Case Report
 
Report of a case of pancreatic hemangioma: A difficult preoperative diagnosis
AL Hashmi Al Warith1, Lagrange Xavier1, Fara Régis1, Camerlo Antoine1
1Digestive surgery department, Hospital European, Marseille, France

Article ID: Z01201709CR10824AW
doi:10.5348/ijcri-201785-CR-10824

Address correspondence to:
Antoine Camerlo
Digestive surgery department
Hospital European, Marseille
France

Access full text article on other devices

  Access PDF of article on other devices

[HTML Abstract]   [PDF Full Text] [Print This Article]
[Similar article in Pumed] [Similar article in Google Scholar]


How to cite this article
Al Warith AH, Xavier L, Régis F, Antoine C. Report of a case of pancreatic hemangioma: A difficult preoperative diagnosis. Int J Case Rep Images 2017;8(9):575–578.


ABSTRACT

Hemangiomas can be found in various organs in the gastrointestinal tract but are rarely described in the pancreas. We report here a case of 71-year-old female who presented on abdominal computed tomography (CT) scan an incidental finding of cystic lesion in the tail of the pancreas. Follow-up magnetic resonance imaging scan after three months showed well demarcated multi loculated lesion increasing in size comparing to the last CT scan. The patient underwent laparoscopic distal pancreatectomy with splenectomy. The pathological analysis of the specimen showed a pancreatic hemangioma with no features of malignancy. The clinical presentation, radiological features and the modalities of diagnosis are here discussed.

Keywords: Endoscopic ultrasound, Hemangioma, Pancreatic cyst


INTRODUCTION

Pancreatic hemangioma is a rare cystic lesion of the pancreas. A few cases are reported in literature. The radiological features of pancreatic hemangioma overlap with other cystic lesions of the pancreas like mucinous cystadenoma and intrapapillary ductal mucinous neoplasm of the pancreas[1][2][3][4]. Thus, most of the cases of pancreatic hemangioma end up in surgical resection due to the uncertainty of the diagnosis. We discuss here the ways to avoid pancreatic resection of pancreatic hemangioma.


CASE REPORT

A 71-year-old female with a past medical history of thyroidectomy and diverticulosis presented to the emergency department with left iliac fossa pain.

Computed tomography scan showed signs of diverticulosis without any complication and incidental finding of cystic lesion in the tail of the pancreas. The patient was transferred to our center for further follow-up and investigation.

Clinical examination on admission revealed healthy looking women, comfortable, abdomen soft and no abdominal masses palpable. Blood tests including lipase, CEA and CA 19-9 were normal. Computed tomography scan and magnetic resonance imaging (MRI) scan showed a 19-mm cystic multi loculated lesion in the tail of the pancreas which was initially thought to be a serious cystadenoma. We decided to follow-up the lesions with MRI scan in three months’ time because of atypic characteristics of the lesion. Magnetic resonance imaging (MRI) at three month showed 24 mm cystic loculated lesion (increasing in size comparing to the last CT scan), well demarcated with a thick and contrast enhanced septa (Figure 1). No infiltration to the surrounding structure and no communication with the main pancreatic duct were described. Endoscopic ultrasound showed a 25-mm cystic lesion with same characteristics as on MRI scan and particularly did not find intramural nodule (Figure 2). For technical reason the puncture biopsy was not possible.

Since a diagnosis of pancreatic mucinous neoplasia could not be ruled out, a decision to perform pancreatic resection was made. Laparoscopic distal pancreatectomy with splenectomy was done. Postoperative course was uneventful and the patient was discharged without complications five days after surgery. The histopathological report revealed hemorrhagic cystic lesion measuring 2 cm, pathological features resembling pancreatic hemangioma without any features of malignancy (Figure 3).



Cursor on image to zoom/Click text to open image
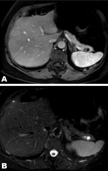
Figure 1:(A,B) Magnetic resonance imaging scan showing cystic lesion multi-lobulated located in the tail of the pancreas hypointense in T1, hyper intense in T2 with enhancement of the wall after gadolinium injection.


Cursor on image to zoom/Click text to open image
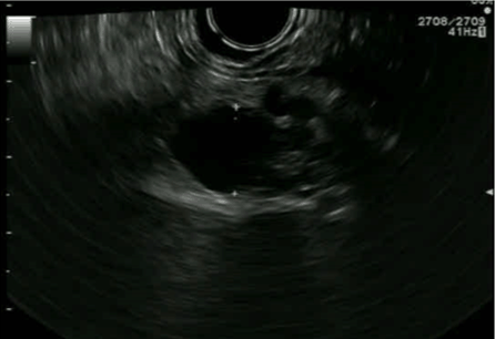
Figure 2: Endoscopic ultrasound showing lobulated cystic lesion in the tail of the pancreas with no Doppler signal.


Cursor on image to zoom/Click text to open image
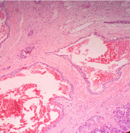
Figure 3: Microscopic examination showing vascular cavities filled with blood surrounded by endothelial cells with fibrous capsule no thrombotic lesions neither features of malignancy.


DISCUSSION

Hemangioma is a vascular tumor composing of blood vessels lined by epithelial tissue. They can be found in various organs including brain, liver, kidney. Vascular tumors of the pancreas are very rare. Only few cases were reported in literature. They account for 1% of the visceral hemangioma and are mostly found in females. Until now there are 14 cases of pancreatic hemangioma reported in the literature. It is difficult to establish the diagnosis preoperatively, because of the rarity of the disease and the overlapping other cystic lesions of the pancreas. Usually, patients are strictly asymptomatic and abdominal imaging showed an incidental finding of pancreatic cystic lesion. Rarely, they present with pancreatitis or abnormalities in the liver function test [1][2][3][4][5][6] [7].

There are several radiological modalities to diagnose pancreatic hemangioma. Ultrasound is helpful to diagnose the pancreatic hemangioma especially large size lesions (> 5 cm) as reported in nine cases. In the ultrasound they look like cystic lesion, hyper echogenic comparing to the rest of the pancreas with no Doppler signal comparing to malignant lesion which is well vascularized. In the endoscopic ultrasound they appear as cystic mass with thick septations with no Doppler signal. Most of the reported cases share the same ultrasonographic features [1].

In computed tomography scan, hemangiomas are strongly contrast enhancing in the arterial phase, peripheral irregular enhancement with central non-enhancement in venous phase, and progressive filling-in during the delayed phases [5]. Pancreatic hemangiomas appear in the CT scan as well demarcated cystic lesion enhanced in the arterial phase with no communication with main pancreatic duct. The enhancement in the arterial phase is not found in all reported cases of pancreatic hemangioma. This is explained by the slow blood flow due to the presence of AV shunting. On MRI scan it appears as a lobulated, hypo-intense mass in T1-weighted images, and shows moderate hyperintensity signal in T2-weighted image [1][2].

As we mentioned earlier, the features of pancreatic hemangioma can overlaps with other cystic lesions of the pancreas. For that in reviewing literature, only five of the reported cases were diagnosed preoperatively. The differential diagnosis for pancreatic hemangioma includes pancreatic pseudocyst, branch duct IPMN, serous cystadenoma or mucinous cystadenoma [6].

The role of the biopsy in the pancreatic hemangioma remains controversial. Endoscopic ultrasound guided FNA has been reported in some cases with no risk of bleeding but often non contributive results. Interest of ponction would be to eliminate diagnosis as IPMN or mucinous cystadenoma.

Concerning the treatment, pancreatic hemangioma can be observed when the diagnosis is certain. In reviewing the reported cases pancreatic hemangioma have been treated with surgical resection because of uncertainty of the diagnosis in 80% of cases.


CONCLUSION

Pancreatic hemangioma is a rare benign tumor. Current imaging techniques cannot reliably differentiate it from other neoplasm of the pancreas. Most of the cases end up in surgical resections due to uncertainty of the diagnosis.


REFERENCES
  1. Mondal U, Henkes N, Henkes D, Rosenkranz L. Cavernous hemangioma of adult pancreas: A case report and literature review. World J Gastroenterol 2015 Sep 7;21(33):9793–802.   [CrossRef]   [Pubmed]    Back to citation no. 1
  2. Lu ZH, Wu M. Unusual features in an adult pancreatic hemangioma: CT and MRI demonstration. Korean J Radiol 2013 Sep–Oct;14(5):781–5.   [CrossRef]   [Pubmed]    Back to citation no. 2
  3. So T, Matsuda H, Sonoda T, et al. Pancreatic angiomatosis: Report of a case. Surg Today 2008;38(1):72–5.   [CrossRef]   [Pubmed]    Back to citation no. 3
  4. Lee J, Raman K, Sachithanandan S. Pancreatic hemangioma mimicking a malignant pancreatic cyst. Gastrointest Endosc 2011 Jan;73(1):174–6.   [CrossRef]   [Pubmed]    Back to citation no. 4
  5. Lu T, Yang C. Rare case of adult pancreatic hemangioma and review of the literature. World J Gastroenterol 2015 Aug 14;21(30):9228–32.   [CrossRef]   [Pubmed]    Back to citation no. 5
  6. Le Borgne J, de Calan L, Partensky C. Cystadenomas and cystadenocarcinomas of the pancreas: A multiinstitutional retrospective study of 398 cases. French Surgical Association. Ann Surg 1999 Aug;230(2):152–61.   [Pubmed]    Back to citation no. 6
  7. Radin R, Weiner S, Koenigsberg M, Gold M, Bernstein R. Retroperitoneal cystic lymphangioma. AJR Am J Roentgenol 1983 Apr;140(4):733–4.   [CrossRef]   [Pubmed]    Back to citation no. 7

[HTML Abstract]   [PDF Full Text]

Acknowledgements
We are thankful to Portier Marie Pierre for histology pictures.

Author Contributions
AL Hashmi Al Warith – Substantial contributions to conception and design, Acquisition of data, Analysis and interpretation of data, Drafting the article, Revising it critically for important intellectual content, Final approval of the version to be published
Lagrange Xavier – Analysis and interpretation of data, Revising it critically for important intellectual content, Final approval of the version to be published
Fara Régis – Analysis and interpretation of data, Revising it critically for important intellectual content, Final approval of the version to be published
Camerlo Antoine – Analysis and interpretation of data, Revising it critically for important intellectual content, Final approval of the version to be published
Guarantor
The corresponding author is the guarantor of submission.
Source of support
None
Conflict of interest
Authors declare no conflict of interest.
Copyright
© 2017 AL Hashmi Al Warith et al. This article is distributed under the terms of Creative Commons Attribution License which permits unrestricted use, distribution and reproduction in any medium provided the original author(s) and original publisher are properly credited. Please see the copyright policy on the journal website for more information.