Case Report
 
Thoracic aortic aneurysm/dissection as an indication for family screening in younger patients: A case report
Javad Savoj1, Heather Chen1, Gregory Guldner2, Rajesh Gulati1
1MD, Department of Internal Medicine, Riverside Community Hospital/University of California Riverside School of Medicine
2MD, Department of Emergency Medicine, Riverside Community Hospital/University of California Riverside School of Medicine

Article ID: Z01201709CR10825JS
doi:10.5348/ijcri-201786-CR-10825

Address correspondence to:
Javad Savoj
Department of Internal Medicine
Riverside Community Hospital/University of California Riverside School of Medicine
4445 Magnolia Ave, Riverside
CA 92501 USA

Access full text article on other devices

  Access PDF of article on other devices

[HTML Abstract]   [PDF Full Text] [Print This Article]
[Similar article in Pumed] [Similar article in Google Scholar]


How to cite this article
Savoj J, Chen H, Guldner G, Gulati R. Thoracic aortic aneurysm/dissection as an indication for family screening in younger patients: A case report. Int J Case Rep Images 2017;8(9):579–582.


ABSTRACT

Introduction: Familial thoracic aortic aneurysm/dissection (TAAD) is a potentially lethal condition with a rising incidence which displays familial clustering in more than 20% of cases. Familial TAAD (FTAAD) refers to patients who have TAAD with a family history of aneurysmal disease who do not meet strict criteria for known connective tissue diseases. The FTAAD generally presents at an earlier age and has faster rate of aortic expansion.
Case Report: A 45-year-old male was presented to the emergency department with acute neck and chest pain. Computed tomography detected an aortic root aneurysm and type one aortic dissection. His brother reported an aortic dissection at age 55 and his uncle succumbed to sudden death in his fifties.
Conclusion: Family history may yield important clues to a catastrophic diagnosis for the acute care clinician and prompt primary care providers to discuss issues of possible screening during office visits. Most TAADs are sporadic and occur in association with atherosclerosis in older patients compared to familial TAAD, which has a mean age of 56.8. Up to 50% of susceptible relatives develop aortic dissection in FTAAD cases.

Keywords: Aortic aneurysm, Aortic dissection type one, Familial thoracic aortic aneurysm/dissection (TAAD), Familial thoracic aortic aneurysm/dissection (FTAAD)


INTRODUCTION

Ascending thoracic aortic dissections typically present with severe chest pain and later the development of acute hemodynamic compromise. Early diagnosis and treatment is crucial for survival. The incidence of acute aortic dissection in the general population is estimated to range from 2.6 to 3.5 per 100,000 person-years [1][2][3]. In a review of 464 patients from the International Registry of Acute Aortic Dissection (IRAD), 65% of all types of aortic dissection were men, with a mean age of 63 years. Women presenting with aortic dissection were generally older than men with a mean of 67 years [4].

Etiologies differ between older adult patients and younger patients with dissections involving the ascending aorta. In an IRAD review, 32% of patients were =70 years of age and were significantly more likely to have atherosclerosis, prior aortic aneurysm, iatrogenic dissection, or intramural hematoma. In a review of patients under age of 40 years, only 34% had a history of hypertension, and only 1% had a history of atherosclerosis. Marfan syndrome was present in 8.5% of younger patients (mean age 55 years), and was not diagnosed in any of the older adult patients [5] [6].

Familial thoracic aortic aneurysm/dissection (FTAAD) refers to patients who have thoracic aortic artery disease coupled with a family history of aneurysmal disease and who do not meet strict criteria for known connective tissue diseases. Patients with FTAAD generally present at an earlier age (56.8 years old) compared with patients with sporadic TAA (65.7 years old), and also have faster rate of aortic expansion [7].


CASE REPORT

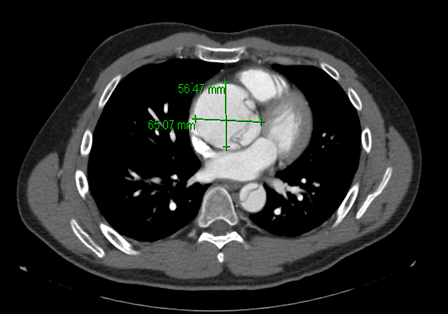
A 45-year-old male presented to a community hospital emergency department with acute neck and chest pain. His pain first started as odynophagia and then extended to his chest and abdomen. He had no history of hypertension, coronary artery disease, diabetes mellitus, or smoking. His family history was significant for a type one aortic dissection in his brother three years earlier at age 55 years and a questionable history of the sudden death of his uncle while he was asleep. Computed tomography angiogram showed an aneurysmal dilation of the aortic root and an acute Stanford type one aortic dissection involving the ascending thoracic aorta, aortic arch, and descending thoracic aorta extending to the abdominal aorta (Figure 1) (Figure 2). His dissection also involved the left brachiocephalic artery extending to the origin of the vertebral artery. Further investigations revealed that his brother had the same type of aortic dissection with extension to his left carotid artery and abdominal aorta, which had been treated with aortic valve replacement and aortoplasty. However, his brother had a history of smoking and diabetes, and his course had been complicated with stroke and right lower extremity compartment syndrome. The patient was transferred for aortoplasty, and after one year follow-up, did not have any complications. He and his brother did not meet any criteria of known connective tissue diseases such as Marfan or Loeys-Dietz syndrome.



Cursor on image to zoom/Click text to open image
Figure 1: Aortic arch dissection.


Cursor on image to zoom/Click text to open image
Figure 2: Aortic root aneurysm.


DISCUSSION

Familial thoracic aortic aneurysm/dissection (FTAAD) presents at a younger age than sporadic patients, but at a significantly older age than patients with Marfan syndrome or Loeys-Dietz syndrome. Familial TAAD is primarily inherited in an autosomal dominant manner with decreased penetrance and variable expression. About 20% of patients with TAAD have a first-degree relative with a similar disease [8]. Mapping studies have firmly established that there is significant genetic heterogeneity for familial thoracic aortic aneurysm and dissection (i.e., many different genes can be mutated and cause the same clinical condition).

Our patient’s brother had a history of diabetes and atherosclerotic risk factors, which increase the chance of having sporadic TAAD. However, the age of onset was relatively lower than that for the average sporadic TAAD patient.

The international consensus guidelines recommend screening by aortic imaging for all first-degree relatives of patients with sporadic TAAD and all first- and second degree relatives in families with TAAD in which the genetic cause is not known [9]. However, these criteria would include a large proportion of the general population, which may not be cost effective. Furthermore, there are no strict guidelines on the age cut-off to commence screening and screening intervals, since there is no definitive age of onset in patients with familial TAAD and the rate of aortic expansion is faster in these patients. Genetic tests are expensive and not well established for clinical use. A negative genetic test for known mutations such as TGFBR2, ACTA2 and MYH11 does not rule out familial TAAD since each year new gene mutations are identified. Screening with thoracic echocardiography is feasible, but it does not capture the entire aorta. Computed tomography scan or magnetic resonance angiography are the optimal imaging tests to detect TAAD, but computed tomography angiography exposes patients to radiation, and magnetic resonance angiography might not be cost effective for identifying patients with dilated aortas who should enter a follow-up program.

Currently, there is no ideal single screening test, particularly for younger individuals. Recent studies have shown ultra-low dose (ULD) chest CT scan.

Recent studies have shown ultra-low dose (ULD) chest CT scan can be used for detection of solid nodules, asbestos-related pleural diseases screening, and for monitoring of infectious pneumonia [10]. However, the sensitivity of ULD chest CT scan for screening of TAAD is still unclear. Limited one sequence magnetic resonance angiography can be another reasonable option that needs to be investigated as a screening method for TAAD.


CONCLUSION

Familial thoracic aortic aneurysm/dissection (FTAAD) is a catastrophic disease that is inherited mainly in an autosomal dominant mode. The average age of presentation is less than 60 years old based on previous studies. There are a few known mutations that are responsible for FTAAD. However, unknown mutations and modes of inheritance likely still exist. Acute care providers treating patients with symptoms possibly reflecting a thoracic aortic dissection may wish to inquire about family history of TAAD or sudden unexplained death if the initial evaluation has not made the need for definitive imaging clear. Primary care providers reviewing family medical histories should discuss screening options and controversies with patients who have had family members with TAAD. Although routine screening of patients’ family members with TAAD is recommended, there are no established guidelines for modality of screening, age cut-off for screening, and frequency of follow up of these patients. Our experience suggests that first degree families of patients with known risk factors of sporadic aortic aneurysm and dissection who are relatively younger than 60 should be screened for familial TAAD. Further studies are required to establish a cost effective and clinically feasible screening method based on patient age and family history.


REFERENCES
  1. Bickerstaff LK, Pairolero PC, Hollier LH, et al. Thoracic aortic aneurysms: A population-based study. Surgery 1982 Dec;92(6):1103–8.   [Pubmed]    Back to citation no. 1
  2. Robertson EN, van der Linde D, Sherrah AG, et al. Familial non-syndromal thoracic aortic aneurysms and dissections – Incidence and family screening outcomes. Int J Cardiol 2016 Oct 1;220:43–51.   [CrossRef]   [Pubmed]    Back to citation no. 2
  3. Clouse WD, Hallett JW Jr, Schaff HV, et al. Acute aortic dissection: Population-based incidence compared with degenerative aortic aneurysm rupture. Mayo Clin Proc 2004 Feb;79(2):176–80.   [CrossRef]   [Pubmed]    Back to citation no. 3
  4. Albornoz G, Coady MA, Roberts M, et al. Familial thoracic aortic aneurysms and dissections–Incidence, modes of inheritance, and phenotypic patterns. Ann Thorac Surg 2006 Oct;82(4):1400–5.   [CrossRef]   [Pubmed]    Back to citation no. 4
  5. Hannuksela M, Stattin EL, Johansson B, Carlberg B. Screening for familial thoracic aortic aneurysms with aortic imaging does not detect all potential carriers of the disease. Aorta (Stamford) 2015 Feb 1;3(1):1–8.   [CrossRef]   [Pubmed]    Back to citation no. 5
  6. Januzzi JL, Isselbacher EM, Fattori R, et al. Characterizing the young patient with aortic dissection: Results from the international registry of aortic dissection (IRAD). J Am Coll Cardiol 2004 Feb 18;43(4):665–9.   [CrossRef]   [Pubmed]    Back to citation no. 6
  7. Coady MA, Davies RR, Roberts M, et al. Familial patterns of thoracic aortic aneurysms. Arch Surg 1999 Apr;134(4):361–7.   [CrossRef]   [Pubmed]    Back to citation no. 7
  8. Giusti B, Nistri S, Sticchi E, et al. A case based approach to clinical genetics of thoracic aortic aneurysm/dissection. Biomed Res Int 2016;2016:9579654.   [CrossRef]   [Pubmed]    Back to citation no. 8
  9. Hiratzka LF, Bakris GL, Beckman JA, et al. 2010 ACCF/AHA/AATS/ACR/ASA/SCA/SCAI/SIR/STS/SVM guidelines for the diagnosis and management of patients with thoracic aortic disease: A report of the American college of cardiology foundation/American heart association task force on practice guidelines, American association for thoracic surgery, American college of radiology, American stroke association, society of cardiovascular anesthesiologists, Society for cardiovascular angiography and interventions, society of interventional radiology, society of thoracic surgeons, and society for vascular medicine. Circulation 2010 Apr 6;121(13):e266–369.   [CrossRef]   [Pubmed]    Back to citation no. 9
  10. Ludes C, Schaal M, Labani A, Jeung MY, Roy C, Ohana M. Ultra-low dose chest CT: The end of chest radiograph?. [Article in French]. Presse Med 2016 Mar;45(3):291–301.   [CrossRef]   [Pubmed]    Back to citation no. 10

[HTML Abstract]   [PDF Full Text]

Acknowledgements
We are thankful to Dr. Chandana Lall professor of radiology at University of California Irvine for reviewing this manuscript

Author Contributions
Javad Savoj – Substantial contributions to conception and design, Acquisition of data, Analysis and interpretation of data, Drafting the article, Revising it critically for important intellectual content, Final approval of the version to be published
Heather Chen – Analysis and interpretation of data, Revising it critically for important intellectual content, Final approval of the version to be published
Gregory Guldner – Analysis and interpretation of data, Revising it critically for important intellectual content, Final approval of the version to be published
Rajesh Gulati – Analysis and interpretation of data, Revising it critically for important intellectual content, Final approval of the version to be published
Guarantor
The corresponding author is the guarantor of submission.
Source of support
None
Conflict of interest
Authors declare no conflict of interest.
Copyright
© 2017 Javad Savoj et al. This article is distributed under the terms of Creative Commons Attribution License which permits unrestricted use, distribution and reproduction in any medium provided the original author(s) and original publisher are properly credited. Please see the copyright policy on the journal website for more information.