Case Report
 
Fatal outcome in a case of infective endocarditis due to delay in diagnosis and the autopsy findings
Junji Matsuda1,2, Ryo Kojima1, Yutaka Matsumura1, Junichi Nitta1
1MD, Cardiovascular Medicine, Japan Red Cross Saitama Hospital, Saitama, Japan; 2MD, Department of Cardiovascular Medicine, Tokyo Medical and Dental University, Tokyo, Japan
2MD, Department of Cardiovascular Medicine, Tokyo Medical and Dental University, Tokyo, Japan

Article ID: Z01201710CR10834JM
doi:10.5348/ijcri-201795-CR-10834

Address correspondence to:
Junji Matsuda
MD, Department of Cardiovascular Medicine
Japan Red Cross Saitama Hospital 1-5
Chuoku Shintoshin, Saitama
330-8553, Japan

Access full text article on other devices

  Access PDF of article on other devices

[HTML Abstract]   [PDF Full Text] [Print This Article]
[Similar article in Pumed] [Similar article in Google Scholar]


How to cite this article
Matsuda J, Kojima R, Matsumura Y, Nitta J. Fatal outcome in a case of infective endocarditis due to delay in diagnosis and the autopsy findings. Int J Case Rep Images 2017;8(10):627–630.


ABSTRACT

Introduction: Infective endocarditis is an infection of a heart valve or other cardiac structure at a site of endothelial damage. Infective endocarditis is associated with a broad array of complications and has a high fatality rate. Some autopsy case reports regarding causes of death have previously been published. These cases reported that the condition of patients with infective endocarditis worsened drastically, and they suddenly died from fatal complications, such as acute severe heart failure, cerebrovascular major embolism, and hemorrhage or acute coronary embolism. In these cases, early diagnosis did not necessarily have an important role because of the unpredictable and relatively rare situation.
Case Report: A 47-year-old male was transferred to our hospital due to fever and severe fatigue. Although he had been experiencing symptoms for several months and visited doctors near his home several times, his condition was not diagnosed and he took antimicrobial drugs for a few days. On admission, he presented with typical clinical findings of infective endocarditis. Although intensive medical treatment was administered, his severe infection was not controlled, and it led to multi-organ failure. On day-15 of hospitalization, the patient succumbed to multi-organ failure. An autopsy also revealed multi-organ failure.
Conclusion: This case illustrates the fatal outcome of undiagnosed infective endocarditis in a patient who did not have fatal complications, such as acute heart failure, cerebrovascular major embolism, and hemorrhage or acute coronary embolism, which have been reported in past cases. In this case, early diagnosis could have avoided the unfortunate outcome. We report this case to emphasize the importance of early diagnosis of infective endocarditis.

Keywords: Autopsy, Early diagnosis, Infective endocarditis, Multi-organ failure


INTRODUCTION

Infective endocarditis is an infection of a heart valve or other cardiac structure at a site of endothelial damage. The definition of infective endocarditis has been also expanded to include infected cardiac devices. A variety of organ systems may be adversely affected in patients with infective endocarditis. Although advances have improved the diagnostic accuracy, infective endocarditis has relatively high morbidity and mortality rates from 16–25% of affected individuals [1][2][3][4]. Infective endocarditis is associated with a broad array of a complications; cardiac, neurologic, renal, musculoskeletal, and systemic complications related to the infection (embolization, metastatic infection, and aneurysm) [5][6]. Some autopsy case reports regarding causes of death have previously been published. These cases reported that the condition of patients with infective endocarditis worsened drastically, and they suddenly died from fatal complications, such as acute severe heart failure, cerebrovascular major embolism, and hemorrhage or acute coronary embolism [6][7][8][9][10][11][12][13]. In these cases, early diagnosis did not necessarily have an important role because of the unpredictable and relatively rare situation. We report a case of a 47-year-old male with infective endocarditis; early diagnosis could have avoided his unfortunate death. We report this case to emphasize the importance of early diagnosis of infective endocarditis.


CASE REPORT

A 47-year-old male was transferred to our hospital due to fever and severe fatigue. Although he had been experiencing symptoms for several months and visited doctors near his home several times, his condition was not diagnosed and he took antimicrobial drugs for a few days. On admission, he exhibited a systolic murmur and moderate mitral regurgitation with large vegetation on echocardiographic findings (Figure 1). Streptococcus mitis was detected in his blood culture and he was diagnosed with infective endocarditis. He also exhibited Janeway lesion, petechial hemorrhage on his conjunctiva and Roth spots on his fundus (Figure 2). His clinical presentation is typical. Computed tomography scan and magnetic resonance imaging scan revealed small multiple embolization to the brain, spleen, and kidney. Cardiac surgery was too risky because he also had severe coagulopathy and his mitral regurgitation was not so severe as needed the surgery. Although intensive medical treatment was administered, his severe infection was not controlled, and it led to multi-organ failure. On day-15 of hospitalization, the patient succumbed to multi-organ failure. Autopsy revealed huge vegetation (30×15×5 mm) in the two-thirds around the mitral valve (Figure 3). Histological analysis demonstrated that the vegetation was composed of necrotic tissue and neutrophils, along with numerous Gram-positive cocci (Figure 4) that destroyed the tissue of the mitral valve and the wall of the left atrium (Figure 5). An autopsy also revealed embolization of kidney and spleen and necrotic intestines, which had caused multi-organ failure.


Cursor on image to zoom/Click text to open image
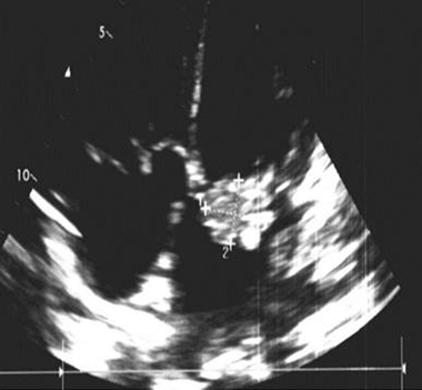
Figure 1: Large vegetation on the mitral valve, which swayed with moderate mitral regurgitation.


Cursor on image to zoom/Click text to open image
Figure 2: Janeway lesion on the patient’s fingers and petechial hemorrhage on his conjunctiva.


Cursor on image to zoom/Click text to open image
Figure 3: During the autopsy, huge vegetation (30×15×5 mm) was detected in the two-thirds around the mitral valve.
Abbreviation: LA: Left Atrium, LV: Left Ventricle.



Cursor on image to zoom/Click text to open image
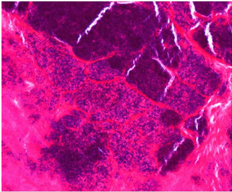
Figure 4: Histological examination demonstrated that the vegetation was composed of necrotic tissue and neutrophils, with numerous gram-positive cocci.


Cursor on image to zoom/Click text to open image
Figure 5: The vegetation destroyed the tissue of the mitral valve and the wall of the left atrium.
Abbreviation: LA: Left Atrium, MV: Mitral Valve.



DISCUSSION

This case illustrates the fatal outcome of undiagnosed infective endocarditis in a patient who did not have fatal complications, such as acute heart failure, cerebrovascular major embolism, and hemorrhage or acute coronary embolism, which have been reported in past cases. Infective endocarditis is associated with a broad array of a complications; cardiac, neurologic, renal, musculoskeletal, and systemic complications related to the infection (embolization, metastatic infection, and aneurysm) [5][6]. Some autopsy case reports regarding causes of death, which are due to fatal complications, have previously been published [7][10][11][14]. In this case, although the patient did not have fatal complications which have been reported in past such cases, he subsequently died as a result of this uncontrollable infection. On admission, intensive medical treatment was administered; antibiotics, renal replacement therapy and blood transfusion. He also had disseminated intravascular coagulation, which is one of the complication of infective endocarditis [15]. Cardiac surgery was too risky because of severe coagulopathy. We think he had best medical treatment in hospital. In present case, delay in diagnosis of infective endocarditis caused his unfortunate death. Clinical presentation on admission was relatively typical. Conservative antimicrobial treatment for undiagnosed fever causes delays in the diagnosis of infective endocarditis. Once infective endocarditis has progressed it is too late to control the infection and recover systemic organ failure even though fatal complications are not a problem. In this case, early diagnosis could have avoided the unfortunate outcome. We report this case to emphasize the importance of early diagnosis of infective endocarditis.


CONCLUSION

Delays in the diagnosis of infective endocarditis resulted in a fatal outcome despite absence of fatal complications such as acute heart failure, cerebrovascular major embolism, and hemorrhage or acute coronary embolism. Early diagnosis of infective endocarditis is crucial.


REFERENCES
  1. Kiefer TL, Bashore TM. Infective endocarditis: A comprehensive overview. Rev Cardiovasc Med 2012;13(2–3):e105–20.   [Pubmed]    Back to citation no. 1
  2. Moreillon P, Que YA. Infective endocarditis. Lancet 2004 Jan 10;363(9403):139–49.   [CrossRef]   [Pubmed]    Back to citation no. 2
  3. Dayer MJ, Jones S, Prendergast B, Baddour LM, Lockhart PB, Thornhill MH. Incidence of infective endocarditis in England, 2000–13: A secular trend, interrupted time-series analysis. Lancet 2015 Mar 28;385(9974):1219–28.   [CrossRef]   [Pubmed]    Back to citation no. 3
  4. Murdoch DR, Corey GR, Hoen B, et al. Clinical presentation, etiology, and outcome of infective endocarditis in the 21st century: The international collaboration on endocarditis-prospective cohort study. Arch Intern Med 2009 Mar 9;169(5):463–73.   [CrossRef]   [Pubmed]    Back to citation no. 4
  5. Hoen B, Duval X. Infective endocarditis. N Engl J Med 2013 Apr 11;368(15):1425–33.   [CrossRef]   [Pubmed]    Back to citation no. 5
  6. Kim JS, Kang MK, Cho AJ, Seo YB, Kim KI. Complicated infective endocarditis: A case series. J Med Case Rep 2017;11(1):128.    Back to citation no. 6
  7. Dowling GP, Buja ML. Sudden death due to left coronary artery occlusion in infective endocarditis. Arch Pathol Lab Med 1988 Sep;112(9):932–4.   [Pubmed]    Back to citation no. 7
  8. Thuny F, Hubert S, Tribouilloy C, et al. Sudden death in patients with infective endocarditis: Findings from a large cohort study. Int J Cardiol 2013 Jan 10;162(2):129–32.   [CrossRef]   [Pubmed]    Back to citation no. 8
  9. Murai T, Yonetsu T, Isobe M, Kakuta T. Coronary embolization caused by pleomorphic lung carcinoma. Intern Med 2016;55(24):3607–9.   [CrossRef]   [Pubmed]    Back to citation no. 9
  10. Zeller L, Flusser D, Shaco-Levy R, Giladi H, Merkin MS, Liel-Cohen N. A rare complication of infective endocarditis: Left main coronary artery embolization resulting in sudden death. J Heart Valve Dis 2010 Mar;19(2):225–7.   [Pubmed]    Back to citation no. 10
  11. Castelli JB, Almeida G, Siciliano RF. Sudden death in infective endocarditis. Autops Case Rep 2016 Sep 30;6(3):17–22.   [CrossRef]   [Pubmed]    Back to citation no. 11
  12. Byramji A, Gilbert JD, Byard RW. Sudden death as a complication of bacterial endocarditis. Am J Forensic Med Pathol 2011 Jun;32(2):140–2.   [CrossRef]   [Pubmed]    Back to citation no. 12
  13. Gentille-Lorente DI, Pons-Ferré L. Infective endocarditis and sudden death. [Article in Spanish]. Rev Esp Cardiol 2010 Sep;63(9):1087.   [Pubmed]    Back to citation no. 13
  14. Greenberg BH, Hoffman P, Schiller NB, Miller M, Chatterjee K. Sudden death in infective endocarditis. Chest 1977 Jun;71(6):794–5.   [CrossRef]   [Pubmed]    Back to citation no. 14
  15. Pchejetski D, Kenbaz M, Alshaker H, Rajput D, Jesudason K. An unusual case of disseminated intravascular coagulation. Oxf Med Case Reports 2017 Apr 3;2017(4):omx009.   [CrossRef]   [Pubmed]    Back to citation no. 15

[HTML Abstract]   [PDF Full Text]

Acknowledgements
We would like to thank Editage for English language editing.

Author Contributions
Junji Matsuda – Substantial contributions to conception and design, Acquisition of data, Analysis and interpretation of data, Drafting the article, Revising it critically for important intellectual content, Final approval of the version to be published
Ryo Kojima – Substantial contributions to conception and design, Drafting the article, Final approval of the version to be published
Yutaka Matsumura – Substantial contributions to conception and design, Drafting the article, Final approval of the version to be published
Junichi Nitta – Substantial contributions to conception and design, Drafting the article, Final approval of the version to be published
Guarantor
The corresponding author is the guarantor of submission.
Source of support
None
Conflict of interest
Authors declare no conflict of interest.
Copyright
© 2017 Junji Matsuda et al. This article is distributed under the terms of Creative Commons Attribution License which permits unrestricted use, distribution and reproduction in any medium provided the original author(s) and original publisher are properly credited. Please see the copyright policy on the journal website for more information.