Case Report
 
Complete urogenital and colonic duplication: An extremely rare developmental anomaly in an adult female
Aarti Deenadayal Tolani1, Deenadayal Mamta2, Kadambari3, Nori Vijay Bhasker4
1M.S, Infertility specialist and embryologist, Infertility Institute and Research Centre, Hyderabad, Telangana, India
2MD, DGO, Clinical director, Infertility Institute and Research Centre, Hyderabad, Telangana, India
3MD, DGO, FICOG, Obstetrician and Gynaecologist, Micro surgeon, Infertility Institute and Research Centre, Hyderabad, Telangana, India
4MD, Chief Radiologist, Vista imaging centre, Hyderabad, Telangana, India

Article ID: Z01201705CR10799AT
doi:10.5348/ijcri-201760-CR-10799

Address correspondence to:
Dr. Aarti Deenadayal Tolani
Infertility specialist and embryologist, Infertility Institute and Research Centre,
91-1-192, St Mary’s road
Opp. Prashanth theatre,Secunderabad
Telangana, India

Access full text article on other devices

  Access PDF of article on other devices

[HTML Abstract]   [PDF Full Text] [Print This Article]
[Similar article in Pumed] [Similar article in Google Scholar]


How to cite this article
Tolani AD, Mamta D, Kadambari, Bhasker NV. Complete urogenital and colonic duplication: An extremely rare developmental anomaly in an adult female. Int J Case Rep Images 2017;8(5):344–347.


ABSTRACT
Introduction:Complete urogenital duplication is an extremely rare congenital syndrome, where the etiology is unambiguously not explained. Misexpression of certain genes and teratogenic factors are presumed to have a prominent effect on duplications and malformations at various stages during embryogenesis. Several cases have been reported on gastrointestinal and genitourinary duplication. However, no two cases described in literature are alike and they differ with the level of duplication and the associated anomalies. Interestingly, most of the cases reported are at infancy and adult caudal duplication syndrome (CDS) cases are exceptional. Herein, we report a case of a 36-year-old unmarried female with duplication of external genitalia associated with duplication of the genitourinary and colonic system. Imaging revealed associated skeletal and spinal anomalies. Patient did not have any reconstruction surgeries previously and consulted us regarding the possibility of intercourse and fertility. The extent of urogenital duplication and associated anomalies was delineated with help of X-ray, abdominal and trans-perennial ultrasound and magnetic resonance imaging (MRI).

Keywords: Caudal duplication syndrome (CDS), Developmental anomalies, Duplication of external genitalia, Genitourinary and colonic duplication



INTRODUCTION

Caudal duplication syndrome (CDS) is a very rare congenital abnormality that is associated with duplication and malformation of caudal structures comprising of the spine, the spinal cord, gastrointestinal and urogenital systems [1]. The etiology of CDS is not completely understood. However, it is assumed that misexpression of HOX genes encoding for the transcription factors that regulate the developmental process may have a prominent role in it [2]. The prevalence of this syndrome is less than 1 in 100,000 births and adulthood CDS reports are extremely rare. In this article, we present an adult female with caudal duplication syndrome.


CASE REPORT

A 36-year old unmarried woman approached our clinic for evaluation of external genital malformation and possibility of intercourse in the future. A detailed physical examination revealed a double vulva with a 15-cm intervening area comprising of a pad of fat covered by hairless skin. Each vulva had pubic hair, a separate clitoris, urethra, vagina and anal orifice (Figure 1). The patient gave a history of passing two separate streams of urine during micturition, dual passage of feces from both anal orifices and menstruating through both the vaginas. She had an absent pubic symphysis and a non-surgical irregular scar on her lower abdomen (Figure 1) and there was no umbilicus.

Trans-abdominal pelvic sonography showed the presence of two separate bladders, two uteri and multiple follicles in both the ovaries. Two kidneys and two ureters along with colonic duplication with two separate rectums were observed.

Normal levels of FSH, TSH and prolactin were noted during the blood workup. Renal function test was normal.



Cursor on image to zoom/Click text to open image
Figure 1: External genitalia duplication Double vulva with separate urethra, vagina and anal orifice.




Cursor on image to zoom/Click text to open image
Figure 2: Magnetic resonance imaging scan (coronal plane) images showing duplication of urinary bladder, cervix and rectum. UB: Urinary bladder; CX: Cervix, R: Rectum.




Cursor on image to zoom/Click text to open image
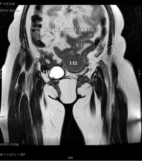
Figure 3: Magnetic resonance imaging scan showing showing the duplicated uterus with fibroids in both the uteri. Left uterus has larger fibroid. UT: Uterus, FIB: Fibroid.



DISCUSSION

Caudal duplication syndrome typically consists of a combination of several rare malformations and duplications of the distal organs derived from the hindgut, neural tube and caudal mesoderm. Although the specific reasons for caudal duplication are not well-known, it is presumed that an incomplete separation of monovular twins would be the one of the reasons. It is also believed that the impact of genetic, environmental and teratogenic factors influence the duplication of the embryonic cloaca and notochord at various levels during embryogenesis.

Even though caudal duplication syndrome is a rare condition, majority of the cases reported are soon after the birth. Reports on asymptomatic urogenital duplication in adulthood are uncommon. Early detection of malformation and duplication of organs may increase the chances of successful corrections, especially in cases of urogeneital duplications. A study by Greenberg et al. (1997) [3] showed successful vaginal delivery of a patient where the cloacal malformation was repaired at infant stage. Very few cases of complete urogenital duplication in an adult are reported all around the world till date [4]. In this repot, we presented a 36-year-old unmarried female with non-symptomatic complete external and internal duplication of the urogenital system with fibroids developing in both the uterus. We delineated the extent of the colonic, genitourinary and skeletal anomalies by using multimodal imaging. Duplication of the external genitalia in this particular case is highly unique with internal urogenital doubling and skeletal anomalies. While reconstructive genitourinary surgeries are performed to prevent complication and address the fertility. In this particular case, although the reproductive physiology, menstruation and gonadotropin levels are normal, due to the abnormal urogenital anatomy it is difficult to anticipate normal coitus. However, there has been case report published of successful cesarean delivery of an adult woman with duplication of the urogenital system [5][6]. As the fibroids are asymptomatic patient was not advised any treatment. Since both the uterus has fibroids, this case raises the interesting possibilities of an association of the development of fibroids in anomalous uterus.


CONCLUSION

It is beneficial to diagnose of malformations and duplications of caudal structures in infancy to allow possible early surgical correction. Improved non-invasive imaging as seen here has opened an era of new possibilities for diagnosing, delineating and monitoring such complex anomalies both in childhood and adulthood for better treatment strategies in the future.


REFERENCES
  1. Dominguez R, Rott J, Castillo M, Pittaluga RR, Corriere JN Jr. Caudal duplication syndrome. Am J Dis Child 1993 Oct;147(10):1048–52.   [CrossRef]   [Pubmed]    Back to citation no. 1
  2. Sur A, Sardar SK, Paria A. Caudal duplication syndrome. J Clin Neonatol 2013 Apr;2(2):101–2.   [CrossRef]   [Pubmed]    Back to citation no. 2
  3. Greenberg JA, Hendren WH. Vaginal delivery after cloacal malformation repair. Obstet Gynecol 1997 Oct;90(4 Pt 2):666–7.   [CrossRef]   [Pubmed]    Back to citation no. 3
  4. Shah KR, Joshi A. Complete genitourinary and colonic duplication: A rare presentation in an adult patient. J Ultrasound Med 2006 Mar;25(3):407–11.   [CrossRef]   [Pubmed]    Back to citation no. 4
  5. Richman TS, Taylor KJ. Sonographic demonstration of bladder duplication. AJR Am J Roentgenol 1982 Sep;139(3):604–5.   [CrossRef]   [Pubmed]    Back to citation no. 5
  6. Ragab O, Landay M, Shriki J. Complete cloacal duplication imaged before and during pregnancy. J Radiol Case Rep 2009;3(11):24–8.   [CrossRef]   [Pubmed]    Back to citation no. 6

[HTML Abstract]   [PDF Full Text]

Acknowledgements
We would like to acknowledge Suhasini Donthi for her assistance in draft preparation. We acknowledge the technicians at IIRC and Vista imaging technologies for their assistance

Author Contributions
Aarthi Deenadayal Tolani – Substantial contributions to conception and design, Acquisition of data, Analysis and interpretation of data, Drafting the article, Revising it critically for important intellectual content, Final approval of the version to be published
Dr. Mamta Deenadayal – Substantial contributions to conception and design, Acquisition of data, Analysis and interpretation of data, Revising it critically for important intellectual content, Final approval of the version to be published
Kadambari – Substantial contributions to conception and design, Drafting the article, Revising it critically for important intellectual content, Final approval of the version to be published
Vijay Bhasker – Substantial contributions to conception and design, Acquisition of data, Analysis and interpretation of data, Revising it critically for important intellectual content, Final approval of the version to be published
Guarantor
The corresponding author is the guarantor of submission.
Source of support
None
Conflict of interest
Authors declare no conflict of interest.
Copyright
© 2017 Aarthi Deenadayal Tolani et al. This article is distributed under the terms of Creative Commons Attribution License which permits unrestricted use, distribution and reproduction in any medium provided the original author(s) and original publisher are properly credited. Please see the copyright policy on the journal website for more information.