Case Report
 
What’s with all the water? Diuretic use for cerebral edema due to ecstasy
Ruben Hummelen1, Laus JMM Mulder2, Adriaan Dees3
1MD, PhD, Resident, Department of Internal Medicine, Ikazia Hospital, Rotterdam, the Netherlands, and Present address: Family Medicine Resident, McMaster University, Hamilton, Ontario, Canada
2MD, Neurologist, Department of Neurology, Ikazia Hospital, Rotterdam, the Netherlands
3MD, PhD, Internist, Department of Internal Medicine, Ikazia Hospital, Rotterdam, the Netherlands, Present address: Family Medicine Resident, McMaster University, Hamilton, Ontario, Canada

Article ID: Z01201705CR10797RH
doi:10.5348/ijcri-201758-CR-10797

Address correspondence to:
Dr. A. Dees
Ikazia Hospital Rotterdam
Montessoriweg 1 3083 AN Rotterdam
the Netherlands

Access full text article on other devices

  Access PDF of article on other devices

[HTML Abstract]   [PDF Full Text] [Print This Article]
[Similar article in Pumed] [Similar article in Google Scholar]


How to cite this article
Hummelen R, Mulder LJMM, Dees A. What’s with all the water? Diuretic use for cerebral edema due to ecstasy. Int J Case Rep Images 2017;8(5):335–338.


ABSTRACT
Introduction:Ecstasy (XTC) is a widely used synthetic drug, which can cause severe complications.
Case Report: A 19-year-old male who had visited a rave party and used XTC presented at the hospital with acute hyponatremia and seizures. Initial treatment with hypertonic saline failed to prevent new seizures. When the hyponatremia persisted and we concluded that the patient was also volume overloaded due to polydipsia, we decided to administer a low dose of a loop diuretic. Within hours, more than six litres of urine was produced and the patient made a complete recovery with normalization of the serum sodium level.
Conclusion: The combination of XTC use and excessive fluid intake can result in hypervolemia, along with treatment refractory hyponatremia. This case report emphasises the potential benefits of diuretics in the management of XTC-related hyponatremia.

Keywords: Ecstasy, Hyponatriemia, Syndrome of inappropriate ADH secretion (SIADH)



INTRODUCTION

Ecstasy (XTC) or 3, 4-methylenedioxymethamfetamine (MDMA) is an illicit synthetic drug. It is reported that XTC has been used by approximately 16 million Americans [1]. The drug is (ab)used for its euphoric and psychedelic effects. The desirable influences can be enhanced in electronic dance music or so-called rave party settings. Even though severe side effects of XTC are un-common, potentially lethal adverse events have been reported, including hyperthermia, renal failure, non-traumatic rhabdomyolysis, hyponatremia, cerebral edema, coma, mediastinal emphysema and severe hypoglycaemia [2] [3] [4]. Herein, we describe a case of acute, symptomatic hyponatremia due to the combination of XTC and polydipsia.


CASE REPORT

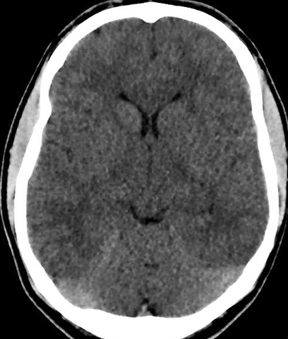
A 19-year-old male presented at the emergency department of the hospital on Saturday morning after a rave party. The patient arrived by ambulance after having had a seizure at the party. Other attendees of the party mentioned that the patient had consumed a large amount of water and (diluted) beer that night and had lost consciousness for a short time. On admission he was orientated with a maximum Glasgow Coma Scale (GCS) score of 15. He denied having used illicit drugs and his medical history was unremarkable. On physical examination the patient’s blood pressure was 147/117 mmHg and the heart rate regular at 114 beats per minute. His pupils were mildly dilated. The cardiovascular and respiratory examination were normal, no crackles were heard. The patient, however, appeared hypervolemic. His face had an edematous appearance and he visited the toilet several times while awaiting the results of the initial investigations. Shortly after being admitted, he experienced tonic-clonic seizure, for which midazolam was administered. To rule out intracranial pathology, a brain computed tomography (CT) scan was performed which showed evidence of cerebral swelling (Figure 1). Laboratory test findings on admission were as follows: sedimentation rate in the first hour: 2 (normal range <15), serum hemoglobin 8.6 mmol/l (normal range 8.5–11.0), leucocytes 13.0x109/l (normal range 4–10), sodium 119 mmol/l (normal range 135–145), creatinine 71 umol/l (normal range 65–110), osmolality 265 mOsmol/kg (normal range 275–300) and CK 1147 U/l (normal range <200). The serum ethanol level was 0.4 (normal range < 0.50/00), while the urine osmolality was 460 mOsmol/kg and the urine sodium level was 113 mmol/l. Urine toxicology screens for XTC and methamphetamine were positive. A diagnosis of acute, symptomatic hyponatremia associated with XTC intoxication was made. The patient was initially treated with hypertonic saline (50 ml of 3% NaCl per hour). The neurologist started the patient on intravenous Depakine to prevent new seizures. Several hours after admission, the patient’s sodium level remained stable at 120 mmol/l. Meanwhile the patient experienced two additional seizures. Due to the patient’s refractory clinical condition, we decided to treat him with a low dose loop diuretic, so 10 mg of furosemide was administered intravenously. A diuresis of 6900 ml in six hours then followed and the hyponatremia was gradually corrected, reaching 137 mmol/l the next morning (24 hours after admission). The patient was discharged from the hospital the following day, without any sequelae.



Cursor on image to zoom/Click text to open image
Figure 1: Computed tomography scan of the brain demonstrating diffuse swelling and edema.



DISCUSSION

Acute, symptomatic hyponatremia associated with XTC intoxication, as presented here, is rare. This may in turn lead to cerebral edema and seizures with potential fatal consequences. Mechanisms include acute kidney injury secondary to non-traumatic rhabdomyolysis, and the syndrome of inappropriate anti diuretic hormone secretion (SIADH), which can be triggered by MDMA and its metabolites [4][5][6]. A study from Amsterdam showed that females are particularly susceptible to developing dilution hyponatremia, which may be related to the effects of estrogen on anti-diuretic hormone (ADH) release [7]. Recent investigations have also confirmed that MDMA potentiates the effects of water loading on hyponatremia [8]. Since acute symptomatic hyponatremia requires urgent treatment, we treated the patient with hypertonic saline (3% at a rate of 50 ml/hour). The Adrogue–Madias formula was used to estimate the anticipated rise in the patient’s serum sodium level following treatment [9]. This regimen was the preferred treatment at the time. In recent years, however, a 100 ml bolus of 3% NaCl has become the standard instead of a continuous infusion [4][10]. The bolus alternative may facilitate a simpler and more rapid management in the emergency department. The use of isotonic saline solutions is not advised since it may exacerbate volume overload and ADH secretion.

Our patient, however, did not well respond to treatment. We realized that SIADH might not have been the sole mechanism in this case. Ecstasy as well as hyperthermia stimulate feelings of thirst. In addition, the advice and common belief at parties where XTC is consumed is to drink large amounts of fluids to avoid hyperthermia. For our patient, this meant that the consumption of hypotonic liquids could explain the refractory character of the course of the disease. The serum sodium level of 119 mmol/l would have developed on the night of the party. During this time the patient’s total body water would have increased by a factor 1.18 (natrium 140/119) or 18%. In males, total body water is approximately 60% of body’s weight. Following this logic, with the patient weighing 80 kg, he would have had an intake of approximately 8.6 L (18% of 60 L). This estimation does not include the loss of body fluid from perspiration or urination during the time period in question. The patient had an edematous appearance on arrival and experienced an extensive diuresis after receiving a small dose of furosemide. Therefore, we believe it is likely that the patient had been in a hypervolemic state.

Patients with SIADH are usually euvolemic and fluid restrictions are the preferred treatment. In contrast with an euvolemic state, hyponatremia along with a hypervolemic state is usually observed in cirrhosis, heart failure and end-stage renal failure. The patient made a full recovery. The case confirms the clinical course of patients in previous reports. Loop diuretics, and even the osmotic agent mannitol, have been used to manage cerebral edema due to XTC before [2][11].


CONCLUSION

The case demonstrates that in refractory hyponatremia due to ecstasy, a low dose diuretic can be considered to counter potential volume overload due to polydipsia.


REFERENCES
  1. Michael White C. How MDMA’s pharmacology and pharmaconetics drive desired effects and harms. J Clin Pharmacol 2014 Mar;54(3):245–52.   [CrossRef]   [Pubmed]    Back to citation no. 1
  2. Kalantar-Zadeh K, Nguyen MK, Chang R, Kurtz I. Fatal hyponatremia in a young woman after ecstasy ingestion. Nat Clin Pract Nephrol 2006 May;2(5):283–8, quiz 289.   [CrossRef]   [Pubmed]    Back to citation no. 2
  3. Carrera P, Iyer VN. Profound hypoglycemia with ecstasy intoxication. Case Rep Emerg Med 2015;2015:483153.   [CrossRef]   [Pubmed]    Back to citation no. 3
  4. Bora F, Yilmaz F, Bora T. Ecstasy (MDMA) and its effects on kidneys and their treatment: A review. Iran J Basic Med Sci 2016 Nov;19(11):1151–8.   [Pubmed]    Back to citation no. 4
  5. Campbell GA, Rosner MH. The agony of ecstasy: MDMA (3,4-methylenedioxymethamphetamine) and the kidney. Clin J Am Soc Nephrol 2008 Nov;3(6):1852–60.   [CrossRef]   [Pubmed]    Back to citation no. 5
  6. Pendergraft WF III, Herlitz LC, Thornley-Brown D, Rosner M, Niles JL. Nephrotoxic effects of common and emerging drugs of abuse. Clin J Am Soc Nephrol 2014 Nov 7;9(11):1996–2005.   [CrossRef]   [Pubmed]    Back to citation no. 6
  7. Adrogué HJ, Madias NE. Hyponatremia. N Engl J Med 2000 May 25;342(21):1581–9.   [CrossRef]   [Pubmed]    Back to citation no. 7
  8. Baggott MJ, Garrison KJ, Coyle JR, et al. MDMA impairs response to water intake in healthy volunteers. Adv Pharmacol Sci 2016;2016:2175896.   [CrossRef]   [Pubmed]    Back to citation no. 8
  9. Moritz ML, Ayus JC. 100 cc 3% sodium chloride bolus: A novel treatment for hyponatremic encephalopathy. Metab Brain Dis 2010 Mar;25(1):91–6.   [CrossRef]   [Pubmed]    Back to citation no. 9
  10. van Dijken GD, Blom RE, Hené RJ, Boer WH, Nigram Consortium. High incidence of mild hyponatraemia in females using ecstasy at a rave party. Nephrol Dial Transplant 2013 Sep;28(9):2277–83.   [CrossRef]   [Pubmed]    Back to citation no. 10
  11. Ghatol A, Kazory A. Ecstasy-associated acute severe hyponatremia and cerebral edema: A role for osmotic diuresis? J Emerg Med 2012 Jun;42(6):e137–40.   [CrossRef]   [Pubmed]    Back to citation no. 11

[HTML Abstract]   [PDF Full Text]

Author Contributions
Ruben Hummelen – Substantial contributions to conception and design, Acquisition of data, Analysis and interpretation of data, Drafting the article, Revising it critically for important intellectual content, Final approval of the version to be published
Laus JMM Mulder – Substantial contributions to conception and design Drafting the article, Revising it critically for important intellectual content, Final approval of the version to be published
Adriaan Dees – Substantial contributions to conception and design, Acquisition of data, Analysis and interpretation of data, Drafting the article, Revising it critically for important intellectual content, Final approval of the version to be published
Guarantor
The corresponding author is the guarantor of submission.
Source of support
None
Conflict of interest
Authors declare no conflict of interest.
Copyright
© 2017 Ruben Hummelen et al. This article is distributed under the terms of Creative Commons Attribution License which permits unrestricted use, distribution and reproduction in any medium provided the original author(s) and original publisher are properly credited. Please see the copyright policy on the journal website for more information.