International Journal of Case Reports and Images (IJCRI)


Volume 8; Number 8 (AUGUST 2017)

Cover Figure

cover figure

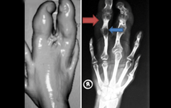
Volume rendering technique image showing gross enlargement of middle and ring figures of right hand, Plain radiographs right hand anteroposterior and lateral views showing enlargement of 3rd and 4th fingers with overgrowth of soft tissue as well as bony metacarpals and phalanges. There is predominantly increased lucency in soft tissue compartment of affected fingers suggestive of fat (red arrows) and secondary degenerative changes with partial ankylosis at interphalangeal joints (blue arrows) (Page 496)

Go Back to Table of Contents