Case Report
 
Laparoscopic treatment for hydrocele of the canal of Nuck
Koh F.J.1, Tay S.C.1, Ngu J.1
1MBBS, MRCS, Department of General Surgery, Changi General Hospital, 2 Simei Street 3, Singapore

Article ID: Z01201710CR10844KJ
doi:10.5348/ijcri-2017105-CR-10844

Address correspondence to:
Dr. Koh Fang Ju Beatrice
Department of General Surgery
Changi General Hospital
2 Simei Street 3
Singapore

Access full text article on other devices

  Access PDF of article on other devices

[HTML Abstract]   [PDF Full Text] [Print This Article]
[Similar article in Pumed] [Similar article in Google Scholar]


How to cite this article
Koh FJ, Tay SC, Ngu J. Laparoscopic treatment for hydrocele of the canal of Nuck. Int J Case Rep Images 2017;8(10):672–674.


ABSTRACT

Introduction: A hydrocele of the canal of Nuck is an exceedingly rare condition. Reports describing its treatment have almost exclusively involved open surgery. Advancements in minimally-invasive techniques have allowed us to employ laparoscopic hernia repair methods as a novel way of treating this condition.
Case Report: We present a 50-year-old obese female who was diagnosed with a 4.2x3.2 cm encysted hydrocele of the canal of Nuck on computed tomography. This arose from the peritoneal cavity in association with the left uterine round ligament and extended towards the left labia majora. The hydrocele was approached using a standard transabdominal preperitoneal technique. After dissecting the hydrocele from the canal, it was further parietalized along with its associated round ligament, which was then ligated and divided. A prolene mesh was used to cover the resultant defect in the internal inguinal ring. The peritoneal flap was repositioned and the peritoneal defect traversed by the round ligament was closed intracorporeally with an absorbable suture. The patient made an uneventful recovery and was discharged the next day.
Conclusion: Transabdominal preperitoneal approach allows for adequate assessment and complete excision of the canal of Nuck cyst, while combining the benefits of minimally-invasive tension-free mesh repair.

Keywords: Canal of Nuck, Hydrocele, Transabdominal preperitoneal mesh repair


INTRODUCTION

In 1691, Dutch anatomist Anton Nuck (1650–1692) described an abnormality found in the groins of females the canal of Nuck. The canal is said to occur when there is failure of obliteration of the peritoneal fold, as it accompanies the round ligament of the uterus, when it descends into the labium majora through the inguinal canal. This obliteration is said to occur usually by eight months of gestation [1], failure of which results in a communication with the peritoneal cavity, which can manifest as an inguinal hernia or a hydrocele.

There have been case reports of hydroceles within the canal of Nuck and discussions regarding the management, but the ideal treatment for this rare condition have yet to be established. While earlier reports focussed on open surgery, advancements in minimally-invasive techniques have allowed us to employ laparoscopic hernia repair methods in the treatment of these patients. We present the successful management of such a case.


CASE REPORT

A 50-year-old female with a body mass index of 31.4 presented with complaints of pain and a fullness in her left groin which had been increasing in size over the past five months. She denied any history of trauma, fever, bowel or urinary dysfunction. On examination, there was a fullness in her left groin that was mildly tender on palpation, but no overlying skin changes, evidence of infection, or regional lymphadenopathy. There was no expansile cough impulse, and no audible bowel sounds.

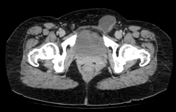
A computed tomography scan of the abdomen and pelvis showed a 4.3x3.2 cm ovoid structure arising from the peritoneal cavity, associated with the round ligament of the uterus and extending to the left labia majora (Figure 1). Hematological investigations were essentially unremarkable.

The patient underwent a transabdominal laparoscopic excision of the left canal of Nuck cyst with ligation of the left round ligament, and pre-peritoneal mesh placement. Three ports were utilized for the procedure. A 10 mm camera port was inserted in the infraumbilical region, followed by two 5 mm ports in the mid-clavicular line on either side of the camera port. The pre-peritoneal plane was entered and developed to expose the cyst (Figure 2). The cyst was then dissected out and parietalized with its associated round ligament. The left round ligament was ligated intraperitoneally using polydioxanone (PDS) loop suture before division, excising it en bloc with the cyst. The resultant internal inguinal ring defect was then covered with a 10x15 cm Ultrapro mesh and anchored with SecureStrap® (Ethicon). The peritoneum was re-approximated with SecureStrap.

Postoperative recovery was uneventful and the patient was discharge the following day. Histopathological examination of the specimen confirmed a benign cyst.


Cursor on image to zoom/Click text to open image
Figure 1: A computed tomography scan of the abdomen and pelvis showing a 4.2x3.2 cm ovoid structure arising from the peritoneal cavity and extending down to the labia majora representing a hydrocele of the canal of Nuck.


Cursor on image to zoom/Click text to open image
Figure 2: An intraoperative image demonstrating the hydrocele of the canal of Nuck which is closely associated with the round ligament of the uterus.


DISCUSSION

A hydrocele in the canal of Nuck is a rare developmental disorder. The age at presentation ranges from 18 months to 51 years, with the majority of diagnoses being made between 30–40 years of age. Huang et al. reported that the incidence in children is approximately 1%, but the incidence in adults has yet to be studied [2]. In 2003, Stickel et al. reported that only 400 cases exist in literature [3]. Interestingly, the incidence of a patent processus vaginalis in adults is about 30% at autopsy, although it is not fully understood why only some individuals develop hernias or hydroceles [4].

Conventional open approach would have entailed a similar incision to that of an open inguinal hernia repair. Following excision of the hydrocele, the fibrous connection towards the deep inguinal ring would be sutured and ligated and the rest of the wound closed in layers. Ensuring closure of the internal ring defect would be a crucial step in obliterating the canal and preventing hernia formation. In the case of a patent canal of Nuck, simple ligation without mesh placement may fail to achieve this, resulting in a higher rate of hernia occurrence.

An understanding of the anatomical basis behind this condition allows us to employ minimally-invasive techniques in its treatment, thereby providing the same benefits that laparoscopy has afforded to open inguinal hernia repair. In view of her high body mass index (BMI) and the vagueness of the swelling, open surgery would have required a more extensive dissection in our patient. A minimally-invasive approach was clearly preferred.

Common approaches to inguinal hernia repair include the totally extraperitoneal (TEP) approach and the transabdominal preperitoneal (TAPP) approach. Matsumoto et al. wrote that patients who underwent TEP reported shorter recovery time and were at less risk of bowel adhesion formation [5]. They also argued that the TEP approach could provide surgeons with information on the origin and type of hydrocele in the canal of Nuck.

In our patient, the intraperitoneal component of the cyst would not have been adequately accessed using an extraperitoneal approach. The TAPP approach was, therefore, utilized to allow assessment of the attachment of the cyst to the round ligament, followed by complete dissection and removal. Through the transabdominal approach, we were also able to exclude a concurrent contralateral hernia, reported in 13% of patients presenting with suspected unilateral inguinal hernias [6].


CONCLUSION

In summary, the transabdominal preperitoneal approach allows for adequate assessment and complete excision of the canal of Nuck cyst, while combining the benefits of minimally-invasive tension-free mesh repair.


REFERENCES
  1. Yang DM, Kim HC, Kim SW, Lim SJ, Park SJ, Lim JW. Ultrasonographic diagnosis of ovary-containing hernias of the canal of Nuck. Ultrasonography 2014 Jul;33(3):178–83.   [CrossRef]   [Pubmed]    Back to citation no. 1
  2. Huang CS, Luo CC, Chao HC, Chu SM, Yu YJ, Yen JB. The presentation of asymptomatic palpable movable mass in female inguinal hernia. Eur J Pediatr 2003 Jul;162(7–8):493–5.   [CrossRef]   [Pubmed]    Back to citation no. 2
  3. Stickel WH, Manner M. Female hydrocele (cyst of the canal of Nuck): Sonographic appearance of a rare and little-known disorder. J Ultrasound Med 2004 Mar;23(3):429–32.   [CrossRef]   [Pubmed]    Back to citation no. 3
  4. http://search.medscape.com/search/?q=Hydrocele%20and%20Hernia%20in%20Children%20by%20Joseph%20Ortenberg&    Back to citation no. 4
  5. Matsumoto T, Hara T, Hirashita T, Kubo N, Hiroshige S, Orita H. Laparoscopic diagnosis and treatment of a hydrocele of the canal of Nuck extending in the retroperitoneal space: A case report. Int J Surg Case Rep 2014;5(11):861–4.   [CrossRef]   [Pubmed]    Back to citation no. 5
  6. Koehler RH. Diagnosing the occult contralateral inguinal hernia. Surg Endosc 2002 Mar;16(3):512–20.   [Pubmed]    Back to citation no. 6

[HTML Abstract]   [PDF Full Text]

Author Contributions
Koh F.J. – Substantial contributions to conception and design, Revising it critically for important intellectual content, Final approval of the version to be published
Tay S.C. – Substantial contributions to conception and design, Drafting the article, Final approval of the version to be published Ngu J. – Substantial contributions to conception and design, Drafting the article, Final approval of the version to be published
Guarantor
The corresponding author is the guarantor of submission.
Source of support
None
Conflict of interest
Authors declare no conflict of interest.
Copyright
© 2017 Koh F.J. et al. This article is distributed under the terms of Creative Commons Attribution License which permits unrestricted use, distribution and reproduction in any medium provided the original author(s) and original publisher are properly credited. Please see the copyright policy on the journal website for more information.