Case Report
 
Pediatric ovarian torsion in a nine-year-old girl: A twisted tale of pain
Mutiso Steve Kyende1, Oindi Felix Mwembi2
1BSc (Physiology), MBChB, Resident, Department of Obstetrics and Gynaecology, Aga-Khan University, Nairobi, Kenya
2BSc (Physiology), MBChB, Resident, Department of Obstetrics and Gynaecology, Aga-Khan University, Nairobi, Kenya

Article ID: Z01201705CR10800MK
doi:10.5348/ijcri-201761-CR-10800

Address correspondence to:
Oindi Felix Mwembi
Oindi Felix Mwembi, Department of Obstetrics and Gynecology
Aga Khan University
Nairobi, Kenya

Access full text article on other devices

  Access PDF of article on other devices

[HTML Abstract]   [PDF Full Text] [Print This Article]
[Similar article in Pumed] [Similar article in Google Scholar]


How to cite this article
Mutiso SK, Oindi FM. Pediatric ovarian torsion in a nine-year-old girl: A twisted tale of pain. Int J Case Rep Images 2017;8(5):348–351.


ABSTRACT
Introduction: Ovarian torsion is a rare gynecological emergency in children with a non-specific clinical presentation. It poses a diagnostic dilemma and quick diagnosis and management are key to good outcomes. We present a case of pediatric ovarian torsion and subsequently conduct a literature review outlining its salient features.
Case Report: A nine-year-old girl presented with acute lower abdominal pain to the emergency department. She was worked up and tests were suggestive of ovarian torsion. She had surgical detorsion via laparoscopy and recovered well from surgery.
Conclusion: Pediatric ovarian torsion is a rare disorder that offers a diagnosis and management challenge to gynecologists. The case presented outlines one such case and this may help in adding to the body of knowledge about this condition. It should always be considered in cases of acute unilateral lower abdominal pain in a girl and its quick diagnosis and conservative approach to management is associated with good outcomes.

Keywords: Conservative, Ovarian, Pediatric, Torsion



INTRODUCTION

Ovarian torsion is an uncommon gynecological emergency in both children and adolescents. It occurs when the ovary twists on its ligamentous support with possible impediment of blood flow [1][2]. Delay in diagnosis and treatment may lead to necrosis and loss of ovarian function. In addition, some patients may end up with infection, peritonitis and even death [3][4]. The clinical presentation is largely non-specific, especially in the pediatric group of patients, posing a diagnostic challenge. Moreover, the clinical presentation mimics other acute abdominal conditions such as acute appendicitis and the various diagnostic imaging via Doppler ultrasound, computed tomography (CT) scan, and magnetic resonance imaging (MRI) scan may be equivocal [2]. Rare as it may be, ovarian torsion should be considered in any female child presenting with acute abdominal pain. We present a case of ovarian torsion management and subsequently conduct a literature review to discuss its features.


CASE REPORT

A nine-year-old African girl presented to the emergency department with a one day history of severe left sided abdominal pain not relieved by analgesics. She had associated postprandial vomiting but no diarrhea, constipation, fever or urinary symptoms. Significant in her past medical and surgical history was an appendectomy done one year earlier. Besides being in pain, she was alert and not dehydrated. Her initial vital signs were pulse 117 beats/min, respiratory rate 24 breaths/minute, axillary temperature 36oC, and oxygen saturation 99% on room air. The abdomen was tender to palpation in the left lower quadrant with voluntary guarding. A urinalysis, full hemogram and renal function tests that were done were essentially normal.

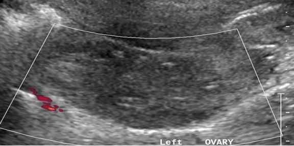
An abdominal-pelvic ultrasound revealed an enlarged left ovary, 20.9 cm3 volume with no evidence of blood flow on Doppler studies favoring a diagnosis of ovarian torsion (Figure 1). She underwent an emergency laparoscopy where the left adnexa were found to be twisted and dark (Figure 2). The right ovary was examined during the surgery and found to be normal. The left adnexa was detorted (Figure 3) but oophoropexy was not performed. However, on checking of the perfusion to the left ovary, it was found to be intact with fresh bleeding visible and change of color of the adnexal tissue to pink. A small incision on the ovary did not reveal any cyst or mass. The surgery was completed with no complications. Postoperative symptoms were pain on the port sites with mild nausea that was managed well with oral analgesics and antiemetics. The patient recovered well from the surgery and was allowed home on the second postoperative day. On follow-up after two weeks the patients had no symptoms and revered fully.



Cursor on image to zoom/Click text to open image
Figure 1: Ultrasound of the left ovary showing diminished Doppler flows.




Cursor on image to zoom/Click text to open image
Figure 2: Intraoperative view of the adnexal torsion before detorsion.




Cursor on image to zoom/Click text to open image
Figure 3: Left adnexa after detorsion.



DISCUSSION

Ovarian torsion accounts for approximately 3% of acute abdominal pain in women over 20 years of age [1] and 2.7% among those 1–20 years of age. Among this young populous, the estimated incidence of ovarian torsion is 4.9 per 100,000 females [5]. Occurrence is also more likely in the presence of ovarian masses, whether benign or malignant. The incidence is higher in the presence cysts greater than 5 cm in diameter. The normal pre-pubertal ovarian volume is 1–2 cm3 [4]. The patient had an estimated volume of 20.1 cm3 possibly predisposing her to torsion. However, not all cases of ovarian torsion occur in the presence of ovarian cysts. Indeed, the length of the suspensory ligaments and fallopian tubes can influence ovarian mobility and subsequent vascular compromise without any ovarian lesions as in this case.

Ovarian torsion majorly occurs on the right side (up to 60%) [1][4] presumably because the sigmoid colon leaves little space for left adnexal movement and the fact that the right ovarian ligament is longer. The right preponderance of ovarian torsion makes differentiation from appendicitis difficult. However, the patient had left adnexal torsion and had previously had an appendectomy.

The clinical presentation of pediatric ovarian torsion is usually nonspecific [6]. The most common symptom isusually abdominal or pelvic pain that is variable in nature and usually unilateral [6]. This may have a previous history of occurrence and the pain may have disappeared only to reappear at a later date [7]. The pain may be common on the right side than the left due to the left adnexa having limited mobility due to the presence of the sigmoid colon[8]. The patient may also have constitutional symptoms such as nausea and vomiting due to peritoneal irritation [9]. Pelvic examination may be difficult to perform in the pediatric population and will usually be avoided so the only positive sign may be tenderness in the lower abdomen [10]. The current patient presented with abdominal pain and had nausea as a constitutional symptom and we did not perform a pelvic examination of the patient.

Although laboratory tests may not be diagnostic of pediatric ovarian torsion, tests like a full hemogram, pregnancy test and kidney function tests may be useful as initial tests [6] . They will in most instances be normal but are useful in ruling out differential diagnoses such as pelvic inflammatory disease and ectopic pregnancy [7] . The laboratory tests conducted in the current patient were all normal and did not point to a certain differential. The best imaging test to diagnose pediatric ovarian torsion is usually a pelvic ultrasound with Doppler evaluation of ovarian blood flow [11]. The ultrasound examination may show a unilaterally enlarged ovary with a heterogeneous appearance due to edema and diminished or absent Doppler flows [12]. There may also be a whirlpool sign due to the twisting of ovarian pedicle and its vessels with peripherally displaced follicles due to ovarian edema [11]. The patient discussed had an enlarged ovary on ultrasound with diminished blood flow on Doppler which is in keeping with expected features. Adjuvant imaging such as computed tomography and magnetic imaging resonance at times may be needed to delineate ovarian anatomy further and rule out differentials although this methods are not commonly employed [6].

The management of pediatric ovarian torsion usually involves exploratory surgery as a first step [8]. This may be either through open surgery or laparoscopy, although laparoscopy is usually preferred where available [13]. Surgery may serve to confirm the diagnosis and as treatment in the same procedure. Although traditionally it was thought that oophorectomy was usually invariably needed, a more conservative approach is advocated for in recent literature [14]. The decision is usually based on intraoperative findings with oophorectomy done for torted ovaries that have signs of necrosis. This is usually the case in just over half of the cases of pediatric ovarian torsion [15]. Conservative approach to management involves detorsion, ovarian cystectomy and preservation of the adnexa [9]. Oophoropexy which involves fixing of the ovary to the peritoneum, uterosacral ligaments or even the round ligaments may be considered in cases of recurrent torsion. This procedure is usually controversial but may aid in cases of re-torsion [16]. The patient was managed with simple detorsion and no oophoropexy was performed since it was the first episode.

The prognosis of pediatric ovarian torsion is good with ovarian function being reported to near normal at six week after conservative management [17]. Follow-up should be done at six week with ultrasound to check for ovarian function and presence of follicles. Further follow up may be needed at third month and then after every six months [6].


CONCLUSION

Pediatric ovarian torsion is a rare disorder that offers a diagnosis and management challenge to gynecologists. The case presented outlines one such case and this may help in adding to the body of knowledge about this condition. It should always be considered in cases of acute unilateral lower abdominal pain in a girl and its quick diagnosis and conservative approach to management is associated with good outcomes.


REFERENCES
  1. Poonai N, Poonai C, Lim R, Lynch T. Pediatric ovarian torsion: Case series and review of the literature. Can J Surg 2013 Apr;56(2):103–8.   [CrossRef]   [Pubmed]    Back to citation no. 1
  2. Ochsner TJ, Roos JA, Johnson AS, Henderson JL. Ovarian torsion in a three-year-old girl. J Emerg Med 2010 May;38(4):e27–30.   [CrossRef]   [Pubmed]    Back to citation no. 2
  3. Rajwani KM, Mahomed A. Pediatric ovarian torsion: An uncommon clinical entity. Clin Case Rep 2015 Mar;3(3):193–4.   [CrossRef]   [Pubmed]    Back to citation no. 3
  4. Ryan MF, Desai BK. Ovarian torsion in a 5-year old: A case report and review. Case Rep Emerg Med 2012;2012:679121.   [CrossRef]   [Pubmed]    Back to citation no. 4
  5. Ahn JH, Chung J, Lee TS. Successful laparoscopic surgery for 14-month-old infant with ovarian torsion. Obstet Gynecol Sci 2014 Mar;57(2):160–3.   [CrossRef]   [Pubmed]    Back to citation no. 5
  6. Childress KJ, Dietrich JE. Pediatric ovarian torsion. Surg Clin North Am 2017 Feb;97(1):209–21.   [CrossRef]   [Pubmed]    Back to citation no. 6
  7. Sasaki KJ, Miller CE. Adnexal torsion: Review of the literature. J Minim Invasive Gynecol 2014 Mar–Apr;21(2):196–202.   [CrossRef]   [Pubmed]    Back to citation no. 7
  8. Bertozzi M, Esposito C, Vella C, et al. Pediatric Ovarian Torsion and its Recurrence: A Multicenter Study. J Pediatr Adolesc Gynecol 2016 Nov 26. pii: S1083-3188(16)30283-2.   [CrossRef]   [Pubmed]    Back to citation no. 8
  9. Geimanaite L, Trainavicius K. Ovarian torsion in children: Management and outcomes. J Pediatr Surg 2013 Sep;48(9):1946–53.   [CrossRef]   [Pubmed]    Back to citation no. 9
  10. Appelbaum H, Abraham C, Choi-Rosen J, Ackerman M. Key clinical predictors in the early diagnosis of adnexal torsion in children. J Pediatr Adolesc Gynecol 2013 Jun;26(3):167–70.   [CrossRef]   [Pubmed]    Back to citation no. 10
  11. Naiditch JA, Barsness KA. The positive and negative predictive value of transabdominal color Doppler ultrasound for diagnosing ovarian torsion in pediatric patients. J Pediatr Surg 2013 Jun;48(6):1283–7.   [CrossRef]   [Pubmed]    Back to citation no. 11
  12. Lourenco AP, Swenson D, Tubbs RJ, Lazarus E. Ovarian and tubal torsion: Imaging findings on US, CT, and MRI. Emerg Radiol 2014 Apr;21(2):179–87.   [CrossRef]   [Pubmed]    Back to citation no. 12
  13. Casey RK, Damle LF, Gomez-Lobo V. Isolated fallopian tube torsion in pediatric and adolescent females: A retrospective review of 15 cases at a single institution. J Pediatr Adolesc Gynecol 2013 Jun;26(3):189–92.   [CrossRef]   [Pubmed]    Back to citation no. 13
  14. Celik A, Ergün O, Aldemir H, et al. Long-term results of conservative management of adnexal torsion in children. J Pediatr Surg 2005 Apr;40(4):704–8.   [CrossRef]   [Pubmed]    Back to citation no. 14
  15. Guthrie BD, Adler MD, Powell EC. Incidence and trends of pediatric ovarian torsion hospitalizations in the United States, 2000-2006. Pediatrics 2010 Mar;125(3):532–8.   [CrossRef]   [Pubmed]    Back to citation no. 15
  16. Abes M, Sarihan H. Oophoropexy in children with ovarian torsion. Eur J Pediatr Surg 2004 Jun;14(3):168–71.   [CrossRef]   [Pubmed]    Back to citation no. 16
  17. Agarwal P, Agarwal P, Bagdi R, Balagopal S, Ramasundaram M, Paramaswamy B. Ovarian preservation in children for adenexal pathology, current trends in laparoscopic management and our experience. J Indian Assoc Pediatr Surg 2014 Apr;19(2):65–9.   [CrossRef]   [Pubmed]    Back to citation no. 17

[HTML Abstract]   [PDF Full Text]

Author Contributions
Mutiso Steve Kyende – Substantial contributions to conception and design, Acquisition of data, Analysis and interpretation of data, Drafting the article, Revising it critically for important intellectual content, Final approval of the version to be published
Oindi Felix Mwembi – Substantial contributions to conception and design, Acquisition of data, Analysis and interpretation of data, Drafting the article, Revising it critically for important intellectual content, Final approval of the version to be published
Guarantor
The corresponding author is the guarantor of submission.
Source of support
None
Conflict of interest
Authors declare no conflict of interest.
Copyright
© 2017 Mutiso Steve Kyende et al. This article is distributed under the terms of Creative Commons Attribution License which permits unrestricted use, distribution and reproduction in any medium provided the original author(s) and original publisher are properly credited. Please see the copyright policy on the journal website for more information.