytes and plasma cells. Numerous endothelium lined blood vessels, extravasated RBCs, calcifications and trabeculae of bone were also seen in the connective tissue. The findings were compatible with the diagnosis of inflammatory paradental cyst.



Cursor on image to zoom/Click text to open image
Figure 1: Presence of radiolucency distal to 38 with intact lamina dura and unwidened periodontal ligament space.


Cursor on image to zoom/Click text to open image
Figure 2: Gross specimen image showing mandibular third molar tooth with associated lesional tissue.


Cursor on image to zoom/Click text to open image
Figure 3: Epithelium showing hyperplastic non-keratinizing stratified squamous epithelium in association with underlying fibrovascular connective tissue containing inflammatory cells, blood vessels and extravasated RBC (H&E stain, x100).


Cursor on image to zoom/Click text to open image
Figure 4: Epithelium exhibiting proliferation with dense inflammatory infiltrate in the adjacent connective tissue (H&E stain, x400).


DISCUSSION

In 1992, the World Health Organization (WHO) included the paradental cyst for the first time in the histologic typing of odontogenic tumors [5][6]. Since the prevalence of paradental cyst varies between 1–5% in all odontogenic cysts, the paradental cyst has been included in the group of rare lesions [7]. It is believed that paradental cysts are under reported and due to the lack of sufficient clinical information to establish the diagnosis, many may have been misdiagnosed as dentigerous cysts, pericoronitis, lateral radicular cysts or inflamed dental follicles [2].

Most often lesions are located in a buccal or distobuccal location and cover the root surface, frequently involving the bifurcation. According to Colgan et al., the actual site of the lesion may depend on angle of impaction of the associated tooth [5]. Cysts were located on the mesial aspect of mesioangular impacted tooth, buccal to vertical impactions, distal or distobuccal to distoangularly impacted teeth. In Craig’s series of 49 cases, 26 cysts were located on buccal aspect of roots, 19 were distal and four were mesial [3]. In this case, the cyst was also located on the distobuccal aspect of impacted mandibular third molar.

Regarding the pathogenesis, Craig (1976) believed that either the reduced enamel epithelium or the cell rests of Malassez could be the key to the formation of paradental cysts. Craig preferred reduced enamel epithelium as the cells of origin because, in his study, the rests of Malassez always seemed inactive and the cyst should be uniformly distributed around the root surface if the development of the cyst were to be from the rests of Malassez [3].

Craig also came up with an interesting finding, in 20 of 28 cases, where the associated tooth was available for study, that the removal of cyst from the buccal root surface unveiled a developmental enamel projection extending from the amelocemental junction towards the root bifurcation. Many authors have suggested the presence of this small enamel projection, within the bifurcation area of the roots on the buccal aspect of teeth, as part of the etiology of paradental cysts [2][3]. Craig attributed the presence of an extension of reduced enamel epithelium over these enamel projections, to be the cause for the frequent buccal location of the cyst [3].

Many cystic lesions were included under the differential diagnosis. The possibility of a lateral radicular cyst was not considered as the tooth appeared vital [5]. Lack of superimposition of the lesion on the roots and an intact periodontal ligament space ruled out the possibility of a periapical pathology [8]. Lateral periodontal cysts are present in a much older age group and is usually located in the mandibular canine-premolar region [9].

The histological features exhibited by odontogenic keratocysts and unicystic ameloblastoma are usually different from paradental cysts. In this case, lack of appearance of mucoid changes in the connective tissue or remnants of odontogenic epithelium in the walls of the cyst ruled out the possibility of dentigerous cyst or dental follicular cyst [9]. Colgan’s sign (preservation of a distal follicular space which indicates that most of the follicle is not implicated in the cyst development process) helps to distinguish between dentigerous and paradental cysts radiographically [2][5].

In the current case, the association of the cyst with a mandibular molar, buccal and distal bony cavitation and positive response to vitality tests suggested a paradental cyst. This was also confirmed by the classic histopathological examination [2][7] [8][10]. Although these lesions present with the same etiology and histologic features as that of mandibular infected buccal cyst (first and second molar) and juvenile paradental cyst (involving first and second molars of younger age group), differences in the teeth involved and the differences in the ages of the individuals may well dictate the necessary treatment [1][2][5]. The surgical removal of teeth and cyst is considered the treatment of choice when the involved tooth is a third molar [9]. When only first or second molars are involved; enucleation of the cyst without the removal of associated tooth is suggested [2].


CONCLUSION

The inflammatory paradental cyst is a relatively rare underdiagnosed lesion frequently associated with the distal and buccal aspects of mandibular molars. Since the histological features of paradental cysts mimics other inflammatory odontogenic cysts, correlations of the incorporated findings of surgical, radiographic and histologic findings are needed to obtain a definitive diagnosis of paradental cyst.


REFERENCES
  1. Borgonovo AE, Rigaldo F, Censi R, Conti G, Re D. Large buccal bifurcation cyst in a child: A case report and literature review. Eur J Paediatr Dent 2014 Jul;15(2 Suppl):237–40.   [Pubmed]    Back to citation no. 1
  2. Chrcanovic BR, Reis BM, Freire-Maia B. Paradental (mandibular inflammatory buccal) cyst. Head Neck Pathol 2011 Jun;5(2):159–64.   [CrossRef]   [Pubmed]    Back to citation no. 2
  3. Craig GT. The paradental cyst: A specific inflammatory odontogenic cyst. Br Dent J 1976 Jul 6;141(1):9–14.   [CrossRef]   [Pubmed]    Back to citation no. 3
  4. Rajendran R, Pillai H, Al Fouzan K, Sukumaran A. Paradental cyst (inflammatory collateral cyst): A true clinicopathologic entity. Oral Maxillofac Pathol J 2015;6(2):621–4.   [CrossRef]    Back to citation no. 4
  5. Philipsen HP, Reichart PA, Ogawa I, Suei Y, Takata T. The inflammatory paradental cyst: A critical review of 342 cases from a literature survey, including 17 new cases from the author's files. J Oral Pathol Med 2004 Mar;33(3):147–55.   [CrossRef]   [Pubmed]    Back to citation no. 5
  6. Borgonovo AE, Speroni S, Fabbri A, Grossi GB. Paradental cyst of the first molar: A report of two cases. J Indian Soc Pedod Prev Dent 2010 Apr–Jun;28(2):116–20.   [CrossRef]   [Pubmed]    Back to citation no. 6
  7. Morimoto Y, Tanaka T, Nishida I, et al. Inflammatory paradental cyst (IPC) in the mandibular premolar region in children. Oral Surg Oral Med Oral Pathol Oral Radiol Endod 2004 Feb;97(2):286–93.   [CrossRef]   [Pubmed]    Back to citation no. 7
  8. Mufeed A, Chatra L, Shenai P. Diagnostic features of the paradental cyst and report of a case. Dentomaxillofac Radiol 2009 Feb;38(2):125–6.   [CrossRef]   [Pubmed]    Back to citation no. 8
  9. Bsoul SA, Flint DJ, Terezhalmy GT, Moore WS. Paradental cyst (inflammatory collateral, mandibular infected buccal cyst). Quintessence Int 2002 Nov-Dec;33(10):782–3.   [Pubmed]    Back to citation no. 9
  10. Friedrich RE, Scheuer HA, Zustin J. Inflammatory paradental cyst of the first molar (buccal bifurcation cyst) in a 6-year-old boy: Case report with respect to immunohistochemical findings. In Vivo 2014 May–Jun;28(3):333–9.   [Pubmed]    Back to citation no. 10

[HTML Abstract]   [PDF Full Text]

Author Contributions
Amitha Mohan – Substantial contributions to conception and design, Acquisition of data, Analysis and interpretation of data, Drafting the article, Final approval of the version to be published
T. T. Sivakumar – Analysis and interpretation of data, Revising it critically for important intellectual content, Final approval of the version to be published
Anna P. Joseph – Analysis and interpretation of data, Revising it critically for important intellectual content, Final approval of the version to be published
Varun B. R. – Substantial contributions to conception and design, Revising it critically for important intellectual content, Final approval of the version to be published
Vinod Mony – Analysis and interpretation of data, Revising it critically for important intellectual content, Final approval of the version to be published
Surej Kumar L. K. – Acquisition of data, Revising it critically for important intellectual content, Final approval of the version to be published
Guarantor
The corresponding author is the guarantor of submission.
Source of support
None
Conflict of interest
Authors declare no conflict of interest.
Copyright
© 2017 Amitha Mohan et al. This article is distributed under the terms of Creative Commons Attribution License which permits unrestricted use, distribution and reproduction in any medium provided the original author(s) and original publisher are properly credited. Please see the copyright policy on the journal website for more information.