Case Report
 
Vancomycin-induced bullous dermatosis
Martin Minwoo Kim1, Katherine Baquerizo1, Pranay Srivastava1, Deepthi Lankalapalli1, Asmat Ullah1
1Nassau University Medical Center, 2201 Hempstead Turnpike, East Meadow, NY 11554 (516) 572-0123, Division of Internal Medicine.

Article ID: Z01201607CR10673MK
doi:10.5348/ijcri-201685-CR-10673

Address correspondence to:
Martin Minwoo Kim
Nassau University Medical Center
2201 Hempstead Turnpike
East Meadow
NY

Access full text article on other devices

  Access PDF of article on other devices

[HTML Abstract]   [PDF Full Text] [Print This Article]
[Similar article in Pumed] [Similar article in Google Scholar]


How to cite this article
Kim MM, Baquerizo K, Srivastava P, Lankalapalli D, Ullah A. Vancomycin-induced bullous dermatosis. Int J Case Rep Images 2016;7(7):476–480.


Abstract
Introduction: Linear IgA bullous dermatosis (LABD) is a rare mucocutaneous immune mediated blistering skin disease seen in various countries that have ranged from less than 0.5 to 2.3 cases per million individuals per year. The presentation can be similar to other bullous dermatoses, yet it has distinctive clinicopathologic and immunologic features that allow prompt recognition and treatment with complete resolution.
Case Report: A 54-year-old obese Caucasian male with past medical history of atrial fibrillation on warfarin, hypertension, gastroesophageal reflux disease, benign prostatic hyperplasia, and dyslipidemia presented to the emergency department complaining of a generalized blistering rash that initially surrounded the genitalia a week after being discharged from the hospital following a mechanical fall. All medications were reviewed and skin biopsy was taken. He developed the drug-induced variant of LABD to vancomycin with mucosal involvement and compare the resemblance to other autoimmune blistering diseases such as toxic epidermal necrolysis (TEN) and Stevens–Johnson syndrome. This case demonstrates complete resolution of the disease with prompt identification of the underlying disease process based on the clinical and immunohistochemistry findings.
Conclusion: Linear IgA bullous dermatosis can be difficult to diagnose as it presents similar to other bullous dermatoses. The problem of differential diagnosis coupled with clinicopathologic and immunologic features of LABD are emphasized to recognize this distinct disease.

Keywords: Bullous, Vancomycin, Dermatosis, Linear IgA, Nikolsky's sign


Introduction

Linear IgA bullous dermatosis (LABD) is a rare mucocutaneous immune mediated blistering skin disease that is characterized by subepidermal blistering and a homogenous linear deposition of IgA basement membrane antibodies along the cutaneous basement membrane [1]. The disease may occur spontaneously or arise from a drug-induced reaction, most commonly to vancomycin.

Reports of disease incidence from various countries have ranged from less than 0.5 to 2.3 cases per million individuals per year, with the first case of drug-induced LABD being described in 1981 [2] [3].

We present the case of a 54-year-old male who developed the drug-induced variant of LABD to Vancomycin with mucosal involvement and compare the resemblance to other autoimmune blistering diseases such as toxic epidermal necrolysis (TEN) and Stevens–Johnson syndrome. This case demonstrates complete resolution of the disease with prompt identification of the underlying disease process based on the clinical and immunohistochemistry findings.


Case Report

A 54-year-old obese Caucasian male with past medical history of atrial fibrillation on warfarin, hypertension, gastroesophageal reflux disease, benign prostatic hyperplasia, and dyslipidemia presented to the emergency department complaining of a generalized blistering rash that initially surrounded the genitalia a week after being discharged from the hospital following a mechanical fall. During the prior hospitalization, lower leg cellulitis and an infected stage 3 sacral decubitus ulcer were noted, and the patient was started on intravenous vancomycin twice daily as well as silvadene wound dressings. After stabilization, the patient was discharged after a 10-day hospitalization course with a prescription for a course of oral clindamycin.

On readmission to the emergency department seven days after discharge, the patient complained of a sudden cutaneous blistering rash that began 48 hours ago. The patient stated that he noticed blisters and erythema on his lower abdomen that spread to both palms seven his oral cavity. Lesions were both pruritic and painful. The patient denied any systemic symptoms and review of symptoms was non-contributory. The patient also denied any travel, insect bites, or changes in any skin care products, detergents, soaps, and shampoos.

Physical examination revealed general toxic appearance, dry mucous membranes with 1–2 cm erosions in the oral cavity as well as crusted lesions on his lips with bilateral conjunctival injections. Numerous symmetric clustered 5 mm to 2 cm clear, smooth vesicles and tense bullae were widespread over the trunk, perineum, upper and lower extremities, and genitalia with Nikolsky's sign. Annular macules, and papules with surrounding erythematous base with urticarial plaques and excoriation on the chest seen (Figure 1). Most of the bullae had a surrounding erythematous base, and on the trunk were associated with annular macules, and papules; the hands showed additionally widespread crusted erosions. The borders of the lesions were well demarcated. Some lesions had a targetoid appearance. Erythematous, clear, smooth vesicles and tense bullae were widespread over the genitalia region (Figure 2). Nails and hair were unremarkable. Vital signs were within normal range. Gram stain and culture of bullae fluid showed no growth. Complete blood count (CBC) and complete metabolic panel (CMP) were unremarkable, except for chronic anemia with hemoglobin of 6.7 g/dL (baseline 8.1–8.3 g/dL) in which he received blood transfusions, and is unrelated to the disease.

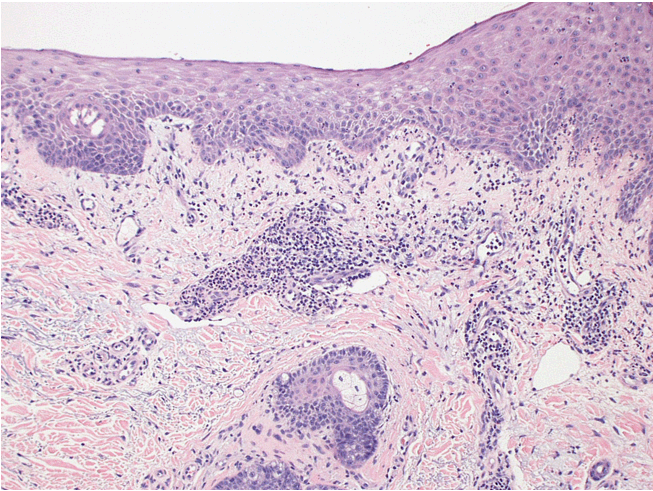
Two 6-mm punch biopsy were obtained from 2 separate lesions that demonstrated mixed superficial perivascular and interstitial dermatitis including many neutrophils. The dermoepidermal junction showed vacuolization of basal keratinocytes. Numerous clustered 5 mm to 2 cm clear smooth vesicles and tense bullae on the palmar surface with no nail involvement appreciated (Figure 3). The dermoepidermal junction of the lesion showed vacuolization of basal keratinocytes (Figure 4). Visualization under direct immunofluorescence (DIF) showed linear IgA deposit in the basement membrane zone (Figure 5).

The constellation of patient history, physical findings and histological features pointed towards a diagnosis of Vancomycin-induced Linear IgA Bullous Dermatosis from the IV vancomycin he received during his previous hospitalization. At 72 hours after the onset, the extent of the rash peaked covering approximately 50% of his body. The patient was in good general condition with frequent monitoring of his vital signs and metabolic panel. Four days after the onset of the rash no new lesions had developed and the lesions gradually resolved spontaneously after two weeks without scarring. The patient was instructed to avoid vancomycin in the future.


Cursor on image to zoom/Click text to open image
Figure 1: Annular macules, and papules with surrounding erythematous base urticarial plaques and excoriation on the chest.



Cursor on image to zoom/Click text to open image
Figure 2: Erythematous, clear, smooth vesicles and tense bullae were widespread over the genitalia region.



Cursor on image to zoom/Click text to open image
Figure 3: Numerous clustered 5 mm to 2 cm clear smooth vesicles and tense bullae on the palmar surface with no nail involvement



Cursor on image to zoom/Click text to open image
Figure 4: The dermo-epidermal junction of the lesion showing vacuolization of basal keratinocytes (H&E stain, x100).



Cursor on image to zoom/Click text to open image
Figure 5: Visualization under direct immunofluorescent microscopy (DIF) showed linear IgA deposit in the basement membrane zone.



Discussion

The interest of this case report is to highlight the similarities and differences of LABD to other autoimmune blistering diseases. Furthermore, the correct diagnosis is made using the clinical presentation as well as immune histological features.

Linear IgA Bullous Dermatosis (LABD) is a rare yet distinct mucocutaneous immune mediated blistering disease that is characterized by a homogenous linear deposition of IgA antibodies along the cutaneous basement membrane. It has a bimodal peak of onset, the first in early childhood and the second in older individuals [1]. In the past LABD was considered as a variant presentation of dermatitis herpetiformis, however it is now differentiated as a separate condition [4] [5]. Commonly the disease arises spontaneously, but a drug-induced variant, most classically from vancomycin is frequently implicated [6] [7]. Other drugs that may be linked to LABD that have been reported include a variety of antibiotics, non-steroidal anti-inflammatory agents (e.g., diclofenac, naproxen, piroxicam), lithium, captopril, amiodarone, phenytoin, cyclosporine, furosemide, interferon alpha, and somatostatin [8] [9][10][11][12]. As in our patient, vancomycin was the most likely culprit, though direct cause was not determined. Although multiple case reports have documented drug exposure as a precipitating factor, formal studies validating the existence of drug-induced LABD are lacking [13]. Vancomycin and phenytoin have both been reported to induce LABD with vancomycin being the pharmacologic agent most frequently reported as a potential inciting factor [13]. Vancomycin has also been reported to cause localized LABD confined to the palms at supratherapeutic levels [14].

In adults, LABD can present with a variety of skin manifestations ranging from vesicles resembling dermatitis herpetiformis (DH) to bullae mimicking bullous pemphigoid and rarely toxic epidermal necrolysis (TEN) [2]. In our case, the differential diagnosis for this patient was erythema multiforme, Stevens Johnson, due to the targetoid features and mucosal involvement. Other conditions considered were toxic epidermal necrolysis (TEN) syndrome, bullous impetigo, bullous pemphigoid, and pemphigus vulgaris. Clinical findings in LABD patients may be difficult to differentiate from those with vesiculobullous dermatitis. Onset of the primary lesions is frequently accompanied with pruritus or a burning sensation. Grouped vesicles, bulla and papules appear in combinations over the trunk, limbs and buttocks as in our patient. Some patients with LABD may have larger sized bulla and maybe mistaken for bullous pemphigoid [14]. A distinctive annular and "string of pearls" grouping of blisters are common. Drug induced LABD may have a findings similar to that of erythema multiforme and TEN [14]. Mucosal involvement is another manifestation seen in patients with LABD. A large majority, as many as 70% [6] have varying degrees of oropharyngeal ulcerations and erosions. Conjunctival involvement has also been noted [6]. Our patient showed genital and oral erosions which can be distinguished with DH. Furthermore, the majority of patients with LABD lacked the villous atrophy and the antibodies against tissue transglutaminase seen in DH [15] [16]. Oral lesions are seen in 10–30% of patients with bullous pemphigoid. Toxic epidermal necrolysis (TEN) involves detachment of >30% of the body surface area with mucous membranes are also involved in over 90% of cases. Stevens–Johnson syndrome characterized by skin detachment in <10% of the body surface. Mucous membranes are affected in over 90% of patients [8]. Also, drug-induced LABD had a more severe presentation than the spontaneous form with Nikolsky sign and large erosions mimicking toxic epidermal necrolysis and other bullous diseases making Nikolsky sign insignificant. DIF assay was recommended for all patients with Nikolsky sign and large erosions [13].

The defining feature of LAD is the presence of homogenous linear band of IgA at the dermal-epidermal junction, however there may also be deposits IgG, IgM, and the third constituent of complement (C3) [6]. Histopathology shows subepidermal bulla containing neutrophils along the basement membrane and near the tips of the papilla where they sometimes form micro-abscesses [7] . Lymphocytes and eosinophils may also be present, however the major component is the neutrophils [13]. Blister formation is usually seen in the lamina lucida or the sublamina densa locations [14] [15].

The majority of patients with classic linear IgA disease respond to oral dapsone or sulfapyridine. Oral prednisone may also be used in order to decrease formation of blisters [6]. Other medications that have been reported successful are: trimethoprim/sulfamethoxazole, mycophenolate mofetil, dicloxacillin and erythromycin [17] [18] [19]. When dapsone is unsuccessful or steroid sparing agents are needed mycophenolate mofetil, IVIG, and azathioprine can be used. Unlike classic LAD, which is chronic and recurring, the drug-induced variant is self-limited and typically resolves after discontinuation of the offending agent, most of the time without adjuvant treatment as was seen in our case.


Conclusion

Epidemiologically, reports of disease incidence from various countries have ranged from less than 0.5 to 2.3 cases per million individuals per year. Despite the broad use of vancomycin in the hospital setting, clinicians are mostly unaware of potential severe skin reactions, such is the case of vancomycin-induced bullous dermatosis. It is critical to keep linear IgA bullous dermatosis (LABD) in the differential diagnosis of patients presenting with vesiculobullous dermatitis.


References
  1. Gabrielsen TO, Staerfelt F, Thune PO. Drug-induced bullous dermatosis with linear IgA deposits along the basement membrane. Acta Derm Venereol 1981;61(5):439–41.   [Pubmed]    Back to citation no. 1
  2. Fortuna G, Salas-Alanis JC, Guidetti E, Marinkovich MP. A critical reappraisal of the current data on drug-induced linear immunoglobulin A bullous dermatosis: a real and separate nosological entity? J Am Acad Dermatol 2012 Jun;66(6):988–94.   [CrossRef]   [Pubmed]    Back to citation no. 2
  3. Dellavalle RP, Burch JM, Tayal S, Golitz LE, Fitzpatrick JE, Walsh P. Vancomycin-associated linear IgA bullous dermatosis mimicking toxic epidermal necrolysis. J Am Acad Dermatol 2003 May;48(5 Suppl):S56–7.   [CrossRef]   [Pubmed]    Back to citation no. 3
  4. Chorzelski TP, Beutner EH, Jablonska S, Blaszczyk M, Triftshauser C. Immunofluorescence studies in the diagnosis of dermatitis herpetiformis and its differentiation from bullous pemphigoid. J Invest Dermatol 1971 May;56(5):373–80.   [CrossRef]   [Pubmed]    Back to citation no. 4
  5. Chorzelski TP, Jablonska S, Maciejowska E. Linear IgA bullous dermatosis of adults. Clin Dermatol 1991 Jul-Sep;9(3):383–92.   [CrossRef]   [Pubmed]    Back to citation no. 5
  6. Collier PM, Wojnarowska F. Drug-induced linear immunoglobulin A disease. Clin Dermatol 1993 Oct-Dec;11(4):529–33.   [Pubmed]    Back to citation no. 6
  7. Lawley TJ, Strsober W, Yaoita H, Katz SI. Small intestinal biopsies and HLA types in dermatitis herpetiformis patients with granular and linear IgA skin deposits. J Invest Dermatol 1980 Jan;74(1):9–12.   [CrossRef]   [Pubmed]    Back to citation no. 7
  8. Wojnarowska F, Marsden RA, Bhogal B, Black MM. Chronic bullous disease of childhood, childhood cicatricial pemphigoid, and linear IgA disease of adults. A comparative study demonstrating clinical and immunopathologic overlap. J Am Acad Dermatol 1988 Nov;19(5 Pt 1):792–805.   [Pubmed]    Back to citation no. 8
  9. Fortuna G, Marinkovich MP. Linear immunoglobulin A bullous dermatosis. Clin Dermatol 2012 Jan-Feb;30(1):38–50.   [CrossRef]   [Pubmed]    Back to citation no. 9
  10. Ho JC, Ng PL, Tan SH, Giam YC. Childhood linear IgA bullous disease triggered by amoxicillin-clavulanic acid. Pediatr Dermatol 2007 Sep-Oct;24(5):E40–3.   [CrossRef]   [Pubmed]    Back to citation no. 10
  11. Polat M, Lenk N, Kürekçi E, Oztas P, Artüz F, Alli N. Chronic bullous disease of childhood in a patient with acute lymphoblastic leukemia: possible induction by a drug. Am J Clin Dermatol 2007;8(6):389–91.   [CrossRef]   [Pubmed]    Back to citation no. 11
  12. Kocyigit P, Akay BN, Karaosmanoglu N. Linear IgA bullous dermatosis induced by interferon-alpha 2a. Clin Exp Dermatol 2009 Jul;34(5):e123–4.   [CrossRef]   [Pubmed]    Back to citation no. 12
  13. Walsh SN, Kerchner K, Sangüeza OP. Localized palmar vancomycin-induced linear IgA bullous dermatosis occurring at supratherapeutic levels. Arch Dermatol 2009 May;145(5):603–4.   [CrossRef]   [Pubmed]    Back to citation no. 13
  14. Bastuji-Garin S, Rzany B, Stern RS, Shear NH, Naldi L, Roujeau JC. Clinical classification of cases of toxic epidermal necrolysis, Stevens-Johnson syndrome, and erythema multiforme. Arch Dermatol 1993 Jan;129(1):92–6.   [CrossRef]   [Pubmed]    Back to citation no. 14
  15. Chanal J, Ingen-Housz-Oro S, Ortonne N, et al. Linear IgA bullous dermatosis: comparison between the drug-induced and spontaneous forms. Br J Dermatol 2013 Nov;169(5):1041–8.   [CrossRef]   [Pubmed]    Back to citation no. 15
  16. Farley-Li J, Mancini AJ. Treatment of linear IgA bullous dermatosis of childhood with mycophenolate mofetil. Arch Dermatol 2003 Sep;139(9):1121–4.   [CrossRef]   [Pubmed]    Back to citation no. 16
  17. Cooper SM, Powell J, Wojnarowska F. Wojnarowska Linear IgA disease: successful treatment with erythromycin. Clin Exp Dermatol 2002 Nov;27(8):677–9.   [CrossRef]   [Pubmed]    Back to citation no. 17
  18. Siegfried EC, Sirawan S. Chronic bullous disease of childhood: successful treatment with dicloxacillin. J Am Acad Dermatol 1998 Nov;39(5 Pt 1):797–800.   [CrossRef]   [Pubmed]    Back to citation no. 18
  19. Peterson JD, Chan LS. Linear IgA bullous dermatosis responsive to trimethoprim-sulfamethoxazole. Clin Exp Dermatol 2007 Nov;32(6):756–8.   [CrossRef]   [Pubmed]    Back to citation no. 19

[HTML Abstract]   [PDF Full Text]

Author Contributions
Martin Minwoo Kim – Substantial contributions to conception and design, Acquisition of data, Analysis and interpretation of data, Drafting the article, Revising it critically for important intellectual content, Final approval of the version to be published
Katherine Baquerizo – Analysis and interpretation of data, Revising it critically for important intellectual content, Final approval of the version to be published
Pranay Srivastava – Analysis and interpretation of data, Revising it critically for important intellectual content, Final approval of the version to be published
Deepthi Lankalapalli – Analysis and interpretation of data, Revising it critically for important intellectual content, Final approval of the version to be published
Asmat Ullah – Analysis and interpretation of data, Revising it critically for important intellectual content, Final approval of the version to be published
Guarantor of submission
The corresponding author is the guarantor of submission.
Source of support
None
Conflict of interest
Authors declare no conflict of interest.
Copyright
© 2016 Martin Minwoo Kim et al. This article is distributed under the terms of Creative Commons Attribution License which permits unrestricted use, distribution and reproduction in any medium provided the original author(s) and original publisher are properly credited. Please see the copyright policy on the journal website for more information.