|
![]() |
|
Case Report
| ||||||
| Streptococcus pneumoniae induced purpura fulminans in a patient with splenic hypoplasia | ||||||
| Shunsuke Kojima1, Eiji Hiraoka1, Jun Ehara1 Toshihiko Suzuki2, Enichi Nakatsuru3, Yasuhiro Norisue4 | ||||||
|
1MD, Department of Internal Medicine, Tokyo Bay Urayasu Ichikawa Medical Center, Chiba, Japan 2MD, Department of Nephrology, Tokyo Bay Urayasu Ichikawa Medical Center, Chiba, Japan 3MD, Department of Orthopedic Surgery, Tokyo Bay Urayasu Ichikawa Medical Center, Chiba, Japan 4MD, Department of Critical Care Medicine, Tokyo Bay Urayasu Ichikawa Medical Center, Chiba, Japan | ||||||
| ||||||
|
[HTML Abstract]
[PDF Full Text]
[Print This Article] [Similar article in Pumed] [Similar article in Google Scholar]
|
| How to cite this article |
| Kojima S, Hiraoka E, Ehara J, Suzuki T, Nakatsuru E, Norisue Y. Streptococcus pneumoniae induced purpura fulminans in a patient with splenic hypoplasia. Int J Case Rep Images 2017;8(10):634–638. |
|
ABSTRACT
| ||||||
|
Purpura fulminans (PF) is a rare, life-threatening medical emergency requiring prompt diagnosis and treatment. Common causes include Neisseria meningitidis, Streptococcus pneumoniae (S. pneumoniae), Haemophilus influenzae, Staphylococcus aureus, and fungal or viral infections. It usually occurs in immunocompromised hosts. We experienced a rare case of purpura fulminans due to S. pneumoniae,, who had no history of immunosuppressive disease. Case Report: A 57-year-old male was presented to our emergency department in shock state with flu-like symptoms. Empirical broad-spectrum antibiotics and intensive care were started. His condition rapidly deteriorated with multiple organ failure. Blood culture grew up S. pneumoniae,. Purpuric skin change developed in all extremities followed by ischemic gangrene, which required amputation. He did not have any history of immunosuppressive disease. His computed tomography scan of abdomen showed small size of spleen. Howell–Jolly bodies were recognized in peripheral blood smear. The patient was finally diagnosed with purpura fulminans with overwhelming pneumococcal sepsis. Although he had no history of immunodeficiency, he had evidence of Howell–Jolly bodies in peripheral blood smear, implying reduced splenic function, possibly due to splenic hypoplasia. To prevent this devastating condition, vaccination against S. pneumoniae, may need to be considered for people with splenic hypoplasia. Conclusion: Since delay in therapy would lead to a poor outcome, clinicians should be alert to purpura fulminans in patients in shock state, even lacking typical skin manifestation initially. Splenic hypoplasia may be a risk factor of this condition. Keywords: Purpura fulminans, Streptococcus pneumoniae,, Erythrocyte inclusions, Splenic hypoplasia | ||||||
|
INTRODUCTION
| ||||||
|
Purpura fulminans is a rare, life-threatening syndrome, requiring early diagnosis and treatment. Clinical manifestations include four primary features: large purpuric skin lesions, fever, hypotension, and disseminated intravascular coagulation (DIC) [1][2]. Common causes include Neisseria meningitidis, Streptococcus pneumoniae (S. pneumoniae), Haemophilus influenzae, Staphylococcus aureus, and fungal or viral infections [2][3]. Purpura fulminans occurs mainly in immunocompromised hosts including those with prior splenectomy, functional asplenia, or other impaired host-immune defense mechanisms [4] [5]. It is rare for immunocompetent adults to have this condition. There have been only two reported cases of immunocompetents adult cases with purpura fulminans [6]. Herein, we report a case of purpura fulminans due to S. pneumoniae infection in an adult with no history of immunosuppressive diseases. | ||||||
|
CASE REPORT
| ||||||
|
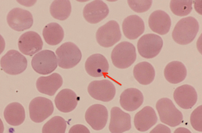
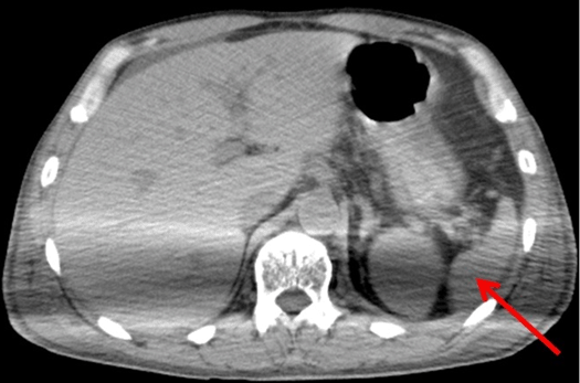
A 57-year-old previously healthy male presented to the emergency department with a three-day history of generalized malaise, muscle ache, and fever. His vital signs and physical examination results were normal. Blood tests showed no abnormalities except leukocytosis. He was discharged with a presumptive diagnosis of common cold. However, the next day, he was brought to the emergency department after experiencing a syncopal episode. Vital signs on admission were as follow: temperature 38.7°C (101.7°F), blood pressure 73/47 mmHg, pulse rate of 132 beats per min, respiratory rate of 24 breaths per min, and arterial oxygen saturation level of 96% while breathing ambient air. He was alert and oriented. There was no nuchal rigidity. Mottled skin was noted on the arms, chest, abdomen, and pretibial areas. Findings from lung, heart, and abdomen examinations were normal. Initial laboratory tests revealed thrombocytopenia 43×109/L, a normal white blood cell count (7.2×109/L), and a normal hemoglobin level (13.6 g/dL). Coagulation studies showed findings consistent with DIC, namely a prothrombin time of 12.3 s, partial thromboplastin time of 53.5 s, fibrin degradation product concentration of 69.7 µg/mL, and D-dimer concentration of 21.4 mg/mL. Liver and renal function tests revealed an aspartate aminotransferase level 150 U/L, alanine aminotransferase level 35 U/L, total bilirubin level 1.58 mg/dL, blood urea nitrogen level 40.7 mg/dL, and creatinine level 3.09 mg/dL, which were indicative of the multiple organ dysfunction syndrome. The serum troponin I level was normal on admission, but was elevated to 6.35 ng/mL within several hours. Arterial blood gas analysis detected an anion gap metabolic acidosis with an elevated lactic acid level of 33.80 mg/dL. Serological test results for HIV, hepatitis B virus, hepatitis C virus, and syphilis were negative. Chest radiography showed no pathological findings, however, computed tomography of the abdomen revealed a small spleen, 61 cm3 in size (Figure 1). Erythrocyte inclusions (Howell–Jolly bodies) were observed on the peripheral blood smear (Figure 2). An electrocardiogram demonstrated sinus tachycardia with no ST-T changes. Echocardiography showed diffuse hypokinesis with an ejection fraction of 18% without vegetation, or valvular disease. Based on the patient’s fever and shock state, as well as his poor cardiac function and elevated troponin, septic shock and cardiogenic shock were considered in the differential diagnosis. Fluid resuscitation and norepinephrine were administered immediately, followed by endotracheal intubation and mechanical ventilation. Therapy with vancomycin and meropenem was empirically initiated after blood cultures were obtained. Cardiac catheterization confirmed the absence of any critical coronary artery disease. Myocardial biopsy revealed normal findings on microscopy. Intra-aortic balloon pumping was begun for possible cardiogenic shock. Renal failure was managed with continuous renal replacement therapy. Nine hours after admission, blood culture showed the growth for gram-positive cocci and the antibiotic regimen was changed to vancomycin and ceftriaxone. Initial resuscitative management resulted in a reduction of the serum lactate levels and hemodynamic stabilization. Norepinephrine was subsequently discontinued. Intra-aortic balloon pumping was stopped after 48 hours, and continuous renal replacement therapy was replaced with intermittent hemodialysis. Two days after admission, S. pneumoniae, was identified in blood culture, and a diagnosis of invasive pneumococcal disease was made. The patient was weaned off the ventilator on day-7. The patient developed painful ischemic lesions on both his hands and feet during the week after admission, which gradually spread to his forearms and lower legs (Figure 3A–B). By day-5, the peripheral arteries, including the bilateral radial, dorsalis pedis, and posterior tibial arteries, were not palpable. Portions of the skin lesions became vesiculated and edematous, producing hemorrhagic bullae. Gradually, the lesions became more consolidated with dark-colored well-demarcated hemorrhagic necrosis (Figure 3C–D). These findings were consistent with purpura fulminans, due to S. pneumoniae,. Seven weeks after admission, below-elbow amputations and below-knee amputations were performed bilaterally. After a four-month hospital stay, the patient was transferred to another hospital for further rehabilitation. | ||||||
| ||||||
| ||||||
| ||||||
|
DISCUSSION
| ||||||
|
Purpura fulminans was first reported by Guelliot in 1884 [7] , and is a life-threatening condition characterized by symmetric peripheral gangrene with large purpuric skin lesions, fever, hypotension, and DIC that requires early diagnosis and treatment. Various pathophysiological mechanisms contribute to the formation of the necrotizing inflammatory lesions, and purpura fulminans carries a risk of hypotension and death in up to 40% of cases [1]. The most common causative agents of purpura fulminans are N. meningitides infections, followed by varicella, S. pneumoniae, and measles infections [8]. Reduced splenic function, asplenism, and protein S, or C deficiency can also be risk factors for this condition [2][4][5]. The skin lesions usually start as well-demarcated erythematous macules, which worsen rapidly with hemorrhagic necrosis, followed by the formation of dark lesions with vesicles or bullae. The differential diagnosis of purpura fulminans includes idiopathic thrombocytopenic purpura, thrombotic thrombocytopenic purpura, Henoch–Schönlein purpura, and warfarin-induced skin necrosis [9]. Usually, only purpura fulminans and warfarin-induced skin necrosis present with necrotic skin lesions [5]. Currently, there is no standard treatment for purpura fulminans caused by sepsis, and intensive care is the main therapeutic strategy. In addition to aggressive fluid resuscitation, prompt initiation of empirical broad-spectrum antibiotics for underlying sepsis, correction of acid-base imbalance and electrolyte abnormalities, and the early administration of oxygen are also helpful [10][11]. Heparin may be administered to inhibit further thrombus formation, and may reverse the development of skin necrosis [12], Because the pathophysiology of purpura fulminans involves intravascular thrombosis. Fresh frozen plasma can be used to replete these coagulation factors. Replacement therapy may contribute to arresting the progression of the disease and avoiding amputation of the limbs [5]. Early administration of protein C corrects the deficiency and might contribute to the restoration of peripheral perfusion according to a previous case report [5]. As in our case, the first manifestation of purpura fulminans may be a non-specific flu-like illness, with fever or chills, sore throat, malaise, and occasionally gastroenteritis symptoms, which occur 12–24 hours before the development of purpura fulminans [13][14]. Therefore, clinicians should be cognizant of purpura fulminans as a differential diagnosis in patients in a shock state, with non-specific flu-like symptoms, and consider empirical antibiotic treatment, even in patients who initially lack the characteristic skin manifestations associated with purpura fulminans. Patients with asplenism and reduced splenic function are particularly at a risk of sepsis. Functional asplenia or hyposplenia can result from splenectomy or various splenic conditions, such as congenital absence, atrophy following repeated infarction (e.g., sickle cell disease), gastrointestinal diseases, hepatic disorders, autoimmune disorders, hematological disorders, and neoplastic disorders [15]. Although scintigraphic methods are most reliable for assessing splenic function, they are not the best options for screening large populations [16]. The presence of Howell-Jolly bodies, which are small round bodies representing nuclear remnants within erythrocytes, indicates splenic dysfunction, although these findings may not be seen in those with only mild impairment of splenic function [5][16]. Other abnormalities associated with splenic dysfunction that can be seen on peripheral blood smears are acanthocytes (spur cells), target cells, hemoglobin remnants (Heinz bodies), siderocytes, and iron granulocytes [16]. In our case, Howell–Jolly bodies were observed on peripheral blood smear. The mean splenic length and width in healthy populations are 10.8 cm, and 3.6 cm, respectively [17], and the average volume is 131 cm3 [18]. Our patient’s splenic volume was 61 cm3 (6.2 cm long and 3.3 cm wide), which is small according to previous studies. Although there have been no studies on the association between splenic hypoplasia and dysfunction, there have been case reports of purpura fulminans due to S. pneumoniae associated with splenic hypoplasia [19][20][21]. It is rare for immunocompetent adults to have purpura fulminans, and only two such cases have been reported in literature [6]. Although our patient was relatively healthy until diagnosis, he was found to have a degree of splenic dysfunction, possibly due to splenic hypoplasia. The Centers for Disease Control and Prevention recommends the administration of pneumococcal vaccines for asplenic patients; this vaccine protects patients against 73–90% of strains causing post-splenectomy infections [22]. Other guidelines also recommend that patients with asplenia or hyposplenia be immunized against organisms including S. pneumoniae, H. influenzae type b, and N. meningitidis [22][23]. When a person is incidentally found to have splenic hypoplasia, vaccination against S. pneumoniae to prevent the devastating disease of purpura fulminans may need to be considered. With deep and extensive skin damage, surgical intervention including fasciotomy, debridement, and limb amputation are possible options. Some reports [8][24] suggest that prompt surgical consultation for the indications of intervention, debridement, and amputation may reduce the risk of mortality because critical complications, including the compartment syndrome, can occur in up to 7% of purpura fulminans cases, leading to increased morbidity [25]. Conversely, Johansen et al. do not recommend early surgical intervention because the damaged skin area is eventually localized [11]. In our case, it was difficult to determine the extent of necrosis at an early stage because the skin lesion margins were indistinct. After the patient’s general condition stabilized, the margins became apparent. Additional studies are needed to evaluate whether early surgical intervention is necessary to save the patient’s life, or if it is better to wait for a clearer demarcation of the necrotic areas. | ||||||
|
CONCLUSION
| ||||||
|
A non-specific flu-like illness may be the first manifestation of purpura fulminans. Clinicians should carefully observe patients to make a timely diagnosis and initiate treatment for purpura fulminans, even in patients lacking the typical signs of purpura fulminans. In patients with splenic hypoplasia, vaccination against S. pneumoniae may need to be considered to prevent this devastating condition. | ||||||
|
REFERENCES
| ||||||
| ||||||
|
[HTML Abstract]
[PDF Full Text]
|
|
Author Contributions
Shunsuke Kojima – Substantial contributions to conception and design, Acquisition of data, Analysis and interpretation of data, Drafting the article, Revising it critically for important intellectual content, Final approval of the version to be published Eiji Hiraoka – Substantial contributions to conception and design, Acquisition of data, Analysis and interpretation of data, Drafting the article, Revising it critically for important intellectual content, Final approval of the version to be published Jun Ehara – Substantial contributions to conception and design, Acquisition of data, Analysis and interpretation of data, Drafting the article, Revising it critically for important intellectual content, Final approval of the version to be published Toshihiko Suzuki – Substantial contributions to conception and design, Acquisition of data, Analysis and interpretation of data, Drafting the article, Revising it critically for important intellectual content, Final approval of the version to be published Enichi Nakatsuka – Substantial contributions to conception and design, Acquisition of data, Analysis and interpretation of data, Drafting the article, Revising it critically for important intellectual content, Final approval of the version to be published Yasuhiro Norisue – Substantial contributions to conception and design, Acquisition of data, Analysis and interpretation of data, Drafting the article, Revising it critically for important intellectual content, Final approval of the version to be published |
|
Guarantor
The corresponding author is the guarantor of submission. |
|
Source of support
None |
|
Conflict of interest
Authors declare no conflict of interest. |
|
Copyright
© 2017 Shunsuke Kojima et al. This article is distributed under the terms of Creative Commons Attribution License which permits unrestricted use, distribution and reproduction in any medium provided the original author(s) and original publisher are properly credited. Please see the copyright policy on the journal website for more information. |
|
|