Case Report
 
Catamenial pneumothorax: A rare cause of recurrent pneumothorax
Waqas Jehangir1, Jay Harman2, Nneka Iroka3, Abdalla Yousif4
1MBBS, MD, PGY II, Internal Medicine, Raritan Bay Medical Center, Perth Amboy, NJ, USA.
2MS, Medical Student, Internal Medicine, Ross University School of Medicine, Portsmouth, Dominica.
3MD, PGY II, Internal Medicine, Raritan Bay Medical Center, Perth Amboy, NJ, USA.
4MD, Program Director, Internal Medicine, Raritan Bay Medical Center, Perth Amboy, NJ, USA.

doi:10.5348/ijcri-201511-CR-10472

Address correspondence to:
Waqas Jehangir
530 New Brunswick Ave
Perth Amboy, NJ
USA 08861
Phone: 267-844-7119
Email: wjehangir@hotmail.com

Access full text article on other devices

  Access PDF of article on other devices

[HTML Abstract]   [PDF Full Text] [Print This Article]
[Similar article in Pumed] [Similar article in Google Scholar]


How to cite this article
Jehangir W, Harman J, Iroka N, Yousif A. Catamenial pneumothorax: A rare cause of recurrent pneumothorax. Int J Case Rep Images 2015;6(1):51–55.


Abstract
Introduction: Primary spontaneous pneumoth-orax is a common clinical occurrence. Although primary spontaneous pneumothorax is twice as common in men as in women. The recurrence rate is significantly higher in women. The two primary causes for recurrence in women are catamenial pneumothorax and endometriosis related pneumothorax. In the past, catamenial and/or endometriosis related pneumothorax were greatly underdiagnosed. The incidence has increased in the past decade because it is more easily recognized today. Spontaneous pneumothorax is a lung compression that occurs spontaneously due to air in the pleural space in a patient with no underlying lung disease. It can occur in men or women but occurs most often in men. It occurs through many different causes. Catamenial pneumothorax is a spontaneous pneumothorax that occurs at the time of menses in a woman that allows air to enter the thoracic space. Non-catamenial endometriosis related pneumothorax is a spontaneous pneumothorax that occurs when endometrial tissue ascends through diaphragmatic defects to the pleural space and allows air to enter. It can occur at any time and not just during the menses in a woman. Catamenial pneumothorax and noncatamenial endometriosis related pneumothorax are independent entities and are not synonyms. They may occur simultaneously but do not necessarily have to occur at the same time.
Case Report: We present a case of recurrent pneumothorax diagnosed as catamenial pneumothorax in an otherwise healthy 34-year-old female.
Conclusion: The percentages of catamenial pneumothorax are still unclear but it should be suspected and affectedly treated.

Keywords: Primary spontaneous pneumothorax, Catamenial pneumothorax, Endometriosis, Video assisted thoracoscopic surgery


Introduction

Primary spontaneous pneumothorax was first described in 1932 as a separate medical condition that occurs in patients without lung disease [1]. The incidence is thought to be increasing and the recurrence rate is between 20–60% [1]. The male to female ratio in primary spontaneous pneumothorax is 2:1 while the recurrence rate is significantly higher in women [1]. The term recurrent does not define the exact number of episodes although the mean is very high: five episodes with as many as 10 episodes in some cases [2]. At least two episodes are required to be considered recurrent pneumothorax [3]. Therefore, the occurrence of recurrent pneumothorax is a significant problem especially in women. Catamenial pneumothorax and/or endometrial related pneumothorax are one of the main causes of recurrent pneumothorax in women. Although known since the 1950s, catamenial pneumothorax was considered an extremely rare condition and was greatly underdiagnosed [2]. Although catamenial and/or endometriosis related pneumothorax are recognized more now than in the past, their real frequency remains unclear [4]. The signs and symptoms of recurrent pneumothorax are the same as for other kinds of pneumothorax-chest pain, shortness of breath, and cough [2].


Case Report

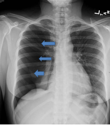
A 34-year-old Hispanic female non-smoker with no significant past medical history stated that she had been having pain in the scapula four days ago which was associated with shortness of breath. She described the pain as a sharp, constant, radiating to the front and back of the right side of the chest. The patient also stated that shortness of breath is associated with chest pain and dry cough. She was diagnosed with pneumonia by her primary medical doctor and she was prescribed antibiotics and pain medications which did not help her. She gave a history of spontaneous pneumothorax on her right side six months ago. She denied any fever, chills, nausea, and vomiting but stated that the pain gotten progressively worse. She did not have a history of tuberculosis or endometriosis. She had breast lifting seven years ago. Her last menstrual period was three days ago. She had three abortions which were induced and she has two babies. On physical examination, she was in mild respiratory distress and vital signs were temperature 98°F, blood pressure 127/58 mmHg, pulse 84/min, respirationrate 20/min, and PO2 96% on 2 litre/minute of oxygen per nasal canula. Lung examination revealed decreased air entry on the right side and decreased breath sounds on the right side. Rest of the physical examination was unremarkable. Laboratory data showed white blood cell count 10.4x103/mL, hemoglobin 13 g/dL, hematocrit 41%, platelets 343x103 K/uL, neutrophils 68%, lymphs 21%, BUN 8 mg/dL, creatinine 0.7 mg/dL, calcium 9.4 mg/dL, albumin 4.4 g/dL, total protein 6.7 g/dL, sodium 137 mmol/L, potassium 3.9 mmol/L, chloride 99 mmol/L, CO2 26 mmol/L. Chest X-ray showed 90% of pneumothorax (Figure 1). She was admitted and emergency right closed thoracostomy drainage done and mechanical pleurodesis was performed. Alpha 1 antitrypsin later came to be 106.00 IU/mL (90–200 IU/mL). Patient was diagnosed with catamenial pneumothorax. She was discharged home and has remained free of recurrence six months after re-treatment.


Cursor on image to zoom/Click text to open image
Figure 1: Chest X-ray showing 90% of pneumothorax on the right side.



Discussion

While men are twice as likely to have primary spontaneous pneumothorax as women, whereas women are much more likely to have a recurrence. The current theory is that a woman's menstrual cycle and/or endometriosis play a role in this reoccurrence. The mean age for recurrent pneumothorax in a woman is 32 years [5].

Catamenial pneumothorax is a recurrent pneumothorax occurring 24 hours before and up to 72 hours after the onset of menses [4]. There are two hypotheses concerning the causes of catamenial pneumothorax. The first hypothesis is that the open connection between the atmosphere and the peritoneal cavity during menses allows air to enter the thoracic cavity through diaphragmatic fenestrations and porosities [5]. In the menstrual period the cervical mucus plug is absent, thus permitting communication between the peritoneal cavity and the outside through the uterine and the fallopian tubes. Air may be forced to enter the peritoneum by uterine contractions, physical exercise, or sexual intercourse. The air then reaches the pleural space through diaphragmatic defects because of negative intrathoracic pressure [2]. One argument supporting the theory of transdiaphragmatic passage of air is the observation that recurrent catamenial pneumothorax may be prevented by tubal ligation. The second hypothesis is that prostaglandin F2, a potent constrictor of bronchioles may destroy alveolar tissue causing alveolar rupture and pneumothorax [5]. In the menstrual period, many women have increased levels of prostaglandin F2-a. Catamenial pneumothorax is unilateral and right sided in almost all instances [2].

The other hypotheses are that endometriosis plays a role in the reoccurrence of pneumothorax. The endometrial tissue reaches the thoracic cavity through auto transplantation to ectopic sites through lymphatic or vascular embolization or after retrograde menstruation [4]. The endometrial tissue can reach the thoracic cavity through diaphragmatic defects possibly caused by endometriosis [5]. This mechanism explains why there is right sided predominance in recurrent pneumothorax. The peritoneal fluids along with air and endometrial tissue exit from the pelvis along the right paracolic gutter up to the right subphrenic space [2] [3] and then through the diaphragmatic fenestrations and porosities. Endometriosis related pneumothorax is considered proven when endometrial glands and stroma are demonstrated by immunohistochemistry staining [4]. Thus endometriosis related pneumothorax can occur in the intermenstrual period [2] as well as the menstrual period, while catamenial pneumothorax only occurs in the menstrual period 24 hours before and up to 72 hours after menses.

The diagnosis of thoracic endometriosis has improved over the past two decades because of Video Assisted Thoracoscopic Surgery (VATS). The VATS is considered the gold standard for both definitive diagnosis and surgical treatment of catamenial and/or endometriosis related pneumothorax [5] and has been applied since 2000 [3]. Some clinicians influenced by the 50% recurrence rate of catamenial and/or endometriosis related pneumothorax advocate an aggressive approach with early surgical treatment [1]. Diaphragmatic involvement by either endometrial tissue or perforations is probably best treated by diaphragmatic resection. Talc pleurodesis is recommended instead of pleural abrasion because of higher recurrence rate with pleural abrasion [2]. Current studies have concluded that surgery has better results than hormone treatment in preventing recurrence. The best results have been obtained using surgery followed by either GnRH agonists or the antigonadotropic progestins cyproterone acetate for six months to induce amenorrhea [2]. If the stapling of the diaphragmatic lesions, the pleurodesis, or the hormone treatment does not prevent recurrence, then hysterectomy and bilateral salpingo-oophorectomy are the treatments of last resort [6].

In our case, the patient had all the classical symptoms of catamenial pneumothorax. She presented with SOB along with chest pain and a cough. Her last menstrual period was three days previously at the time she first had the pain. The lung exam and X-ray revealed a right sided pneumothorax. She had a history of spontaneous pneumothorax six months prior to this. For treatment the patient had a thoracostomy drainage done and mechanical pleurodesis. She has remained free of recurrent pneumothorax at six months.


Conclusion

The percentages of catamenial and/or endometriosis related recurrent pneumothorax are still unclear so additional research is needed to clarify this. But it should be suspected and affectedly treated. Operations for catamenial and/or endometrial related pneumothorax have practically zero mortality and no significant morbidity.


References
  1. Sadikot RT, Greene T, Meadows K, Arnold AG. Recurrence of primary spontaneous pneumothorax. Thorax 1997 Sep;52(9):805–9.   [CrossRef]   [Pubmed]    Back to citation no. 1
  2. Alifano M. Catamenial pneumothorax. Curr Opin Pulm Med 2010 Jul;16(4):381–6.   [CrossRef]   [Pubmed]    Back to citation no. 2
  3. Visouli AN, Darwiche K, Mpakas A, et al. Catamenial pneumothorax: A rare entity? Report of 5 cases and review of the literature. J Thorac Dis 2012 Nov;4 Suppl 1:17–31.   [CrossRef]   [Pubmed]    Back to citation no. 3
  4. Alifano M, Jablonski C, Kadiri H, et al. Catamenial and noncatamenial, endometriosis-related or nonendometriosis-related pneumothorax referred for surgery. Am J Respir Crit Care Med 2007 Nov 15;176(10):1048–53.   [CrossRef]   [Pubmed]    Back to citation no. 4
  5. Ciriaco P, Negri G, Libretti L, et al. Surgical treatment of catamenial pneumothorax: A single centre experience. Interact Cardiovasc Thorac Surg 2009 Mar;8(3):349–52.   [CrossRef]   [Pubmed]    Back to citation no. 5
  6. Nezhat C, Hajhosseini B, Buescher E, Hussein A, Hilaris G, Sellin M. Thoracic Endometriosis Syndrome - The 3rd Edition: Prevention & Management [Internet].Laparoscopy.blogs.com. 2014 [cited 30 September 2014]. Available from: http://laparoscopy.blogs.com/prevention_management_3/2011/01/thoracic-endometriosis.html    Back to citation no. 6

[HTML Abstract]   [PDF Full Text]

Author Contributions
Waqas Jehangir – Substantial contributions to conception and design, Acquisition of data, Analysis and interpretation of data, Drafting the article, Revising it critically for important intellectual content, Final approval of the version to be published
Jay Harman – Substantial contributions to conception and design, Drafting the article, Revising it critically for important intellectual content, Final approval of the version to be published
Nneka Iroka – Substantial contributions to conception and design, Analysis and interpretation of data, Revising it critically for important intellectual content, Final approval of the version to be published
Abdalla Yousif – Substantial contributions to conception and design, Analysis and interpretation of data, Revising it critically for important intellectual content, Final approval of the version to be published
Guarantor of submission
The corresponding author is the guarantor of submission.
Source of support
None
Conflict of interest
Authors declare no conflict of interest.
Copyright
© 2015 Waqas Jehangir et al. This article is distributed under the terms of Creative Commons Attribution License which permits unrestricted use, distribution and reproduction in any medium provided the original author(s) and original publisher are properly credited. Please see the copyright policy on the journal website for more information.



About The Authors

Waqas Jehangir is Internal Medicine Resident at Raritan Bay Medical Center, Perth Amboy, NJ He earned MBBS degree from Nishtar Medical College/University of Health Sciences, Lahore, Pakistan. He has published 10 research papers in national and international academic journals. His research interest include hematology and oncology. He intends to pursue fellowship in hematology/oncology. Email: wjehangir@hotmail.com



Jay Herman is 3rd year Medical Student at Ross University Miramar, Fl. She earned the undergraduate degree (BS) from University of Alabama, Tuscaloosa, Al and postgraduate degree (MS) from University of Texas Houston, Houston, TX. She has published one research paper in national and international academic journals. She intends to pursue MD.



Nneka Iroka is PGY-II at Raritan Bay Medical Center, Perth Amboy, New Jersey. She earned undergraduate degree Diploma in Engineering in Federal Polytechnic Nekede, Imo state of Nigeria and postgraduate degree Doctor of Medicine (MD) from Spartan Health Sciences University, School of Medicine, Saint Lucia. Her research interests include Asthma and COPD. She intends to pursue Pulmonary/Critical care medicine in future.



Abdalla Yousif is Program Director, Internal Medicine, Raritan Bay Medical Center, Perth Amboy, NJ, USA.