Clinical Image
 
Successful treatment of pneumomediastinum in a patient with interstitial lung disease due to anti-synthetase syndrome: A case report
Roy Cho1, Erhan H. Dincer2, Rade Tomic2, Hyun Kim2
1Assistant Professor, University of Minnesota, Department of Pulmonary, Allergy, Critical Care and Sleep Medicine
2Associate Professor, University of Minnesota, Department of Pulmonary, Allergy, Critical Care and Sleep Medicine

Article ID: Z01201708CL10130RC
doi:10.5348/ijcri-201720-CL-10130

Address correspondence to:
Roy Cho
MD, Assistant Professor, University of Minnesota
Department of Pulmonary
Allergy

Access full text article on other devices

  Access PDF of article on other devices

[HTML Abstract]   [PDF Full Text] [Print This Article]
[Similar article in Pumed] [Similar article in Google Scholar]


How to cite this article
Cho R, Dincer EH, Tomic R, Kim H. Successful treatment of pneumomediastinum in a patient with interstitial lung disease due to anti-synthetase syndrome: A case report. Int J Case Rep Images 2017;8(8):564–566.


CASE REPORT

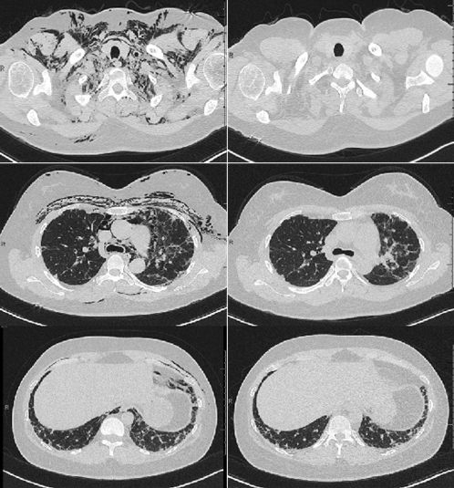
A 35-year-old female with interstitial lung disease due to anti-synthetase syndrome presented with cough, hoarseness and facial swelling. Chest computed tomography scan demonstrated significant pneumomediastinum (Figure 1). Bronchoscopy and esophagram were unremarkable. We began high-concentration oxygen (10 L/min with non-rebreather face mask for 12-hours/day), withheld mycophenolate mofetil, reduced prednisone and began dextromethorphan. After one-month, there was complete resolution of her symptoms and pneumomediastinum.



Cursor on image to zoom/Click text to open image
Figure 1: Chest computed tomography (CT) scan at the level of the neck, heart and lung base demonstrating subcutaneous air and pneumomediastinum (left). After one-month of high-concentration oxygen, anti-tussives and reduction in immunosuppression; there was complete resolution (right).



DISCUSSION

Pneumomediastinum (PNM) is a rare complication of anti-synthetase syndrome with only three cases reported since 1986 [1][2][3] . The associated one-month mortality is 25%, which highlights the need for effective management [4]. The management of PNM in interstitial lung disease is based on case reports and experience forming expert opinion. However, the best management requires understanding the pathogenesis [5]. Several mechanisms of PNM in interstitial lung disease have been proposed including the Macklin effect, worsening vasculitis leading to airway rupture, and weakened alveolar walls from immunosuppression [6]. In this case, reducing immunosuppression suggested that weakened alveolar walls was a factor and using high-concentration oxygen and cough suppressant decidedly contributed to the full recovery. Notably, this is the second case in literature that has reported success using high-concentration oxygen for the treatment of PNM [7].


CONCLUSION

We report a case of pneumomediastinum in a patient with anti-synthetase syndrome who was successfully treated with reduction in immunosuppression, high-concentration oxygen, and cough suppression.

Keywords: Anti-synthetase syndrome, Dermatomyositis, Interstitial lung disease, Pneumomediastinum


REFERENCES
  1. Bradley JD. Spontaneous pneumomediastinum in adult dermatomyositis. Ann Rheum Dis 1986 Sep;45(9):780–2.   [Pubmed]    Back to citation no. 1
  2. Carmody E, McNicholl J, Chadwick G, Bresnihan B, Fitzgerald MX. Prolonged spontaneous pneumomediastinum in adult dermatomyositis. Ann Rheum Dis 1987 Jul;46(7):566.   [CrossRef]   [Pubmed]    Back to citation no. 2
  3. Cicuttini FM, Fraser KJ. Recurrent pneumomediastinum in adult dermatomyositis. J Rheumatol 1989 Mar;16(3):384–6.   [Pubmed]    Back to citation no. 3
  4. Ma X, Chen Z, Hu W, et al. Clinical and serological features of patients with dermatomyositis complicated by spontaneous pneumomediastinum. Clin Rheumatol 2016 Feb;35(2):489–93.   [CrossRef]   [Pubmed]    Back to citation no. 4
  5. 23556036
  6. Tang R, Millett CR, Green JJ. Amyopathic dermatomyositis complicated by pneumomediastinum. J Clin Aesthet Dermatol 2013 Mar;6(3):40–3.   [Pubmed]    Back to citation no. 5
  7. Macklin MT, Macklin CC. Malignant interstitial emphysema of the lungs and mediastinum as an important occult complication in many respiratory diseases and other conditions: An interpretation of the clinical literature in the light of laboratory experiment. Medicine 1944;23(4):281–358.    Back to citation no. 6
  8. Patel A, Kesler B, Wise RA. Persistent pneumomediastinum in interstitial fibrosis associated with rheumatoid arthritis: Treatment with high-concentration oxygen. Chest 2000 Jun;117(6):1809–13.   [CrossRef]   [Pubmed]    Back to citation no. 7

[HTML Abstract]   [PDF Full Text]

Author Contributions
Roy Cho – Substantial contributions to conception and design, Acquisition of data, Analysis and interpretation of data, Drafting the article, Revising it critically for important intellectual content, Final approval of the version to be published
Erhan H. Dincer – Analysis and interpretation of data, Revising it critically for important intellectual content, Final approval of the version to be published
Rade Tomic – Analysis and interpretation of data, Revising it critically for important intellectual content, Final approval of the version to be published
Hyun Kim – Analysis and interpretation of data, Revising it critically for important intellectual content, Final approval of the version to be published
Guarantor
The corresponding author is the guarantor of submission.
Source of support
None
Conflict of interest
Authors declare no conflict of interest.
Copyright
© 2017 Roy Cho et al. This article is distributed under the terms of Creative Commons Attribution License which permits unrestricted use, distribution and reproduction in any medium provided the original author(s) and original publisher are properly credited. Please see the copyright policy on the journal website for more information.