Case Report
 
Percutaneous endoscopic colostomy for management of pseudo-obstruction
Mirza Faraz Saeed1, Mobeen Ashfaq2, Othman Yousef Alfrayyan3, Amro Salem4
1MBBS, FMAS, FICS, MS, Registrar General Surgery, Surgery Department, King Hamad University Hospital, Kingdom of Bahrain
2MB Bch BAO, Intern King Hamad University Hospital, Kingdom of Bahrain
3MBBS, Level 3 General Surgery Resident at King Fahad University Hospital, KSA
4MSC, FRCS, Consultant General and Colorectal Surgery, King Hamad University Hospital, Kingdom of Bahrain


Article ID: Z01201705CR10794MS
doi:10.5348/ijcri-201755-CR-10794

Address correspondence to:
Dr. Mirza Faraz Saeed
Registrar General Surgery, Surgery Department
King Hamad University Hospital
Kingdom of Bahrain

Access full text article on other devices

  Access PDF of article on other devices

[HTML Abstract]   [PDF Full Text] [Print This Article]
[Similar article in Pumed] [Similar article in Google Scholar]


How to cite this article
Saeed MF, Ashfaq M, Alfrayyan OY, Salem A. Percutaneous endoscopic colostomy for management of pseudo-obstruction. Int J Case Rep Images 2017;8(5):322–325.



ABSTRACT
Introduction: Percutaneous endoscopic colostomy (PEC) is a minimally invasive variation of percutaneous endoscopic gastrostomy that can be offered to patients who may not be ideal candidates for surgery, or in whom surgery may be inappropriate for other reasons.
Case Report: A 61-year-old male with multiple comorbidities, presented with a one-week history of significant diffuse abdominal pain and distention that has been recurrent, associated with anorexia, nausea and chronic constipation. The patient was admitted with the impression of pseudo-obstruction after meticulous clinical examination and imaging (abdominal X-ray and computed tomography scan). During the course of hospital stay, patient refused to undergo the advised surgical procedure and the rectal tube was put in place which failed to relieve the symptoms. Thus, percutaneous endoscopic colostomy (PEC) was performed as per the method first described by Jeffry Ponski in 1986. Colonoscopy showed a partial sigmoid volvulus, for which detorsion was performed to relieve the chronic constipation. Subsequently, the patient was able to receive regular colonic enemas to prevent recurrent obstruction with decrease in abdominal girth with significant deflation and clinical improvement.
Conclusion:Percutaneous endoscopic colostomy (PEC) is a promising technique that has shown good results while reducing the surgery burden in selected patients. This patient shows an excellent prognosis at three months follow-up, however more studies are recommended to evaluate the long-term outcomes.

Keywords: Colostomy, Endoscopic, Percutaneous, Pseudo-obstruction



INTRODUCTION

Percutaneous endoscopic colostomy (PEC) is a well-established variation of percutaneous endoscopic gastrostomy. Percutaneous endoscopic colostomy offers an alternative for patients who have failed conventional treatment of conditions such as fecal constipation, acute colonic pseudo-obstruction, and recurrent sigmoid volvulus. It has also been a useful technique for clinicians in cases where surgery may be contraindicated, for example, in the elderly or frail patients [1]. While PEC has shown promise in certain clinical scenarios, there is still doubt and room for debate as to when is the right time for this technique in cases that have vague presentations such as the one presented in this study. This is a case of a 61-year-old male with refractory chronic constipation treated successfully with PEC. A search was conducted through PubMed, Cochrane Library as well as NICE guidelines to look for high quality data to compare the most favorable management plan in similar cases to the one underwent by our patient.



CASE REPORT

A 61-year-old male, known case of hypertension and psychiatric illness, presented with abdominal pain and distension of one week duration. Abdominal pain was generalized and severe. The patient also had a background history of constipation, anorexia and nausea for one year. He had previous similar attacks that were treated conservatively with fleet enemas. The patient has no previous abdominal surgeries. There was no history of weight loss, bleeding per rectum or diarrhea. The patient had no known allergies and no family history of colonic malignancies.

On examination the patient was afebrile, tachycardic, and in pain and distress. Abdominal examination showed massive abdominal distention with minimal tenderness on palpation. The abdomen was also diffusely tympanic on percussion, with high-pitched tinkling bowel sounds on abdominal auscultation. The remainder of systemic examination was unremarkable. Per rectum examination showed massive stool evacuation and release of gases. Initially, the patient was admitted with the impression of Ogilvie syndrome for observation. This was based on the presence of acute pseudo-obstruction and colonic dilatation seen on imaging, and due to the absence of an anatomic lesion to obstruct intestinal flow. On admission the patient was kept nil per os, resuscitative measures done, started on intravenous erythromycin and rectal tube inserted to acutely manage the constipation.

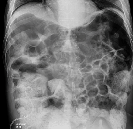
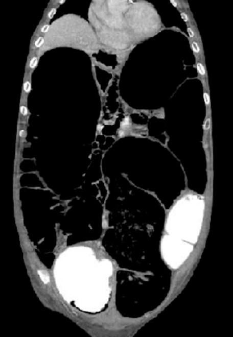
X-ray of the abdomen (erect and supine) showed the appearance of extensive colonic gaseous distention that raised both diaphragmatic leaflets. Colonic liquefied fecal content was seen extending down to the rectum. Overall impression on imaging was of pseudo-obstruction (Figure 1). Computed tomography (CT) scan of abdomen with contrast showed marked diffuse colonic dilation with no evidence of a mechanically obstructing lesion (Figure 3) And (Figure 4).

As part of initial management, a cecostomy tube was inserted that failed to produce contents and the abdominal girth was increasing daily, despite six hourly flushing of the rectal tube. Patient was advised surgery, with all necessary risks and benefits are explained. However, the patient and his family refused the procedure. Plan to perform a percutaneous endoscopic colostomy was implemented. The procedure was done under sedation using midazolam 1 mg intravenous and fentanyl 0.025 mg intravenous. Partial sigmoid volvulus was noted on endoscopy, for which detorsion was performed. Under the guidance of two operators, trans-illumination was performed with the lighted tip of the endoscope pressing outward against the abdominal wall to identify point of insertion. Local anesthetic was injected into the skin and using the percutaneous endoscopic gastrostomy (PEG) kit, a needle was used to enter the colon under direct vision. The wire was grasped by a snare and then the PEC tube was pulled and trailed into the colon and out through the abdominal wall using the Ponsky technique. The PEC tube was inserted at 35 cm from the anal verge, with confirmation of placement via endoscopy (Figure 5).

The patient remained stable throughout the procedure and following the procedure, an abdominal X-ray was performed to confirm placement of the PEC. Following the procedure, abdominal girth began to deflate following daily fleet enema and digital rectal evacuated stool from the colon. The PEC tube was routinely flushed with 20 cc saline to prevent any blockages.

Patient has been followed as outpatient clinic for three months, he was doing well, stoma was functioning well, and has no abdominal distention, pain or vomiting.

Percutaneous endoscopic colostomy tube was removed after three months with no complications.



Cursor on image to zoom/Click text to open image
Figure 1: Supine abdominal X-ray on admission (Cecum approximately 9 cm).




Cursor on image to zoom/Click text to open image
Figure 2: Post-percutaneous cecostomy.




Cursor on image to zoom/Click text to open image
Figure 3: Axial abdominal computed tomography scan showing dilated colon.




Cursor on image to zoom/Click text to open image
Figure 4: Coronal abdominal computed tomography scan view showing dilated colon (ascending colon approximately 10 cm).




Cursor on image to zoom/Click text to open image
Figure 5: Endoscopic confirmation.



DISCUSSION

Percutaneous endoscopic colostomy (PEC) was first described in 1986 by Jeffrey Ponsky and it is considered as a safe and minimally invasive procedure [1] [2]. Percutaneous endoscopic colostomy has become a viable alternative to surgical intervention in patients with recurrent sigmoid volvulus, acute colonic pseudo-obstruction and fecal constipation [1], and is also a highly efficient intervention in elderly, with multiple comorbidities who will be under high risk if they go for surgical intervention [3] [4][5].

Complications can include failure of procedure, recurrence of obstruction, tube migration, abdominal wall damage, infection, pain and peritonitis, which is considered the most serious complication among all others [4][6] . Percutaneous endoscopic colostomy is contraindicated in a number of conditions such as colonic ischemia, anterior abdominal wall infection and mechanical intestinal obstruction [4].

In recent years, there has been an increase in the literature published on this procedure, the largest publication on this procedure reported cases of 15 children who had PEC indicated due to refractory constipation. At follow-up evaluation 12 months later, all children were socially clean and two were able to have the PEC removed [1]. The pitfalls in studies published about PEC indicated in sigmoid volvulus involve poor sample size and varying techniques for placement of the PEC. Currently, the procedure is not recommended as a routine option and is only performed in cases that a deemed inoperable or unfit for surgery [1].


CONCLUSION

Percutaneous endoscopic colostomy (PEC) is a minimally invasive and highly effective procedure for patients that may be not be fit for surgery, or where high-risk surgical consent cannot be obtained such as in the case presented here. The procedure has shown to be a very durable alternative to surgery in cases presenting with recurrent refractory fecal constipation, recurrent sigmoid volvulus and acute colonic pseudo-obstruction. Our patient was followed for three months’ post procedure and he remained stable throughout with no complications. More studies that evaluate the durability of this practice over a longer period of follow-up are recommended.


REFERENCES
  1. Percutaneous Endoscopic Colostomy. Guidance And Guidelines. [Available at: https://www.nice.org.uk/guidance/ipg161]    Back to citation no. 1
  2. Khan MA, Ullah S, Beckly D, Oppong FC. Percutaneous endoscopic colostomy (PEC): An effective alternative in high risk patients with recurrent sigmoid volvulus. J Coll Physicians Surg Pak 2013 Nov;23(10):806–8.   [Pubmed]    Back to citation no. 2
  3. Al-Alawi IK. Percutaneous endoscopic colostomy: A new technique for the treatment of recurrent sigmoid volvulus. Saudi J Gastroenterol 2010 Apr-Jun;16(2):120–1.   [CrossRef]   [Pubmed]    Back to citation no. 3
  4. Tun G, Bullas D, Bannaga A, Said EM. Percutaneous endoscopic colostomy: A useful technique when surgery is not an option. Ann Gastroenterol 2016 Oct–Dec;29(4):477–80.   [CrossRef]   [Pubmed]    Back to citation no. 4
  5. Toebosch S, Tudyka V, Masclee A, Koek G. Treatment of recurrent sigmoid volvulus in Parkinson's disease by percutaneous endoscopic colostomy. World J Gastroenterol 2012 Oct 28;18(40):5812–5.   [CrossRef]   [Pubmed]    Back to citation no. 5
  6. Frank L, Moran A, Beaton C. Use of percutaneous endoscopic colostomy (PEC) to treat sigmoid volvulus: A systematic review. Endosc Int Open 2016 Jul;4(7):E737–41.   [CrossRef]   [Pubmed]    Back to citation no. 6

[HTML Abstract]   [PDF Full Text]

Author Contributions
Mirza Faraz Saeed – Substantial contributions to conception and design, Acquisition of data, Analysis and interpretation of data, Drafting the article, Revising it critically for important intellectual content, Final approval of the version to be published
Mobeen Ashfaq – Analysis and interpretation of data, Revising it critically for important intellectual content, Final approval of the version to be published
Othman Yousef Alfrayyan – Analysis and interpretation of data, Revising it critically for important intellectual content, Final approval of the version to be published
Amro Salem – Analysis and interpretation of data, Revising it critically for important intellectual content, Final approval of the version to be published
Guarantor
The corresponding author is the guarantor of submission.
Source of support
None
Conflict of interest
Authors declare no conflict of interest.
Copyright
© 2017 Mirza Faraz Saeed et al. This article is distributed under the terms of Creative Commons Attribution License which permits unrestricted use, distribution and reproduction in any medium provided the original author(s) and original publisher are properly credited. Please see the copyright policy on the journal website for more information.