Case Report
 
Extraskeletal Ewing's sarcoma: An adrenal localization
Salma Ait Batahar1, Safae Elidrissi1, Salwa Berrada2, Hanane Rais2 Lamyae Amro1
1Pulmonary department, Mohamed VI University Hospital, Marrakech, Morocco.
2Histopathology Department, Mohamed VI University Hospital, Marrakech, Morocco.

Article ID: Z01201611CR10722SB
doi:10.5348/ijcri-2016134-CR-10722

Address correspondence to:
Ait Batahar Salma
848 Lot Almassar, route de Safi, Marrakech
Marrakech
Morocco, 40000

Access full text article on other devices

  Access PDF of article on other devices

[HTML Abstract]   [PDF Full Text] [Print This Article]
[Similar article in Pumed] [Similar article in Google Scholar]


How to cite this article
Ait Batahar S, Elidrissi S, Berrada S, Rais H, Amro L. Extraskeletal Ewing's sarcoma: An adrenal localization. Int J Case Rep Images 2016;7(11):762–765.


Abstract
Introduction: Ewing's sarcoma is a frequent bone malignant tumor in children and young adults. Its extraskeletal primitive localization is less common which makes its diagnosis less obvious.
Case Report: We report a case of a 16-year-old female who presented at our department for one month history of pleuritic chest pain. The physical examination and the thoracic radiography results supported a pleural effusion. The results of the first thoracentesis and pleural biopsy were not conclusive, thus a second thoracentesis was attempted but did not withdraw any pleural fluid. A thoracoabdominal computed tomography (CT) scan was performed which found a large infraphrenic tumor suspecting an adrenal neuroblastoma. A CT guided biopsy was done and the histopathology study revealed a malignant proliferation made of medium sized round cells. The immunohistochemistry concluded to Ewing's sarcoma. The diagnosis of primitive adrenal gland neuroectodermal tumor was established and adjuvant chemotherapy was recommended. The patient passed away during her first chemotherapy session.
Conclusion: The adrenal localization of Ewing's sarcoma is rare. A neuroblastoma is the first brought up diagnosis in such presentation but an extraskeletal neuroectodermal tumor is also possible.

Keywords: Adrenal tumor, Ewing's Sarcoma, Neuroectodermal tumor


Introduction

Primitive neuroectodermal tumors belong to the family of Ewing's sarcoma. This cancer usually occurs in children and young adults and the skeletal form is the most frequent presentation [1]. It is a highly malignant tumor made of small round cells originating from neuroectoderm. The clinical and pathological presentations are divers which make the diagnosis difficult [2]. Extraskeletal Ewing's sarcoma is a rare presentation of these tumors which makes the diagnosis even more difficult. The case that we are presenting is an adrenal localization of Ewing's sarcoma which mimicked a neuroblastoma.


Case Report

A 16-year-old female high school student presented to our department for one month history of dry cough, dyspnea and left chest pain. She had no prior medical history or trauma, did not smoke and there was no notable family medical history. The physical examination revealed absent tactile fremitus, dullness to percussion and decreased breath sounds in the left side of the thorax. The vital signs were stable: temperature 37°C, blood pressure 110/60 mmHg and respiratory rate 22 cpm. There was no cyanosis or digital clubbing. The chest radiography showed a homogenous opacity of the lower two-thirds of the left hemithorax which blunted both the cardiophrenic and costophrenic angles and showed a meniscus (Figure 1).

The diagnosis of pleural effusion was suspected and a thoracentesis was performed which retrieved bloody pleural fluid. The chemical analysis found an exudate with a protein rate at 55.6 g/l. The cytology was inflammatory containing mainly lymphocytes with no malignant cells. The pathology study of the pleural biopsy found a pleuritis with no specific patterns or signs of malignancy. The diagnosis of an isolated pleural effusion was less probable and a thoracoabdominal contrast enhanced computed tomography scan was performed. This examination showed a large left infraphrenic mass measuring 107x128x159 mm and repressing both the left kidney and the spleen. It also showed a left pleural effusion and a collapsed left lung. The CT scan concluded to an adrenal neuroblastoma (Figure 2).

The catecholamine urine test was normal: epinephrine 0.01 µmol/24 h, norepinephrine 0.22 µmol/24 h and dopamine at 1.44 µmol/24 h. The complete blood count showed an anemia (hemoglobin 8.5 g /dL) and a thrombocytosis (platelets at 523x103/µL). The blood ionogram revealed an elevated alkaline phosphatase (ALP) at 301 U/L. The endocrine blood tests including: parathormone, prolactine, cortisol thyreostimuline (TSHus) and T4L were normal. These results were not compatible with the diagnosis of an adrenal tumor. Computed tomography guided biopsy was performed and the pathology with immunohistochemistry analysis found medium sized round cells with oval nuclei and dense chromatin. The immunohistochemistry was positive for CD 99 and FLI1. These results concluded to Ewing's Sarcoma (Figure 3) (Figure 4) (Figure 5). The patient passed away one month after the diagnosis was made during her first chemotherapy session.


Cursor on image to zoom/Click text to open image
Figure 1: Chest radiography showing a pleural like opacity.



Cursor on image to zoom/Click text to open image
Figure 2: (A, B) Computed tomography images showing an adrenal tumor repressing adjacent organs with a heterogeneous contrast enhancement.



Cursor on image to zoom/Click text to open image
Figure 3: Histopathology showing medium sized round cells with dense chromatin.



Cursor on image to zoom/Click text to open image
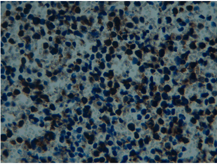
Figure 4: Immunohistochemistry positive for CD99.



Cursor on image to zoom/Click text to open image
Figure 5: Immunohistochemistry positive for FLI1.



Discussion

Ewing's sarcoma is a frequent malignant bone tumor occurring in adolescents and young adults. It mainly affects axial bones and involves a soft tissue infiltration [1]. The classical clinical presentation is a localized sore tumefaction or swelling resulting in a lytic bone lesion with a periosteal reaction [2] [3]. Our patient had both clinical and radiological presentation of a pleural effusion.

The extraskeletal Ewing's sarcoma (EES) belongs to the family of neuroectodermal tumors [4]. This malignant tumor can occur anywhere in the human body and presents as a soft tissue mass affecting adjacent organs [5]. In this case, the tumor was infraphrenic, it seemed to have developed from the adrenal gland and it repressed both the spleen and the kidney.

On imagery, extraskeletal Ewing's sarcoma presents as a bulky mass which is heterogeneous on computed tomography (CT scan) [5]. The CT scan of our patient showed a large adrenal tumor with a heterogeneous contrast enhancement. Celli and Cai reported this same aspect regarding primitive kidney Ewing sarcoma as the imagery reveals an ill-defined renal mass, with heterogeneous contrast enhancement and intermixed necrosis areas and hemorrhage [6]. The magnetic resonance imagery (MRI) scan allows a better appreciation of the involvement of soft tissues in Ewing's tumor [7]. In this case, the MRI scan should have been performed in order to assess clearly the infiltration of the adjacent organs as well as the chest and abdominal walls.

Based on imagery, differential diagnosis of an infraphrenic extraskeletal Ewing's sarcoma encompasses: neuroblastoma, carcinoid tumor, lymphoma, and desmoplastic small round blue cell tumor [8]. The CT scan of our patient showed an adrenal tumor which made the first suspected diagnosis a neuroblastoma.

The metastatic sites of extraskeletal Ewing's sarcoma are multiple. The most frequent metastatic sites are respectively: lymph nodes, bone, lung, abdominal solid organs, peritoneum, pleura and brain [5]. At the time of diagnosis, our patient had a left pleural effusion with an atelectasis of the left lung. The thoracoabdominal CT scan did not show any mediastinal or abdominal lymph nodes and there were no abnormalities in the right lung.

The histopathology study of the biopsy is the key to the confirmation of the diagnosis of extraskeletal Ewing's sarcoma. On gross examination, the median size of the tumor is about 13 cm and is characterized by confluent areas of necrosis and hemorrhage [6]. Histologically, neuroectodermal tumors are composed of uniform small round cells. These cells have a high nuclear/cytoplasm ratio, the nuclei are round with condensed chromatin [6]. The immunohistochemistry for CD99 helps for differential diagnosis even if it is not specific [9]. In our case, the pathology found round medium sized cells with an immunohistochemistry positive for CD99 and FLI1.

The ideal treatment of neuroectodermal tumors is surgical resection. As these tumors are considered chemo-radio-sensitive, thus adjuvant chemotherapy or radiotherapy is preconized in order to control the tumor locally and generally [10].


Conclusion

Primitive adrenal neuroectodermal tumors are a rare entity, only some cases have been reported in literature. The clinical and radiological presentation is not specific and there are many differential diagnoses. The MRI scan is the best imaging method to appreciate the tumor and the involvement of the adjacent structures. The confirmation of the diagnosis relies on the histopathology study and especially the immunohistochemistry and the molecular analysis.


References
  1. Taylor M, Guillon M, Champion V, Marcu M, Arnoux JB, Hartmann O. Ewing's tumor. Arch Pediatr 2005 Sep;12(9):1383–91.   [CrossRef]   [Pubmed]    Back to citation no. 1
  2. Kozlowski K, Campbell J, Morris L, et al. Primary rib tumours in children (report of 27 cases with short literature review). Australas Radiol 1989 Aug;33(3):210–22.   [CrossRef]   [Pubmed]    Back to citation no. 2
  3. Marchal AL, Hoeffel JC, Bocquillon H, Brasse F, Olive D. Pleural involvement caused by contiguity or metastases in primary malignant bone tumors in children. J Radiol 1986 Apr;67(4):303–7.   [Pubmed]    Back to citation no. 3
  4. McCarville MB. The child with bone pain: Malignancies and mimickers. Cancer Imaging 2009 Oct 2;9 Spec No A:S115–21.   [CrossRef]   [Pubmed]    Back to citation no. 4
  5. Huh J, Kim KW, Park SJ, et al. Imaging Features of Primary Tumors and Metastatic Patterns of the Extraskeletal Ewing Sarcoma Family of Tumors in Adults: A 17-Year Experience at a Single Institution. Korean J Radiol 2015 Jul-Aug;16(4):783–90.   [CrossRef]   [Pubmed]    Back to citation no. 5
  6. Celli R, Cai G. Ewing Sarcoma/Primitive Neuroectodermal Tumor of the Kidney: A Rare and Lethal Entity. Arch Pathol Lab Med 2016 Mar;140(3):281–5.   [CrossRef]   [Pubmed]    Back to citation no. 6
  7. Gronemeyer SA, Kauffman WM, Rocha MS, Steen RG, Fletcher BD. Fat-saturated contrast-enhanced T1-weighted MRI in evaluation of osteosarcoma and Ewing sarcoma. J Magn Reson Imaging 1997 May-Jun;7(3):585–9.   [CrossRef]   [Pubmed]    Back to citation no. 7
  8. Ellinger J, Bastian PJ, Hauser S, Biermann K, Müller SC. Primitive neuroectodermal tumor: Rare, highly aggressive differential diagnosis in urologic malignancies. Urology 2006 Aug;68(2):257–62.   [CrossRef]   [Pubmed]    Back to citation no. 8
  9. Kato K, Kato Y, Ijiri R, et al. Ewing's sarcoma family of tumor arising in the adrenal gland–possible diagnostic pitfall in pediatric pathology: histologic, immunohistochemical, ultrastructural, and molecular study. Hum Pathol 2001 Sep;32(9):1012–6.   [CrossRef]   [Pubmed]    Back to citation no. 9
  10. Tsang YP, Lang BH, Tam SC, Wong KP. Primitive neuroectodermal adrenal gland tumour. Hong Kong Med J 2014 Oct;20(5):444–6.   [CrossRef]   [Pubmed]    Back to citation no. 10

[HTML Abstract]   [PDF Full Text]

Author Contributions
Salma Ait Batahar – Substantial contributions to conception and design, Acquisition of data, Analysis and interpretation of data, Drafting the article, Final approval of the version to be published
Safae Elidrissi – Acquisition of data, Drafting the article, Final approval of the version to be published
Salwa Berrada – Acquisition of data, Analysis and interpretation of data, Revising it critically for important intellectual content, Final approval of the version to be published
Hanane Rais – Acquisition of data, Analysis and interpretation of data, Revising it critically for important intellectual content, Final approval of the version to be published
Lamyae Amro – Substantial contributions to conception and design, Revising it critically for important intellectual content, Final approval of the version to be published
Guarantor of submission
The corresponding author is the guarantor of submission.
Source of support
None
Conflict of interest
Authors declare no conflict of interest.
Copyright
© 2016 Salma Ait Batahar et al. This article is distributed under the terms of Creative Commons Attribution License which permits unrestricted use, distribution and reproduction in any medium provided the original author(s) and original publisher are properly credited. Please see the copyright policy on the journal website for more information.