Case Report
 
Neurofibroma of the cervical part of the vagus nerve: A case report
Samarasinghe A.S.1, Chathuranga L.S1, Niyas S.M.M.1, Sugathadasa W.D.P.1
1Department of Surgery, Teaching Hospital Kandy, Sri Lanka

Article ID: Z01201709CR10831SS
doi:10.5348/ijcri-201792-CR-10831

Address correspondence to:
Achala Samarasinghe
Department of Surgery
Teaching Hospital Kandy
Sri Lanka

Access full text article on other devices

  Access PDF of article on other devices

[HTML Abstract]   [PDF Full Text] [Print This Article]
[Similar article in Pumed] [Similar article in Google Scholar]


How to cite this article
Samarasinghe AS, Chathuranga LS, Niyas SMM, Sugathadasa WDP. Neurofibroma of the cervical part of the vagus nerve: A case report. Int J Case Rep Images 2017;8(9):604–608.


ABSTRACT

Introduction: Neurofibroma of the vagus nerve in the cervical region is an extremely uncommon benign tumor. Only ten reported cases were found in literature. It is slow growing and most are asymptomatic neck lumps. Preoperative imaging aids in arriving at a differential diagnosis and planning the surgery. Complete surgical excision is the standard of care.
Case Report: A 39-year-old female presented to the general surgical clinic with a painless lump on the right side of the neck for twelve months duration with recent rapid enlargement. Past medical history was unremarkable. She did not have a family history of neurofibromatosis. Physical examination revealed a 4x3.5 cm lump in the upper neck with well-defined margins and smooth surface. Contrast-enhanced CT scan confirmed a 3.6x3.2x6.9 cm hypodense mass with no contrast enhancement. The lesion was in-between right internal and external carotid artery and extending to the base of the skull. Right internal jugular vein was displaced anteriorly. Right common carotid artery (R/CCA) was stretched. The patient underwent exploration of the neck under general anesthesia with loupe magnification. The gross pathology showed a greyish homogenous cut surface of a 55x40 mm tumor. Pathological examination confirmed the diagnosis of neurofibroma of the vagus nerve.
Conclusion: Vagus nerve neurofibromas are rare nerve sheath tumors. Gold-standard treatment of symptomatic benign vagus nerve mass is an attempt at GTR with minimal loss of nerve function.

Keywords: Neurofibroma, Tumor, Vagus nerve


INTRODUCTION

Neurofibroma of the vagus nerve in the cervical region is an extremely uncommon benign tumor [1]. Only ten reported cases were found in literature [2]. It is slow growing and most are asymptomatic neck lumps [3]. Preoperative imaging aids in arriving at a differential diagnosis and planning the surgery. Complete surgical excision is the standard of care. Here we present a case of sporadic neurofibroma of the vagus nerve in the cervical region of a 39-year-old lady. She underwent successful surgery without disability such as vocal cord palsy.


CASE REPORT

A 39-year-old female presented to the general surgical clinic with a painless lump on the right side of the neck for twelve months duration with recent rapid enlargement. Past medical history was unremarkable. She did not have a family history of neurofibromatosis. Physical examination revealed a 4x3.5 cm lump in the upper neck with well-defined margins and smooth surface. Upon palpation paroxysmal cough was not elicited.

Ultrasound of the neck showed a well-defined solid soft tissue mass with internal vascularity. Contrast enhanced computed tomography scan confirmed a 3.6x3.2x6.9 cm hypodense mass with no contrast enhancement. The lesion was in-between right internal and external carotid artery and extending to the base of the skull. Right internal jugular vein was displaced anteriorly. Right common carotid artery (R/CCA) was stretched (Figure 1).

The fine needle aspiration cytology (FNAC) of the mass was inconclusive showing only stromal tissue fragments. The patient underwent exploration of the neck under general anesthesia with loupe magnification. A vertical incision is made along the anterior border of the sternocleidomastoid muscle achieving vascular control. An ovoid whitish tumor was identified in between the right internal jugular vein and the carotid artery displacing them. Both the superior and inferior ends of the mass appeared in continuity with the vagus nerve stretching its nerve fibers. Plane of the tumor was approached splitting the nerve fibers in the longitudinal direction. Tumor was completely excised preserving the continuity of the vagus nerve (Figure 2).

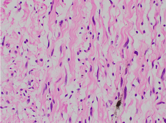
The gross pathology showed a greyish homogenous cut surface of a 55x50 mm tumor. Pathological examination confirmed the diagnosis of neurofibroma of the vagus nerve. Microscopy showed loosely arranged spindle cells containing slender wavy nuclei with pointed edges. Scattered cells showed enlarged hyperchromatic nuclei resembling degeneration. Mitoses were not increased (Figure 3).

Patient recovered well without hoarseness and discharged home in postoperative day-2. She was followed-up in the clinic with no major complications.



Cursor on image to zoom/Click text to open image
Figure 1: Computed tomography scan of right sided hypodense mass with no contrast enhancement.


Cursor on image to zoom/Click text to open image
Figure 2: Ovoid tumor in-between the right internal jugular vein and the carotid artery.


Cursor on image to zoom/Click text to open image
Figure 3: Loosely arranged spindle cells.


DISCUSSION

Neurofibromas of the vagus nerve are an extremely rare peripheral nerve sheath tumor. There occurrence in the cervical region is even uncommon. There are only ten reported cases of such lesions found in literature [2]. Majority of neoplasms of vagus nerve are schwannomas [4] [5].

Neurofibromas of the vagus nerve are slow growing peripheral nerve sheath tumors [3] [6]. Generally they are asymptomatic. Patients present with a painless neck lump with no significant disability. Some case studies have documented dysphagia and cough with percussion of the mass [4]. The most common age range is 20–40 years with no sex predisposition [7]. There may be an association (60%) with neurofibromatosis type 1 [8][2].

Growth takes the fusiform shape surrounded by a pseudo-capsule with the stretched neural tissue. Most are benign with a malignant counterpart less frequently.

Preoperative imaging with MRI scan is preferred, to assess the tumor characteristics and extension and arriving at a differential diagnosis. Ultrasound scan and CT scan are also valuable imaging modalities especially in limited resource setting. Optimal surgical approach and planning of surgery is made according the findings.

Cytological assessment with FNAC is non-specific. Biopsy is discouraged due to risk of damaging the surrounding structures, bleeding and because of its effects on future definitive surgery.

Gross total resection is the definitive treatment (GTR). Neurofibromas prove to be most difficult nerve sheath tumors to achieve GTR. Removal of the tumor by internal decompression is preferred as it preserves the function and minimizes the damage to closely packed structures in the vicinity. If the neurofibroma is removed en bloc, microsurgical repair of the nerve is indicated with a nerve graft [5][9][10][11][12][13].

Following the excision complications such as vocal cord palsy, dysphagia and arrhythmia could occur. Donner et al. previously reported a 16% decrease in motor function using the intra-capsular enucleation technique. Among them up to 10% developed pain syndromes [8]. Green et al. reported postoperative complications like occurrence of dysphagia (40%) and aspiration (46%) after vagus nerve tumor surgery [7]. Gilmer-Hill and Kline stated that nearly all patients who have vagus nerve tumor resections will develop transient hoarseness postoperatively [14]. Our patient did not develop any of these major complications.

Patients should be followed-up for local recurrence because of its higher possibility [7].


CONCLUSION

Vagus nerve neurofibromas are rare nerve sheath tumors. Gold-standard treatment of symptomatic benign vagus nerve mass is an attempt at gross total resection with minimal loss of nerve function. Postoperative hoarseness and vocal cord paralysis can be avoided with meticulous surgical technique.


REFERENCES
  1. Bray DP, Chan AK, Chin CT, Jacques L. Large cervical vagus nerve tumor in a patient with neurofibromatosis type 1 treated with gross total resection: Case report and review of the literature. J Brachial Plex Peripher Nerve Inj 2016 Nov 16;11(1):e48–e54.   [CrossRef]   [Pubmed]    Back to citation no. 1
  2. Matejcik V, Steno J, Haviarova Z, Mravec B. Neurofibroma of the vagus nerve in the cervical portion. Bratisl Lek Listy 2008;109(10):455–8.   [Pubmed]    Back to citation no. 2
  3. Kumar V, Abbas AK, Aster JC, Robbins SL. Robbins Basic Pathology. 9ed. Philadelphia, PA: Elsevier/Saunders; 2013.    Back to citation no. 3
  4. Packer RJ, Gutmann DH, Rubenstein A, et al. Plexiform neurofibromas in NF1: Toward biologic-based therapy. Neurology 2002 May 28;58(10):1461–70.   [Pubmed]    Back to citation no. 4
  5. Friedman JM. Epidemiology of neurofibromatosis type 1. Am J Med Genet 1999 Mar 26;89(1):1–6.   [Pubmed]    Back to citation no. 5
  6. McClatchey AI. Neurofibromatosis. Annu Rev Pathol 2007;2:191–216.   [CrossRef]   [Pubmed]    Back to citation no. 6
  7. Hruban RH, Shiu MH, Senie RT, Woodruff JM. Malignant peripheral nerve sheath tumors of the buttock and lower extremity. A study of 43 cases. Cancer 1990 Sep 15;66(6):1253–65.   [CrossRef]   [Pubmed]    Back to citation no. 7
  8. Green JD Jr, Olsen KD, DeSanto LW, Scheithauer BW. Neoplasms of the vagus nerve. Laryngoscope 1988 Jun;98(6 Pt 1):648–54.   [CrossRef]   [Pubmed]    Back to citation no. 8
  9. Donner TR, Voorhies RM, Kline DG. Neural sheath tumors of major nerves. J Neurosurg 1994 Sep;81(3):362–73.   [CrossRef]   [Pubmed]    Back to citation no. 9
  10. Chang SC, Schi YM. Neurilemmoma of the vagus nerve. A case report and brief literature review. Laryngoscope 1984 Jul;94(7):946–9.   [CrossRef]   [Pubmed]    Back to citation no. 10
  11. St Pierre S, Theriault R, Leclerc JE. Schwannomas of the vagus nerve in the head and neck. J Otolaryngol 1985 Jun;14(3):167–70.   [Pubmed]    Back to citation no. 11
  12. Marocchio LS, Oliveira DT, Pereira MC, Soares CT, Fleury RN. Sporadic and multiple neurofibromas in the head and neck region: A retrospective study of 33 years. Clin Oral Investig 2007 Jun;11(2):165–9.   [CrossRef]   [Pubmed]    Back to citation no. 12
  13. Kline DG, Judice DJ. Operative management of selected brachial plexus lesions. J Neurosurg 1983 May;58(5):631–49.   [CrossRef]   [Pubmed]    Back to citation no. 13
  14. Gilmer-Hill HS, Kline DG. Neurogenic tumors of the cervical vagus nerve: Report of four cases and review of the literature. Neurosurgery 2000 Jun;46(6):1498–503.   [CrossRef]   [Pubmed]    Back to citation no. 14

[HTML Abstract]   [PDF Full Text]

Author Contributions
Samarasinghe A.S. – Substantial contributions to conception and design, Acquisition of data, Analysis and interpretation of data, Drafting the article, Revising it critically for important intellectual content, Final approval of the version to be published
Chathuranga L.S. – Substantial contributions to conception and design, Acquisition of data, Analysis and interpretation of data, Drafting the article, Revising it critically for important intellectual content, Final approval of the version to be published
Niyas S.M.M. – Substantial contributions to conception and design, Acquisition of data, Drafting the article, Final approval of version to be published
Sugathadasa W.D.P. – Substantial contributions to conception and design, Acquisition of data, Drafting the article, Final approval of version to be published
Guarantor
The corresponding author is the guarantor of submission.
Source of support
None
Conflict of interest
Authors declare no conflict of interest.
Copyright
© 2017 Samarasinghe A.S. et al. This article is distributed under the terms of Creative Commons Attribution License which permits unrestricted use, distribution and reproduction in any medium provided the original author(s) and original publisher are properly credited. Please see the copyright policy on the journal website for more information.


ABOUT THE AUTHORS

Samarasinghe A.S. is Senior Registrar at Department of General Surgery, Teaching Hospital, Kandy. He earned undergraduate degree (MBBS) from University of Peradeniya and postgraduate degree (MD) from University of Colombo, Sri Lanka and MRCS from Edinburgh. He has published many research papers in national and international academic journals. His research interest includes colorectal malignancies.


Chathuranga L.S. is Registrar at Department of General Surgery, Teaching Hospital Kandy. He earned undergraduate degree (MBBS) from University of Peradeniya. He has published many research papers in national and international academic journals. His research interest includes hyperparathyroidism.


Niyas S.M.M. is Consultant Surgeon at Department of General Surgery, Teaching Hospital, Kandy. He earned undergraduate degree (MBBS) from University of Peradeniya and postgraduate degree (MS) from University of Colombo, Sri Lanka and FRCS from Edinburgh and England.


Sugathadasa W.D.P. is a faculty in the Department of Surgery, Teaching Hospital Kandy, Sri Lanka.