Clinical Image
 
Intestinal perforation due to fish bone diagnosed preoperatively by computed tomography
Yoshimasa Kishi1, Atsuyoshi Iida1, Kohei Tsukahara1, Atsunori Nakao1
1MD, Department of Emergency and Critical Care Medicine, Okayama University Graduate School of Medicine, Dentistry, and Pharmaceutical Sciences, Okayama, Okayama, Japan

Article ID: Z01201710CL10134YK
doi:10.5348/ijcri-201724-CL-10134

Address correspondence to:
Atsunori Nakao
MD, PhD, Department of Emergency and Critical Care Medicine
Okayama University Graduate School of Medicine, Dentistry
and Pharmaceutical Sciences, 2-5-1 Shikata-cho, Kita-ku
Okayama-shi, Okayama
Japan, 700-8558

Access full text article on other devices

  Access PDF of article on other devices

[HTML Abstract]   [PDF Full Text] [Print This Article]
[Similar article in Pumed] [Similar article in Google Scholar]


How to cite this article
Kishi Y, Iida A, Tsukahara K, Nakao A. Intestinal perforation due to fish bone diagnosed preoperatively by computed tomography. Int J Case Rep Images 2017;8(10):678–680.


CASE REPORT

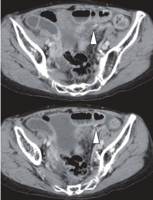
A 73-year-old female was presented to emergency department with a one-day history of increasing lower abdominal pain. The patient had attended a wedding party of her grandson and ate baked red snapper. Her past medical history was unremarkable and she was taking medication for hypertension. Her vital signs included blood pressure 119/66 mmHg, pulse rate 80 beats/min, and body temperature 36.2°C. On examination, the patient had a slightly distended abdomen with significant right iliac fossa guarding and tenderness. Her white cell count and C-reactive protein levels were 11900/mm3 and 1.24 mg/dL, respectively, indicating systemic inflammation. Abdominal computed tomography demonstrated pneumoperitoneum and fluid within the abdominal cavity, as well as dilated intestine, suggesting diffuse peritonitis due to alimentary tract perforation (Figure 1) (Figure 2). Under general anesthesia, the patient underwent diagnostic/therapeutic laparoscopy, which showed acutely inflamed ileum and purulent ascites. A foreign body, assumed to be a fish bone, was observed piercing through the small bowel wall at the ileum. As the site of perforation was not clearly determined via laparoscope, a lower median laparotomy was performed. Lavage of the abdominal cavity enabled us to detect a 2-mm ileal perforation by foreign body by confirming bubble from the perforation. Diffuse purulent peritonitis was evident in an area with adhesions. The foreign body was removed, primary suture of the intestinal perforation was performed, and the abdominal cavity was drained. Intravenous antibiotics were administered. The patient was discharged on day-5 after admission without complications.


Cursor on image to zoom/Click text to open image
Figure 1: Plain abdominal computed tomography showing thickened intestinal segment, localized pneumoperitoneum. Linear density crossing the intestinal wall was noted (black arrow).



Cursor on image to zoom/Click text to open image
Figure 2: Unenhanced abdominal computed tomography scan showing a fish bone (white arrowhead) as a linear radiopaque density penetrating the intestinal wall with adjacent areas of inflammation.



DISCUSSION

Ingestion of foreign bodies is a common clinical problem encountered in emergency departments. Meat boluses are the most common foreign bodies ingested in Western countries, while fish bones are the most common in Oriental countries where unfilleted fish is a culinary delicacy [1][2]. Although most fish bones pass through the gastrointestinal tract without complications, patients who accidentally ingest a fish bone are occasionally asymptomatic after ingestion initially, but may at a later date present remotely with serious complications such as perforation, obstruction, and abscess formation in the gastrointestinal tract. In fact, fish bones are the most common objects ingested and the most common foreign body to perforate the gastrointestinal tract [3]. Fish bones can perforate all segments of the alimentary tract. However, perforation tends to occur in areas of acute angulation such as the rectosigmoid and ileocecal junctions [4]. Early laparoscopic or surgical removal of the fish bone and abdominal lavage is recommended [5]. Eventually, as with our patient, determining the perforation site on laparotomy is difficult. Careful observation and administration of antibiotics are absolutely required for the treatment of intestinal perforation by fish bone.

Diagnosis of foreign body perforation of the gastrointestinal tract can be challenging and is rarely correctly diagnosed preoperatively. Radiography is unreliable in the diagnosis of fish bone perforation. Computed tomography (CT) scan has been helpful in the detection of nonmetallic foreign body perforation. Fish bone perforation typically appears as a linear calcified lesion surrounded by an inflamed area on CT scan [6]. Evidence of pneumoperitoneum is only seen in approximately 30% of patients with intestinal perforation caused by fish bone ingestion [1]. Computed tomography scan sensitivity for detection of fish bone peritonitis is known to be relatively high (71–100%). Since the main reason for missed diagnosis is the observer’s lack of awareness, a high degree of clinical suspicion should be maintained in order to make a correct diagnosis.


CONCLUSION

We described a case of acute peritonitis after perforation of the ileum by a fish bone that was detected by computed tomography. We emphasize the value of CT in diagnosing fish bone peritonitis; familiarity with its appearance on CT scan can help to detect fish bone perforation along with any associated complications and help guide further management.

Keywords: Foreign body, Peritonitis, Sea food


REFERENCES
  1. RodrÍguez-Hermosa JI, Codina-Cazador A, Sirvent JM, MartÍn A, Gironès J, Garsot E. Surgically treated perforations of the gastrointestinal tract caused by ingested foreign bodies. Colorectal Dis 2008 Sep;10(7):701–7.   [CrossRef]   [Pubmed]    Back to citation no. 1
  2. Mutlu A, Uysal E, Ulusoy L, Duran C, Selamoglu D. A fish bone causing ileal perforation in the terminal ileum. Ulus Travma Acil Cerrahi Derg 2012 Jan;18(1):89–91.   [CrossRef]   [Pubmed]    Back to citation no. 2
  3. Goh BK, Tan YM, Lin SE, et al. CT in the preoperative diagnosis of fish bone perforation of the gastrointestinal tract. AJR Am J Roentgenol 2006 Sep;187(3):710–4.   [CrossRef]   [Pubmed]    Back to citation no. 3
  4. Pinero Madrona A, Fernández Hernández JA, Carrasco Prats M, Riquelme Riquelme J, Parrila Paricio P. Intestinal perforation by foreign bodies. Eur J Surg 2000 Apr;166(4):307–9.   [CrossRef]   [Pubmed]    Back to citation no. 4
  5. Velitchkov NG, Grigorov GI, Losanoff JE, Kjossev KT. Ingested foreign bodies of the gastrointestinal tract: Retrospective analysis of 542 cases. World J Surg 1996 Oct;20(8):1001–5.   [CrossRef]   [Pubmed]    Back to citation no. 5
  6. Venkatesh SH, Venkatanarasimha Karaddi NK. CT findings of accidental fish bone ingestion and its complications. Diagn Interv Radiol 2016 Mar–Apr;22(2):156–60.   [CrossRef]   [Pubmed]    Back to citation no. 6

[HTML Abstract]   [PDF Full Text]

Acknowledgements
We thank Christine Heiner for editing the manuscript.

Author Contributions
Yoshimasa Kishi – Substantial contributions to conception and design, Acquisition of data, Analysis and interpretation of data, Drafting the article, Final approval of the version to be published
Atsuyoshi Iida – Substantial contributions to conception and design, Acquisition of data, Analysis and interpretation of data, Drafting the article, Revising it critically for important intellectual content, Final approval of the version to be published
Kohei Tsukahara – Substantial contributions to conception and design, Acquisition of data, Analysis and interpretation of data, Drafting the article, Revising it critically for important intellectual content, Final approval of the version to be published
Atsunori Nakao – Substantial contributions to conception and design, Analysis and interpretation of data, Drafting the article, Revising it critically for important intellectual content, Final approval of the version to be published
Guarantor
The corresponding author is the guarantor of submission.
Source of support
None
Conflict of interest
Authors declare no conflict of interest.
Copyright
© 2017 Yoshimasa Kishi et al. This article is distributed under the terms of Creative Commons Attribution License which permits unrestricted use, distribution and reproduction in any medium provided the original author(s) and original publisher are properly credited. Please see the copyright policy on the journal website for more information.