Table of Contents    
Case Report
 
Choroidal metastasis from breast cancer in a male patient treated successfully with systemic chemotherapy
Aymen Lagha1, Mouna Ayadi1, Leila Largueche2, Sarra Krimi1, Nesrine Chraiet1, Bassem Allani1, Hela Rifi1, Henda Raies1, Leila Elmatri2, Amel Mezlini1
1Department of Medical oncology, Salah Azaiez Institute, Boulevard du 9 Avril, Bab Saadoun 1006 Tunis, Tunisia.
2Department of Ophthalmology B, Hedi Raies Institute, Boulevard du 9 Avril, Bab Saadoun 1006 Tunis, Tunisia.

doi:10.5348/ijcri-2012-07-141-CR-2

Address correspondence to:
Aymen Lagha, MD
Department of Medical Oncology, Salah Azaiez Institute
Boulevard du 9 avril
Bab saadoun, 1006 Tunis
Tunisia
Phone: +21624440097
Email: aymen.lagha@hotmail.com

[HTML Abstract]   [PDF Full Text]

How to cite this article:
Lagha A, Ayadi M, Largueche L, Krimi S, Chraiet N, Allani B, Rifi H, Raies H, Elmatri L, Mezlini A. Choroidal metastasis from breast cancer in a male patient treated successfully with systemic chemotherapy. International Journal of Case Reports and Images 2012;3(7):6–10.


Abstract
Introduction: To present a case of chemotherapeutic regression of metastasis of breast carcinoma to the choroid in a male patient.
Case Report: A 63-year-old male, with a past medical history of breast cancer, presented with blurred vision and progressive loss of visual acuity. Fundoscopy of the right eye revealed a choroidal mass in the upper temporal arcade associated with pigment epithelium impairment. Optic disc was normal and macular edema was not present. The patient was treated with systemic chemotherapy (epirubicin, cyclophosphamide, 5-fluorouracil), every three weeks, for six cycles. Five months into treatment, the patient reported a partial improvement in visual symptoms. A complete regression of the choroidal mass was noted with both magnetic resonance imaging and fundoscopy.
Conclusion: In male as in female patients, breast carcinoma may metastasize to the choroid. Such metastasis must be suspected whenever a patient with a past history of breast cancer suffers from impaired vision. An In male as in female patients, breast carcinoma may metastasize to the choroid. Such metastasis must be suspected whenever a patient with a past history of breast cancer suffers from impaired vision. An appropriate ophthalmologic examination including fundoscopy should be performed. Treatment strategy is still based essentially on radiotherapy and should be modified individually depending on size, localization and presence of metastases to other organs and general condition of the patient.

Key Words: Breast cancer, Choroidal metastasis, Chemotherapy


Introduction

Choroidal metastases are considered the most common intraocular malignancy in adults. [1] [2] The primary site may be anywhere, but the highest incidence is from breast cancer in women and lung cancer in men. [3] Male breast cancer is very rare; it represents approximately less than 1% of all breast cancers, [4] making the diagnosis of choroidal metastasis from breast cancer in males a rarer event. According to the literature, treatment of such metastases is usually based on radiotherapy alone or in combination with systemic chemotherapy or anti-estrogen therapy. [1] [3] We report an uncommon case of breast cancer being the source of choroidal metastasis in a male patient which was treated with systemic chemotherapy alone and resulted in partial resolution of symptoms.


Case Report

A 63-year-old man presented with blurred vision and a progressive loss of visual acuity for approximately two weeks. Medical history was remarkable for infiltrating breast carcinoma with negative complete work-up, for which he has had mastectomy, radiation therapy and chemotherapy in 2009. Ophthalmic examination showed exophthalmos of the right eye without ptosis. Ocular motility was normal. Best corrected visual acuity was (BCVA) 3/10 on the right eye and 7/10 on the left eye. Anterior segment examination was normal on both eyes with no dense cataracts observed. Fundoscopy under pupil dilatation in the right eye revealed an ill-defined choroidal mass in the upper temporal arcade, impinging on the macula and surrounding the papilla. The mass was associated with pigment epithelium impairment and normal optic discs, without macular edema. Fundoscopy in the left eye did not reveal any tumor. Standardized B-scan ultrasonography of the right eye revealed a posterior, hyperechogenic tumor of the choroid with secondary retinal detachment associated with choroidal thickening (Figure 1). Indocyanine green chorioangiography (ICG) was unremarkable in the left eye, but revealed a tumor in the right eye (Figures 2, 3). Magnetic resonance imaging (MRI) revealed a right ocular expansive lesion with non-circumferential posterior choroidal thickening (Figure 4).

According to these findings, a diagnosis of choroidal metastasis from breast cancer was established. A complete workup did not show any evidence of distant metastasis.

The patient refused to be treated with radiotherapy due the risk of complications of such treatment and he received systemic chemotherapy every three weeks for six cycles, (epirubicin 100 mg/m2, cyclophosphamide 500 mg/m2, 5-fluorouracil 500 mg/m2). Five months into treatment, the patient reported a decrease in symptoms, his BCVA improved to 6/10 and the choroidal lesion showed complete regression on both MRI and fundoscopy (Figures 5, 6, 7).


Click below to enlarge
Figure 1: Standardized B-scan ultrasonography of the right eye showing a posterior, hyperechogenic tumor of the choroid with secondary retinal detachment associated with choroidal thickening.



Click below to enlarge
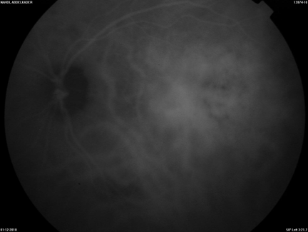
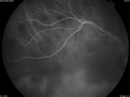
Figure 2: ICG of the left eye had normal vessels and did not reveal any pathologic findings.



Click below to enlarge
Figure 3: ICG of the right eye showed a large area of hypofluorescence.



Click below to enlarge
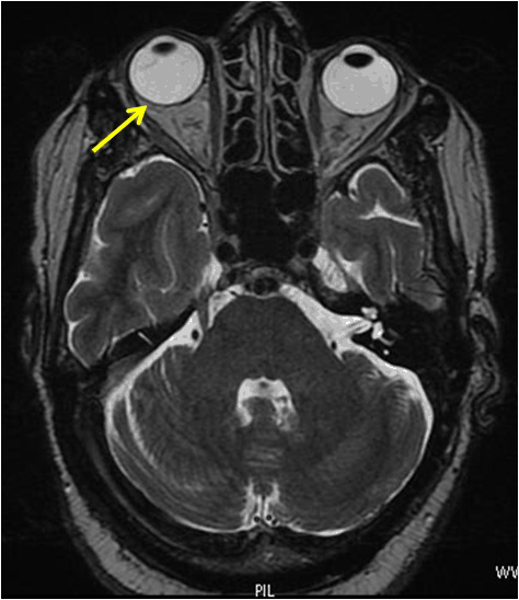
Figure 4: Axial MRI (T2-weighted) revealed a choroidal mass in the right eye (arrow).



Click below to enlarge
Figure 5: Dilated fundus examination of the right eye after one cycle of chemotherapy showing the beginning of chorioretinal atrophy.



Click below to enlarge
Figure 6: Dilated fundus examination of the right eye after treatment (six cycles of chemotherapy) showing a large area of chrorioretinal atrophy of the posterior pole and the upper temporal arcade without serous macular detachment, and normal papilla.



Click below to enlarge
Figure 7: Axial MRI (T2-weighted) five months after initiation of therapy showing a complete regression of the choroidal mass (arrow).



Discussion

Breast cancer accounts for 39–49% of all uveal metastases, [2] and the choroid represents the most common site of uveal involvement by metastatic disease, [5] likely because of its highly vascular structure and relatively slow blood flow allowing for hematogenous spread. In fact, the true incidence of choroidal metastases from breast cancer is underestimated due to the lack of routine ocular screening for all breast cancer patients, [5] the late onset in the course of the disease and other predominant systemic symptoms. [6] It has been estimated that in the United States, approximately 25 cases of choroidal metastasis can be expected per year in men with breast cancer. [7] To the best of our knowledge, only 23 cases of choroidal metastasis from breast carcinoma, in men, were reported in literature. The mean age at discovery of choroidal metastasis and the mean interval from diagnosis of primary cancer were respectively 57.5 and 13.5 years. [6] Choroidal metastasis can be unilateral or bilateral and unifocal or multifocal. [6] Breast cancer metastases have the greatest likelihood of occurring multifocally and bilaterally, with 33% patients afflicted in both eyes [1].

Ocular metastasis from breast cancer may be either the initial manifestation or the initial site of systemic metastasis or preceded by metastases to other organs. [5] [6] Furthermore, the dissemination of breast cancer to more than one organ and the presence of lung and brain metastases were significant risk factors for choroidal metastasis. [8]

Only a minority of patients with choroidal metastasis are asymptomatic, likely due to other predominant systemic symptoms consistent with other metastases. Painless blurred vision is the most common symptom. [1] Other presenting symptoms may include flashes and floaters, pain, field defects or metamorphopsia. [1]

Choroidal metastases from breast cancer are typically, yellow in color, plateau shaped, with a mean thickness of only two mm in the largest tumor focus. [1] According to Zographos, [9] there are two different forms of choroidal metastasis, the nodular form which represents usually a well-limited tumor and the diffuse form which is an ill-defined mass with pseudopod-like shape. In fact, it is difficult to specify the limits of the tumor in the diffuse form. In this case, we were unable to define with precision the limits of the lesion. Choroidal metastasis may be associated with detachment of the retina and alterations of the retinal pigment epithelium. B-scan ultrasonography is the most valuable tool which visualizes shape, size, extent of the tumor and associated retinal detachment. Fine-needle aspiration biopsy or biopsies with a vitreous cutter are often not performed due to the risk of either intraocular or extraocular tumor spread. [10]

Differential diagnosis include amelanotic nevi, choroidal hemangioma, posterior scleritis, choroidal osteoma, rhegmatogenous retinal detachment and a host of inflammatory conditions, such as cytomegalovirus retinitis or fungal choroiditis. [11] However, the most important diagnosis to rule out is a primary choroidal melanoma. In fact, primary melanomas are darkly pigmented or amelanotic, collar button shaped, unilateral and unifocal, may occur anywhere and do not have affinity for the posterior choroid. [11]

After the diagnosis of choroidal metastasis, the patient should be referred to an ocular oncologist familiar with the treatment options. The choice of treatment depends on the general health of the patient, tumor size and activity, patient symptoms, presence of other metastatic sites, visual impact of the tumors as well as treatment itself. The most commonly performed treatments are external beam radiotherapy, episcleral plaque brachytherapy or proton beam therapy. Systemic chemotherapy or anti-estrogen therapy may represent another option. [5] [6] Usually, if there is no evidence of systemic metastases, radiotherapy based treatment can be limited to the eye, [5] especially if the metastasis is active and vision threatening. [12] Plaque therapy may be especially warranted in the case of solitary uveal metastasis. [13] In case of widespread disease, systemic treatment may represent a better alternative. [6] In fact, treatment with radiotherapy induces several side effects including anterior and posterior segment manifestations, e.g dry eyes, cataract, radiation optic neuropathy and radiation neuropathy. [13] [14] Systemic chemotherapy or anti-estrogen therapy has been shown to be an effective treatment for choroidal metastases. [15] [16] In this case, we observed a partial resolution of symptoms with chemotherapy alone. Based on the results of this case, we can conclude that chemotherapeutic agents could be effective against choroidal metastases from breast cancer. In case of refusing radiotherapy, such patients may be treated solely with systemic chemotherapy which represents a better alternative. Lastly, enucleation as a radical treatment is reserved for blind, painful eyes usually due to neovascular glaucoma.

After treatment, these patients should be monitored every three to four months with regular dilated fundoscopic examinations due to the risk of recurrence and contralateral choroidal metastasis and whenever in doubt, an ICG angiography should be performed.

As reported in the literature, patients with choroidal metastasis from breast cancer have a poor prognosis with a mean survival following the diagnosis of about 21 months. [5]


Conclusion

In male as in female patients, breast cancer cells may metastasize to the choroid and such metastases should be suspected whenever a patient with a past medical history of breast cancer presents with blurred vison. An appropriate ophthalmology exam with at least fundoscopy should be indicated. An awareness of the signs and symptoms is necessary for prompt recognition of these metastases in order to establish the appropriate therapeutic management and improve vision and quality of life. Treatment strategy is still based essentially on radiotherapy and should be considered individually depending on size, localization, presence of metastases to other organs and general condition of the patient.


References
  1. Shields CL, Shields JA, Gross NE, Schwartz GP, Lally SE. Survey of 520 eyes with uveal metastases. Ophthalmology 1997;104:1265–76.   [Pubmed]    Back to citation no. 1
  2. Albert DM, Rubenstein RA, Scheie HG. Tumor metastasis to the eye. Part I: Incidence in 213 adult patients with generalized malignancy. Am J Ophthalmol 1967;63:723–6.   [Pubmed]    Back to citation no. 2
  3. Tsou Chong J, Mick A. Choroidal metastasis: case reports and review of the literature. Optometry 2005;76:293–301.   [CrossRef]   [Pubmed]    Back to citation no. 3
  4. Giordano SH, Buzdar AU, Hortobagyl GN. Breast cancer in men. Ann Inter Med 2002;137:678–7.   [Pubmed]    Back to citation no. 4
  5. Demirci H, Shields CL, Chao AN, Shields JA. Uveal metastasis from breast cancer in 264 patients. Am J Ophthalmol 2003;136:264–71.   [CrossRef]   [Pubmed]    Back to citation no. 5
  6. Hood TC, Budd TG, Zakov N, Singh DA. Male breast carcinoma metastatic to the choroid: report of 3 cases and review of the literature. Eur J Ophthalmol 2011;21(4):459–67.   [CrossRef]   [Pubmed]    Back to citation no. 6
  7. Kreusel KM, Heimann H, Wiegel T, Bornfeld N, Foerster MH. Choroidal metastasis in men with metastatic breast cancer. Am J Ophthalmo 1999;12B:253–5.   [CrossRef]   [Pubmed]    Back to citation no. 7
  8. Wiegel T, Kreusel KM, Bornfeld N, et al. Frequency of asymptomatic choroidal metastasis in patients with disseminated breast cancer: Results of a prospective screening programme. Br J Ophthalmol 1998;82:1159–61.   [CrossRef]   [Pubmed]    Back to citation no. 8
  9. Zografos L. Tumeurs Intraoculaires. Rapport de la SFO 2002:647–53.    Back to citation no. 9
  10. Bechrakis NE, Foerster MH, Bornfeld N. Biopsy in indeterminate intraocular tumors. Ophthalmol 2002;109:235–42.   [CrossRef]   [Pubmed]    Back to citation no. 10
  11. McMackin KN. Choroidal metastasis: A case report. Clinical Eye and Vision Care 1998;10:27–33.    Back to citation no. 11
  12. Shields JA, Shields CL, Ehya H, Eagle RC Jr, De Potter P. Fine-needle aspiration biopsy of suspected intraocular tumors. The 1992 Urwick Lecture. Ophthalmology 1993;100:1677–84.   [Pubmed]    Back to citation no. 12
  13. Shields CL, Shields JA, De Potter P, et al. Plaque radiotherapy for the management of uveal metastasis. Arch Ophthalmol 1997;115:203–9.   [CrossRef]   [Pubmed]    Back to citation no. 13
  14. Rudoler SB, Corn BW, Shields CL, et al. External beam irradiation for choroid metastases: identification of factors predisposing to long-term sequelae. Int J Radiat Oncol Biol Phys 1997;38:251–6.   [CrossRef]   [Pubmed]    Back to citation no. 14
  15. Paoli D. Regression of choroidal metastasisfrom a carcinoma of the male breast: case report. Ophthalmologica 1998;212(Suppl1):S74–6.   [Pubmed]    Back to citation no. 15
  16. Cohen VM. Moosavi R, Hungerford JL. Tamoxifen induced regression of a choroidal metastasis in a man. Arch Ophthalmol 2005;123:1154–4.   [CrossRef]   [Pubmed]    Back to citation no. 16
[HTML Abstract]   [PDF Full Text]

Author Contributions:
Aymen Lagha – Substantial contributions to conception and design, Acquisition of data, Analysis and interpretation of data, Drafting the article and revising it critically for important intellectual content, Final approval of the version to be published
Mouna Ayadi – Substantial contributions to conception and design, Drafting the article, Final approval of the version to be published
Leila Largueche – Substantial contributions to analysis and interpretation of data, Drafting the article, Final approval of the version to be published
Sarra Krimi – Substantial contributions to conception and design, Acquisition of data, Revising the article critically for important intellectual content, Final approval of the version to be published
Nesrine Chraiet – Substantial contributions to conception and design, Drafting the article, Final approval of the version to be published
Bassem Allani – Substantial contributions to conception and design, Drafting the article, Final approval of the version to be published
Hela Rifi – Substantial contributions to analysis and interpretation of data, Drafting the article, Final approval of the version to be published
Henda Raies – Substantial contributions to analysis and interpretation of data, Drafting the article, Final approval of the version to be published
Leila Elmatri – Substantial contributions to acquisition of data, Drafting the article, Final approval of the version to be published
Amel Mezlini – Substantial contributions to conception and design, Acquisition of data, Revising the article critically for important intellectual content, Final approval of the version to be published
Guarantor of submission:
The corresponding author is the guarantor of submission.
Source of support:
None
Conflict of interest:
Authors declare no conflict of interest.
Copyright:
© Aymen Lagha et al. 2012; This article is distributed the terms of Creative Commons Attribution License which permits unrestricted use, distribution and reproduction in any means provided the original authors and original publisher are properly credited. (Please see Copyright Policy for more information.)