Table of Contents    
Case Series
 
Papillon Lefevre syndrome: A periodontist approach
Jayachandran Dorairaj1, Sunantha Selvaraj2, Mohammed Sadique2, Michael Shaw3, Sachin Kumar Amruthlal Jain3
1Department of periodontics, Vinayaka Missions Sankarachariyar Dental College, Salem, Tamilnadu, India.
2Department of Prosthodontics, Vinayaka Missions Sankarachariyar Dental College, Salem, Tamilnadu, India.
3Department of Internal Medicine, Providence Hospital and Medical Centers, Southfield, MI, USA.

doi:10.5348/ijcri-2012-07-140-CS-1

Address correspondence to:
Sachin Kumar Amruthlal Jain, MD
Department of Internal Medicine, Providence Hospital and Medical Centers
16001 W. Nine Mile Road
Southfield, MI 48075
USA
Phone: 248 849 3968
Fax: 248 849 3151
Email: doctorsachin@gmail.com

[HTML Abstract]   [PDF Full Text]

How to cite this article:
Dorairaj J, Selvaraj S, Sadique M, Shaw M, Jain SKA. Papillon Lefevre syndrome: A periodontist approach. International Journal of Case Reports and Images 2012;3(7):1–5.


Abstract
Introduction: Papillon-Lefevre Syndrome (PLS) is a rare autosomal recessive disorder of keratinisation, characterized by palmoplantar hyperkeratosis, periodontitis and early loss of dentition. Since these features are common to both dentistry and dermatology, members of both disciplines should be aware of the same because an early diagnosis of this condition can help to preserve the teeth by early institution of treatment, using a multidisciplinary approach.
Case Series: The authors here present two cases of Papillon-Lefevre syndrome in siblings, having all of the characteristic features, along with a comprehensive review of the etiology, pathology, clinical features, differential diagnosis and management of the condition.
Conclusion: The main priority of physician's strategy is to refer the PLS patients at the earliest to a periodontist for the periodontal management of permanent dentition. Based on the previously reported series and our clinical experience, non-surgical periodontal therapy yielded better results when started immediately after the extraction of deciduous dentition.

Key Words: Palmoplantar hyperkeratosis, Papillon Lefevre syndrome, Periodontitis


Introduction

Papillon Lefevre syndrome (PLS), also known as palmo-plantar keratoderma with periodontitis, is an inherited disorder of keratinisation. It was first described by two French physicians, Papillon and Lefevre in 1924. [1] It is characterized by redness and thickening of the palms and soles, along with extensive loss of periodontal attachment structures accompanied by generalized, rapid destruction of the alveolar bone around both the deciduous and permanent teeth. [2] Gorlin et al. stated that the calcification of dura mater is a third component of the syndrome. [3] The prevalence of PLS is 1–4 per million individuals with both males and females being equally affected. There is no racial predominance. A genetic predisposition, with a greater frequency of occurrence in consanguineous offspring has been reported. [4] Periodontitis, the second most common feature of PLS starts at age of three or four years. [5] The eruption pattern and the development of the deciduous teeth proceed normally, but their eruption is always associated with gingival inflammation and a subsequent bone loss around those teeth. The resulting periodontitis is characteristically unresponsive to traditional periodontal treatment modalities and the primary dentition is usually exfoliated prematurely by age of four years. The inflammation subsides immediately after the exfoliation of the primary teeth and the gingiva appears healthy. However, with the eruption of the permanent dentition the process of gingivitis and periodontitis is usually repeated and there is subsequent premature exfoliation of the permanent teeth, although the third molars are sometimes spared. [6] [7] Severe resorption of alveolar bone gives the teeth a 'floating-in-air' appearance on dental panoramic radiographs. [8] The severity of dermatologic involvement may not be related to the level of periodontal infection. [9] In addition to the skin and oral findings, patients may have decreased neutrophil, lymphocyte, or monocyte functions and an increased susceptibility to bacteria, associated with recurrent pyogenic infections of the skin. [10] Here we report a case of siblings with PLS, one female aged 26 years and the other male aged 15 years.


Case Series

Case 1: A 15-year-old male patient came to the department of periodontia, complaining of mobile anterior teeth and difficulty in eating since a year, due to the exfoliation of all the permanent teeth, excluding three mobile anterior teeth. Going through the past dental history, the patient had an early loss of primary teeth with a sequential loss of permanent teeth due to excessive mobility. The family history also revealed the fact of consanguineous marriage of the parents. He also revealed that his sister aged 26 (case 2) was also affected with the same disease. The mother had noticed skin lesions on the palms and soles of the children when they were one year old. On general examination of the patients, it was noted that they had normal overall physical and mental development.

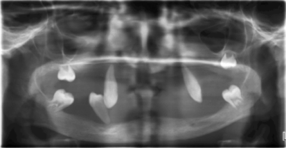
Physical examination revealed symmetrical, well demarcated, yellow keratotic plaques on the skin of the palms and soles, which extended to the dorsal surface of the finger joints and also over the dorsal surface of the feet. These keratotic plaques on the skin were dry, scaly and rough on palpation (Figure 1). On intra-oral examination, it was found that except for the canine and the erupting lower third molar, all the other permanent tooth including the left lower canine were missing. (Figure 2). Mobility was present in all permanent canines that were present. The gingiva in relation to the existing permanent tooth was red, edematous with marked clinical attachment loss. Despite the severity of the periodontal involvement, no visible local factors were found. The mucosa of the edentulous area near the periodontally involved teeth was normal. The dental panoramic radiograph showed severe alveolar bone loss in relation to the existing permanent teeth up to the apical third of the roots, giving the teeth a 'floating in air' appearance (Figure 3). The lateral view of the skull radiograph showed no evidence of intracranial calcification. Since the prognosis was very poor for the remaining permanent teeth, complete extraction of the mobile teeth, with subsequent prosthetic rehabilitation was advised.


Click below to enlarge
Figure 1: Severe dermatological keratotic plaques of the hands and feet in the male patient (case 1).



Click below to enlarge
Figure 2: Oral cavity with loss of several permanent teeth in the male patient (case 1).



Click below to enlarge
Figure 3: The dental radiograph showing severe alveolar bone loss giving the teeth "floating in air" appearance in the male patient (case 1).


Case 2: A 26-year-old woman came to our department on the request of her brother (case 1) for examination for this study. On general examination, it was found that, she had normal physical and mental development. Physical examination revealed symmetrical, but not a well formed keratotic plaques on the skin of the palms and soles. The extension of these plaques to the dorsal surface of the finger joints and also over the dorsal surfaces of the feet was mild and not as marked as in case 1 (Figure 4). She gave a history that the keratotic plaques was marked and well demarcated, similar to her brother but later, the keratotic plaques were peeled from the skin surface after applying a medicine given to her by her dermatologist. On intra-oral examination, it was found that she was wearing a complete denture set for ten years. All her permanent tooth were lost at the age of 15, except her lower third molar, which persisted with marked inflammation around the tooth (Figure 5). The edentulous area other than the lower third molar was normal with out any inflammation. The dental panoramic radiograph showed severe bone loss in relation to the lower third molar and the resorption of the ridge was severe (Figure 6). The lateral view of the skull radiograph showed no evidence of intracranial calcification.


Click below to enlarge
Figure 4: Showing the dermatological keratotic plaques of the hands and feet in the female patient (case 2).



Click below to enlarge
Figure 5: Showing the oral cavity with loss of several permanent teeth in the female patient (case 2).



Click below to enlarge
Figure 6: The dental radiograph showing severe alveolar bone loss giving the teeth "floating in air" appearance in the female patient (case 2).


Discussion

Papillon Lefevre syndrome can drastically affect the psychology of children because of social and esthetical problems. Hence, early dental evaluation and parental counseling as a part of preventive dental treatment is needed. A multidisciplinary approach is needed for providing a complete psychological rehabilitation to improve the prognosis and quality of life for PLS children.

Although the etiology of PLS remains relatively obscure, Hattab et al. classified the etiology into three types: immunologic, microbiologic, and genetic factors. From an immunologic point of view, an impaired neutrophil chemotaxis, phagocytosis and bactericidal activities accompanied by a decrease in cell migration was noted. [11] [12] The immune mediated mechanisms such as lymphocytic response to pathogens, helper/suppressor T cells ratio and monocytic function were also impaired in this syndrome. Microbiologically, the presence of virulent gram negative anaerobic pathogens (Actinobacillus actinomycetumcomitans) in the periodontal pockets and periodontal plaques are noted, which might act as a trigger factors. [13] Previous case reports and studies have reported that A. actinomycetumcomitans plays a important role in the pathogenesis and progression of the rapid periodontal breakdown seen in PLS. [14] In addition to the organism, the presence of leukotoxins, collagenase, endotoxin, epitheliotoxin and fibroblast inhibiting factors suggest that PLS is mediated bacteriologically. [15] Recently genetic factors, have gained importance in the pathogenesis of PLS due to advancements in the field of genetic engineering. The inactivation of the cathepsin C gene is recently noted as the primary factor that is responsible for the abnormalities in skin development and periodontal disease progression. [6] An interesting point about the cathepsin C gene is that mutations in this gene also results in two closely related conditions: i) Haim-Munk syndrome, and ii) aggressive periodontitis. A common clinical manifestation in all three conditions is the severity and the early onset of periodontal destruction. Genetic testing to identify the gene mutation was not performed in our patients because of their low economic status but the periodontal, dermatological and radiological features strongly favor diagnosis of PLS. Moreover, the sibling we reported here were also associated with consanguinity of parents, which again supports our diagnosis of PLS. No family history for our cases was present, so the autosomal recessive pattern of inheritance was strongly proven. Recent studies have shown that PLS syndrome is manageable and that the permanent teeth can be saved. [2] Medications to prevent and control microbial attack and steps to conserve the periodontium should always be given priority before the disease process exceeds the clinical therapeutic limits. Mc Donald et al. have put forward the following guidelines for the successful management of PLS cases. It includes: i) extraction of all deciduous dentition, ii) construction of complete dentures three months after the removal of primary teeth, iii) prophylactic doses of tetracycline for 10 days immediately after the denture insertion, iv) adjustment of denture bases to allow for the emergence of the permanent dentition followed by another therapeutic dose of the tetracycline. [16] Tetracycline should be administered at a dosage of 250 mg four times daily for one month.


Conclusion

In cases of PLS, early referral to the dentist to permit proper diagnosis as well as management of patient's oral condition is important. The periodontist and prosthodontist should be referred for the successful management of PLS. The periodontal management of the patients includes the conventional periodontal therapy, oral hygiene instructions and systemic antibiotics.


References
  1. Papillon MM, lefevre P. Two cases of symmetrical, familial (meleda's malady) palmar and plantar keratosis of brother and sister: coexistence in two cases with serious dental changes (in French). Bull soc Fr dermatol syphiligr 1924;31:82–7.    Back to citation no. 1
  2. French D, Scott H, Overall CM. papillon lefevre syndrome associated early onset periodontitis: A review and case study. J can dent Assoc 1995;61(5):432–8.   [Pubmed]    Back to citation no. 2
  3. Gorlin RJ, sedano H, Anderson VE. The syndrome of palmar-plantar hyperkeratosis and premature periodontal destruction of the teeth: A clinical and genetic analysis of the papillon-lefevre syndrome. J Pediatr 1964;65:895–908.   [Pubmed]    Back to citation no. 3
  4. Haneke E. The papillon lefevre syndrome: Keratosis palmoplantaris with periodontopathy: Report of a case and review of the cases in the literature. Hum Genet 1979;51(1):1–35.   [Pubmed]    Back to citation no. 4
  5. Siragusa M, Romano C, Batticane N, Batolo D, Schepis C. A new family with Papillon-Lefévre syndrome: effectiveness of etretinate treatment. Cutis 2000 Mar;65(3):151–5.   [Pubmed]    Back to citation no. 5
  6. Hart TC, Hart PS, Bowden DW, et al. Mutations of the cathepsin C gene are responsible for Papillon-Lefévre syndrome. J Med Genet 1999 Dec;36(12):881–7.   [Pubmed]    Back to citation no. 6
  7. Haneke E. The Papillon-Lefévre syndrome: keratosis palmoplantaris with periodontopathy. Report of a case and review of the cases in the literature. Hum Genet 1979 Sep 2;51(1):1–35.   [Pubmed]    Back to citation no. 7
  8. Mahajan VK, Thakur NS, Sharma NL. Papillon-lefevre syndrome. Indian pediatr 2003;40(12):1197–200.   [Pubmed]    Back to citation no. 8
  9. Ullbro C, Crossner CG, Nederfors T, Alfadley A, Thestrup-Pedersen K. Dermatologic and oral findings in a cohort of 47 patients with Papillon- Lefévre syndrome. J Am Acad Dermatol 2003 Mar;48(3):345–1.   [CrossRef]   [Pubmed]    Back to citation no. 9
  10. Almuneef M, Al Khenaizan S, Al Ajaji S, Al-Anazi A. Pyogenic liver abscess and Papillon-Lefévre syndrome: not a rare association. Pediatrics 2003 Jan;111(1):e85–8.   [CrossRef]   [Pubmed]    Back to citation no. 10
  11. Liu R, Cao C, Meng H, Tang Z. Leukocyte functions in 2 cases of Papillon-Lefévre syndrome. J Clin Periodontol 2000;27(1):69–73.   [CrossRef]   [Pubmed]    Back to citation no. 11
  12. Lundgren T, Parhar RS, Renvert S, Tatakis DN. Impaired cytotoxicity in Papillon-Lefévre syndrome. J Dent Res 2005;84(5):414–7.   [CrossRef]   [Pubmed]    Back to citation no. 12
  13. Gonzalez JR, Chabrier L, Rodriguez RJ. Papillon-lefevre syndrome: a case report and review of the literature. P R Health sci J 1997;16(3):279–81.   [Pubmed]    Back to citation no. 13
  14. Wara-aswapati N, Lertisirivorakul J, Nagasawa T, Kawashima Y, Ishikawa I. Papillon-lefevre syndrome: serum immunoglobulin G (IgG) subclass antibody response to pariodontopathic bacteria: A case report. J Periodontal 2001;72(12):1747–54.   [CrossRef]   [Pubmed]    Back to citation no. 14
  15. Hattab FN, Rawashdeh MA, Yassin OM, al-Momani AS, al-Ubosi MM. Papillon lefevre syndrome: A review of literature and report of 4 cases. J periodontal 1995;66(5):413–20.   [CrossRef]   [Pubmed]    Back to citation no. 15
  16. Baer PN, McDonald RE. Suggested mode of periodontal therapy for patients with papillon lefevere syndrome. Periodontal Case Rep 1981;3(1):10.   [Pubmed]    Back to citation no. 16
[HTML Abstract]   [PDF Full Text]

Author Contributions:
Jayachandran Dorairaj - Substantial contributions to conception and design, Acquisition of data, Analysis and interpretation of data, Drafting the article or revising it critically for important intellectual content, Final approval of the version to be published
Sunantha Selvaraj - Substantial contributions to conception and design and interpretation of data, Drafting the article, Final approval of the version to be published
Mohammed Sadique - Substantial contributions to conception, and analysis, Drafting the article or revising it critically for important intellectual content, Final approval of the version to be published
Michael Shaw - Substantial contributions to design and interpretation of data, Drafting the article or revising it critically for important intellectual content, Final approval of the version to be published
Sachin Kumar Amruthlal Jain - Substantial contributions to interpretation of data, Drafting the article or revising it critically for important intellectual content, Final approval of the version to be published
Guarantor of submission:
The corresponding author is the guarantor of submission.
Source of support:
None
Conflict of interest:
Authors declare no conflict of interest.
Copyright:
© Jayachandran Dorairaj et al. 2012; This article is distributed the terms of Creative Commons Attribution License which permits unrestricted use, distribution and reproduction in any means provided the original authors and original publisher are properly credited. (Please see Copyright Policy for more information.)