Case Report
 
Subserosal fibroid thought to be recurrent granulosa cell tumor in a pregnant patient
Hiba J. Mustafa
Queens Hospital Center, 82-68 164 Street, Jamaica, NY, 11432

Article ID: Z01201603CR10614HM
doi:10.5348/ijcri-201627-CR-10614

Address correspondence to:
Hiba J. Mustafa
Queens Hospital Center
82-68 164 Street
Jamaica
NY, 11432

Access full text article on other devices

  Access PDF of article on other devices

[HTML Abstract]   [PDF Full Text] [Print This Article]
[Similar article in Pumed] [Similar article in Google Scholar]


How to cite this article
Mustafa HJ. Subserosal fibroid thought to be recurrent granulosa cell tumor in a pregnant patient. Int J Case Rep Images 2016;7(3):165–169.


Abstract
Introduction: Juvenile androgen secreting granulosa cell tumors are very rare. We are describing a patient whom thought to have recurrence in pregnancy but turned to be subserosal pedunculated fibroid.
Case Report: We are presenting a case of a 30-year-old female with history of androgen secreting juvenile granulosa cell tumor of the ovary who underwent exploratory laparotomy for suspected recurrent granulosa cell tumor while she was 16 weeks pregnant. The mass turned out to be subserosal pedunculated fibroid.
Conclusion: Recurrent juvenile androgen secreting granulosa cell tumor is a rare case. It can be confused with pedunculated fibroids even on MRI scan. Proceeding with laparoscopy first before exploratory laparotomy should be considered.

Keywords: Androgen secreting type, Juvenile granules cell tumor, Uterine fibroid


Introduction

Juvenile type granulosa cell tumors, defined in 1976 by Scully as a separate unit are found mostly in girls during the first two decades of life. On inspection under an optic microscope they are characterized by the presence of non-differentiated "blastemoid" structures and the formation of solid follicular formations and cysts. It comprises 5% of all granulosa cell tumors [1] [2]. This subtype tends to have a higher proliferative rate than the adult type and a lower risk for late recurrences. Granulosa cell tumors typically present as large masses; the mean diameter is 12 cm. Women may present with an asymptomatic mass noted on abdominal or pelvic examination. Often produce estrogen and/or progesterone; consequently, symptoms related to hyperestrogenism are common at diagnosis. Androgen production is rare and produces virilization in women [3] [4].

For women with stage I disease who wishes to preserve fertility or avoid exogenous hormone replacement, a unilateral salpingo-oophorectomy and uterine preservation with other procedures for complete surgical staging are appropriate [5].

Approximately, half of all pregnancy-associated stromal tumors are granulosa cell tumors, one-third are Sertoli-Leydig cell tumors, and the remainder are unclassified stromal tumors. The optimal time for semi-elective surgery during pregnancy is after the first trimester.

In most cases, the preoperative workup for a pregnant woman with a pelvic mass can be limited to ultrasound imaging. If the ultrasound findings cannot distinguish between a possible pedunculated or degenerating leiomyoma and an ovarian neoplasm, obtaining magnetic resonance imaging (MRI) scan can be helpful. The more precise diagnosis afforded by MRI scan may allow the clinician to cancel planned exploratory surgery.


Case Report

We present a case of 30-year-old Jamaican female who presented to gynecological oncology clinic in 2005 with hirsutism, clitoromegally of 3 cm and acne for one year. Workup showed elevated total testosterone to 365 ng/dl and 17-OH progesterone levels to 253 ng/dl. ACTH stimulation test was done to rule out late onset 21 hydroxylase deficiency which was ruled out. Pelvic Ultrasound revealed 11x7x10 cm left adnexal solid mass suspicious for tumor (Figure 1). Endometrial biopsy was done which showed benign endometrium and endocervical glands. Patient underwent exploratory laparotomy, right salpingo-oophorectomy, lymph nodes sampling, pelvic washings and partial omentectomy. Pathology results revealed androgen secreting granulosa cell tumor of the ovary stage IA. Testosterone levels normalized after the surgery. Patient underwent surveillance in gynecological oncology clinic with physical examinations, testosterone level, inhibin A and B levels and imaging, all were within normal limits.

Patient followed with endocrine for continuous hirsutism and clitoromegally. Medical treatment of hirsutism was attempted with minimal response. In 2014, CT scan showed 7 cm adnexal mass with possible recurrence. Patient subsequently got pregnant (Figure 2) and (Figure 3). Testosterone and inhibin levels were still within normal limits. MRI scan showed 8x8x7 cm pelvic mass with cystic changes separate from the uterus (Figure 4) and (Figure 5). Case was discussed in tumor board with the presence of gynecological oncology, medical oncology, surgical oncology, radiology and MFM team. Anonymous decision was made to offer the patient surgery for suspected recurrent granulosa cell tumor of the ovary.

Risks, benefits alternatives were explained to the patient. The team proceeded with exploratory laparotomy via vertical midline incision in which 8 cm lower uterine segment pedunculated Fibroid was noted and was excised. Results were confirmed by frozen section and later by pathology. Fetal monitoring was done during the procedure without fetal complications noted.


Cursor on image to zoom/Click text to open image
Figure 1: A 30-year-old female with newly diagnosed androgen secreting granulosa cell tumor of the ovary. Ultrasound showing right solid adnexal mass measuring 11.2x7.36x10.5 cm (the starts are the outlines of the mass).



Cursor on image to zoom/Click text to open image
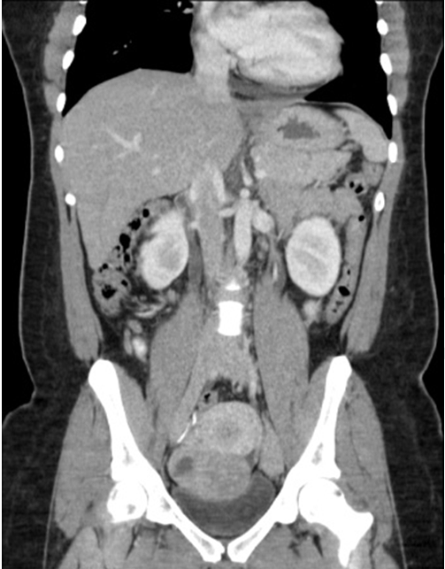
Figure 2: A 30-year-old female with suspected recurrent ovarian granulosa cell tumor in pregnancy. Contrast-enhanced coronal CT image showing heterogenous enhancing pelvic mass measuring 7.3x5x5.4 cm.



Cursor on image to zoom/Click text to open image
Figure 3: A 30-year-old female with suspected recurrent ovarian granulosa cell tumor in pregnancy. Contrast-enhanced sagital CT image showing heterogenous enhancing pelvic mass measuring 7.3x5x5.4 cm.



Cursor on image to zoom/Click text to open image
Figure 4: A 30-year-old female with suspected recurrent ovarian granulosa cell tumor in pregnancy. Contrast-enhanced sagital MRI image showing large predominantly isotense pelvic mass measuring 8.9 cm x7.1 cm. Areas of hypointensities within it with correlating hyperintensities likely due to cystic changes appears seperae from the uterus. (A: pregnant uterus, B: mass, C :bladder).



Cursor on image to zoom/Click text to open image
Figure 5: A 30-year-old female with suspected recurrent ovarian granulosa cell tumor in pregnancy .contrast-enhanced coronal MRI image showing large predominantly isotense pelvic mass measuring 8.9x7.1 cm. Areas of hypointensities within it with correlating hyperintensities likely due to cystic changes appears separate from the uterus. (A: pregnant uterus, B: mass with cystic changes, C: bladder).



Discussion

We are presenting a very rare case in multiple aspects:

1) Juvenile granulosa cell tumor: The juvenile type comprises 5% of all granulosa cell tumors, on histopathology has a macrofollicular or cystic pattern and is comprised of immature granulosa cells with frequent mitoses; Call-Exner bodies and coffee-bean grooved nuclei are not frequent. The histologic diagnosis is facilitated by immunohistochemical staining (IHC) using antibodies against markers of sex cord-stromal differentiation. Inhibin is the most sensitive and specific. Calretinin is typically positive, but is not specific for sex cord-stromal differentiation. Other markers, including CD99, Müllerian inhibiting substance, Vimentin, WT1, SF-1, cytokeratin, S-100 protein, and smooth muscle actin, are not specific and are not particularly helpful in distinguishing between granulosa cell tumor and its mimics. However, even positivity for inhibin is not absolutely specific for an ovarian sex cord tumor, as sex cord-stromal differentiation can be seen in other neoplasms [6].

2) Androgen secreting granulosa cell tumor: Granulosa cell tumors often produce estrogen and/or progesterone; consequently, symptoms related to hyperestrogenism are common at diagnosis. Increased production of estrogen may also cause breast tenderness, postmenopausal bleeding, menstrual abnormalities, and, in children, sexual precocity. In our patient she presented with virilization due to the androgen secreting tumor which is very rare case scenario [7] [8].

3) Persistence of the virilization after removal of the tumor. Our patient had persistent hirsutism and clitoromegally for many years after removal of the tumor in which hirsutism had almost no response to medical or mechanical therapy. Multiple types of imaging show possible recurrence of the tumor and now the patient is pregnant [9]. Ultrasound, CT scan, MRI scan all suggesting high possibility of tumor recurrence. Case was discussed in a multidisciplinary setting with anonymous decision to proceed with surgery in the second trimester for recurrent granulosa cell tumor of the ovary in which the mass appeared to be subserosal pedunculated fibroid [10] [11].


Conclusion

Juvenile type granulosa cell tumor is extremely rare cause of virilization. Persistence of virilization is also rare after removal of the tumor. Despite almost certainatity about a diagnosis in a pregnant patient we recommend considering laparoscopy before proceeding with exploratory laparotomy which could have been attempted in this patient as even though multiple images were obtained through ultrasound, CT scan and MRI the pedunculated fibroid was thought to be recurrent ovarian tumor.


References
  1. Young RH, Dickersin GR, Scully RE. Juvenile granulosa cell tumor of the ovary. A clinicopathological analysis of 125 cases. Am J Surg Pathol 1984 Aug;8(8):575–96.   [Pubmed]    Back to citation no. 1
  2. Young RH. Sex cord-stromal tumors of the ovary and testis: their similarities and differences with consideration of selected problems. Mod Pathol 2005 Feb;18 Suppl 2:S81–98.   [CrossRef]   [Pubmed]    Back to citation no. 2
  3. Calaminus G, Wessalowski R, Harms D, Göbel U. Juvenile granulosa cell tumors of the ovary in children and adolescents: results from 33 patients registered in a prospective cooperative study. Gynecol Oncol 1997 Jun;65(3):447–52.   [CrossRef]   [Pubmed]    Back to citation no. 3
  4. Pectasides D, Pectasides E, Psyrri A. Granulosa cell tumor of the ovary. Cancer Treat Rev 2008 Feb;34(1):1–12.   [CrossRef]   [Pubmed]    Back to citation no. 4
  5. Powell JL, Connor GP, Henderson GS. Management of recurrent juvenile granulosa cell tumor of the ovary. Gynecol Oncol 2001 Apr;81(1):113–6.   [CrossRef]   [Pubmed]    Back to citation no. 5
  6. Outwater EK, Wagner BJ, Mannion C, McLarney JK, Kim B. Sex cord-stromal and steroid cell tumors of the ovary. Radiographics 1998 Nov-Dec;18(6):1523–46.   [CrossRef]   [Pubmed]    Back to citation no. 6
  7. Gittleman AM, Price AP, Coren C, Akhtar M, Donovan V, Katz DS. Juvenile granulosa cell tumor. Clin Imaging 2003 Jul-Aug;27(4):221–4.   [Pubmed]    Back to citation no. 7
  8. Stuart GC, Dawson LM. Update on granulosa cell tumours of the ovary. Curr Opin Obstet Gynecol 2003 Feb;15(1):33–7.   [CrossRef]   [Pubmed]    Back to citation no. 8
  9. Al-Badawi IA, Brasher PM, Ghatage P, Nation JG, Schepansky A, Stuart GC. Postoperative chemotherapy in advanced ovarian granulosa cell tumors. Int J Gynecol Cancer 2002 Jan-Feb;12(1):119–23.   [CrossRef]   [Pubmed]    Back to citation no. 9
  10. Fink D, Kubik-Huch RA, Wildermuth S. Juvenile granulosa cell tumor. Abdom Imaging 2001 Sep-Oct;26(5):550–2.   [CrossRef]   [Pubmed]    Back to citation no. 10
  11. Frausto SD, Geisler JP, Fletcher MS, Sood AK. Late recurrence of juvenile granulosa cell tumor of the ovary. Am J Obstet Gynecol 2004 Jul;191(1):366–7.   [CrossRef]   [Pubmed]    Back to citation no. 11

[HTML Abstract]   [PDF Full Text]

Author Contributions
Hiba J. Mustafa – Substantial contributions to conception and design, Acquisition of data, Analysis and interpretation of data, Drafting the article, Revising it critically for important intellectual content, Final approval of the version to be published
Guarantor of submission
The corresponding author is the guarantor of submission.
Source of support
None
Conflict of interest
Authors declare no conflict of interest.
Copyright
© 2016 Hiba J. Mustafa. This article is distributed under the terms of Creative Commons Attribution License which permits unrestricted use, distribution and reproduction in any medium provided the original author(s) and original publisher are properly credited. Please see the copyright policy on the journal website for more information.