Clinical Image
 
A case of collagenous colitis with cryptogenic organizing pneumonia
Yasuyuki Taooka1, Yuka Ide1, Yusuke Higashi1, Gen Takezawa1
1Department of General Medicine, Akiota Hospital, Hiroshima, Japan

Article ID: Z01201709CL10131YT
doi:10.5348/ijcri-201721-CL-10131

Address correspondence to:
Yasuyuki Taooka
MD, FACP, Department of General Medicine
Akiota Hospital, Shimodomo-Gohchi 236
Akiota-Cho, Yamagata-Gun, Hiroshima
731-3622, Japan

Access full text article on other devices

  Access PDF of article on other devices

[HTML Abstract]   [PDF Full Text] [Print This Article]
[Similar article in Pumed] [Similar article in Google Scholar]


How to cite this article
Taooka Y, Ide Y, Higashi Y, Takezawa G. A case of collagenous colitis with cryptogenic organizing pneumonia. Int J Case Rep Images 2017;8(9):617–619.


CASE REPORT

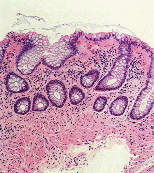
A 73-year-old female during the treatment of cryptogenic organizing pneumonia (COP) consulted our outpatient clinic complained of chronic diarrhea lasting more than six months. There was no body weight loss, and she did not feel severe abdominal pain. Twelve months prior consultation, prednisolone and lansoprazole were started to be administrated against COP. Since the patient had a past history of peptic ulcer, proton pump inhibitor (PPI) was also started against the adverse effect of corticosteroid therapy. Administration of corticosteroid and lansoprazole was also continued, because of repeating recurrence and improvement of COP. On physical examination, abdomen showed no significant abnormal findings. Stool color was normal, and stool occult blood examination was also negative. And stool bacterial culture did not show abnormal finding. Blood laboratory examination showed as following; white blood cell count 4,890/mL, hemoglobin 15.0 g/dL, platelet count 199,000/mL, total protein 6.7 g/dL, albumin 4.1 g/dL, AST 34 IU/mL, ALT 31 IU/mL, LDH 196 U/mL (normal range: 106–211) fasting blood sugar level 78 mg/dL, amylase 118 IU/L, Na 142 mEq/L, K 3.8 mEq/L, Cl 108 mEq/L, Ca 9.6 mg/dL C-reactive protein 0.0 mg/dL, CEA 1.1 ng/mL, CA19–9 12.4 U/mL, and KL-6 302 U/mL (normal range: 0–499). Esophagogastroduodenoscopy showed peptic ulcer scar formation. Colon endoscopic examination showed diffuse cloudiness with small fine granule-like surface change from rectum to transverse colon (Figure 1). Biopsy samples of colon and rectal mucosa revealed infiltration of inflammatory cells into mucosal layer. And submucosal layer and homogenous, amorphous deposition of collagen fiber was recognized under the surface epithelial cells (subepithelial collagen band) (Figure 2). The diagnosis of collagenous colitis was performed and administration of lansoprazole was discontinued. A few weeks later, watery diarrhea spontaneously discontinued. Six months later, treatment of COP was finished. No recurrence of COP and collagenous colitis after three year.



Cursor on image to zoom/Click text to open image
Figure 1: Colon fiberscope imaging colon endoscopic examination showing diffuse cloudiness with mucosa.



Cursor on image to zoom/Click text to open image
Figure 2: Pathological findings of colon mucosa: Biopsy samples showing infiltration of inflammatory cells into mucosal layer and submucosal layer and homogenous, amorphous deposition of collagen fiber was recognized under the surface epithelial cells.



DISCUSSION

Collagenous colitis is known as one of microscopic colitis, and induces watery diarrhea and chronic colorectal inflammation [1]. As the cause of collagenous colitis with this case, involvement of lansoprazole was suspected. After discontinue of administration of lansoprazole, chronic diarrhea was also stopped. Although it is rare, collagenous colitis is known as the one of the adverse effect of PPI. The COP is classified into one of idiopathic interstitial pneumonias. Etiology of COP is still remained uncertain. And interstitial pneumonia and COP sometimes complicates other organ disorders and connective tissue disease [2][3]. As long as we examined, only two case reports discussing about interstitial pneumonia and collagenous colitis were reported so far [4][5]. Recently, aberrant T cell response and Th1 cytokine were reported to be involved in inflammation of collagenous colitis [6]. Therefore, we could not rule out the possibility of mutual relationship between collagenous colitis and COP. Although both interactions are unclear, there are no reports to deny their interaction. In this case, collagenous colitis occurred during the treatment of COP, and collagenous colitis did not relapse since after remission of COP. Finally, this case was diagnosed as having lansoprazole induced collagenous colitis. Already there are many reports about relevance between PPI and collagenous colitis [5][7] [8][9]. This case had a past history of administration of rabeprazole against peptic ulcer, and there was no diarrhea during administration. Furthermore, this case was treated with omeprazole one year later after remission of COP, and there was not an episode of recurrence of watery diarrhea. After having the diagnosis of collagenous colitis, lansoprazole did not used again in this case. These means collagenous colitis of the case was highly associated with lansoprazole, not other kinds of PPI.


CONCLUSION

A rare case of collagenous colitis was reported. When having chronic diarrhea during treatment with proton pump inhibitors (PPI) including lansoprazole, possibility of adverse effect of PPI should be considered. Colon fiberscopic examination is useful for its diagnosis.

Keywords: Collagenous colitis, Cryptogenic organizing pneumonia, Lansoprazole


REFERENCES
  1. O'Toole A. Optimal management of collagenous colitis: A review. Clin Exp Gastroenterol 2016 Feb 10;9:31–9.   [CrossRef]   [Pubmed]    Back to citation no. 1
  2. Maeda A, Ishioka S, Taooka Y, Hiyama K, Yamakido M. Expression of transforming growth factor-beta1 and tumour necrosis factor-alpha in bronchoalveolar lavage cells in murine pulmonary fibrosis after intraperitoneal administration of bleomycin. Respirology 1999 Dec;4(4):359–63.   [CrossRef]   [Pubmed]    Back to citation no. 2
  3. Taooka Y, Ohe M, Tada M, Sutani A, Isobe T. Up-regulated integrina4ß1 on systemic lymphocytes and serum IL-17A in interstitial pneumonia. Clin Respir J 2016 Nov;10(6):722–30.   [CrossRef]   [Pubmed]    Back to citation no. 3
  4. Wiener MD. Collagenous colitis and pulmonary fibrosis. Manifestations of a single disease? J Clin Gastroenterol 1986 Dec;8(6):677–80.   [CrossRef]   [Pubmed]    Back to citation no. 4
  5. Chiba M, Sugawara T, Tozawa H, et al. Lansoprazole-associated collagenous colitis: Diffuse mucosal cloudiness mimicking ulcerative colitis. J R Soc Med 1991 Sep;84(9):547–9.   [CrossRef]   [Pubmed]    Back to citation no. 5
  6. Barmeyer C, Erko I, Fromm A, et al. Ion transport and barrier function are disturbed in microscopic colitis. Ann N Y Acad Sci 2012 Jul;1258:143–8.   [CrossRef]   [Pubmed]    Back to citation no. 6
  7. Ohlsson B. New insights and challenges in microscopic colitis. Therap Adv Gastroenterol 2015 Jan;8(1):37–47.   [CrossRef]   [Pubmed]    Back to citation no. 7
  8. Lucendo AJ. Drug exposure and the risk of microscopic colitis: A critical update. Drugs R D 2017 Mar;17(1):79–89.   [CrossRef]   [Pubmed]    Back to citation no. 8
  9. Bohr J, Wickbom A, Hegedus A, Nyhlin N, Hultgren Hörnquist E, Tysk C. Diagnosis and management of microscopic colitis: Current perspectives. Clin Exp Gastroenterol 2014 Aug 21;7:273–84.   [CrossRef]   [Pubmed]    Back to citation no. 9

[HTML Abstract]   [PDF Full Text]

Author Contributions
Yasuyuki Taooka – Substantial contributions to conception and design, Acquisition of data, Analysis and interpretation of data, Drafting the article, Revising it critically for important intellectual content, Final approval of the version to be published
Yuka Ide – Analysis and interpretation of data, Revising it critically for important intellectual content, Final approval of the version to be published
Yusuke Higashi – Analysis and interpretation of data, Revising it critically for important intellectual content, Final approval of the version to be published
Gen Takezawa – Analysis and interpretation of data, Revising it critically for important intellectual content, Final approval of the version to be published
Guarantor
The corresponding author is the guarantor of submission.
Source of support
None
Conflict of interest
Authors declare no conflict of interest.
Copyright
© 2017 Yasuyuki Taooka et al. This article is distributed under the terms of Creative Commons Attribution License which permits unrestricted use, distribution and reproduction in any medium provided the original author(s) and original publisher are properly credited. Please see the copyright policy on the journal website for more information.