Case Series
 
Pilomatricoma-unveiling the ghost story: A case series
Ranjan Agrawal1, Parbodh Kumar2
1MD, FIC Path, DHA, Professor, Department of Pathology, Rohilkhand Medical College Hospital, Bareilly, UP, India.
2MD, Professor and Head, Department of Pathology, Rohilkhand Medical College Hospital, Bareilly, UP, India.

doi:10.5348/ijcri-201502-CS-10053

Address correspondence to:
Dr. Ranjan Agrawal
Professor, Department of Pathology, Rohilkhand Medical College & Hospital
Pilibhit Byepass Road, Bareilly
UP
India
Phone: 9412291009

Access full text article on other devices

  Access PDF of article on other devices

[HTML Abstract]   [PDF Full Text] [Print This Article]
[Similar article in Pumed] [Similar article in Google Scholar]


How to cite this article
Agrawal R, Kumar P. Pilomatricoma-unveiling the ghost story: Report of 5 cases with review of the literature. Int J Case Rep Images 2015;6(4):193–197.


Abstract
Introduction: Pilomatrixoma are benign skin neoplasms of hair follicle origin but often are mis-diagnosed. They present as superficial masses of the head and neck especially in children. This present study is aimed at pointing to awareness among the clinicians as well as the pathologists about the varied presentations and morphological features of the entity.
Case Series: Five cases were included in the present study, of which four were females and one male. The sites involved were right thigh, right elbow, forehead, right eyebrow and subareolar area in the right breast.
Conclusion: Diagnostic pitfalls have been discussed along with the clinical differential diagnosis.

Keywords: Basaloid cells, Calcifying epithelioma of malherbe, Ghost cells, Pilomatricoma

Introduction

Pilomatricoma is a relatively uncommon benign skin neoplasm arising from the hair follicles. With more morphologic features and clinical presentations being described there has been a better identification of this neoplasm. Probably due to lack of awareness or otherwise a preoperative diagnosis of pilomatricoma is rarely considered by the clinicians [1].


Case Series

Five cases were included in the present study. Four (80%) of these were females and one (20%) male. The site of involvement in all the patients were different (Table 1). Two cases (40%) occurred in the head and neck region with face as the predominant site involved. The other sites involved were lateral aspect of right thigh, right elbow and beneath the areola of the right breast. All the patients presented with a painless swelling. On examination the swellings were non-tender and freely mobile.

The clinical diagnosis in all the cases was suggestive of epidermoid/dermoid cyst. However, subsequent histopathologic examination confirmed these cases as pilomatricoma. All the lesions were well encapsulated. H&E sections showed dual population of cells comprising the peripheral basaloid cells and the ghost or shadow cells in the centre (Figure 1). A transition of basaloid to ghost cells was noted in many areas. Sections from the right eyebrow swelling posed great difficulty in diagnosis since there were mainly ghost cells present and almost negligible basophilic cells representing stage 4 (Figure 2). The remaining four cases (80%) belonged to the third morphological stage. Two cases showed a rich infiltrate of lymphoplasmacytic cells and numerous foreign body giant cells near the shadow cells (Figure 3). Three cases showed areas of calcification.


Cursor on image to zoom/Click text to open image
Table 1: Showing Age, Sex and Site distribution of Pilomatricoma cases.



Cursor on image to zoom/Click text to open image
Figure 1: Uniform population of small basophilic cells (Ý) and another area of large shadow/ghost cells filled with keratin and cell debris (↑ ). (H&E stain, x100).



Cursor on image to zoom/Click text to open image
Figure 2: Ghost cells with keratinization (▲). Basophilic cells are almost absent (H&E stain, x400).




Cursor on image to zoom/Click text to open image
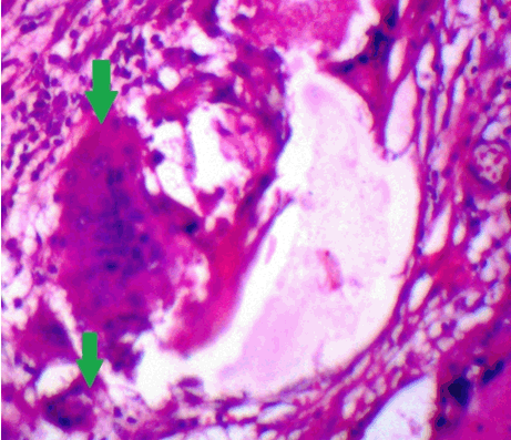
Figure 3: Photomicrograph showing rich lymphoplasmacytic cell infiltration and numerous foreign body giant cells (↑) (H&E stain, x400).


Discussion

Pilomatrixoma, or calcifying epithelioma of Malherbe, was first described in 1880 by Malherbe and Chenantais as a benign subcutaneous tumor arising from the sebaceous glands. In 1922, Dubreuilh and Cazenave described the unique histopathologic characteristics of this neoplasm, including islands of epithelial cells and shadow cells. Turhan and Krainer in 1942 stated the origin of this neoplasm to be from the hair cortex cells. In 1961, Forbis and Helwig proposed the term pilomatrixoma denoting their origin from cells of hair matrix and avoiding overlapping nomenclature with malignancy as suggested by the previously used term "Epithelioma". In 1977, the name was corrected etymologically to pilomatricoma.

The incidence of pilomatricoma is estimated to be 1 in 2000 surgical specimens [2]. The most frequent anatomical location is the head and neck region, followed by the upper extremities, trunk and the lower extremities in decreasing order of frequency [1]. The sites of occurrence reported in the head and neck region are cheek (36%), neck (20%), periorbital region (14%), scalp (9%) and remaining as multiple lesions [1] [2] [3] [4] [5] [6] [7] [8]. Involvement of palms, soles, genital region or lymph nodes has not been reported [1]. Reports of involvement of breasts are also available [9] . A rare case of pilomatricoma following split thickness skin graft on the lower extremity is available in literature [10]. The female to male ratio reported is 1.5:1 [1] [7]. Female predominance was observed in the present study as well. Pilomatricoma can develop at any age, demonstrating bimodal peak presentation during the first and sixth decades of life. About 40% of cases occur in patients younger than 10 years of age and about 60% of cases within the first two decades of life [1]. In the present study, all five patients were below 40 years of age with 2 below 20 years.

Pilomatricoma mainly presents as a solitary cutaneous nodule with an average size of 1 cm rarely exceeding 2 cm in diameter and is covered by normal or hyperemia skin [11] [12]. All the cases in the present study had similar presentation. Four cases measured less than 1 cm and one was 1.5 cm in diameter. They are usually asymptomatic, deep seated, firm, non-tender and adherent to the skin but not fixed to the underlying tissue. Multiple occurrences and familial cases are also known, in association with disorders like Gardner's syndrome, Steinert disease, Sarcoidosis, Rubinstein-Taybi syndrome, Turner syndrome and Myotonic dystrophy [1] [7][13]. No such association was observed in any of our cases. Stretching of the skin over the tumor shows the "tent sign" with multiple facets and angles, a pathognomonic sign for pilomatricoma [1] [14]. In addition, pressing on one edge of the lesion causes the opposite edge to protrude from the skin like a "teeter-totter". Another characteristic feature is the blue-red discoloration of the overlying skin differentiating it from epidermal inclusion or dermoid cysts [1].

The accuracy rate of preoperative diagnosis of pilomatricoma reported ranges from 0–30% probably due to the lack of familiarity with this tumor [15]. Radiologic imaging is of little diagnostic value for pilomatricoma. Fine-needle aspiration cytology has also a limited role since the results can be misleading if there are no ghost cells present in the aspirate [1]. The major factors contributing to misdiagnosis include cystic lesions with varying consistency, punctum like appearance (due to skin tethering), atypical location and the absence of clinically recognizable calcification [16]. Another dilemma is the differentiation of this tumor from other benign masses frequently seen in clinical practice such as epidermal inclusion cyst, sebaceous and dermoid cyst, branchial cleft remnants, pre-auricular sinuses, foreign body granulomas, lipoma, calcific lymph nodes, fat necrosis, degenerating fibroxanthoma, osteoma cutis and ossifying hematoma [1] [6] [7][8]. Inclusion cysts have a diffuse yellow color when filled with keratin, are softer, palpable and rare in children. Dermoid cysts are firmly attached to the underlying tissue with covering skin moving freely over the lesion and do not exhibit irregular nodules on the surface [1].

The aetiology of pilomatricoma is unknown. Recently, role of an overactive proto-oncogene called BCL-2 is proposed which suppresses the normal process of cell death and mutations in CTNNB1 suggesting loss of regulation of a protein complex called beta-catenin/LEF which is an effector in the WNT signaling pathway leading to differentiation and proliferation [6] [8] [17].

Histopathologically, pilomatricoma are well encapsulated and composed of islands of cells separated by fine, fibrovascular connective tissue stroma. The cell islands reveal two distinct cell populations comprising the basaloid cells and the ghost (shadow) cells. Early lesions show a predominance of basophilic cells grouped in islands at the tumor periphery. With tumor maturation, the basophilic cells acquire more cytoplasm and eventually start losing their nuclei to become eosinophilic shadow cells. These latter cells constitute the central portion of the tumor and may calcify gradually imparting the lesion a bony hard consistency. The basaloid cells are darkly stained, round-to-ovoid, have ill-defined cell borders with minimal cytoplasm and vesicular nuclei with most of them exhibiting prominent nucleoli. The ghost cells show well-defined cell borders abundant, pale, eosinophilic cytoplasm with a central clear area. A transition of basaloid cells to ghost cells is noted in many areas. There can be areas of keratinization, calcification, ossification, melanin deposition and focal lymphocytic infiltration along with a foreign body giant cell reaction in close proximity to the ghost cells. Secondary changes such as hemorrhage, ossification, myxoid change, edema and stromal fibrosis may occur [2].

Four distinct morphological stages of pilomatricoma reported include: (a) Early: small and cystic lesions, (b) Fully developed: large and cystic, (c) Early regressive: foci of basaloid cells, shadow cells and lymphocytic infiltrate with multinucleated giant cells, (d) Late regressive: numerous shadow cells with absence of basaloid and inflammatory cells. These stages reflect the evolution of the tumor from a matrix cyst to a calcified and ossified nodule with no visible epithelial component [1] [15]. They do not have treatment or prognostic implication.

Complications of pilomatricoma are rare. However, occasionally they may grow to several centimeters in diameter. Transformation to pilomatrical carcinoma is very rare. Pilomatrix carcinoma needs to be distinguished from proliferating pilomatricoma, which is a benign tumor exhibiting a relative symmetry, sharp circumscription and a distinct lobular proliferation of basaloid cells with small foci of shadow cells along with variable nuclear atypia and mitosis [2] [18].

Since there is no spontaneous regression, malignant transformation is rare and the lesions are well encapsulated, the standard treatment of pilomatricoma is complete surgical excision [1] [6] .


Conclusion

This study illustrates the diagnostic pitfalls of pilomatricoma with special emphasis on its presentations and differentials. The diagnostic pitfalls have been highlighted in the present study. We would reiterate the significance of the knowledge of these cases and also to make the clinicians aware of this entity especially as a cause of solitary skin nodule on the head, neck, breast or the upper extremities.


References
  1. Pant I, Joshi SC, Kaur G, Kumar G. Pilomatricoma as a diagnostic pitfall in clinical practice: Report of two cases and review of literature. Indian J Dermatol 2010 Oct;55(4):390–2.   [CrossRef]   [Pubmed]    Back to citation no. 1
  2. Kaveri H, Punnya A. Pilomatricoma: A dermal analog of calcifying odontogenic cyst. Indian J Dent Res 2008 Jul-Sep;19(3):261–3.   [Pubmed]    Back to citation no. 2
  3. Malherbe A, Chenanatis J. Note surI'epitheliomacalcifiedes glandes sebacees. Prog Med 1880;8:826–37.    Back to citation no. 3
  4. Dubreuilh W, Cazenave E. De I' epitheliomacalcifie: Etude histolgique. Ann DermatolSyphilol 1922;3:257–68.    Back to citation no. 4
  5. Forbis R Jr, Helwig EB. Pilomatrixoma (calcifying epithelioma). Arch Dermatol 1961 Apr;83:606–18.   [CrossRef]   [Pubmed]    Back to citation no. 5
  6. Kashif M, Qureshi NR, Barakzai A. An unusual presentation of Pilomatrixoma. J Liaquat Uni Med Health Sci 2008;7(2):136–8.    Back to citation no. 6
  7. Yencha MW. Head and neck pilomatricoma in the pediatric age group: A retrospective study and literature review. Int J Pediatr Otorhinolaryngol 2001 Feb;57(2):123–8.   [CrossRef]   [Pubmed]    Back to citation no. 7
  8. Agarwal RP, Handler SD, Matthews MR, Carpentieri D. Pilomatrixoma of the head and neck in children. Otolaryngol Head Neck Surg 2001 Nov;125(5):510–5.   [CrossRef]   [Pubmed]    Back to citation no. 8
  9. Rousselot C, Tourasse C, Samimi M, Degand P, Dénier JF, Michenet P. Breast pilomatrixoma manifested as microcalcifications on mammography: Report of two cases. J Radiol 2007 Jul-Aug;88(7-8 Pt 1):978–80. [Article in French].   [Pubmed]    Back to citation no. 9
  10. Choi JH, Park SG, Lee JH. A Case of Pilomatrixoma after Split Thickness Skin Graft. J Korean Soc Plast ReconstrSurg 2006;33(6):753–6.    Back to citation no. 10
  11. Kaddu S, Soyer HP, Hödl S, Kerl H. Morphological stages of pilomatricoma. Am J Dermatopathol 1996 Aug;18(4):333–8.   [CrossRef]   [Pubmed]    Back to citation no. 11
  12. Klein W, Chan E, Seykora JT. Lever's histolpathology of the skin. 9th ed. Philadelphia: Lippincott, Williams and Wilkins; 2005. Tumours of the epidermal appendages. In: Elder DE, Elenitsas R, Johnson BL, Murphy GF, editors; p. 879.    Back to citation no. 12
  13. Lan MY, Lan MC, Ho CY, Li WY, Lin CZ. Pilomatricoma of the head and neck: A retrospective review of 179 cases. Arch Otolaryngol Head Neck Surg 2003 Dec;129(12):1327–30.   [CrossRef]   [Pubmed]    Back to citation no. 13
  14. Graham JL, Merwin CF. The tent sign of pilomatricoma. Cutis 1978 Nov;22(5):577–80.   [Pubmed]    Back to citation no. 14
  15. Julian CG, Bowers PW. A clinical review of 209 pilomatricomas. J Am Acad Dermatol 1998 Aug;39(2 Pt 1):191–5.   [CrossRef]   [Pubmed]    Back to citation no. 15
  16. Kumaran N, Azmy A, Carachi R, Raine PA, Macfarlane JH, Howatson AG. Pilomatrixoma--accuracy of clinical diagnosis. J Pediatr Surg 2006 Oct;41(10):1755–8.   [CrossRef]   [Pubmed]    Back to citation no. 16
  17. Lazar AJ, Calonje E, Grayson W, et al. Pilomatrix carcinomas contain mutations in CTNB1, the gene encoding beta-catenin. J Cutan Pathol 2005 Feb;32(2):148–57.   [CrossRef]   [Pubmed]    Back to citation no. 17
  18. Byun JW, Bang CY, Yang BH, et al. Proliferating Pilomatricoma. Am J Dermatopathol 2011 Oct;33(7):754–5.   [CrossRef]   [Pubmed]    Back to citation no. 18

[HTML Abstract]   [PDF Full Text]

Author Contributions:
Ranjan Agrawal – Substantial contributions to conception and design, Acquisition of data, Analysis and interpretation of data, Drafting the article, Revising it critically for important intellectual content, Final approval of the version to be published
Parbodh Kumar – Analysis and interpretation of data, Revising it critically for important intellectual content, Final approval of the version to be published
Guarantor of submission
The corresponding author is the guarantor of submission.
Source of support
None
Conflict of interest
Authors declare no conflict of interest.
Copyright
© 2015 Ranjan Agrawal et al. This article is distributed under the terms of Creative Commons Attribution License which permits unrestricted use, distribution and reproduction in any medium provided the original author(s) and original publisher are properly credited. Please see the copyright policy on the journal website for more information.