Case Report
 
Multicentric epithelioid hemangioendothelioma: An unusual case report
Liqa Al Mulla1, Jawad AL Khalaf1, Ayesha Ahmed1, Areej Al Nemer1, Yasser El-Ghoniemy1, Tarek M El-Sharkawy1
1Departments of Pathology, Histopathology section, and Department of Cardiothoracic Surgery, University of Dammam, KFHU, Al Khobar, KSA

Article ID: Z01201705CR10798LA
doi:10.5348/ijcri-201759-CR-10798

Address correspondence to:
iqa Abdul Rahman Al Mulla
Departments of Pathology, Histopathology section
Michigan, 2799 W Grand Blvd, Detroit
KSA

Access full text article on other devices

  Access PDF of article on other devices

[HTML Abstract]   [PDF Full Text] [Print This Article]
[Similar article in Pumed] [Similar article in Google Scholar]


How to cite this article
Al Mulla L, Al Khalaf J, Al Nemer A, El-Ghoniemy Y, El-Sharkawy TM. Multicentric epithelioid hemangioendothelioma: An unusual case report. Int J Case Rep Images 2017;8(5):339–343.


ABSTRACT
Introduction:Epithelioid hemangioendo-thelioma (EHE) is a rare malignant tumor of vascular origin. Most of the times it affects liver, lung and bones, although this kind of tumor may involve the head and neck area, breast, lymph nodes, mediastinum, brain and meninges, spine, skin, abdomen and many other sites. We report a case of a 59-year-old Jordanian man, who was found to have multiple lesions, in the liver, anterior abdominal wall and the lung. Due to the short duration between the presentation, and as most common reported EHE metastatic cases occur in the bone, we raise up the possibility of primary EHE multi-centric lesions from the beginning rather than metastasis.

Keywords: Epithelioid, Hemangioendothelioma, Multicentric



INTRODUCTION

Epithelioid hemangioendothelioma (EHE) is an uncommon low-grade malignant tumor of vascular origin that may develop in the soft tissue, lung, bone, brain, liver, and small intestine. However, the recent (2002) World Health Organization (WHO) classification does not strictly define these lesions as having intermediate behavior, but instead describes them as lesions that fall into the category of locally aggressive tumors and those with metastatic potential [1].


CASE REPORT

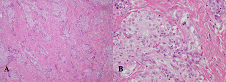
A 59-year-old Jordanian male who sought medical advice complaining of chronic fatigue, abdominal discomfort and weight loss. Abdominal examination revealed a huge nodular liver and moderate splenomegaly. The positive lab findings were leukocytosis, thrombocytosis, low Hg level with low MCV and MCH, high ESR, elevated alkaline phosphatase and GGTP. Computed tomography scan of chest and abdomen showed multiple bilateral hypodense nodules in the lungs, liver and spleen. He had been followed-up by cardiothoracic and oncology departments for many years. One month back, he presented to the surgical clinic with an anterior abdominal wall hyperpigmented lesion. Physical examination showed a dark grey firm nodule on anterior abdominal wall, measuring 1.5x0.5x0.5 cm. Histopathological findings reveal a dermal neoplasm formed of nests and cords of epithelioid and spindle cells embedded in fibro collagenous stroma (Figure 1A). The cells have abundant cytoplasm with occasional vacuoles and lumena, some of them have red blood cells (Figure 1B). There is low mitotic activity and mild to moderate pleomorphism. Some of the nuclei are grooved. Scattered eosinophils are present within tumor cells and in stroma.

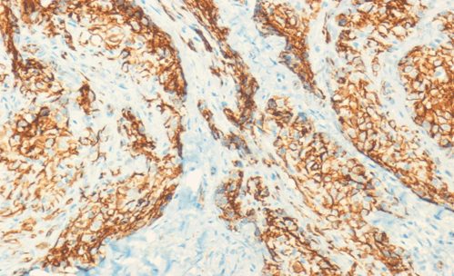
Immunohistochemical stains show positivity for Cluster of differentiation (CD31) (Figure 2) CD34, factor VIII and focal positivity for S100 protein in neoplastic cells and negativity for cytokeratin (CK), carcinoembryonic antigen (CEA) and tumor protein 63 (p63).

A diagnosis of epithelioid hemangioendothelioma was made. One month later, when the liver biopsy was taken from an outside hospital, the slides were received and showed the same histopathological and immunohistochemical findings. In the same month, the right lung nodule was discovered, with similar findings histopathologically and immunohistochemically, consistent with diagnosis of epithelioid hemangioendothelioma. The patient was doing well after receiving imatinib that was discontinued later on because he was intolerant to it as he developed gastric upset. On October 2016, he developed severe jaundice, tense ascites, melena and due to respiratory failure he passed away (Figure 3).



Cursor on image to zoom/Click text to open image
Figure 1: (A) Anterior abdominal wall skin nodule in the low power view showing nests and cords of epithelioid and spindle cells embedded in fibro collagenous stroma (H&E stain, x100). (B) The high power view of the abdominal skin nodule showing cells have abundant cytoplasm with occasional vacuoles, some of them have red blood cells (H&E stain, x400).


Cursor on image to zoom/Click text to open image
Figure 2: The tumor cells showing diffuse positive staining for CD31.


Cursor on image to zoom/Click text to open image
Figure 3: (A, B) CT chest with multiple bilateral pulmonary nodules. (C) CT abdomen showing multiple hypodense lesions in the liver. (D) CT chest showing osteolytic lesions in the vertebral body.



DISCUSSION

This case of a 59-year-old male with epithelioid hemangioendothelioma presented with multiple lesions found sequentially in anterior abdominal wall, liver and lung. Most of reported cases of EHE in literature have single organ involvement. However, EHE can arise from many organs, including lungs, liver, bone, and soft tissue, simultaneously or sequentially. When this occurs, it may be difficult to determine if the tumor is multicentric from the beginning or if there is a primary lesion with metastases to the other organ tissue.

Hua Zhang et al. reported a case of a 20-year-old male, who presented with a right knee pain for eight months and diagnosed as EHE [2]. Lucas Rios Torres et al. reported a case of a 28-year-old female presented with a hypoechogenic hepatic nodule incidentally found at routine ultrasonography (US), discovered to be an EHE after hematoxylin and eosin and immune histochemical staining [3] . Muna M. Dahabreh et al. in 2011 reported a case of a 12-year-old with epithelioid hemangioendothelioma presented with simultaneously found multiple lesions in the lungs, trachea, liver and abdominal rectal muscle [4].

Jinghong et al. reported one case of a 20-year-old female with pulmonary epithelioid hemangioendothelioma accompanied by bilateral multiple calcified nodules in lung [5]. In 2010, Madhusudhan et al. reported a case of an 11-year-old boy with hemoptysis who was diagnosed with EHE simultaneously involving lung and liver [6] . Kalra et al. reported a case of a 70-year-old female with coexistent hepatic and pulmonary epithelioid hemangioendothelioma [7]. Al-Shraim et al. reported a case of a 51-year-old man with primary pleural epithelioid hemangioendothelioma with metastases to the skin [8]. Adher et al. in 2005 reported a case of a child with syncopal episodes who was found to have generalized multifocal EHE lesions in bones, lung, kidney and liver [9]. Besides, Kasteren et al. reported a single case of EHE which was misdiagnosed initially as lung histiocytosis but was later found to have multi-organ involvement at autopsy [10] (Table 1).

Our case was initially presented with anterior abdominal wall hyperpigmented nodule, where skin biopsy was obtained and was confirmed to be EHE lesion. In less than one month, a lung nodule was discovered incidentally, and a tissue biopsy taken, in the same time where we received an outside slides of a liver biopsy, all consistent with the diagnosis of EHE.


Cursor on image to zoom/Click text to open image
Table 1: Summary of multicentric epithelioid hemangioendothelioma cases reported in current literature.



CONCLUSION

Epithelioid hemangioendothelioma (EHE) is a rare tumor of vascular origin, where patients present with multi-nodular lesions involving more than one organ. Due to the short duration between the presentation, and as most common reported EHE metastatic cases occur in the bone, we raise up the possibility of primary EHE multi-centric lesions from the beginning rather than metastasis.


REFERENCES
  1. Fletcher DM, Unni KK, Mortens F. World Health Organization Classification of Tumours. Pathology and genetics of tumours of soft tissue and bone. Lyon, France: IARC Press; 2002.    Back to citation no. 1
  2. Zhang H, Fu Y, Ye Z. Bone multicentric epithelioid hemangioendothelioma of the lower and upper extremities with pulmonary metastases: A case report. Oncol Lett 2015 May;9(5):2177–80.   [CrossRef]   [Pubmed]    Back to citation no. 2
  3. Torres LR, Timbó LS, Ribeiro CM, Galvão Filho MM, Verrastro CG, D'Ippolito G. Multifocal and metastatic hepatic hemangioendothelioma: Case report and literature review. Radiol Bras 2014 May–Jun;47(3):194–6.   [CrossRef]   [Pubmed]    Back to citation no. 3
  4. Dahabreh MM, Hmeideen NI, Najada AS. Multicentric epithelioid hemangioendothelioma involving the lungs, trachea, liver and skeletal muscles. Respir Med Case Rep 2012;5:20–2.   [CrossRef]   [Pubmed]    Back to citation no. 4
  5. Jinghong X, Lirong C. Pulmonary epithelioid hemangioendothelioma accompanied by bilateral multiple calcified nodules in lung. Diagn Pathol. 2011 Mar 21;6:21.   [CrossRef]   [Pubmed]    Back to citation no. 5
  6. Madhusudhan KS, Srivastava DN, Gamanagatti S. Multifocal epithelioid hemangioendothelioma presenting with hemoptysis. Indian J Pediatr 2010 Jun;77(6):699–700.   [CrossRef]   [Pubmed]    Back to citation no. 6
  7. Kalra N, Kochhar R, Vaiphei K, Virmani V, Yadav TD, Khandelwal N. Coexistent hepatic and pulmonary epitheloid hemangioendothelioma. Indian J Cancer 2009 Jan–Mar;46(1):61–3.   [Pubmed]    Back to citation no. 7
  8. Al-Shraim M, Mahboub B, Neligan PC, Chamberlain D, Ghazarian D. Primary pleural epithelioid haemangioendothelioma with metastases to the skin. A case report and literature review. J Clin Pathol 2005 Jan;58(1):107–9.   [CrossRef]   [Pubmed]    Back to citation no. 8
  9. Adler B, Naheedy J, Yeager N, Nicol K, Klamar J. Multifocal epithelioid hemangioendothelioma in a 16-year-old boy. Pediatr Radiol 2005 Oct;35(10):1014–8.   [CrossRef]   [Pubmed]    Back to citation no. 9
  10. van Kasteren ME, van der Wurff AA, Palmen FM, Dolman A, Miseré JF. Epithelioid haemangioendothelioma of the lung: Clinical and pathological pitfalls. Eur Respir J 1995 Sep;8(9):1616–9.   [Pubmed]    Back to citation no. 10

[HTML Abstract]   [PDF Full Text]

Author Contributions
Liqa Al Mulla – Substantial contributions to conception and design, Acquisition of data, Analysis and interpretation of data, Drafting the article, Revising it critically for important intellectual content, Final approval of the version to be published
Jawad Al Khalaf – Analysis and interpretation of data, Revising it critically for important intellectual content, Final approval of the version to be published
Ayesha Ahmed – Analysis and interpretation of data, Revising it critically for important intellectual content, Final approval of the version to be published
Areej Al Nemer – Analysis and interpretation of data, Revising it critically for important intellectual content, Final approval of the version to be published
Yasser El-Ghoniemy – Analysis and interpretation of data, Revising it critically for important intellectual content, Final approval of the version to be published
Tarek M El-Sharkawy – Analysis and interpretation of data, Revising it critically for important intellectual content, Final approval of the version to be published
Guarantor
The corresponding author is the guarantor of submission.
Source of support
None
Conflict of interest
Authors declare no conflict of interest.
Copyright
© 2017 Liqa Al Mulla et al. This article is distributed under the terms of Creative Commons Attribution License which permits unrestricted use, distribution and reproduction in any medium provided the original author(s) and original publisher are properly credited. Please see the copyright policy on the journal website for more information.