Clinical Image
 
Secondary obstructive giant megaureter leading to massive pyogenic urinary infection
João Fonseca1, Maria Amparo Castellano2, Manuel Veríssimo3, Armando Carvalho4
1Internal Medicine Resident, Internal Medicine Department, Coimbra Hospital and Universitary Centre, Coimbra, Portugal
2Internal Medicine Specialist, Internal Medicine Department, Coimbra Hospital and Universitary Centre, Coimbra, Portugal
3Professor and Internal Medicine Specialist, Internal Medicine Department, Coimbra Hospital and Universitary Centre, Coimbra, Portugal
4Professor and Head, Internal Medicine Department, Coimbra Hospital and Universitary Centre, Coimbra, Portugal

Article ID: Z01201710CL10136JF
doi:10.5348/ijcri-201726-CL-10136

Address correspondence to:
João Fonseca
Coimbra Hospital and Universitary Centre
Praceta Prof. Mota Pinto
Coimbra
Portugal, 3000-075

Access full text article on other devices

  Access PDF of article on other devices

[HTML Abstract]   [PDF Full Text] [Print This Article]
[Similar article in Pumed] [Similar article in Google Scholar]


How to cite this article
Fonseca J, Castellano MA, Veríssimo M, Carvalho A. Secondary obstructive giant megaureter leading to massive pyogenic urinary infection. Int J Case Rep Images 2017;8(10):684–686.


CASE REPORT

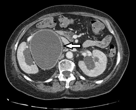
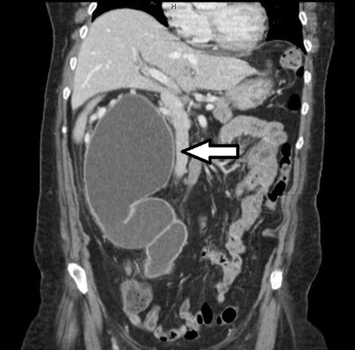
A 70-year-old female presented with right back pain and fever. Six months earlier was submitted to hysterectomy and bilateral salpingo-oophorectomy for an ovarian epithelial cancer (stage IA). On physical examination, she had chills, fever, and tenderness at the right costovertebral angle. Blood tests indicated acute renal failure and marked elevation of C-reactive protein. In renal ultrasound, a mild right hydronephrosis was identified, and the respective ureter proved to be impossible to visualize due to the presence of a large cystic-like structure (19 cm of longitudinal size). As there was a suspicion of obstructive pyelonephritis, a renal scintigraphy was performed indicating the presence of a significant unilateral obstruction. Non-contrast computed tomography (CT) scan showed a markedly distended right ureter (up to 9.5 cm in diameter) with tortuosity (Figure 1) and (Figure 2) (Figure 2), not evident in previous follow-up CT scan. No calculus or other anatomical urologic abnormalities were found. The patient underwent percutaneous nephrostomy, which drained 1500 cc of purulent fluid. Escherichia coli were isolated and adequate antibiotic therapy was instituted. The clinical condition of the patient declined progressively and had passed away after three days.


Cursor on image to zoom/Click text to open image
Figure 1: A cystic-like structure (9.5 cm in diameter) is easily identifiable in the right pararenal location, on the computed tomography scan axial cuts, corresponding to the right ureter.



Cursor on image to zoom/Click text to open image
Figure 2: Coronal cuts on CT scan showing an impressive image of a massively dilated and tortuous right ureter.



DISCUSSION

Giant megaureter is the name given to a massively dilated ureter. This pathological finding is rarely seen in clinical practice, especially in the geriatric age. The mechanism should be classified as obstructive, refluxing or non-obstructive non-refluxing [1]. We theorize that this case of obstructive megaureter was a late complication of a prior gynecological surgery, considering its absence in previous follow-up imaging exams. Almost half of the ureteral iatrogenic complications result from gynecological surgeries, of which hysterectomy is the main cause [2][3]. Its early diagnosis is crucial, as it can lead to kidney damage and urinary tract infections [2].

In these patients with impaired renal function, non-enhanced CT scan can be of great value. This characterizes the extent of urologic changes, and identifies the presence of calculi, compressive masses, and other anatomical abnormalities [4]. Magnetic resonance urography may also play an important role because it allows optimal noninvasive evaluation of many abnormalities of the urinary tract, including urinary tract obstruction [5]. Additionally, new gadolinium-based contrast agents associated with a few/unconfirmed cases of nephrogenic systemic fibrosis (like Gadobenate dimeglumine - MultiHance®), may be used safely even with severe renal dysfunction [6].

Due to the severe clinical condition of the patient, who met criteria for severe sepsis, after discussion of the case with the urology department, percutaneous nephrostomy was considered the safest option at the time. Other procedures, such as nephrectomy and resection of the ureter, were not considered because the patient and her family refused more invasive surgical interventions.

This case is interesting because it presents a rare image of an extremely aberrant dilation of ureteral architecture.


CONCLUSION

We presented a patient who exhibited a secondary giant megaureter complicated by a severe urinary tract infection. The obstructive lesion resulted probably from gynaecological surgery, which is the main cause of iatrogenic ureteral injury. Sometimes these complications are only detected after serious consequences.

Keywords: Megaureter, Obstructive, Urinary infection


REFERENCES
  1. Hodges SJ, Werle D, McLorie G, Atala A. Megaureter. Scientific World Journal 2010 Apr 13;10:603–12.   [CrossRef]   [Pubmed]    Back to citation no. 1
  2. Dowling RA, Corriere JN Jr, Sandler CM. Iatrogenic ureteral injury. J Urol 1986 May;135(5):912–5.   [Pubmed]    Back to citation no. 2
  3. Selzman AA, Spirnak JP. Iatrogenic ureteral injuries: A 20-year experience in treating 165 injuries. J Urol 1996 Mar;155(3):878–81.   [CrossRef]   [Pubmed]    Back to citation no. 3
  4. Potenta SE, D'Agostino R, Sternberg KM, Tatsumi K, Perusse K. CT urography for evaluation of the ureter. Radiographics 2015 May-Jun;35(3):709–26.   [CrossRef]   [Pubmed]    Back to citation no. 4
  5. Leyendecker JR, Barnes CE, Zagoria RJ. MR urography: Techniques and clinical applications. Radiographics 2008 Jan-Feb;28(1):23–46; discussion 46–7.   [CrossRef]   [Pubmed]    Back to citation no. 5
  6. Shellock FG, Parker JR, Venetianer C, Pirovano G, Spinazzi A. Safety of gadobenate dimeglumine (MultiHance): Summary of findings from clinical studies and postmarketing surveillance. Invest Radiol 2006 Jun;41(6):500–9.   [CrossRef]   [Pubmed]    Back to citation no. 6

[HTML Abstract]   [PDF Full Text]

Author Contributions
João Fonseca – Substantial contributions to conception and design, Acquisition of data, Analysis and interpretation of data, Drafting the article, Revising it critically for important intellectual content, Final approval of the version to be published
Maria Amparo Castellano – Substantial contributions to conception and design, Analysis and interpretation of data, Revising it critically for important intellectual content, Final approval of the version to be published
Manuel Veríssimo – Substantial contributions to conception and design, Drafting the article, Revising it critically for important intellectual content, Final approval of the version to be published
Armando Carvalho – Substantial contributions to conception and design, Revising it critically for important intellectual content, Final approval of the version to be published
Guarantor
The corresponding author is the guarantor of submission.
Source of support
None
Conflict of interest
Authors declare no conflict of interest.
Copyright
© 2017 João Fonseca et al. This article is distributed under the terms of Creative Commons Attribution License which permits unrestricted use, distribution and reproduction in any medium provided the original author(s) and original publisher are properly credited. Please see the copyright policy on the journal website for more information.