Case report
 
A rare presentation of a mesenteric venolymphatic malformation with spontaneous hemorrhage in a newborn infant: A case report
Alaa Mahmoud1, Shahla Bari1, Dhanashree Rajderkar2
1MD, Radiology Resident, Department of Radiology, University of Florida, Gainesville, FL, USA
2Assistant Professor & Chief of Pediatric Radiology, Department of Radiology, University of Florida, Gainesville, FL, USA

Article ID: Z01201704CR10782AM
doi:10.5348/ijcri-201743-CR-10782

Address correspondence to:
Dhanashree Rajderkar
MD, Post Office Box 100374, Gainesville
Florida, USA


Access full text article on other devices

  Access PDF of article on other devices

[HTML Abstract]   [PDF Full Text] [Print This Article]
[Similar article in Pumed] [Similar article in Google Scholar]


How to cite this article
Mahmoud A, Bari S, Dhanashree RA. A rare presentation of a mesenteric venolymphatic malformation with spontaneous hemorrhage in a newborn infant: A case report. Int J Case Rep Images 2017;8(4):252–256.



Abstract

Introduction: Abdominal venolymphatic malformations are benign rare congenital lymphatic malformations with various presentations. Reported presentations include acute abdomen, intestinal obstruction, torsion, and traumatic hemorrhage.
Case Report: We present a case of a 36-week-gestational age female delivered via cesarean section secondary to developing intra-abdominal fluid on antenatal ultrasound. Subsequent imaging, exploratory laparotomy, and pathology were notable for a hemorrhagic left colonic mesenteric venolymphatic malformation with intra-abdominal fresh and coagulated blood.
Conclusion: Although rare, previous cases of abdominal venolymphatic malformation have been described. This is the first reported case of spontaneous intrauterine hemorrhage requiring urgent cesarean section.

Keywords: Abdominal, Congenital, Hemorrhage, Prenatal, Venolymphatic malformation



Introduction

Venolymphatic malformations are benign rare lymphatic vessel anomalies that occur often in the neck and axilla [1]. Intra-abdominal cystic venolymphatic malformations are exceedingly rare accounting for less than 5% of cases and often arise from the mesentery, retroperitoneum, and visceral organs. Abdominal venolymphatic malformations have various clinical presentations including acute abdomen, intestinal obstruction, torsion, hemorrhage after trauma and asymptomatic presentations [2][3]. No cases of spontaneous hemorrhage have been reported to our knowledge.



Case Report

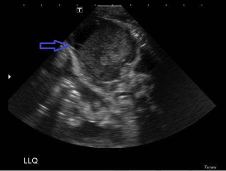
A 36-week-gestational age female was delivered urgently via cesarean section due to developing intra-abdominal fluid and bowel distention on ultrasound in utero. The mother was a 27-year-old G2P1001 Caucasian otherwise healthy female. Apgar scores post cesarean section was six and nine at one and five minutes respectively. On delivery, the patient required transfusion secondary to anemia (20% hematocrit with normal range being 55–68%). Paucity of gas in the left hemiabdomen was noted on plain films. Ultrasound demonstrated a heterogeneous mass in the left abdomen medial to the spleen and anterior to the left kidney measuring approximately 4.8x3.6x4.9 cm (Figure 1) (Figure 2) (Figure 3). This mass lacked flow on Doppler (Figure 4). Ultrasound also was notable for moderate complex ascites with debris consistent with blood products (Figure 2). Computed tomography scan confirmed the presence a large unilocular well circumscribed mass adjacent to the left colon with smooth margins and associated extensive complex ascites (Figure 5) (Figure 6). Our differential diagnosis was a complicated mesenteric cyst versus hemorrhagic ruptured ovarian cyst.

Exploratory laparotomy was performed which revealed a left colonic mesenteric cystic mass with hemorrhage. Intraperitoneal clot and free peritoneal blood was noted. No bowel resection was required. The gross sample consisted of a 2.2x1.9x0.2 cm aggregate of tan-gray membranous friable tissue with clot. Pathology demonstrated benign cystic fibrovascular tissue septa with simple epithelial lining and rare irregular vascular channels filled with lymphocytes consistent with venolymphatic malformation (Figure 7) (Figure 8) (Figure 9). Postsurgically, the patient did well. The patient now is a year old without complications and is as expected developmentally for age.




Cursor on image to zoom/Click text to open image
Figure 1: Left lower quadrant mass with septation (red arrow). Moderate volume ascites containing internal low-level echoes (blue arrow).



Cursor on image to zoom/Click text to open image
Figure 2: Left lower quadrant heterogeneous mass (orange arrow). Ascites with simple (red arrow) and complex (blue arrow) components.



Cursor on image to zoom/Click text to open image
Figure 3: Ultrasound of left lower quadrant showed a heterogeneous mass in the left abdomen medial to the spleen and anterior to the left kidney measuring approximately 4.8x3.6x4.9 cm.


Cursor on image to zoom/Click text to open image
Figure 4 : Ultrasound of the left lower quadrant mass with Doppler demonstrates no intralesional flow.


Cursor on image to zoom/Click text to open image
Figure 5: Computed tomography scan of abdomen and pelvis with intravenous contrast showed a large, cystic well circumscribed isodense-slightly hyperdense mass with smooth margins (red arrow) in left lower quadrant with surrounding fluid (blue arrow), displacing the colon. Few very small scattered cysts were noted (Orange arrows).


Cursor on image to zoom/Click text to open image
Figure 6: Computed tomography scan of abdomen pelvis with intravenous contrast showing extensive complex ascites (blue arrow).


Cursor on image to zoom/Click text to open image
Figure 7: Collapsed cystic lining with fibrovascular septa (blue arrow).


Cursor on image to zoom/Click text to open image
Figure 8: Collapsed cystic lining within the fibrovascular septa, rare lymphocyte filled channels are noted (black arrow) (H&E stain, x200).


Cursor on image to zoom/Click text to open image
Figure 9: Vascular channels (black arrow) within the septa (H&E stain, x100).


Discussion

Venolymphatic malformations account for about five percent of all benign tumors in infants and children. Fifty percent of cases involve the head and neck and only 5% are intra-abdominal [1][2][3]. Other rare anatomic sites have also been reported including the mediastinum, pleura, lungs, pericardium, and bone [4]. Sixty percent of hese tumors are noticed at birth. Almost ninety percent are detected by the mean age of two years. Of the intra-abdominal venolymphatic malformations, the majority involve the mesentery of the small bowel. It is believed that these tumors result from an embryological failure of communication between the small bowel lymphatic tissue and the main lymphatic vessels resulting in blind cystic lymphatic spaces lined by endothelial layers.

Clinical presentation is variable and depends on mass size and location. Most abdominal cystic lesions (ACLs) present with a large, slow-growing and mobile mass along with abdominal distention [1]. Abdominal discomfort is common while acute peritoneal symptoms due to rupture, volvulus, hemorrhage or infection occur infrequently.

Ultrasound is the initial, quick and preferred modality to evaluate any suspected abdominal masses in a new born infant. There are usually multiple thin septations in the multiloculated lesions. If these are complicated by hemorrhage or infection, floating debris, fluid levels and thick septations may be seen. On color Doppler examination, these do not show much internal vascularity.

Computed tomography scan is usually performed prior to surgical planning to know the extent of the lesion and to evaluate for any other organ involvement. On CT, these lesions are well defined, uni/multilocular with internal fluid density [1]. However, there may be areas of hyperdensity related to hemorrhage (as in our patient).

Small lesions with no complications can be observed. They are known to regress on their own. Surgical resection remains the treatment of choice in patients who have large lesions. Bowel resection is sometimes necessary if bowel is involved. Regrowth in the residual lesion is the most common complication but recurrence remains low. The use of sclerosing agents is reserved for immediate decompression in the macrocystic variety [5] [6] .


Conclusion

Abdominal venolymphatic malformations are known to have various presentations including acute abdomen, intestinal obstruction, torsion, and traumatic hemorrhage. Cases typically present before the age of two. This is the first case to our knowledge of an abdominal mesenteric venolymphatic malformation with spontaneous hemorrhage in the perinatal age.


Acknowledgements

We would like to thank Dr. Robert Dubuisson and Dr. Jehan Shah for their assistance with image interpretation.


References
  1. Konen O, Rathaus V, Dlugy E, et al. Childhood abdominal cystic lymphangioma. Pediatr Radiol 2002 Feb;32(2):88–94.   [CrossRef]   [Pubmed]    Back to citation no. 1
  2. Chiappinelli A, Forgues D, Galifer RB. Congenital abdominal cystic lymphangiomas: What is the correct management? J Matern Fetal Neonatal Med 2012 Jul;25(7):915–9.   [CrossRef]   [Pubmed]    Back to citation no. 2
  3. Hubli P, Rohith M, Sachin BM. A giant retroperitoneal lymphangioma: A case report. J Clin Diagn Res 2016 Jul;10(7):PD14–5.   [CrossRef]   [Pubmed]    Back to citation no. 3
  4. Fernandes BF, Moraes ÈN, de Oliveira FR, et al. Subserous lymphangioma of the sigmoid colon: An uncommon cause of acute abdomen in pediatric patients. Autops Case Rep 2015 Dec 30;5(4):65–70.   [CrossRef]   [Pubmed]    Back to citation no. 4
  5. Steyaert H, Guitard J, Moscovici J, Juricic M, Vaysse P, Juskiewenski S. Abdominal cystic lymphangioma in children: Benign lesions that can have a proliferative course. J Pediatr Surg 1996 May;31(5):677–80.   [CrossRef]   [Pubmed]    Back to citation no. 5
  6. Alqahtani A, Nguyen LT, Flageole H, Shaw K, Laberge JM. 25 years' experience with lymphangiomas in children. J Pediatr Surg 1999 Jul;34(7):1164–8.   [CrossRef]   [Pubmed]    Back to citation no. 6

Suggested Reading

  • Akwei S, Bhardwaj N, Murphy PD. Benign mesenteric lymphangioma presenting as acute pancreatitis: A case report. Cases J 2009 Dec 16;2:9328.
  • Levy AD, Cantisani V, Miettinen M. Abdominal lymphangiomas: Imaging features with pathologic correlation. AJR Am J Roentgenol 2004 Jun;182(6):1485–91.
  • Maa J, Wa C, Jaigirdir A, Cho SJ, Corvera CU. Giant mesenteric cystic lymphangioma presenting with abdominal pain and masquerading as a gynecologic malignancy. Rare Tumors 2009 Dec 28;1(2):e48.


[HTML Abstract]   [PDF Full Text]

Author Contributions
Alaa Mahmoud – Substantial contributions to conception and design, Acquisition of data, Analysis and interpretation of data, Drafting the article, Revising it critically for important intellectual content, Final approval of the version to be published
Shahla Bari – Substantial contributions to conception and design, Acquisition of data, Analysis and interpretation of data, Drafting the article, Revising it critically for important intellectual content, Final approval of the version to be published
Rajderkar A. Dhanashree – Substantial contributions to conception and design, Revising it critically for important intellectual content, Final approval of the version to be published
Guarantor
The corresponding author is the guarantor of submission.
Source of support
None
Conflict of interest
Authors declare no conflict of interest.
Copyright
© 2017 Alaa Mahmoud et al. This article is distributed under the terms of Creative Commons Attribution License which permits unrestricted use, distribution and reproduction in any medium provided the original author(s) and original publisher are properly credited. Please see the copyright policy on the journal website for more information.