Case Report
 
Stroke in pregnancy: A rare case of protein C and protein S deficiency
Snigdha Kumari1, Ashok Kumar Biswas2, Sukanta Misra3
1MBBS, MS. Resident, Department of Obstetrics and Gynecology.Vivekananda Institute of Medical Sciences, Ramakrishna Mission SevaPratishthan.Kolkata, West Bengal, India.
2MBBS, MD, DNB.Associate Professor, Department of Obstetrics and Gynecology.Vivekananda Institute of Medical Sciences, Ramakrishna Mission SevaPratishthan.Kolkata, West Bengal, India.
3MBBS, MD, FICMCH.Professor, Department of Obstetrics and Gynecology. Vivekananda Institute of Medical Sciences, Ramakrishna MissionSevaPratishthan. Kolkata, West Bengal, India.

doi:10.5348/ijcri-2014-03-479-CR-10

Address correspondence to:
Snigdha Kumari
MBBS, Resident, Department of Obstetrics and Gynecology
Main office, Ramakrishna Mission SevaPratishthan
Vivekananda Institute of Medical Sciences, 99 Sarat Bose Road, Kolkata
India 700026
Phone: 919831376252
Email: snigdha.obs@gmail.com

Access full text article on other devices

  Access PDF of article on other devices

[HTML Abstract]   [PDF Full Text] [Print This Article]
[Similar article in Pumed] [Similar article in Google Scholar]


How to cite this article
Kumari S, Biswas AK, Misra S. Stroke in pregnancy: A rare case of protein C and protein S deficiency. International Journal of Case Reports and Images 2014;5(3):226–229.


Abstract
Introduction: Stroke in pregnancy is a rare occurrence, its reported incidence being 11–26 deliveries per 100,000. Ischemic strokes are slightly more common than hemorrhages. Subarachnoid hemorrhage, embolism and cerebral venous thrombosis can also occur, albeit with a lesser incidence. Peak incidence of stroke is in the peripartum and postpartum period. Mortality rate of pregnancy associated stroke is 10.13%. Therefore, rapid recognition and management of these patients are imperative to ensure successful outcome. We report a rare case of stroke during pregnancy which has the protein C and protein S deficiency as its precipitating cause.
Case Report: We report a case of a 24-year-old female, with previous cesarean section in her third trimester, suddenly developed weakness of left side of the body and deviation of face to the right. There was no history of head trauma, fever, unconsciousness or seizure. She did not have any skin rash, arthritis or signs of deep vein thrombosis. There was no history of prior fetal loss. Protein C and protein S levels were low.
Conclusion: We report a rare case of stroke during pregnancy which has the protein C and protein S deficiency as its precipitating cause. Stroke is a recognized complication of pregnancy, is uncommon but feared. Stroke in young adults aged 15–35 years is more common in women with poorer outcome in terms of disability and dependence. Most pregnancy related stroke occurs in peripartum and puerperium.

Keywords: Stroke, Pregnancy, Protein C deficiency, Protein S deficiency


Introduction

Stroke in pregnancy is a rare presentation. The highest incidence of stroke is mainly in the peripartum and postpartum period. Ischemic strokes are slightly more common than hemorrhages. Subarachnoid hemorrhage, embolism and cerebral venous thrombosis can also occur, albeit with a lesser incidence. Cerebral venous thrombosis is a rare complication during pregnancy or the puerperium. The cerebrovascular system may be primarily involved in young adults suffering from anticoagulants deficiency. Women with thrombophilia are also more prone to venous thromboembolism in pregnancy and puerperium. Acquired or hereditary thrombophilia occur in almost two-thirds of women presenting with recurrent miscarriages, preeclampsia, intrauterine growth restriction, abruptio placentae, or stillbirth, which are associated with microvascular thrombosis in placental blood vessels. Women with venous thromboembolism during pregnancy and especially those with thrombophilia need proper management, based on the type of defect, the detailed family history, and the presence of any additional risk factors. These factors are important for antithrombotic drug therapy during pregnancy and the puerperium, and the thrombo prophylactic strategy for future pregnancies. Low molecular weight heparin is effective in improving the outcome of pregnancy in women with previous obstetric complications. Mortality rate of pregnancy associated stroke is 10.13%.Therefore, rapid recognition and management of these patients are imperative to ensure successful outcome.


Case Report

A 24-year-old female, with previous cesarean section in her third trimester, suddenly developed weakness of left side of the body and deviation of face to the right. She was brought to the emergency, examination revealed stable vitals (pulse 90/min, regular, blood pressure 130/84 mmHg, supine), altered level of consciousness (Glasgow coma scale 10), and left sided hemiparesis (power 2/5 in both upper and lower limbs). Deep tendon reflexes were brisk and Babinski sign was present, associated with upper motor neuron palsy of the left facial nerve. Other systemic examination was normal. There was no history of head trauma, fever, unconsciousness or seizure. She did not have any skin rash, arthritis or signs of deep vein thrombosis. There was a history of vertigo, unconsciousness, lower limb weakness, with recovery within an hour, 4 years back for which she received no treatment. There was no history of prior fetal loss.

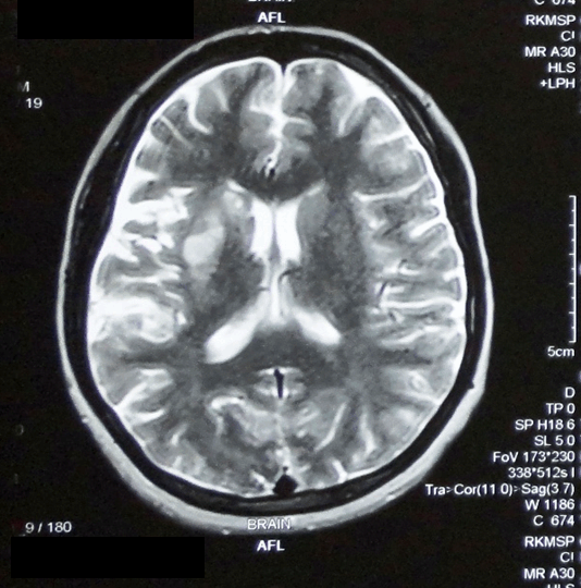
An urgent non-contrast magnetic resonance imaging scan of brain was done which showed acute infarct in right centrum semiovale and right gangliocapsular region in the right middle cerebral artery territory. (Figure 1) Patient’s complete hemogram, liver function tests, serum creatinine and electrolytes were normal. Abdominal ultrasound showed a single, live fetus with normal parameters. Echocardiography was normal. She had normal prothrombin and activated partial thromboplastin time. The patient was seronegative for hepatitis B, C and HIV. Antinuclear factor by indirect immunofluorescence method was negative. Anticardiolipin antibodies, antineutrophil cytoplasmic antibodies (pANCA and cANCA) were negative. Blood homocysteine level, Lupus anticoagulant screen time was normal. Mutation of factor V could not be detected by real time polymerase chain reaction. Protein C (0.9 mg/L, reference range 1.67–3.16 mg/L) and protein S (7 mg/L, reference range 55–123 mg/L) levels were low.

She was diagnosed as a case of protein C and protein S deficiency and was started on low molecular weight heparin (60 mg intravenously twice daily) for 10 days. It was stopped 24 hours prior to elective cesarean section with patient’s International normalized ratio 2.0. A three-kilogram healthy male baby was delivered. After 4 hours of cesarean section, low molecular weight heparin (60 mg subcutaneously once daily) was restarted. Subsequently, the patient was maintained with oral anticoagulant (2 mg once daily) with an overlap period of 3 days with a target International normalized ratio of 2.53.


Cursor on image to zoom/Click text to open image
Figure 1: A non-contrast magnetic resonance imaging scan of brain showing an acute infarct in right centrum semiovale and right gangliocapsular region in the right middle cerebral artery territory.



Discussion

Arterial thrombosis is reported in protein C, protein S, antithrombin deficient patients. [1] The incidence of pregnancy related stroke lies between 11–26 deliveries per 100,000. [2] Prophylactic anticoagulation offers no benefit. Randomized control trials of treatment protocol in women with thrombophilia and pregnancy is needed. Stroke is a recognized complication of pregnancy, has to be taken care of. Stroke in young adults aged 15–35 years is more common in females with poorer outcome in terms of disability and outcome. Most pregnancy related stroke occurs in peripartum and puerperium. [3] Cerebral venous thrombosis is a rare complication during pregnancy or the puerperium. [4] The cerebrovascular system may be primarily involved in young adults suffering from anticoagulants deficiency. [5] Considering the importance of prothrombotic state, especially caused by deficiency of protein S, any patient presenting with features of cerebrovascular accidents should be thoroughly investigated for any natural anticoagulants deficiency, in whom no other etiologic factors can be determined. [6] Hence, thrombophilia screening might be justified in women with pregnancy loss, and treatment with low molecular weight heparin might be considered for those with pregnancy loss and thrombophilia. [7] Women with thrombophilia are also more prone to venous thrombo embolism in pregnancy and puerperium. [8] Although initial results on use of thrombolysis in pregnancy have been encouraging, further evaluation with regard to maternal and fetal risk is warranted.


Conclusion

We report a rare case of stroke during pregnancy which has the protein C and protein S deficiency as its precipitating cause. Stroke in young adults aged 15–35 years is more common in females with poorer outcome in terms of disability and outcome. Hence, women with venous thromboembolism during pregnancy and especially those with thrombophilia need proper management, based on the type of defect, the detailed family history and the presence of any additional risk factors.


References
  1. Soare AM, Popa C. Deficiencies of proteins C, S and antithrombin and factor V Leiden and the risk of ischemic strokes. J Med Life 2010 Jul-Sep;3(3):235–8.   [Pubmed]    Back to citation no. 1
  2. Davie CA, O'Brien P. Stroke and pregnancy. J Neurol Neurosurg Psychiatry 2008 Mar;79(3):240–5.   [CrossRef]   [Pubmed]    Back to citation no. 2
  3. Salonen Ros H, Lichtenstein P, Bellocco R, Petersson G, Cnattingius S. Increased risks of circulatory diseases in late pregnancy and puerperium. Epidemiology 2001 Jul;12(4):456–60.   [CrossRef]   [Pubmed]    Back to citation no. 3
  4. Klai S, Fekih-Mrissa N, Mrissa R, Rachdi R, Gritli N. Maternal cerebral venous thrombosis, uncommon but serious disorder, pathologic predictors and contribution of prothrombotic abnormalities. Blood Coagul Fibrinolysis 2013 Apr;24(3):269–72.   [CrossRef]   [Pubmed]    Back to citation no. 4
  5. Martinez HR, Rangel-Guerra RA, Marfil LJ. Ischemic stroke due to deficiency of coagulation inhibitors. Report of 10 young adults. Stroke 1993 Jan;24(1):19–25.   [CrossRef]   [Pubmed]    Back to citation no. 5
  6. Barinagarrementeria F, Cantú-Brito C, De La Peña A, Izaguirre R. Prothrombotic states in young people with idiopathic stroke. A prospective study. Stroke 1994 Feb;25(2):287–90.   [CrossRef]   [Pubmed]    Back to citation no. 6
  7. Pabinger I. Thrombophilia and its impact on pregnancy. Thromb Res 2009;123 Suppl 3:S16–21.   [CrossRef]   [Pubmed]    Back to citation no. 7
  8. Vormittag R, Pabinger I. Thrombophilia and pregnancy complications. Hamostaseologie 2006 Jan;26(1):59–62.   [Pubmed]    Back to citation no. 8

[HTML Abstract]   [PDF Full Text]

Author Contributions
Snigdha Kumari – Substantial contributions to conception and design, Acquisition of data, Analysis and interpretation of data, Drafting the article, Revising it critically for important intellectual content, Final approval of the version to be published
Ashok Kumar Biswas – Drafting the article, Revising it critically for important intellectual content, Final approval of the version to be published
Sukanta Misra – Drafting the article, Revising it critically for important intellectual content, Final approval of the version to be published
Guarantor of submission
The corresponding author is the guarantor of submission.
Source of support
None
Conflict of interest
Authors declare no conflict of interest.
Copyright
© Snigdha Kumari et al. 2014; This article is distributed the terms of Creative Commons Attribution License which permits unrestricted use, distribution and reproduction in any means provided the original authors and original publisher are properly credited. (Please see Copyright Policy for more information.)



About The Authors

Snigdha Kumariis a Resident Surgeon in the department of obstetrics and gynecology at Vivekananda Institute of Medical Sciences, Kolkata, India, a Postgraduate institute and one of the apex referral centre. She is actively involved in the academic activities of the institute. Her field of interest is induction of labour, management of failed induction of labour, minimal invasive gynecological surgical intervention.