International Journal of Case Reports and Images (IJCRI)


Volume 8; Number 9 (SEPTEMBER 2017)

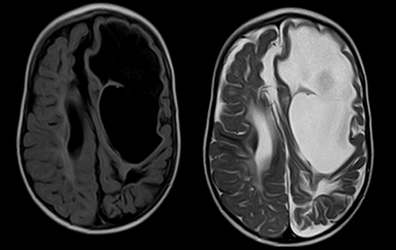
Cover Figure

cover figure

Magnetic resonance imaging of brain. Axial images of porencephalic cyst on left frontoparietal region connected with the ipsilateral lateral ventricle (Page 620)

Go Back to Table of Contents