Case Report
 
A diagnostic dilemma: Sclerosing encapsulated peritonitis
Mürsit Dincer1, Gamze Citlak2, Zehra Zeynep Keklikkiran2, Ahmet Kocakusak2, Muzaffer Akinci2
1Gastrointestinal Surgery, Haseki Training and Research Hospital, Istanbul, Turkey
2Department of General Surgery, Haseki Training and Research Hospital, Istanbul, Turkey.

Article ID: Z01201706CR10797MD
doi:10.5348/ijcri-201758-CR-10797

Address correspondence to:
Mürsit Dincer MD
Department of Gastrointestinal Surgery in Haseki Training and Research Hospital
Haseki Training and Research Hospital Millet Cd Aksaray Fatih Istanbul
Turkey

Access full text article on other devices

  Access PDF of article on other devices

[HTML Abstract]   [PDF Full Text] [Print This Article]
[Similar article in Pumed] [Similar article in Google Scholar]


How to cite this article
Dincer M, Citlak G, Keklikkiran ZZ, Kocakusak A, Akinci M. A diagnostic dilemma: Sclerosing encapsulated peritonitis. Int J Case Rep Images 2017;8(6):405–407.



ABSTRACT

Sclerosing encapsulated peritonitis is a rare entity and it is interpreted as the total or partial encasement of the abdominal organs within a thick fibrocollagenous membrane. The underlying conditions of sclerosing encapsulated peritonitis are multifactorial. Most of the cases are unfortunately diagnosed at laparotomy. It may lead to diagnostic laparotomy because of the acute abdominal signs and symptoms. Adhesiolysis of the sac is enough for the surgical treatment of sclerosing encapsulated peritonitis, unless a non-vital intestinal segment is present which requires resection. Herein, we report a case of sclerosing encapsulated peritonitis with internal herniation findings detected in the preoperative abdominal computed tomography scan and signs of acute abdomen.

Keywords: Acute abdomen, Mechanical intestinal obstruction, Sclerosing encapsulated peritonitis


INTRODUCTION

Sclerosing encapsulated peritonitis is a rare benign cause of acute or subacute small bowel obstruction. It causes total or partial encasement of the abdominal organs within a thick fibrocollagenous membrane [1]. It may lead to diagnostic laparotomy because of acute abdominal signs and symptoms. Sclerosing encapsulated peritonitis may cause obstructive symptoms with negative laparotomies. Herein, we report a case of sclerosing encapsulated peritonitis with internal herniation findings detected in preoperative abdominal computed tomography scan and signs of acute abdomen.


CASE REPORT

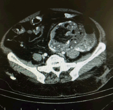
A 60-year-old female patient was admitted to the emergency service and presented with abdominal pain. Symptoms such as total constipation, nausea and vomiting were present for three days. She had had similar history of these symptoms previously and she had been hospitalized because of those symptoms. At that time, laboratory and imaging studies revealed no pathological finding one year ago. She had history of hypertension. Abdominal examination revealed abdominal distension and a palpable mass in her upper left quadrant. Laboratory studies were normal. Plain abdominal X-ray showed that there are air-fluid levels in small intestines (Figure 1). Abdominal CT revealed dilatation of small intestines and internal herniation (Figure 2). With these results explorative laparotomy was performed which showed a fixated membranous structure encapsulating all of the intraabdominal organs and not allowing to explore intraabdominal organs. The diagnosis was sclerosing encapsulated peritonitis according to explorative laparotomy. Adhesiotomy was partially applied. Physical examination was normal with spontaneous intestinal motility and normal defecation during the postoperative follow-up period. The patient was discharged from the hospital following uneventful course and appeared well in the outpatient visits.



Cursor on image to zoom/Click text to open image
Figure 1: X-ray showing air fluid levels in small intestine.


Cursor on image to zoom/Click text to open image
Figure 2: Intestines are enveloped in a sac giving the appearance of volvulus according to computed tomography.



DISCUSSION

Sclerosing encapsulated peritonitis is a rare clinical condition and its etiology is obscure. The underlying conditions of sclerosing encapsulated peritonitis are multifactorial [2]. It is classified into two categories as idiopathic and secondary. Generally, there are colicy abdominal pain, nausea, vomiting and sometimes a palpable mass in the midline of the abdomen. Preoperative diagnosis requires a high index of clinical suspicion. Generally, diagnosis of sclerosing encapsulated peritonitis is made with laparotomy [3][4]. In the present case, there was a patient with abdominal pain, left upper quadrant mass and obstructive findings which resulted in explorative laparotomy. In the surgical treatment of sclerosing encapsulated peritonitis, adhesiolysis or adhesiotomy is enough, unless a nonvital intestinal segment is present which requires resection [5]. The retrospective evaluation of the same radiologist revealed a sac encapsulating intestines in the postoperative period. The preoperative mass was in fact the sac enveloping the intestines to the side.s


CONCLUSION

In conclusion, sclerosing encapsulated peritonitis may cause acute abdominal signs and most cases are diagnosed at laparotomy. The preoperative diagnosis of this entity may be helpful for proper treatment of patients. Clinicians must rigorously pursue a preoperative diagnosis as it may prevent unnecessary laparotomies, since obstructive findings may be relieved with conservative treatment of sclerosing encapsulated peritonitis to decrease the incidence of negative laparotomies. A better awareness of this entity and the imaging techniques may facilitate preoperative diagnosis.


REFERENCES
  1. Chew MH, Sophian Hadi I, Chan G, Ong HS, Wong WK. A problem encapsulated: The rare peritoneal encapsulation syndrome. Singapore Med J 2006 Sep;47(9):808–10.   [Pubmed]    Back to citation no. 1
  2. Yildiz G, Yilmaz A, Öztoprak I, Candan F, Kayatas M. Sclerosing encapsulating peritonitis; Silent danger in continuous ambulatory peritoneal dialysis patients: Case report and review of the literature. Cumhuriyet Med J 2013;35(1):113–9.   [CrossRef]    Back to citation no. 2
  3. Kiliç M, Keskek M, Yoldas Ö, Ertan T, Göçmen E, Koç M. Intestinal obstrüksiyonun nadir bir sebebi: Abdominal Cocoon. Selçuk Tip Derg 2007;23:147–50.    Back to citation no. 3
  4. Kaushik R, Punia RP, Mohan H, Attri AK. Tuberculous abdominal cocoon: A report of 6 cases and review of the literature. World J Emerg Surg 2006 Jun 27;1:18.   [CrossRef]   [Pubmed]    Back to citation no. 4
  5. Al-Abassi AA, Emad M. Abdominal cocoon. An unusual cause of intestinal obstruction. Saudi Med J 2004 Oct;25(10):1482–5.   [Pubmed]    Back to citation no. 5

[HTML Abstract]   [PDF Full Text]

Author Contributions
Mürsit Dincer – Substantial contributions to conception and design, Acquisition of data, Drafting the article, Revising it critically for important intellectual content, Final approval of the version to be published
Gamze Citlak – Substantial contributions to conception and design, Acquisition of data, Drafting the article, Revising it critically for important intellectual content, Final approval of the version to be published
Zehra Zeynep Keklikkiran – Substantial contributions to conception and design, Acquisition of data, Drafting the article, Revising it critically for important intellectual content, Final approval of the version to be published
Ahmet Kocakusak – Substantial contributions to conception and design, Acquisition of data, Drafting the article, Revising it critically for important intellectual content, Final approval of the version to be published
Muzaffer Akinci – Substantial contributions to conception and design, Acquisition of data, Drafting the article, Revising it critically for important intellectual content, Final approval of the version to be published
Guarantor
The corresponding author is the guarantor of submission.
Source of support
None
Conflict of interest
Authors declare no conflict of interest.
Copyright
© 2017 Mürsit Dincer et al. This article is distributed under the terms of Creative Commons Attribution License which permits unrestricted use, distribution and reproduction in any medium provided the original author(s) and original publisher are properly credited. Please see the copyright policy on the journal website for more information.