Case Report
 
Cerebral hemorrhagic infarction as the initial manifestation of deep venous thrombosis in a child with patent foramen ovale: A case report
Dimitrios Panagopoulos1, Sofia Loukopoulou2, Georgios Markogiannakis1, Nikos Eleftherakis3
1Consultant Neurosurgeon, Neurosurgical Department, Pediatric Hospital, Aglaia Kyriakou, Athens, Greece
2Consultant cardiologist, Cardiology Department, Pediatric Hospital, Agia Sophia, Athens, Greece
3Consultant Cardiologist, Director of the Hemodynamic Cardiology Department, Pediatric Hospital, Agia Sophia, Athens, Greece

Article ID: Z01201711CR10854DP
doi:10.5348/ijcri-2017115-CR-10854

Address correspondence to:
Dimitrios Panagopoulos
Athens, Attica
Greece, 14564

Access full text article on other devices

  Access PDF of article on other devices

[HTML Abstract]   [PDF Full Text] [Print This Article]
[Similar article in Pumed] [Similar article in Google Scholar]


How to cite this article
Panagopoulos D, Loukopoulou S, Markogiannakis G, Eleftherakis N. Cerebral hemorrhagic infarction as the initial manifestation of deep venous thrombosis in a child with patent foramen ovale: A case report. Int J Case Rep Images 2017;8(11):739–745.


ABSTRACT

Introduction: Arterial ischemic stroke (AIS), with an estimated incidence of 1.1–4.3 per 100,000, is an important cause of morbidity and mortality in children and the recurrence risk is high.
Case Report: We present the case of an 11-year-old child who presented with a symptomatology of acute ischemic stroke of unknown etiology. The radiological investigation did not reveal any underlying brain abnormality that could cause the event. The diagnostic work up included an echocardiogram, which revealed a thrombus in the right atrium, in conjunction with a patent foramen ovale. The patient was initiated immediately on anticoagulation therapy with low molecular weight heparin and warfarin, but two days later she suffered pulmonary emboli, diagnosed with spiral thorax computed tomography scan. An ultrasound study of the vessels of the lower extremities revealed deep venous thrombosis, which was considered to be the underlying causative mechanism.
Conclusion: To the best of our knowledge, this is the first documented case of right atrial thrombus resulting from deep venous thrombosis in a pediatric patient with patent foramen ovale and associated ischemic stroke event. A discussion regarding the definition of cryptogenic stroke, its etiology and relationship with deep venous thrombosis and the currently proposed therapy, follows.

Keywords: Cryptogenic stroke, Foramen ovale


INTRODUCTION

Ischemic stroke in children is a relatively rare entity relative to the adult population. The definition includes ischemic and hemorrhagic infarction· in children, 55% are believed to be ischemic, and the remainder hemorrhagic. The wide range of pathophysiological processes associated with pediatric strokes mandates a careful diagnostic evaluation to maximize the chances for optimal patient outcome.

Pediatric arterial ischemic stroke (AIS) is an important cause of neurologic morbidity in children. Consequences can include sensorimotor deficits, language impairment, and intellectual disability, behavioral problems, and epilepsy [1]. Unfortunately, the diagnosis of stroke in children is often delayed [2][3].

Children with cardiac disease represent one of the most significant subsets of pediatric AIS patients. Across most series, cardiac risk factors are present in 2–31% of children with AIS [4] [5][6] [7] [8][9].

A point of uncertainty persists regarding the role of an isolated patent foramen ovale (PFO), in part because there is significant variability in how this has been considered across studies, with some lumping it in with other structural heart diseases while others have separated it as a distinct diagnosis. While there is some evidence suggesting an important role of right-to-left shunting across an atrial defect, particularly among patients with prothrombotic conditions or cryptogenic stroke [10], the role of device closure remains undefined due to lack of sufficient evidence [11].

We present a rare clinical case of a young girl harboring a latent deep venous thrombosis (DVT), a thrombus in the right atrium with subsequent arterial ischemic stroke (AIS) of the brain, possibly due to a patent foramen ovale (PFO)· This was the first clinical manifestation of an otherwise unrecognized clinical condition.


CASE REPORT

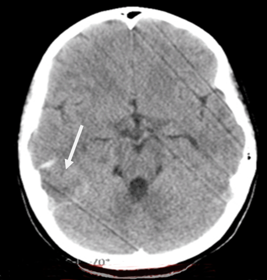
An 11-year-old girl presented with headache, vomiting, dizziness, dysphasia and gaze dedication for a few seconds. The initial computed tomography (CT) scan revealed intracerebral hematoma (ICH) in the right parieto-occipital region with perilesional edema (Figure 1).

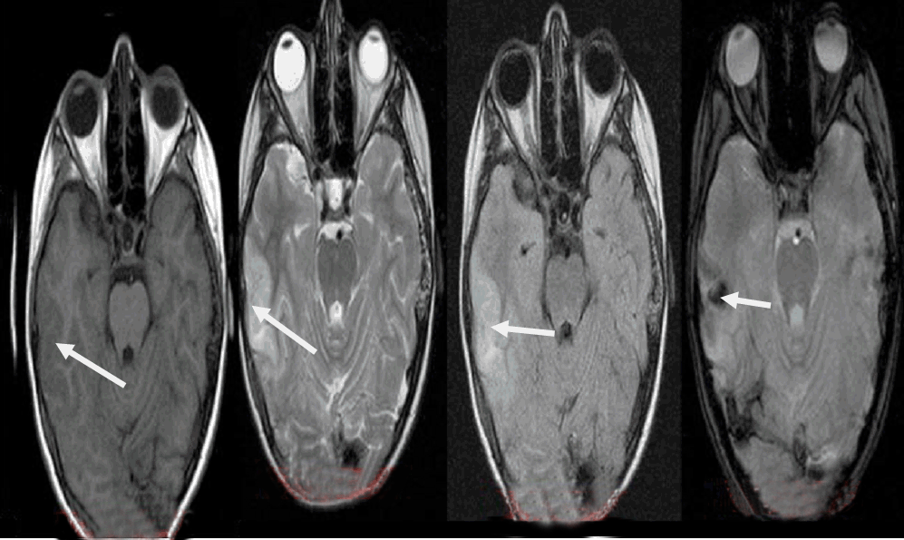
Patient was admitted in the neurosurgical clinic and was initiated on anticonvulsant medication. Neurological and ophthalmological examination did not reveal any focal deficits. Magnetic resonance imaging performed the same day revealed edematous configuration of the nearby gyri with concurrent presentation of hemorrhagic elements (Figure 2).

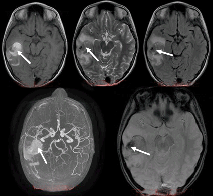
An electroencephalography (EEG) study detected focal cerebral disturbances. A repeat MRI scan (with contrast) and magnetic resonance angiography (MRA), indicated a hemorrhagic infarct in the territory in a subacute phase with related edema (hemorrhagic stroke). Magnetic resonance angiography further recognized stenosis of the right middle cerebral artery (MCA) with obstruction of the posterior peripheral branches (Figure 3).

Consequently, a digital subtraction angiography (DSA) from the femoral artery was performed which did not reveal underlying vascular abnormalities (Figure 4).

A thorough investigation for hypercoagulable states (deficiencies of protein C and anti III, protein S, antithrombin and plasminogen, molecular studies for factor V Leiden, prothrombin 20210A, homocysteine, MTHFR gene mutations), and immunological – rheumatological conditions (HLA-51, c-ANCA, p-ANCA, anti – GBM, LA1 and LA2, Iß-2GPI, ACA IgM and IgG antibodies) did not reveal any abnormalities.

An ultrasound study of the vessels of the lower extremities revealed an intraluminal thrombus of the left superficial femoral and popliteal vein. A thoroughly detailed investigation of patient’s history revealed a minor sports related blunt injury of the left lower extremity a day before the initial symptoms, which was associated with lower extremities ultrasound findings. Additionally, an echocardiogram visualized a thrombus (2x1.5 cm) attached to the right atrium in conjunction with patent foramen ovale (Figure 5).

Due to the relative contraindication for thrombolysis, patient was initiated immediately on anticoagulation therapy with low molecular weight heparin and warfarin. Two days later, she developed acute symptoms of dyspnea and chest pain and a subsequent spiral thorax CT scan revealed pulmonary emboli at the left pulmonary artery, as long as the persistence of the atrial thrombus. Anticoagulation therapy was continued and a foramen ovale umbrella placement was later performed (Figure 6).

Patient remained symptom free in the follow-up period and serial cardiac ultrasound examinations revealed gradual resolution of the right atrial thrombus (Figure 7).

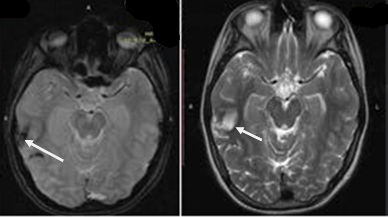
A few months later, a repeat MRI scan was performed, while the patient being neurologically normal. The examination verified the known lesion at the right temporal-occipital lobe region, which revealed characteristics, compatible with a chronic lesion. More specifically, the imaging of the lesion identified a territory with intermediate to hypo-intensity signal at FLAIR sequences and hemosiderin ring at T2-GRE sequences (Figure 8).


Cursor on image to zoom/Click text to open image
Figure 1: The initial computed tomography scan, after the ictus. Arrow depicts the area of ischemic stroke (hypodense), with a surrounding area of hemorrhagic transformation.


Cursor on image to zoom/Click text to open image
Figure 2: Initial magnetic resonance imaging scan, within the first day after the event. Arrows depict the pathologic changes at T1W, T2W, FLAIR and T2 GRE sequences (images corresponding from left to right).


Cursor on image to zoom/Click text to open image
Figure 3: Magnetic resonance imaging and magnetic resonance angiography scan after 10 days of the event (from above to below, T1W, T2W, FLAIR, MRA reconstruction and T2 GRE images). Arrows depict the evolution of signal changes.


Cursor on image to zoom/Click text to open image
Figure 4: Digital subtraction angiography imaging, revealing no pathological findings.


Cursor on image to zoom/Click text to open image
Figure 5 (A, B): Arrows indicate the location of the thrombus with its approximate dimensions.


Cursor on image to zoom/Click text to open image
Figure 6: The arrow indicates the site of placement of the umbrella.


Cursor on image to zoom/Click text to open image
Figure 7: Arrow indicates the position of the umbrella.


Cursor on image to zoom/Click text to open image
Figure 8: The left image is an MRI GRE sequence, showing the hemosiderin ring (arrow) and the right image is a FLAIR sequence, revealing an area of intermediate to hypo intensity signal (arrow).


DISCUSSION

Epidemiology: Definition of cryptogenic stroke

Arterial ischemic stroke (AIS), with an estimated incidence of 1.1–4.3 per 100,000, is an important cause of morbidity and mortality in children and the recurrence risk is high [12].

It is defined as an acute clinical syndrome with a neurological deficit referable to a cerebral arterial territory and a brain MRI scan showing a corresponding area of acute infarct.

A stroke is termed cryptogenic when its etiology cannot be attributed to any specific cause after an extensive search for the most common causes, such as atherosclerosis of the intracranial vessels, lacunar damage from hypertension, or embolus derived from a thrombus located in the left atrium, the left ventricular apex, or at the level of an ulcerated plaque of the aortic arch.


Etiology

The etiology of AIS remains undetermined in a high proportion of children. Predisposing conditions for ischemic cerebrovascular accidents in children include congenital heart malformations (congenital cyanotic complex heart malformations or acquired heart disease), sickle cell disease, infections, and collagen tissue abnormalities [13], but around half occur in children who were previously well (cryptogenic stroke) [14]. It is well known from literature, that one of the most common conditions associated with AIS is congenital heart malformations (like patent foramen ovale) [15][16][17][18][19][20][21][22][23][24][25].


Paradoxic embolism and stroke

Recently, paradoxical embolism across the PFO was suggested as a possible etiology in some of these children [26]. Patent foramen ovale is reported, as an autopsy finding, to remain patent in about 25% of adults, thus presenting a potential passageway for paradoxical embolization. On some particular circumstances such as during Valsalva maneuver, which is reproduced by the act of defecating or coughing, the reversal of the physiologic inter-atrial pressure gradient results in right-to-left shunting across the PFO and contributes to the passage of embolic material. The prevalence of PFO was significantly higher in patients with cryptogenic stroke versus those with known causes of stroke (42% vs 7%), indicating that PFO is associated with cryptogenic stroke [27][28]. The association is documented in case reports [13][14][29][30][31][32][33]. However, the direct role of a PFO in stroke remains unclear [34].

In our case, the dual (and simultaneous) detection of thrombi in the deep venous system and the right atrium along with the rapid sequence of embolic events in the absence of other underlying pathological conditions, point out the paradoxical embolism through a patent PFO as the most plausible scenario for the ischemic stroke.


Prothrombotic disorders

Prothrombotic disorders are frequently identified in pediatric patients with stroke [18] and case control studies demonstrate an association of arterial ischemic stroke in children with hereditary prothrombotic risk factors [15]. Another study reports prothrombotic abnormalities present in 20–50 % of children with arterial ischemic stroke [22][35].

Reasoning the coexistence of deep venous thrombosis and right atrial cavity thrombus in our patient with the absence of positive laboratory results for hypercoagulable disorders, we speculate either a transient hypercoagulable state, possibly associated with patient’s minor sport related injury or an unidentified mechanism by our thrombophilia screening.


Deep venous thrombosis and cryptogenic stroke

Young adults with cryptogenic ischemic stroke are more likely to have both patent foramen ovale and pelvic deep vein thrombosis (DVT) than young adults with ischemic stroke of known cause. Young patients with cryptogenic transient ischemic attack (TIA) or stroke and patent foramen ovale (PFO) should be evaluated for lower-extremity or pelvic venous thrombosis, which would be an indication for anticoagulation. In this case, screening for underlying causes of cryptogenic stroke with ultrasound of the lower extremities revealed venous thrombosis The most probable releasing factor (and causative) of this event was a few days previously reported, sport’s related, minor lower extremity injury, a relationship supported by literature.


Right atrial thrombus and stroke

  • Right-sided mobile thrombi in-transit from the deep venous system are found in adult case reports or case series in which clots were detected incidentally or during acute pulmonary thromboembolism.
  • A recent pediatric literature review article reports in a sum of 122 cases, 91% of cases to be associated with central venous catheters, 40.8% in premature neonates, 27.2% in post cardiac surgery patients, and 19.2% to have underlying malignancies [36].
  • In our case, the only causative mechanism for the formation of the right-sided thrombus, which was detected upon admission with esophageal ultrasound, was lower extremity deep venous thrombosis, in an otherwise healthy child. A Medline search of PubMed database using the keywords ‘right atrial thrombus’ and ‘children or pediatric or pediatric’ and ‘patent foramen ovale’ and ‘stroke’ did not reveal any relevant case so, to the best of our knowledge, this is the first documented case of right atrial thrombus resulting from deep venous thrombosis in a pediatric patient with patent foramen ovale and associated ischemic stroke event.


Treatment guidelines

Young patients with cryptogenic TIA or stroke and PFO should be evaluated for lower-extremity or pelvic venous thrombosis, which would be an indication for anticoagulation. In the setting of a large acute stroke, however, full-dose anticoagulation is not recommended, and an inferior vena cava filter may be the safest alternative. In patients with cryptogenic TIA or stroke, a PFO, and DVT, guidelines from the ACCP currently recommend VKA therapy for three months and consideration of PFO closure rather than no VKA therapy or aspirin therapy.

For patients with an ischemic stroke or TIA and both a PFO and a venous source of embolism, anticoagulation is indicated, depending on stroke characteristics (Class I; Level of Evidence A). When anticoagulation is contraindicated, an inferior vena cava filter is reasonable (Class IIa; Level of Evidence C). (New recommendation).

In cases of concomitant venous and arterial embolism that paradoxical embolism is strongly considered, chronic anticoagulant therapy and an inferior vena cava filter can be justified to prevent further recurrences of both pulmonary and paradoxical embolism [37].

In the incident of right atrial thrombus, different treatment modalities are reported such as surgical thrombectomy, thrombolysis, anticoagulation therapy or observation only, the choice of which depended mainly on underlying etiology [36].

In this case, because of the hemorrhagic transformation of the cerebral stroke was an absolute contraindication for the initiation of fibrinolytic therapy, anticoagulation with subcutaneous low molecular weight warfarin along with foramen ovale umbrella placement constituted the selected treatment strategy. This strategy proved to be efficacious during the follow-up period.


Prognosis

Regarding outcome data, it is referred that permanent moderate-to-severe motor or cognitive disabilities occur in 75–87% of children with stroke, and death occurs in 5–28% [25].

In this case, patient presented with indirect symptoms, such as headache and epileptic fit, these symptoms appearing late from stroke ictus, as seen from the initial MRI presentation of the stroke which was in the hemorrhagic transformation phase and the patient was not on anticoagulation therapy for any reason or did not report aspirin uptake. Furthermore, she did not suffer any major clinical and neurologic sequelae from the event. These findings, possibly due to the clinically silent anatomical area of the stroke, are contrary to the majority of the cases described in literature that have unfavorable neurological prognosis.


CONCLUSION

Cryptogenic arterial ischemic stroke is a diagnosis of exclusion. The emergence of cases reporting patients with cryptogenic AIS harboring a patent foramen ovale, tends to reveal the presence of an associated causative factor. For all the aforementioned reasons, and because many of the aspects of the issue of AIS remain unresolved, we consider that it would be meaningful to present a case that mismatches a lot of aspects of the reported clinical cases and promotes a non-well elucidated pathophysiologic mechanism, supported widely by a lot of clinical and laboratory data.


REFERENCES
  1. Felling RJ, Sun LR, Maxwell EC, Goldenberg N, Bernard T. Pediatric arterial ischemic stroke: Epidemiology, risk factors, and management. Blood Cells Mol Dis 2017 Mar 7. pii: S1079–9796(16)30230–3.   [CrossRef]   [Pubmed]    Back to citation no. 1
  2. Rafay MF, Pontigon AM, Chiang J, et al. Delay to diagnosis in acute pediatric arterial ischemic stroke. Stroke 2009 Jan;40(1):58–64.   [CrossRef]   [Pubmed]    Back to citation no. 2
  3. Gabis LV, Yangala R, Lenn NJ. Time lag to diagnosis of stroke in children. Pediatrics 2002 Nov;110(5):924–8.   [CrossRef]   [Pubmed]    Back to citation no. 3
  4. Mackay MT, Wiznitzer M, Benedict SL, et al. Arterial ischemic stroke risk factors: The international pediatric stroke study. Ann Neurol 2011 Jan;69(1):130–40.   [CrossRef]   [Pubmed]    Back to citation no. 4
  5. Deng Y, Wang Y, Yang W, et al. Risk factors and imaging characteristics of childhood stroke in china. J Child Neurol 2015 Mar;30(3):339–43.   [CrossRef]   [Pubmed]    Back to citation no. 5
  6. Lee YY, Lin KL, Wang HS, et al. Risk factors and outcomes of childhood ischemic stroke in Taiwan. Brain Dev 2008 Jan;30(1):14–9.   [CrossRef]   [Pubmed]    Back to citation no. 6
  7. Lo W, Stephens J, Fernandez S. Pediatric stroke in the United States and the impact of risk factors. J Child Neurol 2009 Feb;24(2):194–203.   [CrossRef]   [Pubmed]    Back to citation no. 7
  8. Mallick AA, Ganesan V, Kirkham FJ, et al. Childhood arterial ischaemic stroke incidence, presenting features, and risk factors: A prospective population-based study. Lancet Neurol 2014 Jan;13(1):35–43.   [CrossRef]   [Pubmed]    Back to citation no. 8
  9. Per H, Unal E, Poyrazoglu HG, et al. Childhood stroke: Results of 130 children from a reference center in Central Anatolia, Turkey. Pediatr Neurol 2014 Jun;50(6):595–600.   [CrossRef]   [Pubmed]    Back to citation no. 9
  10. Benedik MP, Zaletel M, Meglic NP, Podnar T. A right-to-left shunt in children with arterial ischaemic stroke. Arch Dis Child 2011 May;96(5):461–7.   [CrossRef]   [Pubmed]    Back to citation no. 10
  11. Khan R, Chan AK, Mondal TK, Paes BA, Thrombosis and hemostasis in newborns (THIN) group. Patent foramen ovale and stroke in childhood: A systematic review of the literature. Eur J Paediatr Neurol 2016 Jul;20(4):500–11.   [CrossRef]   [Pubmed]    Back to citation no. 11
  12. Roach ES, Golomb MR, Adams R, et al. Management of stroke in infants and children: A scientific statement from a special writing group of the American heart association stroke council and the council on cardiovascular disease in the young. Stroke 2008 Sep;39(9):2644–91.   [CrossRef]   [Pubmed]    Back to citation no. 12
  13. Ganesan V, Prengler M, McShane MA, Wade AM, Kirkham FJ. Investigation of risk factors in children with arterial ischemic stroke. Ann Neurol 2003 Feb;53(2):167–73.   [CrossRef]   [Pubmed]    Back to citation no. 13
  14. Kirkham FJ, Prengler M, Hewes DK, Ganesan V. Risk factors for arterial ischemic stroke in children. J Child Neurol 2000 May;15(5):299–307.   [CrossRef]   [Pubmed]    Back to citation no. 14
  15. Seminars in thrombosis and hemostasis. 2003;29(4). [Available at: https://www.thieme-connect.com/products/ejournals/issue/10.1055/s-002-2463]   [CrossRef]    Back to citation no. 15
  16. Alsheikh-Ali AA, Thaler DE, Kent DM, Patent foramen ovale in cryptogenic stroke. Incidental or pathogenic? Stroke 2009;40:2349–55.   [CrossRef]    Back to citation no. 16
  17. Perkovic-Benedik M, Zaletel M, Pecaric-Meglic N, Podnar T. A right-to-left shunt and prothrombotic disorders in pediatric patients presenting with transient ischemic attack. Eur J Pediatr 2013 Feb;172(2):239–45.   [CrossRef]   [Pubmed]    Back to citation no. 17
  18. Rodriguez CJ, Homma S, Management of patients with stroke and a patent foramen ovale. Current Neurology and Neuroscience Reports 2004;4(1):19–22.   [CrossRef]    Back to citation no. 18
  19. Overell JR, Bone I, Lees KR. Interatrial septal abnormalities and stroke: A meta-analysis of case-control studies. Neurology 2000 Oct 24;55(8):1172–9.   [Pubmed]    Back to citation no. 19
  20. Rodriguez CJ, Homma S. Patent foramen ovale and stroke. Curr Treat Options Cardiovasc Med 2003 Jul;5(3):233–40.   [Pubmed]    Back to citation no. 20
  21. Benedik MP, Zaletel M, Meglic NP, Podnar T. A right-to-left shunt in children with arterial ischaemic stroke. Arch Dis Child 2011 May;96(5):461–7.   [CrossRef]   [Pubmed]    Back to citation no. 21
  22. Benedik MP, Zaletel M, Meglic NP, Podnar T. Patent foramen ovale and unexplained ischemic cerebrovascular events in children. Catheter Cardiovasc Interv 2007 Dec 1;70(7):999–1007.   [CrossRef]   [Pubmed]    Back to citation no. 22
  23. Ziesmann MT, Nash M, Booth FA, Rafay MF. Cardioembolic stroke in children: A clinical presentation and outcome study. Pediatr Neurol 2014 Oct;51(4):494–502.   [CrossRef]   [Pubmed]    Back to citation no. 23
  24. Barnes C, Deveber G. Prothrombotic abnormalities in childhood ischaemic stroke. Thromb Res 2006;118(1):67–74.   [CrossRef]   [Pubmed]    Back to citation no. 24
  25. Kirkham F, Sébire G, Steinlin M, Sträter R. Arterial ischaemic stroke in children: Review of the literature and strategies for future stroke studies. Thromb Haemost 2004 Oct;92(4):697–706.   [CrossRef]   [Pubmed]    Back to citation no. 25
  26. Kenny D, Turner M, Martin R. When to close a patent foramen ovale. Arch Dis Child 2008 Mar;93(3):255–9.   [CrossRef]   [Pubmed]    Back to citation no. 26
  27. Di Tullio M, Sacco RL, Gopal A, Mohr JP, Homma S. Patent foramen ovale as a risk factor for cryptogenic stroke. Ann Intern Med 1992 Sep 15;117(6):461–5.   [CrossRef]   [Pubmed]    Back to citation no. 27
  28. Mallick AA, Ganesan V, O'Callaghan FJ. Mortality from childhood stroke in England and Wales, 1921–2000. Arch Dis Child 2010 Jan;95(1):12–9.   [CrossRef]   [Pubmed]    Back to citation no. 28
  29. Ganesan V, Savvy L, Chong WK, Kirkham FJ. Conventional cerebral angiography in children with ischemic stroke. Pediatr Neurol 1999 Jan;20(1):38–42.   [Pubmed]    Back to citation no. 29
  30. Hill J, Preminger T. Percutaneous PFO closure for paradoxical stroke in 8-kg twins. Catheter Cardiovasc Interv 2014 Jul 1;84(1):110–3.   [CrossRef]   [Pubmed]    Back to citation no. 30
  31. Noser EA, Felberg RA, Alexandrov AV. Thrombolytic therapy in an adolescent ischemic stroke. J Child Neurol 2001 Apr;16(4):286–8.   [CrossRef]   [Pubmed]    Back to citation no. 31
  32. Filippi L, Palermo L, Pezzati M, et al. Paradoxical embolism in a preterm infant. Dev Med Child Neurol 2004 Oct;46(10):713–6.   [CrossRef]   [Pubmed]    Back to citation no. 32
  33. Gunta S, Kamath S. A case of pulmonary embolism and stroke in a 16-year-old girl. WMJ 2012 Apr;111(2):58–60.   [Pubmed]    Back to citation no. 33
  34. Dowling MM, Ikemba CM. Intracardiac shunting and stroke in children: A systematic review. J Child Neurol 2011 Jan;26(1):72–82.   [CrossRef]   [Pubmed]    Back to citation no. 34
  35. Perkovic-Benedik M, Zaletel M, Pecaric-Meglic N, Podnar T. A right-to-left shunt and prothrombotic disorders in pediatric patients presenting with transient ischemic attack. Eur J Pediatr 2013 Feb;172(2):239–45.   [CrossRef]   [Pubmed]    Back to citation no. 35
  36. Yang JY, Williams S, Brandão LR, Chan AK. Neonatal and childhood right atrial thrombosis: Recognition and a risk-stratified treatment approach. Blood Coagul Fibrinolysis 2010 Jun;21(4):301–7.   [CrossRef]   [Pubmed]    Back to citation no. 36
  37. Pérez RD, Maldonado JD, Andresen HM. Acute venous thromboembolic disease and paradoxical embolism. Acta Clin Belg 2015 Apr;70(2):145–8.   [CrossRef]   [Pubmed]    Back to citation no. 37

[HTML Abstract]   [PDF Full Text]

Author Contributions
Dimitrios Panagopoulos – Substantial contributions to conception and design, Acquisition of data, Analysis and interpretation of data, Drafting the article, Revising it critically for important intellectual content, Final approval of the version to be published
Sofia Loukopoulou – Substantial contributions to conception and design, Analysis and interpretation of data, Revising it critically for important intellectual content, Final approval of the version to be published
Georgios Markogiannakis – Acquisition of data, Analysis and interpretation of data, Drafting the article, Final approval of the version to be published
Nikos Eleftherakis – Substantial contributions to conception and design, Analysis and interpretation of data, Revising it critically for important intellectual content, Final approval of the version to be published
Guarantor
The corresponding author is the guarantor of submission.
Source of support
None
Conflict of interest
Authors declare no conflict of interest.
Copyright
© 2017 Dimitrios Panagopoulos et al. This article is distributed under the terms of Creative Commons Attribution License which permits unrestricted use, distribution and reproduction in any medium provided the original author(s) and original publisher are properly credited. Please see the copyright policy on the journal website for more information.