Case Report
 
Churg–Strauss syndrome (eosinophilic granulomatosis with polyangiitis): A case report
M. West1, P. Kumar1
1Department of Medicine, Mackay Base Hospital, Australia

Article ID: Z01201708CR10821MW
doi:10.5348/ijcri-201782-CR-10821

Address correspondence to:
Pranav Kumar
Department of Medicine
Mackay Base Hospital
Australia

Access full text article on other devices

  Access PDF of article on other devices

[HTML Abstract]   [PDF Full Text] [Print This Article]
[Similar article in Pumed] [Similar article in Google Scholar]


How to cite this article
West M, Kumar P. Churg–Strauss syndrome (eosinophilic granulomatosis with polyangiitis): A case report. Int J Case Rep Images 2017;8(8):555–560.


ABSTRACT

Churg–Strauss syndrome (CSS) is a rare systemic vasculitis of the small and medium sized blood vessels. The triad of asthma, sinusitis and hypereosinophilia is characteristic of CSS. However, it can affect any organ system with predominance for the skin, respiratory, neurological, gastrointestinal and cardiovascular systems. The natural history of the condition has been described in three phases: prodromal, eosinophilic and vasculitic. Depending on the organ system affected and stage of the disease, the presentation of CSS can be varied and the diagnosis can be challenging. The most frequently used criteria for diagnosing CSS are those developed by the American College of Rheumatology in 1990. Such classification criteria can assist in making the diagnosis of CSS and differentiating the condition from other diseases that cause pulmonary infiltrates with eosinophilia including allergic bronchopulmonary aspergillosis, acute and chronic eosinophilic pneumonia, idiopathic hypereosinophilic syndrome, certain parasitic infections and drug reactions. We present a case that is characterized by hypereosinophilia, vasculitis involving mainly the pulmonary and nervous systems, with a history of allergic rhinitis and sinusitis. Early diagnosis is crucial so that systemic glucocorticoids (the mainstay of treatment) can be commenced and can help to prevent organ damage and mortality.

Keywords: Churg–Strauss syndrome, Eosinophilic granulomatosis polyangiitis, Pulmonary infiltrates


INTRODUCTION

Eosinophilic granulomatosis with polyangiitis (EGPA), or more commonly known as Churg-Strauss syndrome (CSS) is a necrotizing small and medium vessel vasculitis associated with blood and tissue hypereosinophilia and usually occurring in people with a history of asthma [1].

Churg–Strauss syndrome is a rare disease with the annual incidence ranging from 2.4–6.8/1 million in the general population. It has equal gender distribution, average affected age ranges from 40–60 years old and there is no ethnic or familial predisposition [2].

Pathologists Dr Jacob Churg and Dr Lotte Strauss first described this condition as a distinctive clinical entity in 1951 [3][4]. Based on their pathological examinations and postmortem studies, they noted a syndrome of asthma, hypereosinophilia, necrotizing vasculitis and extravascular granulomas [3]. They identified it as related to, but distinct from Polyarteritis Nodosa (PAN), which they termed allergic granulomatosis and angiitis [3][5][6].

The pathogenesis of CSS is still unknown [2][7]. It is believed to be allergic or immune mediated due to the presence of allergic symptoms, elevated IgE levels and immune complex mediation [7][8] with 40–60% being antineutrophil cytoplasmic antibody (ANCA) positive (predominantly perinuclear ANCA with anti-myeloperoxidase specificity) [1].

Herein, we report on a case that fits the clinical criteria for diagnosis of Churg–Strauss syndrome, supported by classic laboratory findings (not always present) and imaging results.


CASE REPORT

A 52-year-old female was referred by her general practitioner to the respiratory outpatients clinic (Mackay Base Hospital, Australia) for the evaluation of progressive dyspnea and wheeze. She reported a three-month history of increasing shortness of breath, with persistent wheeze, chest tightness and a dry cough. She also reported paroxysmal nocturnal dyspnea, but denied orthopnea or peripheral pitting edema. The patient had been treated with bronchodilators and antibiotics with minimal relief.

On review of systems, the patient denied skin rashes, joint swelling, myalgias, arthralgias, sore throat, dysphagia, odynophagia, abdominal pain, and changes in bowel habits or urinary symptoms. She did report tingling, numbness and pain in her left arm. She also endorsed some weight loss of five kilograms over the last three months. However, there was no history of fever or night sweats.

The patient’s past medical history was significant for allergic rhinitis and sinusitis for the last two years. There was no history of asthma. She was also recently diagnosed with Grade 2 cervical intramedullary astrocytoma. The tumor was not resectable, and so she was treated with radiotherapy and chemotherapy (temozolomide) with neurosurgical follow-up. She has also had a splenectomy in the past for idiopathic thrombocytopenic purpura. She suffered depression as well.

There was no family history of asthma or atopy. Her mother had cervical cancer and her brother had hypertension. The patient had previously worked as a nurse. There was no exposure to organic or mineral dust, fumes or pets. There was no history of travel. She was a lifelong non-smoker, and rarely consumed alcohol.

On examination, the patient had a pulse rate of 72 beats/min, blood pressure of 132/84 mmHg, saturations of 98% on room air and she was afebrile. On auscultation of the chest, there were vesicular breath sounds with a few bibasal crepitations and bilateral rhonchi throughout the lungs. Her heart sounds were dual with no murmurs. Her abdomen was soft and non-tender. Her calves were soft, non-tender and there was no pitting edema. No skin rashes were noted.

Initial blood tests (reference ranges in defined opacities in the left lower lobe parentheses) of the patient showed hemoglobin level of 12.0 (11.5–16.0 g/dl), a white blood cell count of 10.3 cm3 (4–11 cm3) with a raised eosinophil count of 3.3 (<0.60).

Electrolytes, urea, creatinine, liver function tests and coagulation profile of the patient were within normal ranges. The C-reactive protein (CRP) was 11 (<5), and erythrocyte sedimentation rate (ESR) was 21 (<19). Urine examination was normal.

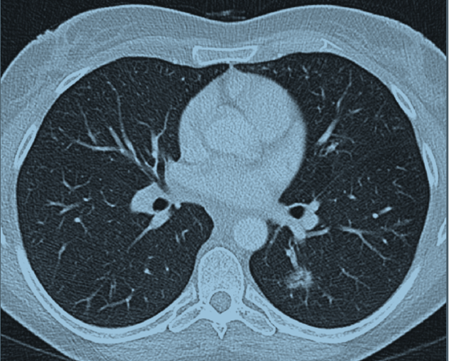
The patient’s routine chest X-ray was normal. Computed tomography (CT) scan of the chest revealed a focal ill-defined alveolar opacity in the peribronchial region of the left lower lobe apical segment and another smaller similar opacity in the left upper lobe centrally (Figure 1). Computed tomography scan of the sinuses (Figure 2) showed near complete opacification of the frontal and the visualized ethmoid sinuses with mild mucosal thickening throughout the maxillary, sphenoid, and ethmoid sinuses and hypertrophy of the turbinates.

Spirometry showed a moderate obstructive pattern with forced expiratory volume (FEV1) of 58% predicted, forced vital capacity (FVC) of 74% predicted, and FEV1/FVC of 79%. There was severe small airway obstruction with maximum midexpiratory flow (MMEF 75/25) of 30% predicted. There was gas trapping with residual volume (RV) of 142%. Gas diffusion was normal with diffusing capacity (DLCO) being 89% and transfer coefficient of carbon monoxide (KCO) being 85%.

A transthoracic echocardiogram showed normal left ventricular systolic function, ejection fraction of 65% and normal diastolic function. No valvular abnormalities.

Subsequent bloods showed serum IgE was markedly elevated at 1140. Serum precipitins against Aspergillus fumigatus were negative. Bloods were positive for perinuclear antineutrophil cytoplasmic antibodies (p-ANCA) at a level of 640 by indirect immunofluorescence. The ANCA subsets directed towards the proteins myeloperoxidase (MPO-ANCA) were also positive at 417. Bloods were negative for cytoplasmic antineutrophil cytoplasmic antibodies (c-ANCA) and also negative for the subset directed towards proteinase-3 (PR3-ANCA).

A bronchoscopy and bronchoalveolar lavage was done which showed normal respiratory flora and a cell count less than 10. No open lung biopsy was performed, as there were sufficient criteria for a clinical diagnosis of eosinophilic granulomatosis with polyangiitis or Churg–Strauss syndrome to be made.

The patient was commenced on prednisolone (50 mg/day) and this was associated with a marked improvement in her symptoms. She reported no dyspnea or wheeze, and the neuropathic pain and paresthesia in her left arm decreased substantially. The prednisolone dose was slowly tapered and is still ongoing. Her last computed tomography scan of the chest (performed after three months of treatment with corticosteroids) shows complete resolution of the previously visualized areas of ground glass opacities in the left lower lobe.



Cursor on image to zoom/Click text to open image
Figure 1: Computed tomography of the chest showing focal ill-defined opacities in the left lower lobe.


Cursor on image to zoom/Click text to open image
Figure 2: Computed tomography scan of the sinuses showing near complete opacification of the frontal and the visualized ethmoid sinuses.


DISCUSSION

The triad of asthma, sinusitis and hypereosinophilia is suggestive of Churg–Strauss syndrome [4]. Churg–Strauss syndrome however can be highly variable in its presentation and course and depending on the organ systems involved [6].

The natural history of the disease has been described in three phases [1]:

  • Prodromal phase: It is characterized by atopic disease and may last for many years [1][5]. Asthma is the cardinal feature of CSS, and is generally of late onset, chronic and severe, requiring multiple courses of systemic corticosteroids [1][7]. However, upper airway conditions such as allergic rhinitis, nasal polyposis and sinusitis are also quite common and are known to affect 70% of patients [1][9].

    Eosinophilic phase: It is characterized by hypereosinophilia in peripheral blood and eosinophilic infiltration of organs [1]. Eosinophils normally comprise less than 5% of leukocytes in the peripheral blood [10], however, may exceed 10% of the total leukocyte count in CSS [11]. Histological findings in CSS can include infiltrates rich in eosinophils in the walls of small and medium sized vessels and in surrounding tissues, as well as extravascular eosinophilic granulomas [2].

  • Vasculitic phase: It is usually heralded with the onset of constitutional symptoms (fatigue, malaise, fever, weight loss, arthralgias) and the emergence of symptoms and possibly life-threatening sequelae of systemic vasculitis [1][8].

As a systemic vasculitis, CSS can involve any organ system but predominantly involves skin, [1] respiratory, neurological, gastrointestinal and cardiovascular systems [4]. Poor prognosis is usually associated with gastrointestinal and cardiovascular involvement [1]. Common manifestations related to involvement of different organ systems are outlined below:

  • Skin: Skin manifestations commonly include palpable purpura, as well as tender subcutaneous nodules, cutaneous infarctions, petechial rashes, urticarial lesions and livedo reticularis [2][6][8]. Skin involvement is present in half to two-thirds of patients [2].
  • Respiratory: As mentioned, asthma is usually a cardinal feature of the disease [1] and often accompanied by rhinitis, sinusitis and nasal polyposis [2]. With a history of asthma, the presence of pulmonary infiltrates makes the diagnosis of CSS very likely, and this combination is present in two-thirds of patients. The infiltrates are classically patchy, lacking lobar and segmental distribution, and are transient, rapidly disappearing after corticosteroid treatment [2][8].
  • Neurological: Nervous system involvement may be present in up to three-quarters of patients and usually manifests as mononeuritis multiplex or peripheral polyneuropathy [2]. Less commonly there is central nervous system involvement (which can include cranial nerve palsies, hemorrhagic or ischemic strokes, seizures and psychiatric disturbance) [2].
  • Gastrointestinal: Involvement of the gastrointestinal tract may affect up to half of all CSS patients. It can commonly cause abdominal pain, but may also cause bowel ischemia, perforation, obstruction, ulcerations, fistulas and hemorrhage [2]. It has also been associated with pancreatitis and acute acalculous cholecystitis [8].
  • Cardiovascular: A wide range of cardiac complications related to CSS have been described including myocarditis, pericarditis, cardiomyopathy, arrhythmias, intraventricular thrombi, valvular abnormalities, coronary arteritis and sudden cardiac death. The frequency of cardiac involvement varies between 16–92%, with significant mortality if untreated [2].
  • Renal: The Kidneys may be involved in 25–47% of patients with focal segmental glomerulonephritis that may lead to hematuria, proteinuria and hypertension, although rarely cause renal failure [2].

This case of CSS was characterized by hypereosinophilia, vasculitis involving mainly the pulmonary and nervous systems and with a history of allergic rhinitis and sinusitis. Interestingly, there was no history of asthma, which is considered the hallmark of CSS [12].

The diagnosis of CSS can be difficult especially given the variable presentation, and depending on the stage of CSS [1][2]. The laboratory findings are non-specific and include eosinophilia, high IgE and raised acute phase reactants. The ANCA positivity (particularly perinuclear ANCA of anti-myeloperoxidase specificity) is found in approximately 40–60% of patients [1]. Again, this is not specific to CSS, and can be associated with microscopic polyangiitis (MPA), another one of the vasculitides [8].

In this case, the patient had peripheral eosinophilia (3.3), markedly elevated serum IgE (1140), and p-ANCA positive (640), specifically MPO-ANCA positive (417). Although these findings are not specific, it is useful in supporting the diagnosis in conjunction with the other clinical findings.

For clinical diagnosis of CSS, the diagnostic criteria published by the American College of Rheumatology (ACR) in 1990 are the most widely used [1][11]. The criteria are: asthma, eosinophilia (greater than 10% on white blood cell differential count), paranasal sinusitis, pulmonary infiltrates (non-fixed), extravascular eosinophils on biopsy, and neuropathy (mononeuropathy including mononeuritis multiplex or polyneuropathy) [11]. At least four out of the six criteria are required for a confident diagnosis of CSS [1].

Our patient satisfied four of the six criteria with peripheral eosinophilia, paranasal sinusitis, mononeuropathy (with neuropathic pain, numbness and paresthesia in left arm), and pulmonary infiltrates. This makes the diagnosis of CSS with 85% sensitivity and 99.7% specificity [11].

The other classification systems include Lanham’s criteria, which proposes a clinical diagnosis defined by the coexistence of asthma, blood eosinophilia (>1500 eosinophils/µl) and evidence of vasculitis in two or more extrapulmonary organs [2][13]. However, as this involves at least two sites of vasculitic involvement, it can miss patients early in the course of the disease and delay treatment [2].

The Chapel Hill Consensus conference also established a new classification system, which defines CSS as: ‘eosinophil-rich and granulomatous inflammation often involving the respiratory tract, and necrotizing vasculitis affecting small to medium-sized vessels associated with asthma and eosinophilia [14]. However, this definition has also been criticized as requires biopsy to establish diagnosis and lacks specificity in comparison to other classification systems [2].

The biopsy features proposed originally by Churg and Strauss [3] required the presence of:

  1. necrotizing vasculitis of small and medium sized vessels
  2. eosinophilic infiltration
  3. extravascular granuloma formation

However, this triad hardly ever coexists at the same time in any one CSS patient, which can delay diagnosis [2]. Although easily accessible tissues should be biopsied, the clinical features of CSS are so distinctive that tissue biopsy is invariably not required [15]. In this case, the diagnosis had been made according to the clinical criteria published by the ACR and so biopsy was not required.

Churg–Strauss syndrome must be differentiated from other diseases that cause pulmonary infiltrates with eosinophilia including allergic bronchopulmonary aspergillosis, acute and chronic eosinophilic pneumonia, idiopathic hypereosinophilic syndrome, certain parasitic infections and drug reactions.

  • Allergic bronchopulmonary aspergillosis (ABPA): The ABPA is a complex entity, resulting from a hypersensitivity response to persistent Aspergillus fumigatus in the airways [16]. The characteristic features are asthma, migratory pulmonary infiltrates, central bronchiectasis, elevated blood and alveolar eosinophils, high total IgE levels, positive immediate and late skin tests to the causative agent, and positive specific IgE and precipitins [17]. The absence of multisystem disease differentiates this condition from CSS [9].
  • Idiopathic acute eosinophilic pneumonia (IAEP): The IAEP is associated with the rapid development of hypoxemic respiratory failure in previously well patients with no history of atopy, with diffuse bilateral air space or interstitial opacities on imaging. Peripheral blood eosinophils are usually normal, but a very high percentage of eosinophils (>25%) in bronchoalveolar lavage fluid is characteristic [18].
  • Idiopathic chronic eosinophilic pneumonia (ICEP): The ICEP is characterized by a subacute or chronic presentation of cough, fever, weight loss and dyspnea [9][17]. It occurs more commonly in women, and in those with a history of asthma [17]. There is alveolar and/or blood eosinophilia present in 90% of patients. It is differentiated from CSS by peripheral pulmonary infiltrates on imaging and an absence of multisystem involvement [9].
  • Idiopathic hypereosinophilic syndrome (IHS): The IHS causes multisystem involvement (as does CSS) with signs and symptoms of organ damage related to eosinophilic infiltration [17]. However it can be distinguished from CSS by definition of blood eosinophilia greater than >1500/mm3 for more than 6 months [9].
  • Parasitic infections: Causative agents such as Ascaris lumbricoides, Toxocara canis and Fasciola hepatica are associated with blood and tissue eosinophilia and pulmonary infiltrates [17][18].
  • Drugs: Several drugs including non-steroidal anti-inflammatory agents, salicylates, and antibiotics can cause eosinophilic lung disease [17].

Early diagnosis and treatment is important for prevention of organ damage and mortality [1]. Systemic glucocorticoids are the mainstay of treatment [2]. However in a subset of patients, combined therapy with a cytotoxic agent (i.e. cyclophosphamide, azathioprine) may be required to control the disease [8]. Biologic agents such as rituximab, interferon-alpha, infliximab and etanercept are the focus of clinical trials for their potential role in CSS treatment in the future [2]. The prognosis of CSS is quite good in comparison to other systemic vasculitides, with a survival rate of 70% at five years [1].


CONCLUSION

In this case, the patient was commenced on high dose prednisolone with a subsequent improvement in symptoms, blood eosinophil count, inflammatory markers and resolution of pulmonary infiltrates on imaging. We will continue to slowly wean her prednisolone dose, with the possibility of commencing a steroid-sparing agent in the future if required.


REFERENCES
  1. Manglunia A, Mathur V, Garg P, Jat RK, Saxena GN. Churg Strauss Syndrome: A Case Report. IOSR- JDMS 2015; 14(3):27–8.    Back to citation no. 1
  2. Szczeklik W, Jakiela B, Adamek D, Musial J. Cutting edge issues in the Churg-Strauss syndrome. Clin Rev Allergy Immunol 2013 Feb;44(1):39–50.   [CrossRef]   [Pubmed]    Back to citation no. 2
  3. Churg J, Strauss L. Allergic granulomatosis, allergic angiitis, and periarteritis nodosa. Am J Pathol 1951 Mar–Apr;27(2):277–301.   [Pubmed]    Back to citation no. 3
  4. Gorska L, Chelminska M, Kuziemski K, et al. Analysis of safety, risk factors and pretreatment methods during rush hymenoptera venom immunotherapy. Int Arch Allergy Immunol 2008;147(3):241–5.   [CrossRef]   [Pubmed]    Back to citation no. 4
  5. Lhote F, Cohen P, Généreau T, Gayraud M, Guillevin L. Microscopic polyangiitis: clinical aspects and treatment. Ann Med Interne (Paris) 1996;147(3):165–77.   [Pubmed]    Back to citation no. 5
  6. Della Rossa A, Baldini C, Tavoni A, et al. Churg-Strauss syndrome: Clinical and serological features of 19 patients from a single Italian centre. Rheumatology (Oxford) 2002 Nov;41(11):1286–94.   [CrossRef]   [Pubmed]    Back to citation no. 6
  7. Masjedi MR, Tafti SF, Cheraghvandi A, Fayazi N, Talischi F, Mokri B. Churg-Strauss syndrome following cessation of allergic desensitization vaccination: A case report. J Med Case Rep 2010 Jun 22;4:188.   [CrossRef]   [Pubmed]    Back to citation no. 7
  8. Cottin V, Cordier JF. Churg-Strauss syndrome. Allergy 1999;54(6):535–51.    Back to citation no. 8
  9. Mokri B, Tafti SF, Talischi F. Churg-Strauss syndrome with broad spectrum clinical presentations: A report of 3 cases. East Mediterr Health J 2011 Oct;17(10):798–800.   [CrossRef]   [Pubmed]    Back to citation no. 9
  10. Fulkerson PC, Rothenberg ME. Targeting eosinophils in allergy, inflammation and beyond. Nat Rev Drug Discov 2013 Feb;12(2):117–29.   [CrossRef]   [Pubmed]    Back to citation no. 10
  11. Masi AT, Hunder GG, Lie JT, et al. The American College of Rheumatology 1990 criteria for the classification of Churg-Strauss syndrome (allergic granulomatosis and angiitis). Arthritis Rheum 1990 Aug;33(8):1094–100.   [CrossRef]   [Pubmed]    Back to citation no. 11
  12. Sharma BK, Daga MK, Sharma M. A limited form of Churg-Strauss syndrome presenting without asthma and eosinophilia. Med J Aust 2004 Nov 1;181(9):498-9.   [Pubmed]    Back to citation no. 12
  13. Lanham JG, Elkon KB, Pusey CD, Hughes GR. Systemic vasculitis with asthma and eosinophilia: A clinical approach to the Churg-Strauss syndrome. Medicine (Baltimore) 1984 Mar;63(2):65–81.   [Pubmed]    Back to citation no. 13
  14. Jennette JC, Falk RJ, Andrassy K, et al. Nomenclature of systemic vasculitides: Proposal of an international consensus conference. Arthritis Rheum 1994 Feb;37(2):187–92.   [Pubmed]    Back to citation no. 14
  15. Leatherman JW. The lung in systemic vasculitis. Semin Respir Infect 1988 Sep;3(3):274–88.   [Pubmed]    Back to citation no. 15
  16. Patterson K, Strek ME. Allergic bronchopulmonary aspergillosis. Proc Am Thorac Soc 2010 May;7(3):237–44.   [CrossRef]   [Pubmed]    Back to citation no. 16
  17. Marchand E, Cordier JF. Idiopathic chronic eosinophilic pneumonia. Orphanet J Rare Dis. 2006 Apr 6;1:11.   [CrossRef]   [Pubmed]    Back to citation no. 17
  18. Jeong YJ, Kim KI, Seo IJ, et al. Eosinophilic lung diseases: A clinical, radiologic, and pathologic overview. Radiographics 2007 May–Jun;27(3):617–37; discussion 637–9.   [CrossRef]   [Pubmed]    Back to citation no. 18

[HTML Abstract]   [PDF Full Text]

Author Contributions
M. West – Substantial contributions to conception and design, Acquisition of data, Analysis and interpretation of data, Drafting the article, Revising it critically for important intellectual content, Final approval of the version to be published
P. Kumar – Analysis and interpretation of data, Revising it critically for important intellectual content, Final approval of the version to be published
Guarantor
The corresponding author is the guarantor of submission.
Source of support
None
Conflict of interest
Authors declare no conflict of interest.
Copyright
© 2017 M. West et al. This article is distributed under the terms of Creative Commons Attribution License which permits unrestricted use, distribution and reproduction in any medium provided the original author(s) and original publisher are properly credited. Please see the copyright policy on the journal website for more information.