Case Report
 
One-stage laparoscopic surgery for left renal cell carcinoma and cecal cancer
Satoshi Tokuda1, Hajime Orita1, Hiroshi Maekawa1, Kentaro Imaizumi2, Kazuhiko Fujita2, Koichi Sato1
1Department of Surgery, Juntendo Shizuoka Hospital, Shizuoka, Japan
2Department of Urology, Juntendo Shizuoka Hospital, Shizuoka, Japan

Article ID: 100908Z01ST2018
doi: 10.5348/100908Z01ST2018CR

Corresponding Author:
Hajime Orita, MD,
Department of Surgery, Juntendo Shizuoka Hospital,
Shizuoka, Japan, Nagaoka 1129,
Izunokuni-shi, Shizuoka-ken, Japan 410-2295

Access full text article on other devices

  Access PDF of article on other devices

[HTML Abstract]   [PDF Full Text] [Print This Article]
[Similar article in PubMed] [Similar article in Google Scholar]



How to cite this article
Tokuda S, Orita H, Maekawa H, Imaizumi K, Fujita K, Sato K. One-stage laparoscopic surgery for left renal cell carcinoma and cecal cancer. Int J Case Rep Images 2018;9:100908Z01ST2018.


ABSTRACT

Introduction: Laparoscopic surgery has been utilized in the fields of gastroenterology, urology and gynecology for the last decade. Colorectal cancer and renal cell carcinoma are becoming more common, and syncronous cases are possible. Laparoscopic surgery for colon cancer and renal cell carcinoma are stylized operations, while the concurrent operation by laparoscopy is rare. In this report, we describe a case of simultaneous laparoscopic surgery for a left renal cell carcinoma and cecal cancer. In this operation, we created new locations for the trocars.

Case Report: An 83-year-old man was diagnosed with cecal and left renal cell carcinomas. He was of an advanced age, therefore one-stage surgery with laparoscopy by urologists was chosen by paying attention to the position of the trocars. The total number of trocars was 7, and the total combined wound length was 12 cm. The operation time was 9 hours 20 minutes. Nevertheless, blood loss was minimal (30 ml), and the postoperative course was uneventful. He was discharged on the 12th hospital day.

Conclusion: We experienced concurrent cancer cases and performed the simultaneous operation safely. Simultaneous laparoscopic surgery for renal cell carcinoma and cecal cancers is feasible and safe in elderly patients.

Keywords: Cecal cancer, Laparoscopic surgery, Renal cell carcinoma


INTRODUCTION

The skill of laparoscopic surgery is well established and its use is increasing in the fields of gastroenterology, urology and gynecology. With the aging of society, patients who have colorectal cancer (CRC) or renal cell carcinoma (RCC) are becoming more common [1]. Colorectal cancer is estimated at 1.4 million cases in 2012 in the world, [1] and approximately 273,000 new cases of kidney cancer are diagnosed worldwide each year [2]. Given these numbers synchronous cases of CRC and RCC are possible. (0.03–4.85%) [3],[4] . Patients with urologic cancer are at high risk of getting colorectal cancer later [5]. Laparoscopic surgeries for colon cancer and renal cell carcinomas are individualized operations (the position of trocars, the procedure of operation), while the collaborative operation by laparoscopy is rare.

We report a case in which simultaneous laparoscopic surgery for left renal cell carcinoma and cecal cancer (right side) was performed. In the operation, we individualized the locations of trocars to achieve minimal invasion for the patient.


CASE REPORT

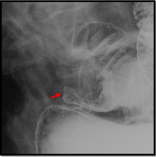
An 83-year-old man, presented with bloody stool to a medical check was diagnosed with cecal cancer after colonoscopy (well differentiated carcinoma was diagnosed after biopsy). He came to our hospital for further examination. A physical examination demonstrated the following characteristics: height 156cm; weight 58 kg; blood pressure 132/77 mmHg; and pulse rate 82 beats /min. His performance status (PS) was 0. A blood test indicated mild anemia (RBC 372x104/ml, Hgb12.7g/dl, Hct 38.4 %); a CA19-9 of 48 U/ml; and a carcino-embryonic antigen (CEA) of 5 ng/ml. Barium enema examination and colonoscopy a showed protruded lesion on the cecum (Figures 1 and 2).

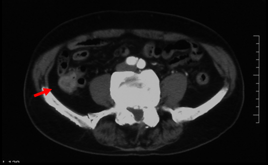
The computed tomography (CT) scan showed contrast effects on the wall of the cecum. In addition, he had a left renal cell carcinoma, which was unexpected (Figure 3). The carcinoma was enhanced in the arterial phase.

He was of an advanced age (83), therefore, one-stage surgery was chosen in order to minimize complications as we believed that sharing the trocars between surgeons would be less invasive for him. Surgery was performed in collaboration with us (gastrointestinal surgeons) and a team of urologists. We did laparoscopy assisted ileocecal resection with a D3 radical lymph node dissection and laparoscopic nephrectomy.

At first, we did a resection of the cecal cancer. The posture was lithotomy position, head-down and left rotation. Intra-abdominal pressure of 15 mmHg was maintained. The points of the trocars for the cecal operation are 12 mm at navel for camera, 5 mm at right subcostal zone, right and left lower abdominal region for forceps and 12 mm at left subcostal zone for forceps. Next the cecal operation, urologists used two 5 mm trocars (right subcostal zone and left lower one) and added two 5mm trocars at scrobiculuscordis and left subcostal zone (Figure 4).

First of all, we separated the mesentery from the ileo-colic artery and cut the roots of ileo colic artery and veinwith absorbent clips. After that, we clipped andcutthe accessory right colic vein to avoid post hemorrhage. There was no right colic artery. Instead we found a right branch of the middle colic artery. We then separated the ureter and the testicular blood vessel from mesentery to dorsal. We confirmed duodenum, exfoliated the front of the horizontal portion and second portion, while paying attention to the pancreas. Next we mobilized the mesentery from the outside of the ascending colon up to the hepatic flexure and the omentum in the middle of transverse colon. We extended the navel incision to 5 cm and brought the ileo-cecum outside of the body. We left 10 cm proximal and distal margins and resected the colon. We did a functional end-to-end anastomosis (with mechanical extracorporeal anastomosis). After closing the navel, right lower and left subcostal zone incisions, we handed the operation over to the urologists.

We added two 5 mm trocars at the scrobiculuscordis and left subcostal zones (slightly above our incision). We used the same two 5 mm trocars (right subcostal zone and left lower one) and changed the position to right lateral. There was a left renal artery and vein. We clipped and cut each one respectively and then exfoliated around the left kidney and removed it from navel incision which was extended (Figure 4). Operation time was 9 hours 20 minutes (colon part was 3 hours 50 minutes) and blood loss was minimal at 30 ml. The postoperative course was uneventful, and he was discharged after twelve days. He had no evidence of recurrence at 5-year follow up.

The resected tissue of the cecal cancer was 40×30×10 mm. One of the ten lymph nodes showed metastasis. All resection margins were free in both procedures. Pathologic classification according to the TNM classification showed an adenocarcinoma, tubular pT3N1M0 stage IIIb. The resected specimen of renal cell carcinoma was clear cell renal cell carcinoma and pathologic classification according to the TNM classification showed pT1N0Mx.


DISCUSSION

An aging society will result more often in patients with two or more concurrent cancers. The common sites with simultaneous presentation of CRC and other cancer in men are stomach, lung and prostate for men (43.8%, 15.3%, 9.6% respectively), while in females are mammary, uterus, and stomach (32.4%, 25.5%, 19.3% respectively). The synchrony of CRC and renal cell carcinoma is about 0.03–4.85% [3],[4].

In this report we describe a combined laparoscopic approach to removing a synchronous CRC and renal cell cancer. This approach has several benefits that include utilize the same trocars that the urologists use which reduces the number of wounds and lessens postoperative pain and two operations were performed at the same time. Especially for elderly people, it is a matter of course that fewer operations are less stressful for patients. In addition, it reduces the total length of the wound. Thus, it has excellent esthetic outcome. On the other hand, there is drawback to doing one-stage surgery.

Gastrointestinal surgeries have a high risk of infections, whereas the urological surgeries are almost all clean operations. The mixture of infected and clean operations is subadequate. In this case, we performed the CRC operation at first, because the urologists were not able to attend the operation from the start. Considering the relative infection risk, it is better to start with the urology’ operation. Another reason for the merit of preceding urologist’s operation is the safety of the colon. Especially, the surgery for ipsilateral colon and kidney, cutting the ureter first makes it easier to do colon surgery.

We searched the literature for simultaneous laparoscopic resection of concurrent CRC and renal carcinoma and found 11 articles. [6], [7], [8], [9], [10], [11], [12], [13], [14], [15], [16] Results are summarized in Table 1. The median of operative time was 300–420 min and median of blood loss was 60–100 ml. 4 of the 9 was combined left-side and right-side laparoscopic procedure. Almost all of the patients were in their 60’s or 70’s. However, our case was 83-year-old (the oldest case reported). Our operation was a combined left-side and right-side laparoscopic procedure; 4 of the 9 reported cases were as well. Operation details were written for 9 of the 11 cases and all 9 indicated the potential of laparoscopic surgery. This case report highlights the benefit of operation with regard to treatment of two neoplasms at same time as well as reduction in the medical cost. One-stage surgery reduces the total medical cost [4].



Cursor on image to zoom/Click text to open image
Figure 1: Barium enema examination shows protruded lesion on the cecum and the lesion was suspected to be tumor. There was no lesion on the colon with the exception of cecum.


Cursor on image to zoom/Click text to open image
Figure 2: Contrast-enhanced computed tomography illustrated cecum wall thickening with contrast effect.


Cursor on image to zoom/Click text to open image
Figure 3: Contrast-enhanced computed tomography reported that he has left renal cell carcinoma.


Cursor on image to zoom/Click text to open image
Figure 4: Position of trocars.


Click text to open image
Table 1: Summarization of the case-studies with simultaneous laparoscopic resection of concurrent CRC and renal carcinoma.



CONCLUSION

Laparoscopic surgery for concurrent renal cell carcinoma and CRC is feasible and safe in elderly patients.


REFERENCES
  1. Torre LA, Bray F, Siegel RL, Ferlay J, Lortet-Tieulent J, Jemal A. Global cancer statistics, 2012. CA Cancer J Clin 2015 Mar;65(2):87–108.   [CrossRef]   [PubMed]    Back to citation no. 1
  2. Ferlay J, Shin HR, Bray F, Mathers C, Parkin DM. GLOBOCAN 2008 Cancer Incidence and Mortality Worldwide: IARC CancerBase No. 10. Volume 1-2. Lyon, France: International Agency for Research on Cancer; 2010. [Available at: http://globocan.iarc.fr]    Back to citation no. 2
  3. Halak M, Hazzan D, Kovacs Z, Shiloni E. Synchronous colorectal and renal carcinomas: A noteworthy clinical entity. Report of five cases. Dis Colon Rectum 2000 Sep;43(9):1314–5.   [PubMed]    Back to citation no. 3
  4. Capra F, Scintu F, Zorcolo L, Marongiu L, Casula G. Synchronous colorectal and renal carcinomas. Is it a definite clinical entity? Chir Ital 2003 Nov–Dec;55(6):903–6.   [PubMed]    Back to citation no. 4
  5. Calderwood AH, Huo D, Rubin DT. Association between colorectal cancer and urologic cancers. Arch Intern Med 2008 May 12;168(9):1003–9.   [CrossRef]   [PubMed]    Back to citation no. 5
  6. Kim SH, Park JY, Joh YG, Hoe HE. Simultaneous laparoscopic radical nephrectomy and laparoscopic sigmoidectomy for synchronous renal cell carcinoma and colonic adenocarcinoma. J Laparoendosc Adv Surg Tech A 2004 Jun;14(3):179–81.   [CrossRef]   [PubMed]    Back to citation no. 6
  7. Napolitano C, Santoro GA, Valvano L, Salvati V, Martorano M. Simultaneous totally laparoscopic radical nephrectomy and laparoscopic left hemicolectomy for synchronous renal and sigmoid colon carcinoma: Report of a case. Int J Colorectal Dis 2006 Jan;21(1):92–3.   [CrossRef]   [PubMed]    Back to citation no. 7
  8. Ng SS, Yiu RY, Li JC, Chan CK, Ng CF, Lau JY. Endolaparoscopic left hemicolectomy and synchronous laparoscopic radical nephrectomy for obstructive carcinoma of the descending colon and renal cell carcinoma. J Laparoendosc Adv Surg Tech A 2006 Jun;16(3):297–300.   [CrossRef]   [PubMed]    Back to citation no. 8
  9. Ng SS, Lee JF, Yiu RY, Li JC, Leung KL. Synchronous laparoscopic resection of colorectal and renal/adrenal neoplasms. Surg Laparosc Endosc Percutan Tech 2007 Aug;17(4):283–6.   [CrossRef]   [PubMed]    Back to citation no. 9
  10. Nishiyama N, Yamamoto S, Matsuoka N, Fujimoto H, Moriya Y. Simultaneous laparoscopic descending colectomy and nephroureterectomy for descending colon carcinoma and left ureteral carcinoma: Report of a case. Surg Today 2009;39(8):728–32.   [CrossRef]   [PubMed]    Back to citation no. 10
  11. Veenstra GM, Fossion LM, de Laet K, Luijten AA. Synchronous laparoscopic radical nephrectomy left and contralateral right hemicolectomy during the same endoscopic procedure. ISRN Surg 2011;2011:179456.   [CrossRef]   [PubMed]    Back to citation no. 11
  12. Martin Arnau AB, Ochoa Vargas C, Peña Gonzalez JA, Targarona Soler EM. Simultaneous colectomy and nephectomy in synchronic tumours. [Article in English, Spanish]. Cir Esp 2015 Apr;93(4):266–8.   [CrossRef]   [PubMed]    Back to citation no. 12
  13. Luca C, Federico C, Marco L, et al. Simultaneous laparoscopic nephrectomy and colectomy for synchronous primary malignancies: Surgical techniques and the results of two cases. Universal Journal of Clinical Medicine 2013;1(3):35–8.   [CrossRef]    Back to citation no. 13
  14. Fazzin M, Dellachiesa L, Resta G, Bandi M, Marino S, Anania G. One-stage laparoscopic procedure for a patient with bilateral colorectal tumours and renal carcinoma. G Chir 2013 Apr;34(4):132–4.   [PubMed]    Back to citation no. 14
  15. O'Sullivan M, Kearney DE, Giri SK, Coffey JC. Combined laparoscopic-assisted nephrectomy and complete mesocolic excision for synchronous renal and colon cancers. BMJ Case Rep 2015 Sep 29;2015. pii: bcr2015211681.   [CrossRef]   [PubMed]    Back to citation no. 15
  16. Takahashi M, Ichikawa R, Honjo K, et al. Simultaneous laparoscopic colectomy and nephrectomy for synchronous ascending colon cancer and right kidney cancer: Report of a case. Juntendo Medical Journal 2014;60(4):345–8.   [CrossRef]    Back to citation no. 16

[HTML Abstract]   [PDF Full Text]

Author Contributions
Satoshi Tokuda – Substantial contributions to conception and design, Acquisition of data, Analysis and interpretation of data, Drafting the article, Revising it critically for important intellectual content, Final approval of the version to be published
Hajime Orita – Substantial contributions to conception and design, Acquisition of data, Analysis and interpretation of data, Drafting the article, Revising it critically for important intellectual content, Final approval of the version to be published
Hiroshi Maekawa – Substantial contributions to conception and design, Acquisition of data, Analysis and interpretation of data, Drafting the article, Revising it critically for important intellectual content, Final approval of the version to be published
Kentaro Imaizumi – Substantial contributions to conception and design, Acquisition of data, Analysis and interpretation of data, Drafting the article, Revising it critically for important intellectual content, Final approval of the version to be published
Kazuhiko Fujita – Substantial contributions to conception and design, Acquisition of data, Analysis and interpretation of data, Drafting the article, Revising it critically for important intellectual content, Final approval of the version to be published
Koichi Sato – Substantial contributions to conception and design, Acquisition of data, Analysis and interpretation of data, Drafting the article, Revising it critically for important intellectual content, Final approval of the version to be published
Guarantor of Submission
The corresponding author is the guarantor of submission.
Source of Support
None
Consent Statement
Written informed consent was obtained from the patient for publication of this case report.
Conflict of Interest
Author declares no conflict of interest.
Copyright
© 2018 Satoshi Tokuda et al. This article is distributed under the terms of Creative Commons Attribution License which permits unrestricted use, distribution and reproduction in any medium provided the original author(s) and original publisher are properly credited. Please see the copyright policy on the journal website for more information.