Case Report
 
An unconventional ameloblastic fibro-odontoma with compound odontoma like features
Radhika Manoj Bavle1, Makarla Soumya2, K. Paremala2, Hosthor Sreelatha S.3, M. Sudhakara2, Venugopal Reshma3
1M.D.S, Professor & Head, Department of Oral & Maxillofacial Pathology, Krishnadevaraya College of Dental Sciences, Bangalore, Karnataka, India
2M.D.S, Reader, Department of Oral & Maxillofacial Pathology, Krishnadevaraya College of Dental Sciences, Bangalore, Karnataka, India
3M.D.S, Sr Lecturer, Department of Oral & Maxillofacial Pathology, Krishnadevaraya College of Dental Sciences, Bangalore, Karnataka, India

Article ID: Z01201711CR10852RB
doi:10.5348/ijcri-2017113-CR-10852

Address correspondence to:
Dr. Soumya Makarla
M.D.S, Reader, Department of Oral Pathology
Krishnadevaraya College of Dental Sciences
Sir MVIT Campus, Hunasemaranahalli, Bangalore
Karnataka
India, 562157

Access full text article on other devices

  Access PDF of article on other devices

[HTML Abstract]   [PDF Full Text] [Print This Article]
[Similar article in Pumed] [Similar article in Google Scholar]


How to cite this article
Bavle RM, Makarla S, Paremala K, Hosthor SS, Sudhakara M, Venugopal R. An unconventional ameloblastic fibro-odontoma with compound odontoma like features. Int J Case Rep Images 2017;8(11):729–734.


ABSTRACT

Introduction: Odontogenic tumors cover a wide and diverse spectrum of tumors. Some odontogenic tumors have a varied etiopathogenesis and share a presentation very similar to hybrid odontogenic tumors. Ameloblastic fibro-odontoma is one such tumor. Though the WHO 2017 Classification of Head and Neck tumors continues to support this hypothesis, it is clear, with more than 215 case reports, that it is a tumor that does not feature in the continuum of the spectrum of ameloblastic fibroma ending with ameloblastic fibro-odontoma and odontoma. It, therefore, deems recognition as an independent entity.The ameloblastic fibro-odontoma irrespective of central or peripheral location will show an ameloblastic fibroma like presentation along with a compound or complex composite odontome histologically. It has also been conjectured whether it is a true neoplasm or hamartoma.
Case Report: We report a case of an ameloblastic fibro-odontoma in an eight-year-old boy with a diffuse swelling extraorally in the infraorbitalzygomatic area. Intraoral examination revealed a large 4.5x3 cm soft tissue mass on the right maxillary alveolar area involving primary molars and permanent 1st and 2nd molar region. Radiologic examination revealed a lesion with 32 denticles and destruction of alveolar bone, which showed a histopathologic picture of ameloblastic fibro-odontoma with a composite compound odontoma like pattern.
Conclusion: Our case describes an ameloblastic fibro-odontoma, which presented as a painful mass of the maxilla with compound composite odontome like features supporting the tumor concept and as an independent entity not belonging to the continuum spectrum.

Keywords: Ameloblastic fibro-odontoma, Central, Composite compound odontoma, Dentin, Enamel, Induction, Maxillary posterior quadrant


INTRODUCTION

Odontogenic tumors cover a wide spectrum and comprise an array of tumors. These have been classified into epithelial, mesenchymal and mixed tumors by the 2017 WHO classification of odontogenic tumors [1]. Ameloblastic fibro-odontoma (AFO) previously was listed under the category of mixed odontogenic tumors formerly described under names like immature ameloblastic odontoma (Slootweg) and ameloblastic odontoma (Hooker). This group of tumors shows the evidence of odontogenic induction along with mesenchymal tissue proliferation. The present tumor morphologically has resemblance of ameloblastic fibroma along with odontome like areas. It strides ahead of ameloblastic fibro dentinoma by showing the presence of induction in formation of enamel or enamel matrix [2].

Ameloblastic fibro-odontoma is a rare tumor with approximately 215 well documented reports (211 – central, 3 peripheral lesions) [3]. Irrespective of its location, the tumor presentation is similar histologically. It is a biologically non-aggressive tumor, responding well to conservative treatment. It is unfortunate that this distinct lesion has not been recognized by the recent classification of odontogenic tumors and has been grouped under the umbrella term developing odontomas or as a variant of ameloblastic fibroma [1][4].

We present a case of ameloblastic fibro-odontoma with a very classic histopathologic presentation supporting the tumor concept and as an independent entity not belonging to the continuum spectrum.


CASE REPORT

An eight-year-old boy reported to the clinical department with a complaint of painful mass in the upper jaw since a month. The child presented with a diffuse swelling of the right cheek, extraorally, measuring approximately 5x4.5 cm and extending anterior-posteriorly from the nasolabial fold to the pre-auricular area and superior-inferiorly from the infraorbital region to 2 cm below the ala-tragal line. Intraoral examination revealed a large 4.5x3 cm soft tissue mass on the right maxillary alveolar area involving primary molars and permanent 1st and 2nd molar region. Mucosa covering the lesion appeared erythematous on the superior surface and the mass was obstructing the occlusion (Figure 1A–B).

On palpation, a soft tissue mass with well-defined borders was noted, with expansion of both buccal and palatal plates. A provisional diagnosis of odontome was given. On radiologic examination, the orthopantomogram revealed a mixed dentition state of the child. The upper right maxillary quadrant showed an ill-defined radiolucent lesion with multiple small pebble size radio-opaque masses. Approximately, 32 such denticle like structures were noted in the radiograph. Destruction of the alveolar bone in the right maxillary molar region and retromolar area was observed. Developing tooth follicles of permanent molars 16 and 17 were pushed superiorly into the infraorbital area. The incompletely formed teeth 14 and 15 were mesially displaced (Figure 1C).

The lesion was provisionally diagnosed as compound odontome based on radiographic features and a conservative excision was planned. The differential diagnoses included complex composite odontome and odontoameloblastoma.

Surgical note described a well-delineated mass, soft in nature, which shelled out of the bone. It was irregular in shape with multiple hard tooth crown like structures within the tumor mass.

On grossing, a 4.5x4 cm tumor mass, irregular in shape was seen. Cut section revealed off white, pale myxoid area and chalk white area intervened with numerous small tooth like structures. Some of the tooth like structures separated and shelled out from the tumor mass. A radiograph of the gross specimen reconfirmed multiple such tooth like structures, approximately 32 in number (Figure 2).

On histopathologic examination with hematoxylin and eosin staining, the lesional tissue showed a predominance of immature cellular ectomesenchyme – made up of a myxoid stroma with plump spindle cells, which are monotonous. The odontogenic epithelium is seen in the form of strands and small nests. The strands were similar to the dental lamina (Figure 3).

At multiple areas the dental lamina like strands gave rise to dental follicles very similar to advanced bell stage, showing the presence of ameloblasts, odontoblasts along with enamel matrix and dentin formation. Enamel was partially mineralized or was seen as an un-mineralized matrix. Mineralized enamel showed the presence of well-formed enamel prisms (Figure 4). Dental follicles showed the presence of thick tubular predentin like areas lined by odontoblasts. The area of dentin next to the enamel is well mineralized with globular dentin. Different areas showed dental follicles in various stages of tooth development. The enamel organs bore resemblance to cap, bell and advanced bell stages very frequently. No evidence of cementum like tissue was seen, but primitive pulp in the form of dental papilla was observed (Figure 5). These areas appeared similar to a composite compound odontome. Based on these findings, a final diagnosis of ameloblastic fibro-odontoma was given.


Cursor on image to zoom/Click text to open image
Figure 1: (A) Extra-oral view of patient reveals an enlarged diffuse facial asymmetry of the right side, (B) Intra-orally a 4x5 cm lobulated mass is seen on the right maxillary alveolar ridge posterior to 55, involving the tuberosity with interspersed erythematous areas. 16 is clinically missing, and (C) Orthopantomogram reveals a mixed radiopaque radiolucent lesional mass in the right posterior maxillary posterior region involving tuberosity with numerous globule like radiopaque masses along with impacted 16.


Cursor on image to zoom/Click text to open image
Figure 2: (A, B) Irregular soft tissue mass with numerous tooth crown like structures obtained on excisional biopsy, (C) Radiograph of the gross specimen showing numerous radio-opacities within the soft tissue lesion, and (D) Cut section of 4.5x4 cm of soft tissue specimen showing off-white myxoid areas along with whitish-brown areas with the presence of numerous hard tissues resembling denticles.


Cursor on image to zoom/Click text to open image
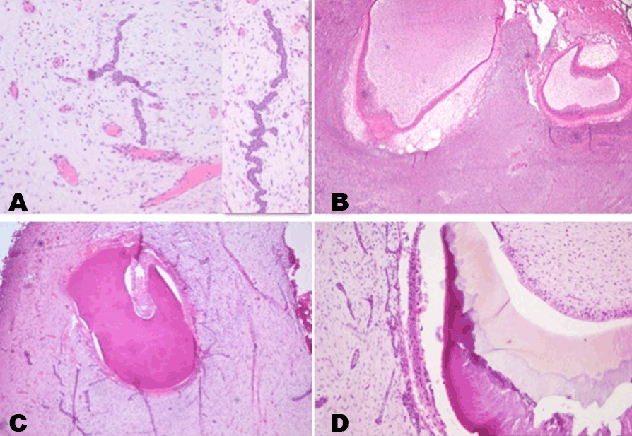
Figure 3: (A) Photomicrograph showing proliferation of dental lamina in the form of cords and strands in an ectomesenchymal background along with engorged capillaries (H&E stain x100). Inset: Higher magnification of the odontogenic epithelial strands (H&E stain, x200), (B) Dental follicles resembling bell stage surrounded by primitive ectomesenchymal tissue (H&E stain, x40), (C) Dental follicle showing predominantly hard tissue formation with strands and cords of dental lamina in the stroma, and (D) Dental follicle in advanced bell stage with formation of enamel, dentin and pre-dentin (H&E stain, x100).


Cursor on image to zoom/Click text to open image
Figure 4: (A) Histologic section showing presence of enamel organ comprised mainly of enamel and dental papilla on a primitive ectomesenchymal background with strands and cords of odontogenic epithelium of about 2–3 cells in thickness. (H&E stain, x100) (B) Higher magnification showing arrangement of enamel rods. (H&E stain, x400) (C) Higher magnification of enamel showing ‘fish scale’ pattern of arrangement of the enamel rods. (H&E stain, x400).


Cursor on image to zoom/Click text to open image
Figure 5: (A) Odontoblasts and their processes extending into dentinoid matrix and distinct layer of mineralized dentin. (H&E stain, x40) Inset: Odontoblasts with odontoblastic processes (H&E stain, x200), (B) Section showing globular mineralization in dentin (H&E stain, x40), Inset showing globular mineralization with dentinal tubules (H&E stain, x200), (C) Section showing distinct dentinal tubules (H&E stain, x100), and (D) Showing dentin undergoing mineralization, odontoblastic layer and dental papilla. (H&E stain, x100).


DISCUSSION

Ameloblastic fibro-odontoma is defined as a lesion similar to ameloblastic fibroma but also shows inductive changes that lead to the formation of enamel and dentin [5]. It is a rare tumor accounting for 1–3% of all odontogenic tumors [3].

Ameloblastic fibro-odontoma bears resemblance to ameloblastic fibroma, ameloblastic fibrodentinoma and odontomes because of which investigators have hypothesized that ameloblastic fibro-odontoma could be one entity in different stages of development, in which: ameloblastic fibroma evolves to ameloblastic fibrodentinoma (AFD); ameloblastic fibrodentinoma evolves to ameloblastic fibro-odontoma and ameloblastic fibro-odontoma matures to an odontoma (Figure 6). However, the clinical age association, site of occurrence, histopathology, gender and evidence clearly shows a disagreeable point in the continuous differentiation hypothesis proposed by Cahn and Blum [5][6] .

Another hypothesis proposed is on the two lines of development of ameloblastic fibro-odontoma. A neoplastic line comprised ameloblastic fibroma and ameloblastic fibrodentinoma and a hamartomatous line comprising of ameloblastic fibro-odontoma as a stage of odontoma [3][5] (Figure 7). Some authors suggest that AFO should be considered as an immature complex odontoma [7]. Trodahl suggested that AFO exists in a stage in between the two schools of thought [8]. However, ameloblastic fibro-odontoma cannot be unanimously considered as a hamartoma, as it can show neoplastic biological behavior, cause bone destruction, deformity and instances of malignant transformation and variants have also been noted [9][10][11].

The present case definitely shows neoplastic biological behavior as it presented as a large tumor mass with bone destruction and cortical plate expansion. It also emerges as an independent entity and not as a part of continuum spectrum based on the clinical data.

Ameloblastic fibro-odontoma arises in patients between 8–12 years of age, [4] with a mean age of 9 years [5]. A slight male predilection is seen with more than half of the cases arising in the posterior mandible region intraosseously. It presents as a well-delineated slow growing painless mass; as a central lesion, generally associated with unerupted teeth, which is a common hallmark presentation of ameloblastic fibro-odontoma. On radiography, it presents as a unilocular or multilocular radiolucency with radio-opacities of different shapes and density. Displaced unerupted teeth show the presence of the tumor coronally [6][12] [13].

The present case sits in the classical age group with eight years at the time of presentation in a boy, which was a typical feature. But the tumor presented in the maxillary posterior quadrant as a large tumor with cortical plate expansion and displaced unerupted teeth in a unilocular radiolucency. Multiple, as many as 32–40, tooth like structures were also seen on the radiograph. Approximately 80% of the lesions are associated with a tooth and 87% show radio-opacities as seen in our case, which showed the displacement of incompletely formed 14, 15, 16 and 17 [3][5][6].

Histopathological findings speak of immature complex odontome with enamel, dentin, cementum and pulp-like ectomesenchyme with odontogenic epithelium. Dentin can be in the form of tubular dentin or dentinoid [2].

Some authors describe it as a biphasic tumor with odontogenic epithelium proliferating in a highly cellular ectomesenchyme with primitive apparatus. It also contains tooth like structures – enamel and dentin with varying degrees of maturation throughout the tumor [12][13].

This case is in unison with the reports of De Lopes et al, De Riu, Nelson BL [3][12][13] as it displayed ameloblastic fibroma like areas with multiple areas of developing tooth like follicles with expression of enamel and dentin. No evidence of cementum was seen. Hence, it shows an ameloblastic fibroma like picture with composite compound odontome like areas in a very primitive cellular ectomesenchyme which is contrary to reports of Reichart and Philipsen which described presence of a complex odontome like tissues with ameloblastic fibroma like areas [5][14].

A differential diagnosis of ameloblastic fibroma, ameloblastic fibrodentinoma and odontome is very important to consider. Ameloblastic fibro-odontoma and ameloblastic fibrodentinoma have a stand out difference of enamel induction in ameloblastic fibro-odontoma, which is not seen in ameloblastic fibrodentinoma. Also, studies have shown that visible radio-opacities have a higher tendency to occur in AFOs [3][15].

Ameloblastic fibroma can be differentiated from ameloblastic fibrodentinoma and ameloblastic fibro-odontoma as induction is not seen in ameloblastic fibromas. Sometimes it is difficult to differentiate ameloblastic fibro-odontoma from odontomas; but generally odontomes show presence of enamel, dentin, cementum and pulp like areas in a complex composite or compound pattern whereas ameloblastic fibro-odontoma does not always induct cementum as seen in this case [15]. The above considered differential diagnosis can also be ruled out with the help of clinical data of age, site, gender distribution and roentgenographic details. Hence, taking all the above features into consideration, the case was confirmed as an ameloblastic fibro-odontoma.

A conservative therapy is adequate for treatment of ameloblastic fibro-odontoma [5][6][16]. The lesion in the present case was surgically excised. A periodic recall for two years did not show any evidence of recurrence.



Cursor on image to zoom/Click text to open image
Figure 6: Schematic representation of the hypothesis stating that ameloblastic fibro-odontoma could be one entity in the different stages of development, initiating as an ameloblastic fibroma and finally maturing into an odontoma.


Cursor on image to zoom/Click text to open image
Figure 7: Schematic representation of the hypothesis based on the two lines of development of ameloblastic fibro-odontoma. A neoplastic line comprising ameloblastic fibroma and ameloblastic fibrodentinoma and a hamartomatous line comprising ameloblastic fibro-odontoma as a stage of odontoma.


CONCLUSION

In conclusion, this a rare case of ameloblastic fibro-odontoma present in the maxillary posterior quadrant with ameloblastic fibroma pattern along with compound composite odontoma like features, treated adequately by conservative surgery. It is most definitely an independent lesion and cannot be clubbed with odontome or ameloblastic fibroma. It should be given its due and its position as an individual entity by the World Health Organization (WHO).


REFERENCES
  1. Wright JM, Vered M. Update from the 4th edition of the World Health Organization classification of head and neck tumours: Odontogenic and maxillofacial bone tumors. Head Neck Pathol 2017 Mar;11(1):68–77.   [CrossRef]   [Pubmed]    Back to citation no. 1
  2. Hooker SP. Ameloblastic odontoma: An analysis of twenty-six cases. Oral Surg Oral Med Oral Pathol 1967;24:375–6.    Back to citation no. 2
  3. Lopes MLDdS, Severo MLB, Medeiros MRdS, Clemente TEF, Neto ACFN, de Siveira ETD. Ameloblastic fibro-odontoma: Case report and immunohistochemical profile. Journal of Oral and Maxillofacial Surgery Medicine and Pathology 2017;29(1):77–82.   [CrossRef]    Back to citation no. 3
  4. Takeda Y, Tomich CE. Ameloblastic fibro-odontoma. In: Barnes L, Eveson JW, Reichart P, Sidransky D, editors. WHO International Histological Classification of Tumors. 3ed. Vol 9. Lyon, France: IARC Press; 2005.    Back to citation no. 4
  5. Reichart PA, Philipsen HP. Odontogenic Tumors and Allied Lesions. London: Quintessence; 2004.    Back to citation no. 5
  6. Buchner A, Kaffe I, Vered M. Clinical and radiological profile of ameloblastic fibro-odontoma: An update on an uncommon odontogenic tumor based on a critical analysis of 114 cases. Head Neck Pathol 2013 Mar;7(1):54–63.   [CrossRef]   [Pubmed]    Back to citation no. 6
  7. Buchner A, Vered M. Ameloblastic fibroma: A stage in the development of a hamartomatous odontoma or a true neoplasm? Critical analysis of 162 previously reported cases plus 10 new cases. Oral Surg Oral Med Oral Pathol Oral Radiol 2013 Nov;116(5):598–606.   [CrossRef]   [Pubmed]    Back to citation no. 7
  8. Trodahl JN. Ameloblastic fibroma: A survey of cases from the Armed Forces Institute of Pathology. Oral Surg Oral Med Oral Pathol. 1972 Apr;33(4):547–58.   [Pubmed]    Back to citation no. 8
  9. Lúcio PS, Cavalcante RB, Maia RN, Santos ES, Godoy GP. Aggressive ameloblastic fibro-odontoma assessment with CBCT and treatment. Eur Arch Paediatr Dent 2013 Jun;14(3):179–84.   [CrossRef]   [Pubmed]    Back to citation no. 9
  10. Takeda Y. Ameloblastic fibroma and related lesions: Current pathologic concept. Oral Oncol 1999 Nov;35(6):535–40.   [CrossRef]   [Pubmed]    Back to citation no. 10
  11. Reiser V, Alterman M, Shuster A, Kaplan I. Pediatric ameloblastic fibro-odontosarcoma of the mandible: A challenge of diagnosis and treatment. J Oral Maxillofac Surg 2013 Jan;71(1):e45–57.   [CrossRef]   [Pubmed]    Back to citation no. 11
  12. De Riu G, Meloni SM, Contini M, Tullio A. Ameloblastic fibro-odontoma: Case report and review of the literature. J Craniomaxillofac Surg 2010 Mar;38(2):141–4.   [CrossRef]   [Pubmed]    Back to citation no. 12
  13. Nelson BL, Thompson LD. Ameloblastic fibro-odontoma. Head Neck Pathol 2014 Jun;8(2):168–70.   [CrossRef]   [Pubmed]    Back to citation no. 13
  14. Philipsen HP, Reichart PA, Praetorius F. Mixed odontogenic tumours and odontomas. Considerations on interrelationship: Review of the literature and presentation of 134 new cases of odontomas. Oral Oncol 1997 Mar;33(2):86–99.   [CrossRef]   [Pubmed]    Back to citation no. 14
  15. Chrcanovic BR, Gomez RS. Ameloblastic fibrodentinoma and ameloblastic fibro-odontoma: An updated systematic review of cases reported in the literature. J Oral Maxillofac Surg 2017 Jul;75(7):1425–37.   [CrossRef]   [Pubmed]    Back to citation no. 15
  16. Surej Kumar LK, Manuel S, Khalam SA, Venugopal K, Sivakumar TT, Issac J. Ameloblastic fibro-odontoma. Int J Surg Case Rep 2014;5(12):1142–4.   [CrossRef]   [Pubmed]    Back to citation no. 16

SUGGESTED READING

  • Martinez MM, Romero CS, Pina AR, Guzman MP, de Almeida OP. Pigmented ameloblastic fibro-odontoma: Clinical, histological and immunohistochemical profile. International Journal of Surgical Pathology 2015;23(1):52–60.
  • Oghli AA, Scuto I, Zeigker C, Flechtenmacher C, Hofele C. A large ameloblstic fibro-odontoma of the right mandible. Med Oral Patol Oral Cir Bucal 2007;12:E34–7.
  • Pontes HA, Pontes FS, Lameira AG, et al. Report of four cases of ameloblastic finro-odontoma in mandible and discussion of the literature about the treatment. J Craniomaxillofac Surg 2012;40(2):e59–63.
  • Silva GCC, Jham BC, Silva EC, Horta MCR, Godinho SHP, Gomez RS. Ameloblastic fibro-odontoma. Oral Oncol Extra 2006;42(5):217–20.


[HTML Abstract]   [PDF Full Text]

Author Contributions
Radhika Manoj Bavle – Substantial contributions to conception and design, Acquisition of data, Analysis and interpretation of data, Drafting the article, Revising it critically for important intellectual content, Final approval of the version to be published
Soumya Makarla – Analysis and interpretation of data, Drafting the article, Revising it critically for important intellectual content, Final approval of the version to be published
Paremala K. – Acquisition of data, Drafting the article, Critical revision of the article, Final approval of the version to be published
Sreelatha S. Hosthor – Acquisition of data, Drafting the article, Critical revision of the article, Final approval of the version to be published
Sudhakara M. – Analysis and interpretation of data, Drafting the article, Revising it critically for important intellectual content, Final approval of the version to be published
Reshma Venugopal – Analysis and interpretation of data, Revising it critically for important intellectual content, Final approval of the version to be published
Guarantor
The corresponding author is the guarantor of submission.
Source of support
None
Conflict of interest
Authors declare no conflict of interest.
Copyright
© 2017 Radhika Manoj Bavle et al. This article is distributed under the terms of Creative Commons Attribution License which permits unrestricted use, distribution and reproduction in any medium provided the original author(s) and original publisher are properly credited. Please see the copyright policy on the journal website for more information.