Case Report
 
Lemierre’s syndrome: A forgotten entity with a very rare presentation
Sailesh Kumar Bansiwal1, Prabal Rajvanshi2, Harshita Sharma1, Rajesh Manocha2
1Postgraduate student, Department of Medicine, Vardhman Mahavir Medical College and Safdarjung Hospital, New Delhi, India
2Professor, Department of Medicine, Vardhman Mahavir Medical College and Safdarjung Hospital, New Delhi, India

Article ID: Z01201710CR10842SB
doi:10.5348/ijcri-2017103-CR-10842

Address correspondence to:
Sailesh Kumar Bansiwal
Office of the Head of the Department, Department of Medicine
Vardhman Mahavir Medical College and Safdarjung Hospital
New Delhi
India

Access full text article on other devices

  Access PDF of article on other devices

[HTML Abstract]   [PDF Full Text] [Print This Article]
[Similar article in Pumed] [Similar article in Google Scholar]


How to cite this article
Bansiwal SK, Rajvanshi P, Sharma H, Manocha R. Lemierre’s syndrome: A forgotten entity with a very rare presentation. Int J Case Rep Images 2017;8(10):663–667.


ABSTRACT

Lemierre’s syndrome is a potentially lethal condition, which originates as a complication of an oropharyngeal infection which causes suppuration of lateral pharyngeal space, bacteremia, and thrombophlebitis of internal jugular vein (IJV) leading to distant septic emboli. This is a forgotten disease in modern era of antibiotic therapy though it has been reported with increasing frequency in 21st century. We present a case of 34-year-old female presented with fever, headache, neck pain, odynophagia, and hemoptysis, found to have thrombosis of IJV and internal carotid artery (ICA) on imaging which responded to antibiotics and anticoagulant therapy. A high index of suspicion is necessary for diagnosis and early treatment is life saving.

Keywords: Forgotten disease, ICA thrombosis, Lemierre’s syndrome, Septic thrombophlebitis of internal jugular vein


INTRODUCTION

Lemierre’s syndrome, also known as postanginal septicemia or necrobacillosis was first reported in 1890. It was named after André Lemierre who explained the disease in 1936 [1]. It is usually caused by gram negative anaerobic bacillus Fusobacterium necrophorum [2]. However Peptostreptococcus, Staphylococcus, Streptococcus and Proteus have also been isolated. The disease progresses in several steps following a primary infection, which is usually pharyngitis (87.1%). Further invasion of deep neck spaces occurs, leading to internal jugular vein (IJV) thrombophlebitis (71.5%), and infective metastasis to distant sites most commonly to lungs (79.8%) [3]. Imaging and other investigations helps in the diagnosis. Surgery is seldom required as prolonged IV antibiotics have been documented as the mainstay of treatment.


CASE REPORT

A 34-year-old housewife presented with a short history of fever, and headache for 20 days; odynophagia, neck pain, right sided facial swelling for 10 days; and hemoptysis for five days. The patient denied any history of seizures, altered sensorium, photophobia, and arthralgias. The past history was unremarkable.

On examination, the patient was ill looking, tachypneic, and febrile to touch. However, her vitals were normal with pulse rate 104/min, and blood pressure 130/80. General examination showed right sided facial swelling and tenderness along the right sided sternocleidomastoid. Oral examination revealed inflammation of right tonsillar fossa. In the systemic examination, there were fine infraaxillary crepitations in bilateral lungs; and neurological examination showed terminal neck rigidity; while the examination of other systems was unrewarding (Figure 1).

Laboratory data showed total leukocyte count 18,650 (normal range 4,500–11,000 per ml) with 86% neutrophils. C-reactive protein (CRP) with value 31 mg/L (normal range 0–10 mg/L) and erythrocyte sedimentation rate (ESR) with value 62 mm/hr (normal range 0–20 mm/hr) were significantly raised; anti-nuclear antibody (ANA), anti-phospholipid antibody (APLA), protein C, protein S, Factor 5 Leiden, antithrombin, homocysteine were normal and HIV was non-reactive. Cerebrospinal fluid analysis revealed 40 cells with 98% lymphocytes while adenosine deaminase (ADA), proteins and sugar were insignificant.

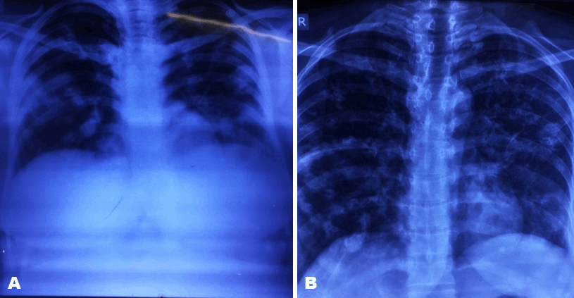
Ultrasonography of abdomen and echocardiography were normal. However, electrocardiography showed sinus tachycardia. The chest radiograph showed bilateral patchy shadows with mild bilateral pleural effusion (Figure 2).

Magnetic resonance imaging scan of head and neck showed right peritonsillar abscess, thrombosis of bilateral proximal IJV along with the thrombosis of right sigmoid sinus and left retromandibular vein. It also suggested bilateral ethmoid and sphenoid sinusitis/abscess, with extension of abscess to bilateral masticator space caudally and cranially to dura leading to subdural abscess and leptomeningitis.

A computed tomography angiography chest (Figure 3) and neck (Figure 4) was done which revealed thrombosed left internal carotid artery (ICA), partially thrombosed left IJV, sphenoid sinusitis and cavitation in bilateral lung fields suggestive of septic emboli. Color doppler bilateral neck was done to assess the extension of thrombus in the vessels. Surprisingly, it showed involvement of both IJV (partially occluded) and ICA (80% occluded) of left side.

Blood (anaerobic and aerobic), urine, sputum, and throat cultures were negative as the patient had received antibiotics prior to admission in our hospital.

The patient was given intravenously ceftriaxone (1 g q12 h), vancomycin (1 g q12 h), and clindamycin (600 mg q8 h) for 4 weeks. She also received anticoagulation with LMW heparin (6 mg SC q12 h) and acenocoumarol (2 mg q24h) and INR was monitored subsequently. The patient responded to the therapy as evident on radiographic resolution of the thrombosis both in internal jugular vein and internal carotid artery.


Cursor on image to zoom/Click text to open image
Figure 1: (A) Patient on presentation with right sided facial swelling, (B) Patient after four weeks of receiving treatment, and (C) Oral examination showing right peritonsillar abscess.


Cursor on image to zoom/Click text to open image
Figure 2: (A) Chest X-ray at the time of admission, and (B) Chest X-ray at the time of discharge.


Cursor on image to zoom/Click text to open image
Figure 3: Contrast-enhanced computed tomography chest showing septic emboli.


Cursor on image to zoom/Click text to open image
Figure 4: (A) Computed tomography angiography showing partial left internal jugular vein thrombosis. (B,C,D) Computed tomography angiography showing left internal carotid artery thrombosis.


DISCUSSION

Lemierre’s syndrome, being a rare entity (incidence 1 in a million) [4] has been drawing our attention because of its increasing incidence and dreaded complications; reemergence of this disease is most likely due to the antibiotic resistance and discouragement of the use of antibiotics for sore throat.

This patient had been worked up to rule out the closely mimicking differentials which were disseminated tuberculosis, cavernous sinus thrombosis, autoimmune vasculitis and thrombophilias.

Lemierre’s syndrome can have a spectrum of presentation ranging from mild pharyngitis to peritonsillar abscess. However, sinusitis, otitis media, mastoiditis, and odontogenic infections have also been described rarely. Sinusitis/sinus abscess (sphenoid and ethmoid) was probably the primary source of infection in our case (as per the history given by the patient), which involved the pharynx (peritonsillar abscess), lateral pharyngeal space, masticator space and the meninges. Meningitis in this case could be either due to direct spread from the sinus (sphenoid and ethmoid), or indirect spread through septic emboli (via ICA and IJV), or retrograde involvement of the sigmoid sinus (via IJV). There was involvement of the carotid sheath which was evident on CT angiography and color Doppler neck, leading to thrombosis of ICA and IJV. In our case, ICA thrombosis could be either due to its proximity to IJV or due to septic emboli. Though involvement of ICA is rarely reported in literature but in our case, this finding was very much evident on the imaging. Considering the endovascular nature of the disease, metastatic spread most commonly involves the lungs (79–100%) [3]. However, joints, bones, skin, liver, and kidney may also be involved.

A prolonged antibiotic course (2–6 weeks) is needed in order to eradicate the microorganisms within the thrombus. The role of anticoagulation is controversial, however, some authors consider it if there is extension of thrombosis. Surgical intervention is seldom required in the present era.

Untreated cases may have mortality of up to 90% [5]. The prognosis of Lemierre’s syndrome is favorable if there is early diagnosis and treatment. Rare presentation of Lemierre’s syndrome, ICA thrombosis along with IJV thrombosis, meningitis and sinusitis are being highlighted in our case report.


CONCLUSION

Lemierre’s syndrome occurs primarily in young, otherwise healthy individuals and is characterized by a history of recent oropharyngeal infection, clinical or radiological evidence of internal jugular venous thrombosis and anaerobic bacteremia caused primarily by F. necrophorum. This is a rare illness in the modern era of antibiotic therapy, though it has been reported with increasing frequency in the 21st century. Lemierre’s syndrome should be suspected in young, healthy patients with prolonged symptoms of pharyngitis followed by symptoms of septicemia or pneumonia, or an atypical lateral neck pain. Diagnosis is often confirmed by the identification of internal jugular vein thrombophlebitis by an imaging study and growth of anaerobic bacteria on blood culture. Prolonged antibiotic therapy is the cornerstone of the treatment, occasionally combined with anticoagulation.


REFERENCES
  1. Aggarwal SK, Nath A, Singh R, Keshri A. Lemierre's Syndrome presenting with neurological and pulmonary symptoms: Case report and review of the literature. Ann Indian Acad Neurol 2013 Apr;16(2):259–63.   [CrossRef]   [Pubmed]    Back to citation no. 1
  2. Chirinos JA1, Lichtstein DM, Garcia J, Tamariz LJ. The evolution of Lemierre syndrome: Report of 2 cases and review of the literature. Medicine (Baltimore) 2002 Nov;81(6):458–65.   [Pubmed]    Back to citation no. 2
  3. Ianniello F, Ferri E, Pinzani A. Septic thrombophlebitis of the internal jugular vein due to Fusobacterium necrophorum (Lemierre's syndrome): Case report and review of literature. [Article in Italian]. Acta Otorhinolaryngol Ital 1998 Oct;18(5):332–7.   [Pubmed]    Back to citation no. 3
  4. Hagelskjaer LH, Prag J, Malczynski J, Kristensen JH. Incidence and clinical epidemiology of necrobacillosis, including Lemierre's syndrome, in Denmark 1990–1995. Eur J Clin Microbiol Infect Dis 1998 Aug;17(8):561–5.   [Pubmed]    Back to citation no. 4
  5. Lemierre A. On certain septicemias due to anaerobic organisms. Lancet 1936;227:701–3.   [CrossRef]    Back to citation no. 5

SUGGESTED READING
  • https://books.google.co.in/books?isbn=818193069X
  • https://www.ncbi.nlm.nih.gov/gquery/?term=+Lemierre%E2%80%99s+syndrome
  • https://www.readbyqxmd.com/read/20107834/eponym-the-lemierre syndrome
  • www.medscape.com/viewarticle/410830

[HTML Abstract]   [PDF Full Text]

Author Contributions
Sailesh Kumar Bansiwal – Substantial contributions to conception and design, Acquisition of data, Analysis and interpretation of data, Drafting the article, Revising it critically for important intellectual content, Final approval of the version to be published
Prabal Rajvanshi – Substantial contributions to conception and design, Analysis and interpretation of data, Revising it critically for important intellectual content, Final approval of the version to be published
Harshita Sharma – Substantial contributions to conception and design, Acquisition of data, Analysis and interpretation of data, Drafting the article, Revising it critically for important intellectual content, Final approval of the version to be published
Rajesh Manocha – Analysis and interpretation of data, Revising it critically for important intellectual content, Final approval of the version to be published
Guarantor
The corresponding author is the guarantor of submission.
Source of support
None
Conflict of interest
Authors declare no conflict of interest.
Copyright
© 2017 Sailesh Kumar Bansiwal et al. This article is distributed under the terms of Creative Commons Attribution License which permits unrestricted use, distribution and reproduction in any medium provided the original author(s) and original publisher are properly credited. Please see the copyright policy on the journal website for more information.


ABOUT THE AUTHORS

Sailesh Kumar Bansiwal is Postgraduate student at Department of Medicine, Vardhman Mahavir Medical College and Safdarjung Hospital, Guru Gobind Singh Indraprastha University, New Delhi, India. He earned undergraduate degree (Bachelor of Medicine and Bachelor of Surgery) from Pt. J.N.M. Medical College, Pt. Ravishankar Shukla University, Raipur C.G., India.

Prabal Rajvanshi is Professor at Department of Medicine, Vardhman Mahavir Medical College and Safdarjung Hospital, Guru Gobind Singh Indraprastha University, New Delhi, India.

Harshita Sharma is Postgraduate student at Department of Medicine, Vardhman Mahavir Medical College and Safdarjung Hospital, Guru Gobind Singh Indraprastha University, New Delhi, India. She earned undergraduate degree (Bachelor of Medicine and Bachelor of Surgery) from Vardhman Mahavir Medical College and Safdarjung Hospital, Guru Gobind Singh Indraprastha University, New Delhi, India.

Rajesh Manocha is Professor at Department of Medicine, Vardhman Mahavir Medical College and Safdarjung Hospital, Guru Gobind Singh Indraprastha University, New Delhi, India.