Case Report
 
Spontaneous expulsion and migration of a bronchial foreign body: A flustering rare dental accident
Koken Ameku1, Mariko Higa1
1MD, Department of Respiratory Medicine, Okinawa Prefectural Nanbu Medical Center and Children’s Medical Center, Arakawa Haebaru-cho, Shimajiri, Okinawa, Japan

Article ID: Z01201710CR10843KA
doi:10.5348/ijcri-2017104-CR-10843

Address correspondence to:
Koken Ameku
Department of Respiratory Medicine
Okinawa Prefectural Nanbu Medical Center & Children’s Medical Center
118-1 Arakawa Haebaru-cho, Shimajiri
Okinawa
Japan 901-1193

Access full text article on other devices

  Access PDF of article on other devices

[HTML Abstract]   [PDF Full Text] [Print This Article]
[Similar article in Pumed] [Similar article in Google Scholar]


How to cite this article
Ameku K, Higa M. Spontaneous expulsion and migration of a bronchial foreign body: A flustering rare dental accident. Int J Case Rep Images 2017;8(10):668–671.


ABSTRACT

Introduction: A bronchial foreign body is a dangerous medical emergency that is potentially life-threatening. Spontaneous expulsion should neither be expected nor experienced. Thus, early removal with a bronchoscope should be performed to prevent complications. Spontaneous expulsion of a bronchial foreign body is rare, with few cases reported. Additionally, its occurrence and associated clinical complications are not studied and unclear. We describe a patient in whom a bronchial foreign body was expectorated spontaneously and swallowed into the digestive tract.
Case Report: An 80-year-old male aspirated a tooth in the left lower airway during a dental procedure. Flexible bronchoscopy performed on the next day found no foreign body in either bronchial tree. However, it was found on the abdominal radiograph. It was considered to have been expectorated and then swallowed before bronchoscopy. One week later, the patient had passed it.
Conclusion: This case demonstrated that a bronchial foreign body can rarely be expelled spontaneously. Besides, an expelled foreign body can be swallowed, or it can migrate to another location. Regarding spontaneous expectoration and migration, injury to the airway and digestive tract can occur depending on its shape. However, such dangers have not been addressed, because spontaneous expectoration is rare and unrecognized. Recognizing these dangers and warning patients of them could avoid additional complications.

Keywords: Dental care, Foreign bodies, Foreign body migration, Spontaneous remission


INTRODUCTION

A bronchial foreign body is a dangerous medical emergency that is potentially life-threatening. Spontaneous expulsion should neither be expected nor be experienced. Thus, early removal with a flexible or rigid bronchoscope should be performed to avoid serious respiratory complications, such as suffocation, obstructive pneumonia, hemoptysis, atelectasis, and lung abscess. In large case series of adults, the success rate of removal by flexible bronchoscopy is almost 90% with few complications [1]. In case of flexible bronchoscopy failure, rigid bronchoscopy or thoracotomy is performed. Spontaneous expulsion of a bronchial foreign body is rare with few cases reported [2]. Additionally, its occurrence and associated clinical complications are not studied and unclear. We describe a patient who spontaneously expectorated an accidentally aspirated tooth during a dental procedure, which was expectorated and migrated to the digestive tract before bronchoscopy could be performed.


CASE REPORT

An 80-year-old male was referred to our hospital after he aspirated a tooth into his airway during a dental procedure. An 8-mm radiopaque foreign body was detected in the left lower bronchus on a chest radiograph and computed tomography scan (Figure 1) and (Figure 2). Removal by flexible bronchoscopy was attempted on the next day, but the foreign body was not found in either bronchial tree. The radiograph showed the tooth in the abdomen (Figure 3). The tooth was considered to have been expectorated and swallowed into the digestive tract. He was discharged, and one week later, we confirmed that the patient passed it.


Cursor on image to zoom/Click text to open image
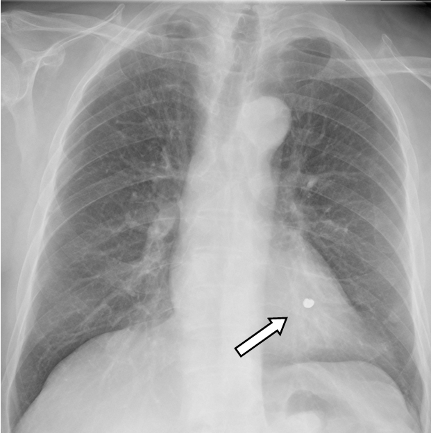
Figure 1: An 8-mm radiopaque foreign body is seen in the left lower bronchus on a chest radiograph.


Cursor on image to zoom/Click text to open image
Figure 2: A foreign body is seen in the left lower bronchus on a computed tomography scan.


Cursor on image to zoom/Click text to open image
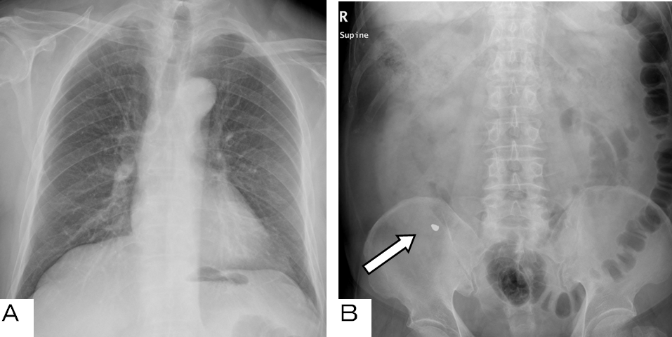
Figure 3: (A, B) During bronchoscopy on the next day after admission, the foreign body is not seen on a chest radiograph. The radiopaque foreign body appears in the abdomen. It passed through the patient’s digestive tract one week later.


DISCUSSION

This case demonstrated several important issues. First, a bronchial foreign body can rarely be expelled spontaneously. However, physicians may have infrequently experienced this occurrence previously. Second, an expelled foreign body can be swallowed, or it can migrate to another location. Third, accidental aspiration of foreign bodies during dental procedure does occur in extreme rare occasions. In addition to its physical strain, the event is confusing for both patients and dentists. Moreover, in referred emergency units, the migration of a foreign body, as in the present case, can be an additive danger and cause distress for both the patient and emergency physician.

A bronchial foreign body can rarely be expelled spontaneously. However, physicians may have infrequently experienced this occurrence previously. Foreign body aspiration is an uncommon clinical entity in adults, with an incidence of about only 1 in 400 bronchoscopies [1]. As a result, this disease is not frequently experienced by physicians. Spontaneous expulsion of a foreign body occurs even more rarely in approximately 1–2% of cases. Thus, it is not recognized by physicians [1][2][3]. Although few cases of spontaneous expulsion have been described in literature, it is generally not focused on or studied; this may be why it is not reported [2][4][5][6]. Among airway foreign bodies, inorganic materials, such as metallic or denture-like ones, as in the present case, cause little mucosal inflammation and granulation; therefore, they are more likely to mobilize than organic ones. Reported cases of spontaneous expectoration mostly involved inorganic, straight, and sharp materials [2][4][5][6][7][8]. Although our patient did not have any complications, when such sharp foreign bodies are not fixed in the lower airway, and then they are expectorated, damage to the airway can occur, and suffocation can even occur depending on how it is expelled. If it is probable that the foreign bodies will be expelled spontaneously, warning and preparation should be taken to avoid dangers. However, such dangers have not been addressed, because spontaneous expectoration is rare and unrecognized. The migration of a foreign body lodged in the bronchium, which was almost surgically resected, has also been reported [9]. As spontaneous expulsion of a foreign body can lead to serious clinical accidents and its occurrence may be underreported, it should be studied and addressed more.

Besides, an expelled foreign body can be swallowed or migrate to another location. Several cases of patients who have swallowed a foreign body into their digestive tract after expectoration have been reported [7] [8]. Although most ingested foreign bodies pass through the gastrointestinal tract uneventfully over a period of seven to ten days, large, sharp, or pointed objects can cause other complications, such as perforation, obstruction, or hemorrhage [10]. Endoscopic removal or even operation is required in almost 10% and 1% of cases, respectively. Additional complications by ingestion after expectoration should be recognized by emergency physicians, and these should be avoided by giving precautions to the patients.

Accidental aspiration of foreign bodies during dental procedure does occur in extreme rare occasions [3]. In addition to its physical strain, the event is confusing for both patients and dentists. Moreover, in referred emergency units, the migration of a foreign body, as in the present case, can be an additive danger and cause distress for both the patient and emergency physician. The incidences (cases/patients) of accidental ingestion or aspiration during dental procedures have been reported as 0.0041 and 0.0044% per year. The occurrence (cases/dentists) per year was reported as 0.018 [10]. Dental materials are mostly inorganic and likely to be expelled spontaneously, depending on its shape. When it occurs, the expelled objects are teeth, dentures, dental prostheses, dental instruments, and broken orthodontic appliances, which are sharp, large, and long, metallic materials; thus, they can be more hazardous [3]. This aspect of a dental accident must be addressed so dentists and emergency physicians can avoid additional complications. Furthermore, more studies should be performed on this topic.


CONCLUSION

This case demonstrated that a bronchial foreign body can rarely be expelled spontaneously. Besides, an expelled foreign body can be swallowed, or it can migrate to another location. Regarding spontaneous expectoration and migration, injury to the airway and digestive tract can occur depending on its shape. Recognizing these dangers and warning patients of them could avoid additional complications.


REFERENCES
  1. Sehgal IS, Dhooria S, Ram B, et al. Foreign body inhalation in the adult population: Experience of 25,998 bronchoscopies and systematic review of the literature. Respir Care 2015 Oct;60(10):1438–48.   [CrossRef]   [Pubmed]    Back to citation no. 1
  2. Jaiswal AA, Garg AK. Spontaneous expulsion of foreign body (seewing machine needle) from right middle lobe bronchus: A rare case report. J Clin Diagn Res 2014 Aug;8(8):KD01–2.   [CrossRef]   [Pubmed]    Back to citation no. 2
  3. Umesan UK, Chua KL, Balakrishnan P. Prevention and management of accidental foreign body ingestion and aspiration in orthodontic practice. Ther Clin Risk Manag 2012;8:245–52.   [CrossRef]   [Pubmed]    Back to citation no. 3
  4. Shikada M, Morikawa A, Kobayashi T, et al. Spontaneous expectoration of bronchial foreign body: A case report. Tokai J Exp Clin Med 2007 Sep 20;32(3):83–5.   [Pubmed]    Back to citation no. 4
  5. Gupta SK, Mundra RK, Goyal A. Spontaneous expulsion of an interesting long standing metallic foreign body (iron nail) from left main bronchus. Indian J Otolaryngol Head Neck Surg 2004 Jul;56(3):233–4.   [CrossRef]   [Pubmed]    Back to citation no. 5
  6. Hadi MA, Al-Telmesani LM. Spontaneous expulsion of intrabronchial metallic foreign body: A case report. J Family Community Med 1997 Jul;4(2):77–9.   [Pubmed]    Back to citation no. 6
  7. Aihole JS, Babu MN. Spontaneous migration of airway foreign body to the gastrointestinal tract. Indian Pediatr 2015 Jun;52(6):534–5.   [Pubmed]    Back to citation no. 7
  8. Graffstädt H, Dieckow B, Grüber C, Stöver B, Niggemann B. Christmas surprise: The unnoticed journey of a needle– from bronchus to intestine. Respir Med 2005 Dec;99(12):1600–2.   [Pubmed]    Back to citation no. 8
  9. Kikuchi R, Isowa N, Tokuyasu H, Kawasaki Y. Intraoperative migration of a nail from the left B10b to the main bronchus. Interact Cardiovasc Thorac Surg 2007 Feb;6(1):92–3.   [Pubmed]    Back to citation no. 9
  10. Hou R, Zhou H, Hu K, et al. Thorough documentation of the accidental aspiration and ingestion of foreign objects during dental procedure is necessary: Review and analysis of 617 cases. Head Face Med 2016 Jul 22;12(1):23.   [CrossRef]   [Pubmed]    Back to citation no. 10

[HTML Abstract]   [PDF Full Text]

Author Contributions
Koken Ameku – Substantial contributions to conception and design, Analysis and interpretation of data, Drafting the article, Revising it critically for important intellectual content, Final approval of the version to be published
Mariko Higa – Substantial contributions to conception and design, Acquisition of data, Analysis and interpretation of data, Revising it critically for important intellectual content, Final approval of the version to be published
Guarantor
The corresponding author is the guarantor of submission.
Source of support
None
Conflict of interest
Authors declare no conflict of interest.
Copyright
© 2017 Koken Ameku et al. This article is distributed under the terms of Creative Commons Attribution License which permits unrestricted use, distribution and reproduction in any medium provided the original author(s) and original publisher are properly credited. Please see the copyright policy on the journal website for more information.